CDC42 Recombinant Monoclonal Antibody

Code CSB-RA040970A0HU
Size US$210
Order now
Image
  • Flow cytometric analysis of CDC42 expression in HepG2 cells using CDC42 antibody. Green, isotype control; red, CDC42.
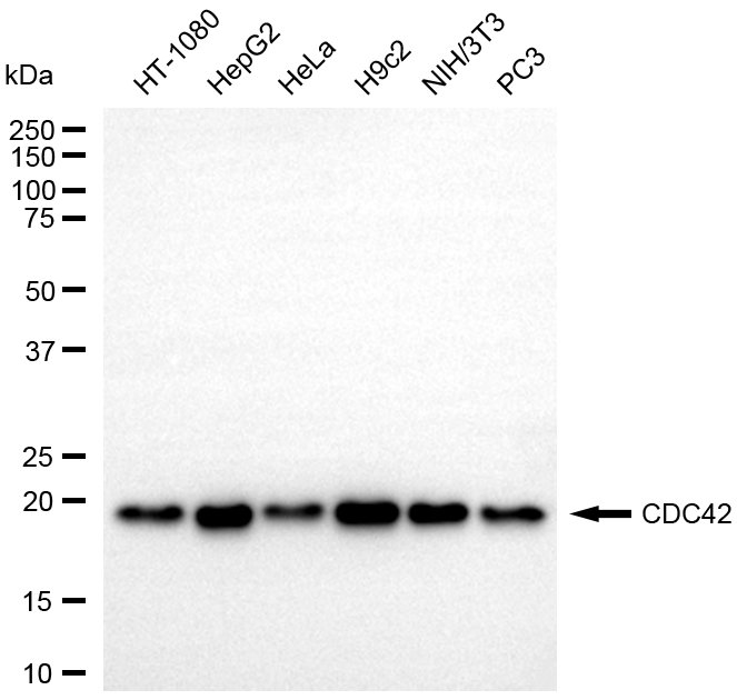
  • Western blotting analysis using CDC42 antibody. Total cell lysates (30 μg) from various cell lines were loaded and separated by SDS-PAGE. The blot was incubated with CDC42 antibody and HRP-conjugated goat anti-rabbit secondary antibody respectively.
Have Questions? Leave a Message or Start an on-line Chat

Product Details

Uniprot No.
Target Names
Alternative Names
CDC42; Cell Division Cycle 42; Cell Division Control Protein 42 Homolog; G25K GTP-Binding Protein; DJ224A6.1.1 (Cell Division Cycle 42 (GTP-Binding Protein, 25kD)); 25kDa; DJ224A6.1.2 (Cell Division Cycle 42 (GTP-Binding Protein, 25kD)); Cell Division Cycle 42 (GTP Binding Protein, 25kDa); Growth-Regulating Protein; Cell Division Cycle 42 (GTP-Binding Protein, 25kD); GTP Binding Protein; 25kDa; GTP Binding Protein; GTP-Binding Protein; 25kD; CDC42Hs; Small GTP Binding Protein CDC42; G25K
Species Reactivity
Human, Mouse, Rat
Immunogen
Recombinant Human CDC42 protein
Immunogen Species
Homo sapiens (Human)
Conjugate
Non-conjugated
Clonality
Monoclonal
Isotype
Rabbit IgG
Clone No.
22F11
Purification Method
Affinity-chromatography
Concentration
It differs from different batches. Please contact us to confirm it.
Buffer
Rabbit IgG in PBS (pH 7.4) containing 50% glycerol, and 0.02% sodium azide.
Form
Liquid
Tested Applications
ELISA, WB, FC
Recommended Dilution
Application Recommended Dilution
WB 1:1000-1:5000
FC 1:200-1:2000
Troubleshooting and FAQs
Storage
Upon receipt, store at -20°C or -80°C. Avoid repeated freeze.
Lead Time
Basically, we can dispatch the products out in 1-3 working days after receiving your orders. Delivery time maybe differs from different purchasing way or location, please kindly consult your local distributors for specific delivery time.
Usage
For Research Use Only. Not for use in diagnostic or therapeutic procedures.

