RAD51 Recombinant Monoclonal Antibody

Code CSB-RA145766A0HU
Size US$210
Order now
Image
  • Flow cytometric analysis of RAD51 expression in HAP-1 cells using RAD51 antibody. Green, isotype control; red, RAD51.
  • Immunocytochemical staining of HAP-1 cells with RAD51 antibody. Nuclei were stained blue with DAPI; RAD51 was stained magenta with Alexa Fluor® 647. Images were taken using Leica stellaris 5. Protein abundance based on laser Intensity and smart gain: High. Scale bar, 20 μm.
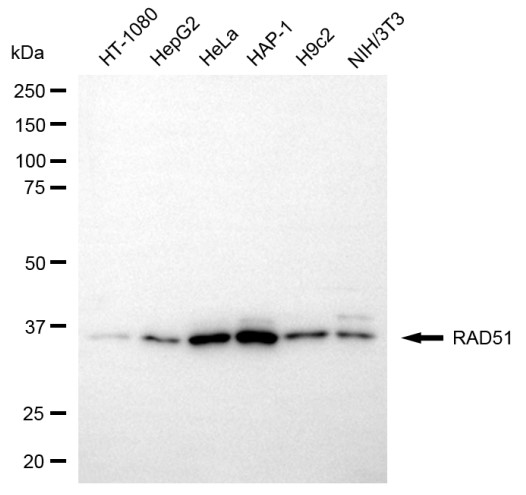
  • Western blotting analysis using RAD51 antibody. Total cell lysates (30 μg) from various cell lines were loaded and separated by SDS-PAGE. The blot was incubated with RAD51 antibody and HRP-conjugated goat anti-rabbit secondary antibody respectively.
Have Questions? Leave a Message or Start an on-line Chat

Product Details

Uniprot No.
Target Names
RAD51
Alternative Names
RAD51; RAD51 Recombinase; RAD51A; BRCC5; FANCR; RECA; BRCA1/BRCA2-Containing Complex, Subunit 5; DNA Repair Protein RAD51 Homolog 1; RAD51 Homolog A; HsT16930; HsRad51; HRAD51; RAD51 Homolog (RecA Homolog, E. Coli) (S. Cerevisiae); RAD51 (S. Cerevisiae) Homolog (E Coli RecA Homolog); RAD51 Homolog (S. Cerevisiae); RecA, E. Coli, Homolog Of; Recombination Protein A; RecA-Like Protein; HST16930; HSRAD51; HsRAD51; MRMV2
Species Reactivity
Human, Mouse, Rat
Immunogen
Recombinant Human RAD51 protein
Immunogen Species
Homo sapiens (Human)
Conjugate
Non-conjugated
Clonality
Monoclonal
Isotype
Rabbit IgG
Clone No.
1B5
Purification Method
Affinity-chromatography
Concentration
It differs from different batches. Please contact us to confirm it.
Buffer
Rabbit IgG in PBS (pH 7.4) containing 50% glycerol, and 0.02% sodium azide.
Form
Liquid
Tested Applications
ELISA, WB, FC, ICC
Recommended Dilution
Application Recommended Dilution
WB 1:1000-1:5000
FC 1:200-1:2000
ICC 1:100-1:1000
Troubleshooting and FAQs
Storage
Upon receipt, store at -20°C or -80°C. Avoid repeated freeze.
Lead Time
Basically, we can dispatch the products out in 1-3 working days after receiving your orders. Delivery time maybe differs from different purchasing way or location, please kindly consult your local distributors for specific delivery time.
Usage
For Research Use Only. Not for use in diagnostic or therapeutic procedures.

Customer Reviews and Q&A

 Customer Reviews

There are currently no reviews for this product.

