PA2G4 Recombinant Monoclonal Antibody

Code CSB-RA223529A0HU
Size US$210
Order now
Image
  • Flow cytometric analysis of PA2G4 expression in HepG2 cells using PA2G4 antibody. Green, isotype control; red, PA2G4.
  • Immunocytochemical staining of HepG2 cells with PA2G4 antibody. Nuclei were stained blue with DAPI; PA2G4 was stained magenta with Alexa Fluor® 647. Images were taken using Leica stellaris 5. Protein abundance based on laser Intensity and smart gain: Medium. Scale bar, 20 μm.
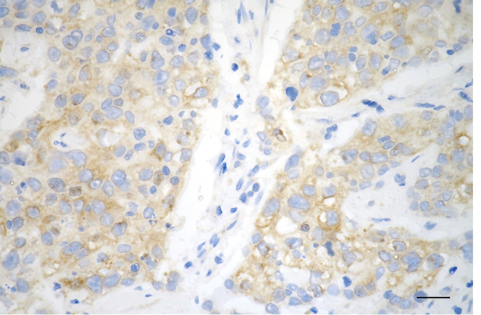
  • Immunohistochemistry was performed on paraffin-embedded human breast carcinoma using PA2G4 antibody. Antigen retrieval was done in sodium citrate buffer (pH 6.0). DAB was used for detection, with hematoxylin counterstaining. Images were acquired using a Nikon Ci-L Plus microscope (40× objective). Scale bar: 25 μm.
  • Western blotting analysis using PA2G4 antibody. Total cell lysates (30 μg) from various cell lines were loaded and separated by SDS-PAGE. The blot was incubated with PA2G4 antibody and HRP-conjugated goat anti-rabbit secondary antibody respectively.
Have Questions? Leave a Message or Start an on-line Chat

Product Details

Uniprot No.
Target Names
PA2G4
Alternative Names
Proliferation-Associated 2G4; EBP1; IRES-Specific Cellular Transacting Factor 45; Proliferation-Associated Protein 2G4; Proliferation-Associated 2G4, 38kDa; Proliferation-Associated 2G4, 38kD; Cell Cycle Protein P38-2G4 Homolog; ErbB-3 Receptor Binding Protein; ErbB3-Binding Protein 1; ITAF45; HG4-1; ErbB3-Binding Protein Ebp1; ErbB-3 Binding Protein 1; P38-2G4
Species Reactivity
Human, Mouse, Rat
Immunogen
Recombinant Human PA2G4 protein
Immunogen Species
Homo sapiens (Human)
Conjugate
Non-conjugated
Clonality
Monoclonal
Isotype
Rabbit IgG
Clone No.
9F10
Purification Method
Affinity-chromatography
Concentration
It differs from different batches. Please contact us to confirm it.
Buffer
Rabbit IgG in PBS (pH 7.4) containing 50% glycerol, and 0.02% sodium azide.
Form
Liquid
Tested Applications
ELISA, WB, FC, ICC, IHC
Recommended Dilution
Application Recommended Dilution
WB 1:1000-1:5000
FC 1:200-1:2000
ICC 1:100-1:1000
IHC 1:100-1:200
Troubleshooting and FAQs
Storage
Upon receipt, store at -20°C or -80°C. Avoid repeated freeze.
Lead Time
Basically, we can dispatch the products out in 1-3 working days after receiving your orders. Delivery time maybe differs from different purchasing way or location, please kindly consult your local distributors for specific delivery time.
Usage
For Research Use Only. Not for use in diagnostic or therapeutic procedures.

Customer Reviews and Q&A

 Customer Reviews

There are currently no reviews for this product.