Customer Reviews and Q&A

 Customer Reviews

There are currently no reviews for this product.

Submit a Review here

Target Background

Function
Plasma membrane-associated small GTPase which cycles between an active GTP-bound and an inactive GDP-bound state. In active state binds to a variety of effector proteins to regulate cellular responses. Involved in epithelial cell polarization processes. Regulates the bipolar attachment of spindle microtubules to kinetochores before chromosome congression in metaphase. Regulates cell migration. In neurons, plays a role in the extension and maintenance of the formation of filopodia, thin and actin-rich surface projections. Required for DOCK10-mediated spine formation in Purkinje cells and hippocampal neurons. Facilitates filopodia formation upon DOCK11-activation. Upon activation by CaMKII, modulates dendritic spine structural plasticity by relaying CaMKII transient activation to synapse-specific, long-term signaling. Also plays a role in phagocytosis through organization of the F-actin cytoskeleton associated with forming phagocytic cups.
Gene References into Functions
  1. The spatial extent of Rho GTPases gradients governs cell migration, a sharp Cdc42 gradient maximizes directionality while an extended Rac1 gradient controls the speed. PMID: 30446664
  2. Coincident with the loss of PICK1 by GBF1-activated ARF1, CDC42 recruitment leads to the activation of IRSp53 and the ARP2/3 complex, resulting in a burst of F-actin polymerisation potentially powering scission. PMID: 29743604
  3. Study revealed that miR3423p levels were significantly inversely correlated with the protein levels of its target CDC42 in nasopharyngeal carcinoma (NPC) tissues. Overexpression of miR-342-3p inhibited NPC cell proliferation and invasion by directly targeting CDC42. PMID: 30106159
  4. Methylmercury chloride negatively affects the activation of Src, Rac1 and Cdc42, all of which are critical proteins for the regulation of cell movement. PMID: 29197552
  5. Cdc42BPA and Cdc42 signaling are important for colon cancer invasion, and Cdc42BPA has potential implications for colon cancer prognosis and treatment. PMID: 29072916
  6. new treatments using small molecules and miRNAs to inhibit the abnormal overexpression of Cdc42 that may slow down the metastasis process, improve cancer therapy and lead to novel strategies for development of antineoplastic drugs. PMID: 29596304
  7. we present a third patient with TKS. The heterozygous mutation of CDC42 (p.Tyr64Cys) is likely a hot-spot mutation for TKS. PMID: 29335451
  8. X-ray crystallography reveals that in addition to the canonical PAK4 CDC42/RAC interactive binding (CRIB) domain binding to CDC42 there are unexpected contacts involving the PAK4 kinase C-lobe, CDC42, and the PAK4 polybasic region. PMID: 29295922
  9. Cdc42 plays a role in regulating the proliferation of PMVECs stimulated with small doses of LPS, and this regulation involves the ERK pathway PMID: 27769693
  10. Data show that Ras-like without CAAX 1 protein (RIT1) binds the RHO GTPases CDC42 and RAC1, both of which are crucial regulators of actin dynamics upstream of PAK1. PMID: 29734338
  11. The results show that PTEN controls multicellular assembly through a membrane-associated regulatory protein complex composed of beta-Arrestin1, ARHGAP21 and Cdc42. PMID: 28749339
  12. CDC42 acts as an essential factor in regulating cell proliferation and also takes part in lipotoxic effects of palmitate. PMID: 28548571
  13. loss of XIAP enhances filopodia formation in a Cdc42-dependent manner and this phenomenon phenocopies EGF stimulation. Further, XIAP depletion promotes lung colonization of tumor cells in mice in a Cdc42-dependent manner. These observations shed molecular insights into ubiquitin-dependent regulation of Cdc42 and that of actin cytoskeleton. PMID: 28661476
  14. Cdc42 can affect multiple morphogenetic processes during angiogenic sprouting and ultimately impact the architecture of the vasculature. PMID: 28376260
  15. Study identified different phenotypic correlations of nuclear versus cytoplasmic expression of CDC42, with high nuclear expression correlating with better prognostic features. These results show that CDC42 seems to be a key determinant of low-grade ER-positive breast cancers with prognostic significance. Subcellular localization may be important in determining breast cancer morphology. PMID: 28451966
  16. Downregulation of PLEKHA7 in PACG may affect BAB integrity and aqueous humor outflow via its Rac1/Cdc42 GAP activity, thereby contributing to disease etiology. PMID: 29016860
  17. CDC42 has an active oncogenic role in CRC via the transcriptional regulation of multiple cancer-related pathways and that CDC42-mediated silencing of CACNA2D2 is clinically relevant. PMID: 28460460
  18. MBQ-167 is 10x more potent than other currently available Rac/Cdc42 inhibitors and has the potential to be developed as an anticancer drug, as well as a dual inhibitory probe for the study of Rac and Cdc42 PMID: 28450422
  19. Filamin C promotes lymphatic invasion and lymphatic metastasis and increases cell motility by regulating Rac1/cdc42 activites in esophageal squamous cell carcinoma. PMID: 28031525
  20. Cdc42 inhibition is required for Mig-6 suppression of cell migration induced by EGF PMID: 27341132
  21. this study shows that miR-384 inhibits human colorectal cancer metastasis by targeting KRAS and CDC42 PMID: 27769041
