GNAQ Recombinant Monoclonal Antibody

Code CSB-RA106255A0HU
Size US$210
Order now
Image
  • Flow cytometric analysis of G protein subunit alpha q expression in C2C12 cells using G protein subunit alpha q antibody. Green, isotype control; red, G protein subunit alpha q.
  • Immunocytochemical staining of C2C12 cells with G protein subunit alpha q antibody. Nuclei were stained blue with DAPI; G protein subunit alpha q was stained magenta with Alexa Fluor® 647. Images were taken using Leica stellaris 5. Protein abundance based on laser Intensity and smart gain: Medium. Scale bar, 20 μm.
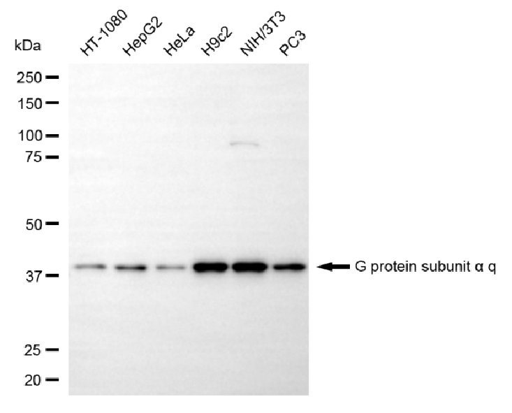
  • Western blotting analysis using G protein subunit alpha q antibody. Total cell lysates (30 μg) from various cell lines were loaded and separated by SDS-PAGE. The blot was incubated with G protein subunit alpha q antibody and HRP-conjugated goat anti-rabbit secondary antibody respectively.
Have Questions? Leave a Message or Start an on-line Chat

Product Details

Uniprot No.
Target Names
Alternative Names
GNAQ; G Protein Subunit Alpha Q; GAQ; G-ALPHA-Q; Guanine Nucleotide Binding Protein (G Protein), Q Polypeptide; Guanine Nucleotide-Binding Protein G(Q) Subunit Alpha; Guanine Nucleotide-Binding Protein Alpha-Q; Epididymis Secretory Sperm Binding Protein; EC 3.6.5.-; CMAL; CMC1; SWS
Species Reactivity
Human, Mouse, Rat
Immunogen
Recombinant Human GNAQ protein
Immunogen Species
Homo sapiens (Human)
Conjugate
Non-conjugated
Clonality
Monoclonal
Isotype
Rabbit IgG
Clone No.
24G3
Purification Method
Affinity-chromatography
Concentration
It differs from different batches. Please contact us to confirm it.
Buffer
Rabbit IgG in PBS (pH 7.4) containing 50% glycerol, and 0.02% sodium azide.
Form
Liquid
Tested Applications
ELISA, WB, FC, ICC
Recommended Dilution
Application Recommended Dilution
WB 1:1000-1:5000
FC 1:200-1:2000
ICC 1:100-1:1000
Troubleshooting and FAQs
Storage
Upon receipt, store at -20°C or -80°C. Avoid repeated freeze.
Lead Time
Basically, we can dispatch the products out in 1-3 working days after receiving your orders. Delivery time maybe differs from different purchasing way or location, please kindly consult your local distributors for specific delivery time.
Usage
For Research Use Only. Not for use in diagnostic or therapeutic procedures.

Customer Reviews and Q&A

 Customer Reviews

There are currently no reviews for this product.

