SMC1A Recombinant Monoclonal Antibody

Code CSB-RA560003A0HU
Size US$210
Order now
Image
  • Flow cytometric analysis of SMC1A expression in HepG2 cells using SMC1A antibody. Green, isotype control; red, SMC1A.
  • Immunocytochemical staining of HepG2 cells with SMC1A antibody. Nuclei were stained blue with DAPI; SMC1A was stained magenta with Alexa Fluor® 647. Images were taken using Leica stellaris 5. Protein abundance based on laser Intensity and smart gain: Medium. Scale bar: 20 μm.
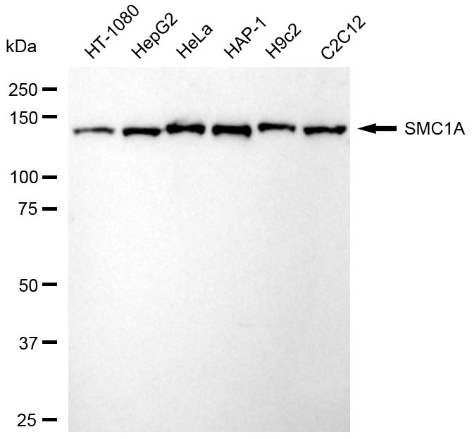
  • Western blotting analysis using SMC1A antibody. Total cell lysates (30 μg) from various cell lines were loaded and separated by SDS-PAGE. The blot was incubated with SMC1A antibody and HRP-conjugated goat anti-rabbit secondary antibody respectively.
Have Questions? Leave a Message or Start an on-line Chat

Product Details

Uniprot No.
Target Names
Alternative Names
SMC1A; Structural Maintenance Of Chromosomes 1A; DXS423E; SB1.8; KIAA0178; SMC1L1; Smcb; SMC1 (Structural Maintenance Of Chromosomes 1, Yeast)-Like 1; Structural Maintenance Of Chromosomes Protein 1A; SMC Protein 1A; SMC-1-Alpha; SMC1; SMC1 Structural Maintenance Of Chromosomes 1-Like 1 (Yeast); Epididymis Secretory Sperm Binding Protein; Segregation Of Mitotic Chromosomes 1; SMC1alpha; EIEE85; SMC-1A; CDLS2; DEE85; Sb1.8
Species Reactivity
Human, Mouse, Rat
Immunogen
Recombinant Human SMC1A protein
Immunogen Species
Homo sapiens (Human)
Conjugate
Non-conjugated
Clonality
Monoclonal
Isotype
Rabbit IgG
Clone No.
3C7
Purification Method
Affinity-chromatography
Concentration
It differs from different batches. Please contact us to confirm it.
Buffer
Rabbit IgG in PBS (pH 7.4) containing 50% glycerol, and 0.02% sodium azide.
Form
Liquid
Tested Applications
ELISA, WB, FC, ICC
Recommended Dilution
Application Recommended Dilution
WB 1:1000-1:5000
FC 1:200-1:2000
ICC 1:100-1:1000
Troubleshooting and FAQs
Storage
Upon receipt, store at -20°C or -80°C. Avoid repeated freeze.
Lead Time
Basically, we can dispatch the products out in 1-3 working days after receiving your orders. Delivery time maybe differs from different purchasing way or location, please kindly consult your local distributors for specific delivery time.
Usage
For Research Use Only. Not for use in diagnostic or therapeutic procedures.

Customer Reviews and Q&A

 Customer Reviews

There are currently no reviews for this product.