  22. activated Cdc42 is a critical determinant of the migratory and invasive phenotype of malignant gliomas; this effect may be mediated, at least in part, through its interaction with IQGAP1 and phosphorylated FAK PMID: 27486972
  23. MDA-9 upregulated active levels of known modulators of epithelial mesenchymal transformation, the small GTPases RhoA and Cdc42, via TGFbeta1, promoting lung metastasis of breast cancer cells. PMID: 27863394
  24. Results suggest that SNPs increasing endometriosis risk in this region act through CDC42. PMID: 28171565
  25. our data identify Epsin2 as a novel player in regulating oocyte maturation, and demonstrate that Epsin2 promotes polarity establishment and meiotic division via activating Cdc42 PMID: 27463009
  26. MYC-nick, fascin, and Cdc42 are frequently up-regulated in cells present at the invasive front of human colorectal tumors, suggesting a coordinated role for these proteins in tumor migration. PMID: 27566402
  27. role of Cdc42 and Rac1 activities in pheochromocytoma, the adrenal medulla tumor PMID: 27355516
  28. N-WASP positively regulates demarcation membrane system development and proplatelet formation, and the Src family kinases in association with CDC42 regulate proplatelet formation through N-WASP PMID: 27685868
  29. miR-424-->cdc42-->prdm14 axis as a key molecular signalling cascade that might influence breast cancer progression in diabetic patients through hyperactivation of cancer stem cells. PMID: 29024936
  30. viral protein US28 was acting through CDC42, rearranging actin microfilaments, causing association of actin with lipid rafts, and leading to a dramatic change in the abundance and/or structure of lipid rafts. PMID: 27320924
  31. Study describes a novel quantitative approach to determine Cdc42 activity at specific subcellular locations and reveals new regulatory principles and functions of this small GTPase. PMID: 28539409
  32. Study Cdc42 regulates Cdc42EP3 function in cancer-associated fibroblasts. PMID: 27248291
  33. CDC42 loss suppresses acute myeloid leukemia cell polarity and division asymmetry. PMID: 28778865
  34. The structural basis for Cdc42-induced dimerization of IQGAP1 and IQGAP2 has been uncovered. PMID: 27524202
  35. Polarity signaling via CDC42/atypical protein kinase C can affect the dynamic turnover of the intermediate filament network to promote the polarization of the network itself. PMID: 28432079
  36. Circular RNA ccHIAT1 functions as a metastatic inhibitor to suppress AR-enhanced ccRCC cell migration and invasion via miR-195-5p/29a-3p/29c-3p/CDC42 signaling pathway. PMID: 28089832
  37. CDC42 plays an important role in promoting pancreatic cancer development and might serve as a prognostic indicator of pancreatic cancer. PMID: 28181096
  38. These findings suggest that ACK adopts a dock and coalesce binding mechanism with Cdc42. In contrast to other CRIB-family effectors and indeed other intrinsically disordered proteins, hydrophobic residues likely drive Cdc42-ACK binding. PMID: 28539360
  39. rapamycin inhibits the RhoA, Rac1, and Cdc42 activated by high glucose(HG). Thus, rapamycin shows an obvious protective effect on HG-induced Epithelial-mesenchymal transition, by inhibiting the activation of Rho GTPases (RhoA, Rac1, and Cdc42). PMID: 27093550
  40. Akt3 constitutively suppresses macropinocytosis in macrophages through a novel WNK1/SGK1/Cdc42 pathway. PMID: 28389565
  41. These data were confirmed by phosphomimetic mutation of serine 1443 to glutamate within RGCT, which led to a significant reduction of IQGAP1 affinity for CDC42 and RAC1, clearly disclosing the critical role of RGCT for these interactions. PMID: 27815503
  42. Report shows Cdc42 as a downstream target of miR-107. PMID: 28393193
  43. endocytosis vesicle enrichment of GRP75 by mitochondria trafficking upregulates clathrin-independent endocytosis through an actin cytoskeleton reorganization mechanism mediated by the concurrent activation of Cdc42 and RhoA. PMID: 27090015
  44. Results show that cdc42 is a direct target of miR-186 through its 3'UTR down-regulating cdc42 protein level in a post-transcriptional manner. PMID: 28317368
  45. Epistasis analysis identified a statistically significant interaction between CDC42 and SCIN SNPs which are strongly associated with CDC42 and SCIN gene expression levels and map to regulatory elements in skin cells. This interaction has important biological relevance since CDC42 and SCIN proteins have opposite effects in actin cytoskeleton organization and dynamics, which underlies melanoma cell migration and invasion. PMID: 27347659
  46. Here we briefly overview how mutations in Cdc42-specific GEFs have an impact on the organization of intracellular trafficking fluxes and how such trafficking aberrations could be associated with a number of human disorders. PMID: 28029388
  47. High p21-activated kinase 1 and cell division control protein 42 homolog expressions are closely related to the clinicopathological features and poor prognosis of cervical carcinoma, serving as unfavorable prognostic factors. PMID: 27060895
  48. High expression of CDC42 is associated with glioma. PMID: 28035419
  49. Results indicate the importance of SLIT2-ROBO1-CDC42 signaling pathway in predicting tumor progression. PMID: 27659325
  50. Our results demonstrate a novel role of Bif-1 in hepatocellular carcinoma (HCC), in which Bif-1 promotes cell metastasis by regulating Cdc42 expression and activity. PMID: 27730394