Submit a Review here

Target Background

Function
May play a role in a ERBB3-regulated signal transduction pathway. Seems be involved in growth regulation. Acts a corepressor of the androgen receptor (AR) and is regulated by the ERBB3 ligand neuregulin-1/heregulin (HRG). Inhibits transcription of some E2F1-regulated promoters, probably by recruiting histone acetylase (HAT) activity. Binds RNA. Associates with 28S, 18S and 5.8S mature rRNAs, several rRNA precursors and probably U3 small nucleolar RNA. May be involved in regulation of intermediate and late steps of rRNA processing. May be involved in ribosome assembly. Mediates cap-independent translation of specific viral IRESs (internal ribosomal entry site). Regulates cell proliferation, differentiation, and survival. Isoform 1 suppresses apoptosis whereas isoform 2 promotes cell differentiation.
Gene References into Functions
  1. Targeted profiling of RNA translation reveals mTOR-4EBP1/2-independent translation regulation of mRNAs encoding ribosomal proteins. PMID: 30224479
  2. In this study, the authors demonstrated that overexpression of ErbB3-binding protein 1 (EBP1) promoted not only a reduction of wild type of p85 subunit of phosphoinositide 3-kinase but also oncogenic mutant forms of p85 which were identified in human cancers. PMID: 27464702
  3. The results demonstrate an important role of Ebp1 in promoting cell proliferation in Acute Myelogenous Leukemic Cells through the regulation of both rRNA synthesis and Proliferating Cell Nuclear Antigen expression. PMID: 26813358
  4. results show that EBP1 interacts directly with PPIns and associate with PtdIns(3,4,5)P3 in the nucleolus. PMID: 27118868
  5. The adapter function of EBP1 P42 stabilized the interaction of FBXW7 with its substrates and promoted FBXW7-mediated degradation of oncogenic targets, enhancing its overall tumor-suppressing function. Results establish distinct physical and functional interactions between FBXW7 and EBP1 isoforms, which yield their mechanistically unique isoform-specific functions of EBP1 in cancer. PMID: 28209614
  6. The combined determination of Ebp1 and p53 expression levels in cervical cancer patients could support the effective prediction of metastatic potential and patient prognosis. PMID: 26436510
  7. Data highlight the tissue specificity function of EBP1 isoforms and show that only the oncogene p48 activates MHC II expression in human solid tumors, via STAT1 phosphorylation, in order to affect tumor progression by triggering specific immune response. PMID: 26081906
  8. Our results suggest a novel function of Ebp1 as a binding protein and negative regulator of Anxa2. The functional association between Anxa2 and EBP1 may participate in regulating cancer cell proliferation and invasion, contributing to cancer progression. PMID: 25917452
  9. Ebp1 functionality is independent from heat-shock-protein-regulated progression networks in prostate cancer. PMID: 24798454
  10. P48Ebp1 acts as an oncoprotein. PMID: 25154617
  11. EBP1 participates in the regulation of intestinal inflammation via mediating Akt signaling pathway. PMID: 26256794
  12. Data suggest that inhibiting ErbB3-binding protein 1 Ebp1 phosphorylation may be an effective mechanism for inhibiting T-cell activation and proliferation. PMID: 25691158
  13. Ebp1 p42 isoform regulates the proteasomal degradation of the p85 regulatory subunit of PI3K by recruiting a chaperone-E3 ligase complex HSP70/CHIP. PMID: 24651434
  14. data suggest that Vpr may inhibit Ebp1 to stabilize p53, which in turn leads to G2 arrest and apoptosis in U87MG cells PMID: 23828502
  15. identified among endothelial antigens to which antibodies are produced during heart transplant rejection PMID: 23707440
  16. The major effect of EBP1 on ErbB2 mRNA expression levels is at the transcriptional level. PMID: 23242156
  17. Down-regulation of the ErbB3 binding protein 1 in human bladder cancer promotes tumor progression and cell proliferation. PMID: 23283744
  18. Performed immunohistochemical analysis on 132 primary adenoid cystic carcinoma and adjacent non-cancerous tissues.The expression of EBP1 was significantly higher in non-cancerous adjacent tissues compared with corresponding cancer tissues. PMID: 23110497
  19. It was shown that high level of Ebp1 expression led to enhancee HDM2 phosphorylation by Akt and inhibited the self-ubiquitination of HDM2 by up-regulation of Akt activity. PMID: 21930127
  20. the Ebp1 promoter localizes between -664 nt and the initiation site of the Ebp1 gene, +317-nt long sequence in the noncoding region is required for regulation of Ebp1 gene expression. PMID: 21794029
  21. These studies suggest that one pathway of EBP1 down-regulation of AR levels may be lost in castration-resistant prostate cancer. PMID: 21965718
  22. Ebp1 contributes to neuronal cell differentiation and growth factor specificity through the activation of protein kinase Cdelta acting as a crucial downstream effector of neurotrophin signaling. PMID: 21145366
  23. Ablation of EBP1 expression led to tamoxifen resistance in breast cancer. PMID: 20379846
  24. Data show that E2F is likely a central coordinator of multiple responses that culminate in regulation of EBP1 gene expression, and which may vary depending on cell type and context. PMID: 21085677
  25. Findings suggest that eBP1 p48 functions as an oncogene by promoting glioma tumorigenicity via interactions with HDM2 that contribute to p53 downregulation. PMID: 21098709
  26. our results reveal an EBP1-Foxa-AGR2 signaling circuit with functional significance in metastatic prostate cancer PMID: 20048076
  27. EBP1 is in the cytoplasm & nucleolus. Nucleolar localization requires AA sequences at the NH2- and COOH-ends. Overexpression inhibits proliferation of human fibroblasts. It is part of RNP complexes & associates with different rRNAs. PMID: 15064750
  28. ErbB3-binding protein Ebp1 binding to E2F promoter elements and E2F-mediated transcription are regulated by heregulin. PMID: 15073182
  29. These studies suggest that Ebp1 is an AR corepressor whose biological activity can be regulated by the ErbB3 ligand, HRG. PMID: 15583694
  30. Ebp1 suppresses androgen receptor-mediated gene transcription and tumorigenesis of prostate cancer cells. PMID: 15994225
  31. Ebp1 is present in protein-ARE(bcl-2) RNA complexes. Ebp1 & nucleolin are present in the same bcl-2 mRNP complexes. Ebp1 decreases the rate of decay of beta-globin-ARE(bcl-2) transcripts. Ebp1 contributes to bcl-2 expression regulation in HL-60 cells. PMID: 16396631
  32. Our results demonstrate that Ebp1 is a new dsRNA-binding protein that acts as a cellular inhibitor of eIF2alpha phosphorylation suggesting that it could be involved in protein translation control PMID: 16631606
  33. over-expression of Ebp1 interfered with virus production PMID: 17295834
  34. PKC-delta antagonizes apoptosis through phosphorylating Ebp1 and protects it from apoptotic degradation. PMID: 17316401
  35. ErbB-3-binding protein-1 is an immunogenic protein with cancer-related immunoreactivity, capable of eliciting CD8-positive T cell-mediated responses in vivo and in vitro. PMID: 17641068
  36. The structure provides insights in how Ebp1 discriminates between its different interaction partners. PMID: 17765895
  37. ErbB-3-binding protein 1 (Ebp1) is a member of the family of proliferation-associated 2G4 proteins (PA2G4s) and plays a role in cellular growth and differentiation. PMID: 17768350
  38. These results suggest that EBP1, by down-regulating ErbB signal transduction, attentuates HRG-mediated growth of breast cancer cells. PMID: 18355957
  39. These data support a role for EBP1 in the development of hormone-refractory prostate cancer. PMID: 18852121
  40. hBre1 inhibits Ebp1's tumor suppressive activity through mediating its polyubiquitination and degradation. PMID: 19037095