Submit a Review here

Target Background

Function
Guanine nucleotide-binding proteins (G proteins) are involved as modulators or transducers in various transmembrane signaling systems. Regulates B-cell selection and survival and is required to prevent B-cell-dependent autoimmunity. Regulates chemotaxis of BM-derived neutrophils and dendritic cells (in vitro). Transduces FFAR4 signaling in response to long-chain fatty acids (LCFAs).
Gene References into Functions
  1. Gq protein-coupled receptors-induced apoptosis is general, and includes a two-branched pathway downstream of PKC. One branch consists on c-Src activation that transmit the signal to the JNK cascade and the second branch that consists on PKC-dependent inactivation of AKT and a phosphatase activity. PMID: 30278445
  2. data suggest that Galphaq is involved in Primary Sjogren's syndrome pathogenesis regulation, possibly due to its regulation of Th17 PMID: 29977933
  3. common conjunctival melanocytic nevi have mutually exclusive mutations in BRAF and NRAS. The two conjunctival blue nevi harbored GNAQ mutations. This suggests the driver mutations of conjunctival nevi are similar to those of nevi of the skin. At the molecular level, conjunctival nevi appear more like cutaneous nevi than choroidal nevi PMID: 29332123
  4. The results show that postzygotic mosaicism for GNAQ mutations causes an overlapping phenotypic spectrum of vascular and melanocytic birthmarks. PMID: 28083870
  5. Results demonstrate that the somatic GNAQ mutation in Sturge-Weber syndrome is not confined to the venous vascular malformation but can directly (although less severely) affect underlying brain parenchyma, not directly affected by leptomeningeal angiomatosis, and possibly contribute to Sturge-Weber syndrome brain pathology. PMID: 28571101
  6. We conclude that the crosstalk between angiotensin AT1 receptor and insulin receptor signaling shows a high degree of specificity, and involves Galphaq protein, and activation of distinct kinases. Thus, the BRET(2) technique can be used as a platform for studying molecular mechanisms of crosstalk between insulin receptor and 7TM receptors. PMID: 28854843
  7. Nine of 13 cases (69%) of anastomosing hemangiomas harbored a somatic mutation at GNAQ codon 209 PMID: 28084343
  8. It is therefore concluded that Gnaq plays a pivotal role in antioxidation in neural cells. A possible mechanism for this would be that the overexpressed Gnaq inhibits the cellular damaging effect mediated by NF-kappaB and Erk1/2 signal pathways. PMID: 28369206
  9. Parathyroid hormone controls bone and kidney homeostasis via GNAS and Gq-G11 heterotrimeric G proteins. (Review) PMID: 28363951
  10. we report a previously unknown role for Gaq in maintenance of MLL-AF9-induced acute myeloid leukemia leukemia PMID: 26859074
  11. Study demonstrated that the GNAQ p.R183Q mutation resides within endothelial cells in Sturge-Weber syndrome (SWS) brain lesions, and that the SWS brain endothelial cells can be isolated and expanded in culture and further confirm that the GNAQ p.R183Q mutation is present in brain endothelial cells. PMID: 27919468
  12. Phospholipase C beta connects G protein signaling with RNA interference. (Review) PMID: 26746047
  13. These results indicate that the mechanism by which Galphaq and PLC-beta3 mutually regulate each other is far more complex than a simple, two-state allosteric model and instead is probably kinetically determined. PMID: 28842497
  14. Data (including data from studies using cells from knockout mice) suggest that CLEC2/CLEC2R signaling is dependent on thromboxane A2 generation and is potentiated by co-stimulation with different GNAQ agonists. (CLEC2 = C-type lectin CLEC2; CLEC2R = CLEC2 receptor; GNAQ = guanine nucleotide-binding protein G[q] subunit alpha) PMID: 28705934
  15. The findings of the work indicate a role for Galphaq and/or Galpha14 and in CCR2a/CCR2b-stimulated Rho A GTPase-mediated serum response factor activation. PMID: 26823487
  16. GNAQ/11 mutant clones make up a fraction of the cells in choroidal nevi. Nevus cells are furthermore characterised by heterogeneous YAP expression. Combined GNAQ/11 and YAP may constitute a putative precursor tumour pathway with an activated oncogene (GNAQ/11) and downstream effector (YAP). PMID: 28809862
  17. RasGRP3 mediates ERK MAPK pathway activation in GNAQ mutant uveal melanoma. PMID: 28486107
  18. Galphaq regulates the development of rheumatoid arthritis by modulating Th1 differentiation PMID: 28197018
  19. The GC/GC genotype of the TT(-695/-694)GC polymorphism is associated with increased Gq protein expression, augmented angiotensin II receptor type 1-related vasoconstriction, and increased myocardial injury after coronary artery bypass grafting. PMID: 28422819
  20. Data suggest that allosteric communication between heterodimeric AT1R and PTGFR is mediated through GNAQ and may also involve proximal phospholipase C but not distal protein kinase C signaling partners; PTGFR activation has negligible effects on AT1R-based conformational biosensors. (AT1R = angiotensin II receptor, type 1; PTGFR = prostaglandin F2alpha receptor; GNAQ = GTP-binding protein G[q] subunit alpha) PMID: 28584054
  21. Results found that GNAQ was highly expressed in gastric cancer (GC) patient samples and suggest that GNAQ plays a critical role in regulating GC cell growth and survival via canonical oncogenic signaling pathways including MAPK and p53. PMID: 28350126
  22. These findings suggest that Galphaq/11 participates in the sensing/transducing of shear stress independently of GPCR activation in ECs. PMID: 28148497
  23. The Galphas and Galphaq peptides adopt different orientations in beta2-AR and V1AR, respectively. The beta2-AR/Galphas peptide interface is dominated by electrostatic interactions, whereas the V1AR/Galphaq peptide interactions are predominantly hydrophobic. PMID: 27330078
  24. Data show that GNAQ promotes ARF6 activation to control the proliferation of Uveal Melanoma Cells. PMID: 27265506
  25. data suggest that the interaction between this novel region in Galphaq and the effector PKCzeta is a key event in Galphaq signaling. PMID: 26887939
  26. The Glu209 GNAQ and GNA11 missense variants we identified are common in uveal melanoma and have been shown to constitutively activate MAPK and/or YAP signaling. Our data indicate that chorangioma is probably not the placental counterpart of congenital hemangiomas associated with mutations altering Gln209 in GNAQ or GNA11. PMID: 27058448
  27. findings demonstrate that hNPS-(1-10) is a biased agonist favoring Galphaq-dependent signaling. It may represent a valuable chemical probe for further investigation of the therapeutic potential of human NPS receptor-directed signalingin vivo. PMID: 26865629
  28. Galphaq expression was negatively associated with interleukin-17A expression in RA patients, indicating that Galphaq negatively controlled the differentiation of Th17 cells. PMID: 25732870
  29. We conclude that enrichment of GNAQ (R183Q) in port-wine stain (PWS) blood vessels may induce consecutive activation of c-Jun N-terminal kinases and extracellular signal regulated kinases, thus contributing to the pathogenesis of PWS. PMID: 26775782
  30. This is the second largest study on isolated, non-syndromic Port-wine stain; data suggest that GNAQ is the main genetic determinant in this condition. Moreover, isolated port-wine stains are distinct from capillary malformations seen in RASA1 disorders. PMID: 26192947
  31. The results suggested that GNAQ mutation induced viability and migration of uveal melanoma cells via Notch signaling activation, which is mediated by YAP dephosphorylation and nuclear translocation. PMID: 25955651
  32. This study demonstrated that the GNAQ protein was reduced in auditory cortex patient with schizophreia. PMID: 25433904
  33. Oncogenic GNAQ mutation is associated with uveal melanoma. PMID: 25280020
  34. Diacylglycerol mediates regulation of TASK1 and TASK3 potassium channels by GNAQ. PMID: 25420509
  35. Knockdown of GNAQ with siRNA-AuNPs effectively reduced downstream signals and decreased cell viability in GNAQ mutant uveal melanoma cells. PMID: 25653058
  36. These findings suggest that the recurrent somatic GNAQ mutation c.548G>A is the major determinant genetic factor for Sturge-Weber syndrome and imply that other mutated candidate gene(s) may exist in Sturge-Weber syndrome PMID: 25374402
  37. Gaq controls the apoptosis of rheumatoid arthritis peripheral blood lymphocytes through regulating the activity of Mcl-1 and caspase-3. PMID: 21923740
  38. no GNAQ mutations were observed in African acral melanomas PMID: 25363280
  39. Results uncovered that Gaq binding to GRK2 enhances the recruitment of GRK2 to M3-ACh receptors. PMID: 25316767
  40. Melanocytes use an ultraviolet radiation phototransduction mechanism involving the GNAQ cascade. PMID: 24470488
  41. GNAQ oncogenic signaling induced YPA nuclear translocation and YAP-dependent transcription activation throuch Rho-GTPases and actin remodeling. PMID: 24882515
  42. There was no association of GNAQ mutation status with metastatic status in uveal melanoma. PMID: 24970262
  43. Our finding of the frameshift deletion (p.H387fs) in exon 4 of SOX10 in uveal melanoma (UM) provides an important insight and complements earlier findings of mutations in GNAQ and SF3B1 on the genomic basis of UM. PMID: 24927141
  44. PKC inhibitors combined with IR significantly decreased the viability, proliferation, and clonogenic potential of GNAQ(mt), but not GNAQ(wt)/BRAF(mt) cells, compared with IR alone. PMID: 24595385
  45. observations support the concept of a functional activation-dependent p63RhoGEF-Galphaq-RGS2 complex PMID: 24299002
  46. Signaling efficiency of Galphaq through its effectors p63RhoGEF and GEFT depends on their subcellular location. PMID: 23884432
  47. In primary melanocytic tumours of the CNS, GNA11 and N-RAS mutations represent a mechanism of MAPK pathway activation alternative to the common GNAQ mutations PMID: 22758774
  48. the GNAQ promoter polymorphism is not a genetic risk factor for rheumatoid arthritis in the Han Chinese population. PMID: 23315865
  49. GNAQ mutations are present in uveal melanocytomas and in a case of transformation to melanoma, implicating GNAQ-dependent mitogen activation signals, in the pathogenesis of uveal melanocytoma. PMID: 23685997
  50. Letter/Case Report: oncogenic GNAQ mutation in congenital choroidal melanoma. PMID: 23572156