Show More

Hide All

Involvement in disease
Takenouchi-Kosaki syndrome (TKS)
Subcellular Location
Cell membrane; Lipid-anchor; Cytoplasmic side. Cytoplasm, cytoskeleton, microtubule organizing center, centrosome. Cytoplasm, cytoskeleton, spindle. Midbody. Cell projection, dendrite.
Protein Families
Small GTPase superfamily, Rho family, CDC42 subfamily
Database Links

HGNC: 1736

OMIM: 116952

KEGG: hsa:998

STRING: 9606.ENSP00000314458

UniGene: Hs.467637

CUSABIO guaranteed quality
icon of phone
Call us
301-363-4651 (Available 9 a.m. to 5 p.m. CST from Monday to Friday)
icon of address
Address
7505 Fannin St., Ste 610, Room 7 (CUBIO Innovation Center), Houston, TX 77054, USA
icon of social media
Join us with

Subscribe newsletter

Leave a message

* To protect against spam, please pass the CAPTCHA test below.
CAPTCHA verification
© 2007-2025 CUSABIO TECHNOLOGY LLC All rights reserved. 鄂ICP备15011166号-1
×
Place an order now

I. Product details

*
*
*
*

II. Contact details

*
*

III. Ship To

*
*
*
*
*
*
*

IV. Bill To

*
*
*
*
*
*
*
*