ACAA2 Recombinant Monoclonal Antibody

Code CSB-RA568815A0HU
Size US$210
Order now
Image
  • Flow cytometric analysis of acetyl-CoA acyltransferase 2 expression in C2C12 cells using acetyl-CoA acyltransferase 2 antibody. Green, isotype control; red, acetyl-CoA acyltransferase 2.
  • Immunocytochemical staining of C2C12 cells with Acetyl-CoA acyltransferase 2 antibody. Nuclei were stained blue with DAPI; Acetyl-CoA acyltransferase 2 was stained magenta with Alexa Fluor® 647. Images were taken using Leica stellaris 5. Protein abundance based on laser Intensity and smart gain: High. Scale bar, 20 μm.
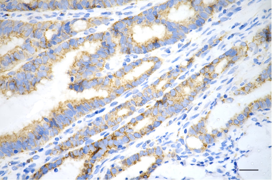
  • mmunohistochemistry was performed on paraffin-embedded human sigmoid colon carcinoma using acetyl-CoA acyltransferase 2 antibody. Antigen retrieval was done in sodium citrate buffer (pH 6.0). DAB was used for detection, with hematoxylin counterstaining. Images were acquired using a Nikon Ci-L Plus microscope (40× objective). Scale bar: 25 μm.
  • Western blotting analysis using acetyl-CoA acyltransferase 2 antibody. Total cell lysates (30 μg) from various cell lines were loaded and separated by SDS-PAGE. The blot was incubated with acetyl-CoA acyltransferase 2 antibody and HRP-conjugated goat anti-rabbit secondary antibody respectively.
Have Questions? Leave a Message or Start an on-line Chat

Product Details

Uniprot No.
Target Names
ACAA2
Alternative Names
ACAA2; Acetyl-CoA Acyltransferase 2; DSAEC 2; Mitochondrial 3-Oxoacyl-Coenzyme A Thiolase 2; 3-Ketoacyl-CoA Thiolase, Mitochondrial; Mitochondrial 3-Oxoacyl-CoA Thiolase; Acetyl-Coenzyme A Acyltransferase 2; Acyl-CoA Hydrolase, Mitochondrial; Acetyl-CoA Acetyltransferase; EC 2.3.1.16; T1; Acetyl-CoA Acyltransferase; Beta Ketothiolase; Beta-Ketothiolase; EC 2.3.1.9; EC 3.1.2.-; EC 3.1.2.1; EC 3.1.2.2; EC 2.3.1
Species Reactivity
Human, Mouse, Rat
Immunogen
Recombinant Human ACAA2 protein
Immunogen Species
Homo sapiens (Human)
Conjugate
Non-conjugated
Clonality
Monoclonal
Isotype
Rabbit IgG
Clone No.
14G6
Purification Method
Affinity-chromatography
Concentration
It differs from different batches. Please contact us to confirm it.
Buffer
Rabbit IgG in PBS (pH 7.4) containing 50% glycerol, and 0.02% sodium azide.
Form
Liquid
Tested Applications
ELISA, WB, FC, ICC, IHC
Recommended Dilution
Application Recommended Dilution
WB 1:1000-1:5000
FC 1:200-1:2000
ICC 1:100-1:1000
IHC 1:100-1:200
Troubleshooting and FAQs
Storage
Upon receipt, store at -20°C or -80°C. Avoid repeated freeze.
Lead Time
Basically, we can dispatch the products out in 1-3 working days after receiving your orders. Delivery time maybe differs from different purchasing way or location, please kindly consult your local distributors for specific delivery time.
Usage
For Research Use Only. Not for use in diagnostic or therapeutic procedures.

Customer Reviews and Q&A

 Customer Reviews

There are currently no reviews for this product.

Submit a Review here

Target Background

Function
In the production of energy from fats, this is one of the enzymes that catalyzes the last step of the mitochondrial beta-oxidation pathway, an aerobic process breaking down fatty acids into acetyl-CoA. Using free coenzyme A/CoA, catalyzes the thiolytic cleavage of medium- to long-chain unbranched 3-oxoacyl-CoAs into acetyl-CoA and a fatty acyl-CoA shortened by two carbon atoms. Also catalyzes the condensation of two acetyl-CoA molecules into acetoacetyl-CoA and could be involved in the production of ketone bodies. Also displays hydrolase activity on various fatty acyl-CoAs. Thereby, could be responsible for the production of acetate in a side reaction to beta-oxidation. Abolishes BNIP3-mediated apoptosis and mitochondrial damage.
Gene References into Functions
  1. ACAA2 is a functional BNIP3 binding partner and provide a possible linkage between fatty acid metabolism and apoptosis of cells. PMID: 18371312
Subcellular Location
Mitochondrion.
Protein Families
Thiolase family
Database Links

HGNC: 83

OMIM: 604770

KEGG: hsa:10449

STRING: 9606.ENSP00000285093

UniGene: Hs.200136

icon of phone
Call us
301-363-4651 (Available 9 a.m. to 5 p.m. CST from Monday to Friday)
icon of address
Address
7505 Fannin St., Ste 610, Room 7 (CUBIO Innovation Center), Houston, TX 77054, USA
icon of social media
Join us with

Subscribe newsletter

Leave a message

* To protect against spam, please pass the CAPTCHA test below.
CAPTCHA verification
© 2007-2025 CUSABIO TECHNOLOGY LLC All rights reserved. 鄂ICP备15011166号-1
×
Place an order now

I. Product details

*
*
*
*

II. Contact details

*
*

III. Ship To

*
*
*
*
*
*
*

IV. Bill To

*
*
*
*
*
*
*
*