Submit a Review here

Target Background

Function
Involved in chromosome cohesion during cell cycle and in DNA repair. Central component of cohesin complex. The cohesin complex is required for the cohesion of sister chromatids after DNA replication. The cohesin complex apparently forms a large proteinaceous ring within which sister chromatids can be trapped. At anaphase, the complex is cleaved and dissociates from chromatin, allowing sister chromatids to segregate. The cohesin complex may also play a role in spindle pole assembly during mitosis. Involved in DNA repair via its interaction with BRCA1 and its related phosphorylation by ATM, or via its phosphorylation by ATR. Works as a downstream effector both in the ATM/NBS1 branch and in the ATR/MSH2 branch of S-phase checkpoint.
Gene References into Functions
  1. Both the SMC1A and SMC3 gene mutation tests were negative in all Chinese patients with Cornelia de Lange syndrome. PMID: 29452578
  2. maintenance of the cancer cell state is dependent on recruitment of Mediator and Cohesin through FOXA and master transcription factors PMID: 27739523
  3. We conclude that SMC1A variants can result in a phenotype resembling CdLS and a phenotype resembling Rett syndrome. Resemblances between the SMC1A group and the NIPBL group suggest that a disturbed cohesin function contributes to the phenotype, but differences between these groups may also be explained by other underlying mechanisms such as moonlighting of the cohesin genes. PMID: 28548707
  4. All the nine probands with syndromic craniosynostosis were found to carry the possibly causative variants, among which three variants including two missense mutations in IFT122 gene, in SMC1A gene and a frameshift mutation in TWIST1 gene have never been reported in patients before. PMID: 29037998
  5. Based on these findings, LVNC cardiomyopathy and cleft lip should be considered features of SMC1A-associated CdLS. All patients should receive echocardiogram and undergo thorough ophthalmologic evaluation as part of routine CdLS care. PMID: 28102598
  6. Elevated expression of SMC1A in colorectal cancer cells promoted liver metastasis by recruiting the circulating tumor-associated fibroblasts. PMID: 27826041
  7. This study demonstrated that Truncation mutations in SMC1A cause a severe epilepsy phenotype with cluster seizures in females. PMID: 28166369
  8. Our data show the existence of a novel phenotypic entity - distinct from Cornelia de Lange syndrome - and caused by de novo SMC1A loss-of-function mutations PMID: 26752331
  9. We identified a large number of mutations in the CC region of both Smc1 and Smc3... we introduced them to the yeast Smc1 and Smc3 CC domains and characterized the effect of these mutant alleles on cohesin's function. We identified a missense mutation in the region of the kink domain of Smc3, which was previously identified in kidney carcinoma. PMID: 27307603
  10. High SMC1A expression is associated with prostate cancer. PMID: 27667360
  11. Results showed that the high expression of SMC1 often promoted epithelial-mesenchymal transition, accompanied by the enhanced expression of Brachyury in triple-negative breast cancer cells. PMID: 26781859
  12. SMC1A plays an oncogenic role in colorectal cancer. PMID: 26637483
  13. Loss-of-function mutations of SMC1A may be associated with early-onset encephalopathy with epilepsy. PMID: 26358754
  14. numerous dysregulated genes occupied by cohesin by combining the transcriptome of CdLS cell lines carrying mutations in SMC1A gene, were identified. PMID: 26581180
  15. two novel de novo heterozygous frameshift mutations in the SMC1A gene were identified in two patients with developmental delay and epilepsy. PMID: 26386245
  16. Our findings identify both SMC1 and CTCF as critical regulators of the differentiation-dependent life cycle of high-risk human papillomaviruses PMID: 25875106
  17. same down-regulation of cohesin targets is observed in SMC1A-mutated patient fibroblasts PMID: 26206533
  18. Results show that SMC1A is overexpressed in colorectal cancer tissues and correlated with poor prognosis for late stage disease. PMID: 25884313
  19. The SMC1a mutation leads to chromosomal instability and tumorigenesis in early colorectal adenomas. PMID: 25080505
  20. A dominant negative effect is considered the pathogenic mechanism in SMC1A-defective female patients, the level of allelic preferential expression might be one of the factors contributing to the wide phenotypic variability observed in these patients. PMID: 24756084
  21. Clinical comparison between our patient with a previously reported individual with a SMC1A duplication and four male carriers of similar sSMC reported in databases, suggest that they all share clinical features related to cohesinopathies PMID: 23683030
  22. The mutation c.1731G>A/p.E577E in our patient expands the mutational spectrum of SMC1A to splice site mutations and also represents the first exonic synonymous splice site mutation observed in any human cohesinopathy PMID: 23863341
  23. Our clinical and molecular findings expand the total number of characterized SMC1A-mutated patients (from 44 to 52) and the restricted repertoire of SMC1A mutations (from 29 to 34), contributing to the molecular and clinical signature of SMC1A-based CdLS. PMID: 24124034
  24. Inhibiting SMC1A expression efficiently (P < 0.001) resulted in inhibiting the proliferation and colony formation of U251 and U87MG glioblastoma cells. PMID: 23754617
  25. Human SMC3 knock-down rendered SMC1 instable without cytoplasmic accumulation. PMID: 23776448
  26. studies report for the first time that SMC1 is overexpressed in TNBC cells where it plays a role in cell migration and drug sensitivity, and thus provides a potential therapeutic target for this highly invasive breast cancer subtype PMID: 23717600
  27. These results suggest that SMC1A upregulation is involved in the pathogenesis of glioma. PMID: 23638217
  28. c-MYC down-regulation caused by cohesin mutations in SMC1A and SMC3 genes may be an early/primary event in the pathogenesis of Cornelia de Lange syndrome. PMID: 23106691
  29. NIPBL, SMC1A, and SMC3 mutation-positive patients were equally likely to have congenital heart diseases in Cornelia de lange syndrome. PMID: 22965847
  30. phosphorylation of Rad50 plays a key regulatory role as an adaptor for specific ATM-dependent downstream signaling through SMC1 for DNA repair and cell cycle checkpoint control in the maintenance of genome integrity. PMID: 21757780
  31. phosphorylation of SMC1 is required for an increased mobility after DNA damage in G2-phase cells, suggesting that ATM-dependent phosphorylation facilitates mobilization of the cohesin complex after DNA damage PMID: 21056556
  32. SMC1A missense mutation is associated with Cornelia de Lange syndrome. PMID: 20635401
  33. Low SMC1A expression predicts poor survival in acute myeloid leukemia. PMID: 20514443
  34. The identification of 14 additional mutations of the cohesin complex genes NIPBL and SMC1A in a cohort of 30 unrelated patients with Cornelia de Lange syndrome, is reported. PMID: 20358602
  35. Interaction between Rae1 and cohesin subunit SMC1 is required for proper spindle formation. PMID: 20016259
  36. results suggest that mechanistically SMC1A-related Cornelia de Lange Syndrome is not due to altered levels of the SMC1A transcript, but rather that the mutant proteins maintain a residual function in males and enact a dominant negative effect in females. PMID: 19701948
  37. This protein is localized at the kinetochores and is involved in cell division. PMID: 12199140
  38. Inhibition of SMC1 is associated with chromosomal aberrations PMID: 15640246
  39. RPGR-ORF15, which is mutated in retinitis pigmentosa, associates with SMC1. PMID: 16043481
  40. Replication timing of FRA3B in G2 was studied by bromodeoxyuridine (BrdU) labeling by a fluorescence in situ hybridization (FISH)-based approach through the analysis of clones spanning the FRA3B region. PMID: 16242161
  41. mutations in SMC1L1 (also known as SMC1), which encodes a different subunit of the cohesin complex, are responsible for Cornelia de Lange syndrome in three male members of an affected family and in one sporadic case PMID: 16604071
  42. SMC1 binding represses OARE [OA (okadaic acid) response element] activity and its dissociation allows the recruitment of CAR(constitutive active/androstane receptor) to the OARE, synergizing the expression of the CYP2B6 gene. PMID: 16623664
  43. nuclear exclusion is important to prevent cohesin cleavage during interphase in the absence of securin and the phosphorylation inhibition PMID: 17102637
  44. So far, two genes (NIPBL and SMC1L1) have been identified causing Cornelia de Lange syndrome (CdLS) or CdLS-like phenotypes. PMID: 17106445
  45. Mutations in SMC1A cause a mild variant of cornelia de Lange syndrome with predominant mental retardation PMID: 17273969
  46. The S-phase checkpoint, regulated by the ATM-p95/NBS1-SMC1 pathway, was also triggered in hypoxia/reoxygenation-exposed lymphocytes. PMID: 17544403
  47. identified as one of five genes containing 11 somatic mutations in a panel that included 132 colorectal cancers, then demonstrated that down-regulation of such homologs resulted in chromosomal instability and chromatid cohesion defects in human cells PMID: 18299561
  48. ATM plays a fundamental role in promoting the radiation-induced interaction of NBS1 with SMC1 in the presence of BRCA1, leading to the maintenance of chromosomal integrity. PMID: 18763866
  49. SMC1 is recruited to microtubule-bound RNA export factor 1 (Rae1) at the mitotic spindle pole. PMID: 18832153
  50. Cornelia de Lange syndrome mutations in SMC1A or SMC3 bind to DNA with higher affinity and display genomic instability. PMID: 18996922