Submit a Review here

Target Background

Function
Plays an important role in homologous strand exchange, a key step in DNA repair through homologous recombination (HR). Binds to single and double-stranded DNA and exhibits DNA-dependent ATPase activity. Catalyzes the recognition of homology and strand exchange between homologous DNA partners to form a joint molecule between a processed DNA break and the repair template. Binds to single-stranded DNA in an ATP-dependent manner to form nucleoprotein filaments which are essential for the homology search and strand exchange. Part of a PALB2-scaffolded HR complex containing BRCA2 and RAD51C and which is thought to play a role in DNA repair by HR. Plays a role in regulating mitochondrial DNA copy number under conditions of oxidative stress in the presence of RAD51C and XRCC3. Also involved in interstrand cross-link repair.
Gene References into Functions
  1. Evidence has been provided that the majority of the Cas9-induced single nicks at the target DNA strand rely on RAD51 and BRCA2 for efficient and scar-less DNA repair. PMID: 28067217
  2. RAD51 135G>C polymorphism is not associated with colorectal cancer. PMID: 29893328
  3. Data show that short ssDNA traverses the nuclear membrane, but is drawn into the nucleus by binding to the DNA replication and repair factors replication protein A (RPA) and Rad51 recombinase (Rad51). PMID: 27230542
  4. region in the N terminus of BRCA2 exhibits DNA binding activity and promotes RAD51-mediated homologous recombination PMID: 27628236
  5. We have identified and characterised a novel DNA damage response mechanism in melanoma. Instead of increasing levels of RAD51 on encountering cisplatin-induced interstrand crosslinks during replication, melanoma cells shut down RAD51 synthesis and instead boost levels of translesion synthesis DNA polymerase zeta to allow replication to proceed PMID: 29254481
  6. Twenty-one different deleterious variants were identified in the RAD51 paralogs in 30 patients with ovarian and/or beast cancer. PMID: 29255180
  7. he results of the study indicate that Akt1 seems to be a regulatory component in the homologous recombination (HR) repair of DNA double-strand break in a Rad51-dependent manner. PMID: 29156644
  8. RAD51 135G/C polymorphism was a risk factor for the three common gynecological tumors, especially for endometrial cancer among hospital-based populations. PMID: 29952992
  9. Fanconi anemia-associated RAD51 mutants are defective at stalled fork protection. Mutant RAD51 nucleoprotein filaments are unstable due to aberrant ATP binding and hydrolysis. PMID: 29020621
  10. Inactivation of homologous recombination factors BRCA1, BRCA2, or RAD51 hypersensitizes cells to acetaldehyde treatment, in spite of the Fanconi anemia pathway being functional. PMID: 28729482
  11. DNA sequencing was performed for six single-nucleotide polymorphisms in the GSTP1, RAD51, XRCC1 and XRCC3 genes in BC patients and the control group. Two variants in the 5'-UTR of the XRCC3 and RAD51 genes showed a significant association with susceptibility to breast cancer. Additionally, authors reported 2 mutations in intron 7 of the XRCC3 gene. PMID: 28315507
  12. our data demonstrated for the first time that inhibition of RAD51 suppressed the cervical cancer cell proliferation and the growth of cervical cancer xenografts by attenuating cell cycle transition, which could be a functional link between RAD51 and cyclin D1 and p21. PMID: 28627709
  13. Low RAD51 gene expression is associated with breast cancer. PMID: 28058614
  14. (-)-Guaiol is involved in cell autophagy to regulate the expression of RAD51, leading to double-strand breaks triggered cell apoptosis PMID: 27566579
  15. Report a requirement for PARP2 in stabilizing replication forks that encounter base excision repair (BER) intermediates through Fbh1-dependent regulation of Rad51. Whereas PARP2 is dispensable for tolerance of cells to single stranded breaks or homologous recombination dysfunction, it is redundant with PARP1 in BER. PMID: 29467415
  16. Histone deacetylases 1 and 2 cooperate in regulating BRCA1, CHK1, and RAD51 expression in acute myeloid leukemia cells. PMID: 28030834
  17. BRCA1-BARD1 mutants with weakened RAD51 interactions show compromised DNA joint formation and impaired mediation of homologous recombination and DNA repair in cells; results identify a late role of BRCA1-BARD1 in homologous recombination, an attribute of the tumour suppressor complex that could be targeted in cancer therapy PMID: 28976962
  18. Our data suggest that in both BRCA1-mutant and BRCA1-wild-type TNBCs, CSCs are relatively resistant to PARP inhibition. This resistance is mediated by RAD51, suggesting that strategies aimed at targeting RAD51 may increase the therapeutic efficacy of PARPi PMID: 28034904
  19. Data show that the combination of targeting RAD51 and p38 inhibits cell proliferation both in vitro and in vivo, which was further enhanced by targeting of PARP1. PMID: 27507046
  20. Data suggest that oleandrin may be a potential anti-tumor agent by suppressing the expression of RAD51 recombinase. PMID: 27449097
  21. we demonstrated that Y54 phosphorylation enhances the RAD51 recombinase activity by at least two different mechanisms, modifies the RAD51 nucleoprotein filament formation, and allows RAD51 to compete efficiently with ssDNA binding protein RPA. PMID: 27671650
  22. Mutations F86L & E258A affect the multimerization/BRCA2 binding region of RAD51.Both variants exhibit altered thermal stability,reduced DNA binding affinity,reduced ATPase activity compared to wild-type. F86L efficiently catalyzes DNA strand exchange reactions,whereas strand exchange activity of E258A is severely reduced.Mixtures of either variant with wild-type RAD51 exhibit strong defects in DNA strand exchange activity PMID: 29100040
  23. Data indicate that lupus autoantibody 3E10 directly binds to the N-terminus of RAD51 recombinase, sequesters RAD51 in the cytoplasm, and impedes RAD51 binding to DNA. PMID: 29036688