Show More

Hide All

Involvement in disease
Capillary malformations, congenital (CMC); Sturge-Weber syndrome (SWS)
Subcellular Location
Cell membrane; Lipid-anchor. Golgi apparatus. Nucleus. Nucleus membrane.
Protein Families
G-alpha family, G(q) subfamily
Tissue Specificity
Predominantly expressed in ovary, prostate, testis and colon. Down-regulated in the peripheral blood lymphocytes (PBLs) of rheumatoid arthritis patients (at protein level).
Database Links

HGNC: 4390

OMIM: 163000

KEGG: hsa:2776

STRING: 9606.ENSP00000286548

UniGene: Hs.269782

icon of phone
Call us
301-363-4651 (Available 9 a.m. to 5 p.m. CST from Monday to Friday)
icon of address
Address
7505 Fannin St., Ste 610, Room 7 (CUBIO Innovation Center), Houston, TX 77054, USA
icon of social media
Join us with

Subscribe newsletter

Leave a message

* To protect against spam, please pass the CAPTCHA test below.
CAPTCHA verification
© 2007-2025 CUSABIO TECHNOLOGY LLC All rights reserved. 鄂ICP备15011166号-1
×
Place an order now

I. Product details

*
*
*
*

II. Contact details

*
*

III. Ship To

*
*
*
*
*
*
*

IV. Bill To

*
*
*
*
*
*
*
*