Show More

Hide All

Subcellular Location
[Isoform 1]: Cytoplasm. Nucleus, nucleolus.; [Isoform 2]: Cytoplasm.
Protein Families
Peptidase M24 family
Tissue Specificity
Isoform 2 is undetectable whereas isoform 1 is strongly expressed in cancer cells (at protein level). Isoform 1 and isoform 2 are widely expressed, including heart, brain, lung, pancreas, skeletal muscle, kidney, placenta and liver.
Database Links

HGNC: 8550

OMIM: 602145

KEGG: hsa:5036

STRING: 9606.ENSP00000302886

UniGene: Hs.524498

icon of phone
Call us
301-363-4651 (Available 9 a.m. to 5 p.m. CST from Monday to Friday)
icon of address
Address
7505 Fannin St., Ste 610, Room 7 (CUBIO Innovation Center), Houston, TX 77054, USA
icon of social media
Join us with

Subscribe newsletter

Leave a message

* To protect against spam, please pass the CAPTCHA test below.
CAPTCHA verification
© 2007-2025 CUSABIO TECHNOLOGY LLC All rights reserved. 鄂ICP备15011166号-1
×
Place an order now

I. Product details

*
*
*
*

II. Contact details

*
*

III. Ship To

*
*
*
*
*
*
*

IV. Bill To

*
*
*
*
*
*
*
*