  24. Study suggested that RAD51, XRCC1, and XRCC3 polymorphisms may be predictive factors for radiation-induced acute toxicity in rectal cancer patients treated with preoperative combined therapy. PMID: 25811296
  25. n metastatic high grade clear cell carcinoma, this expression was more pronounced. Though we could not demonstrate direct correlation, we showed that epigenetic modification by methylation is associated with decreased genomic translation of Rad51. PMID: 27170370
  26. our study provides a strong rationale for targeting RAD51-mediated repair to specifically radiosensitize GSCs. PMID: 28076755
  27. The anti-recombinase activity of BLM is of general importance for normal retention of RAD51 at DNA double strand break sites and regulation of homologous recombination. PMID: 28912125
  28. Results showed that the expression of RAD51 is both nuclear and cytoplasmic and it varies among breast cancer (BC) phenotypes. Lack of RAD51 nuclear expression is associated with poor prognostic parameters and shorter survival in invasive BC patients suggesting that RAD51 might play a role in BC development and progression. PMID: 27464795
  29. USP21 interacts with, deubiquitinates and stabilizes BRCA2 to promote efficient RAD51 loading at DNA double-strand breaks. PMID: 28743957
  30. CTC1/STN1/TEN1 (CST) deficiency diminishes HU-induced RAD51 foci formation. PMID: 27487043
  31. These results underscore the importance of RAD51 in radioresistance of glioblastoma stem cells PMID: 27495836
  32. PLAUR to be essential for activation of Checkpoint kinase 1 (CHK1); maintenance of cell cycle arrest after DNA damage in a TP53-dependent manner; expression, nuclear import and recruitment to DNA-damage foci of RAD51 recombinase, the principal protein involved in the homologous recombination repair pathway. PMID: 27685627
  33. By antagonizing RAD51 at forks, RADX allows cells to maintain a high capacity for homology-directed repair while ensuring that replication functions of RAD51 are properly regulated. Thus, RADX is essential to achieve the proper balance of RAD51 activity to maintain genome stability. PMID: 28735897
  34. E3 ligase RFWD3 functions in timely removal and degradation of RPA and RAD51 to allow homologous recombination progression to subsequent steps following mitomycin C damage. PMID: 28575658
  35. In the absence of RAD51, the unprotected newly replicated genome is degraded by the exonuclease activity of MRE11, and the fragmented nascent DNA accumulates in the cytosol, initiating an innate immune response. PMID: 28334891
  36. Architectural plasticity of human BRCA2-RPA-RAD51 complexes in DNA break repair has been described. PMID: 28168276
  37. cyclin D1 and other cyclins such as cyclin A regulates DNA integrity through RAD51 interaction with the BRCA2 C-terminal domain PMID: 26387543
  38. Upregulation of RAD51 and overexpression of Ki67 may be associated with the progression of thyroid cancer. PMID: 28502582
  39. Data suggest that RAD51, BRCA2, and BRCA1 promote stability of nascent DNA at replication forks; RAD51 prevents MRE11 nuclease-mediated degradation of nascent ssDNA; BRCA2 displaces RPA (replication protein A) complex by recruiting RAD51 to protect ssDNA; BRCA1 promotes repair foci following DNA damage and is essential for cell survival. (BRCA = breast cancer recombination protein; RAD51 = Rad51 recombinase) [REVIEW] PMID: 28079255
  40. Data suggest RAD52 binds tightly to RPA/ssDNA complex in presynaptic complex and inhibits RPA turnover; during presynaptic complex assembly, most of RPA and RAD52 is displaced from ssDNA, but some RAD52/RPA/ssDNA complexes persist as interspersed clusters surrounded by RAD51 filaments. (RAD52 = Rad52 DNA repair/recombination protein; RPA = replication protein A; ssDNA = single-stranded DNA; RAD51 = Rad51 recombinase) PMID: 28551686
  41. High RAD51 expression is associated with drug Resistance in Malignant Melanoma. PMID: 26980768
  42. Cryo-EM analyses of human RAD51 in different states of the DNA-strand-exchange process and structures of presynaptic and postsynaptic complexes of RAD51 at near-atomic resolution. PMID: 27941862
  43. By specifically regulating RAD51 activity at uncoupled replication forks, MMS22L-TONSL stabilizes perturbed replication forks by promoting replication fork reversal and stimulating their homologous recombination-mediated restart in vivo. PMID: 27797818
  44. S100A11 is involved in homologous recombination by regulating the appearance of RAD51 in double strand break repair sites. PMID: 27590262
  45. HsRAD51 NPF which may form on nucleosome bound dsDNA can have profound effects on the dynamic nature of nucleosomes, and may even facilitate the recruitment of other factors such as homologous HsRAD51-ssDNA NPFs or HsRAD54. PMID: 27738136
  46. ubiquitination of RAD51 hinders RAD51-BRCA2 interaction, while deubiquitination of RAD51 facilitates RAD51-BRCA2 binding and RAD51 recruitment and thus is critical for proper homologous recombination PMID: 27941124
  47. NEK8 plays a critical role in replication fork stability through its regulation of the DNA repair and replication fork protection protein RAD51. PMID: 27892797
  48. we demonstrate that BCCIPbeta induces a conformational change within the RAD51 filament that promotes release of ADP to help maintain an active presynaptic filament. Our findings reveal a functional role for BCCIPbeta as a RAD51 accessory factor in HR. PMID: 27694622
  49. It has been concluded that stable binding and/or the melting of secondary DNA structures by RPA1 is required for DNA repair, including RAD51-mediated DNA strand exchange, but is dispensable for DNA replication. PMID: 27131385
  50. Results suggest that cell cycle progression and proliferation of HeLa cells can be tightly controlled by the abundance of RAD51 and RAD54 proteins, which are essential for the rapid response to postreplicative stress and DNA damage stress. PMID: 28190324

Show More

Hide All

Involvement in disease
Breast cancer (BC); Mirror movements 2 (MRMV2); Fanconi anemia, complementation group R (FANCR)
Subcellular Location
Nucleus. Cytoplasm. Cytoplasm, perinuclear region. Mitochondrion matrix. Chromosome. Cytoplasm, cytoskeleton, microtubule organizing center, centrosome.
Protein Families
RecA family, RAD51 subfamily
Tissue Specificity
Highly expressed in testis and thymus, followed by small intestine, placenta, colon, pancreas and ovary. Weakly expressed in breast.
Database Links

HGNC: 9817

OMIM: 114480

KEGG: hsa:5888

UniGene: Hs.631709

icon of phone
Call us
301-363-4651 (Available 9 a.m. to 5 p.m. CST from Monday to Friday)
icon of address
Address
7505 Fannin St., Ste 610, Room 7 (CUBIO Innovation Center), Houston, TX 77054, USA
icon of social media
Join us with

Subscribe newsletter

Leave a message

* To protect against spam, please pass the CAPTCHA test below.
CAPTCHA verification
© 2007-2025 CUSABIO TECHNOLOGY LLC All rights reserved. 鄂ICP备15011166号-1
×
Place an order now

I. Product details

*
*
*
*

II. Contact details

*
*

III. Ship To

*
*
*
*
*
*
*

IV. Bill To

*
*
*
*
*
*
*
*