Show More

Hide All

Involvement in disease
Cornelia de Lange syndrome 2 (CDLS2)
Subcellular Location
Nucleus. Chromosome. Chromosome, centromere, kinetochore. Note=Associates with chromatin. Before prophase it is scattered along chromosome arms. During prophase, most of cohesin complexes dissociate from chromatin probably because of phosphorylation by PLK, except at centromeres, where cohesin complexes remain. At anaphase, the RAD21 subunit of the cohesin complex is cleaved, leading to the dissociation of the complex from chromosomes, allowing chromosome separation. In germ cells, cohesin complex dissociates from chromatin at prophase I, and may be replaced by a meiosis-specific cohesin complex. The phosphorylated form on Ser-957 and Ser-966 associates with chromatin during G1/S/G2 phases but not during M phase, suggesting that phosphorylation does not regulate cohesin function. Integral component of the functional centromere-kinetochore complex at the kinetochore region during mitosis.
Protein Families
SMC family, SMC1 subfamily
Database Links

HGNC: 11111

OMIM: 300040

KEGG: hsa:8243

STRING: 9606.ENSP00000323421

UniGene: Hs.211602

icon of phone
Call us
301-363-4651 (Available 9 a.m. to 5 p.m. CST from Monday to Friday)
icon of address
Address
7505 Fannin St., Ste 610, Room 7 (CUBIO Innovation Center), Houston, TX 77054, USA
icon of social media
Join us with

Subscribe newsletter

Leave a message

* To protect against spam, please pass the CAPTCHA test below.
CAPTCHA verification
© 2007-2025 CUSABIO TECHNOLOGY LLC All rights reserved. 鄂ICP备15011166号-1
×
Place an order now

I. Product details

*
*
*
*

II. Contact details

*
*

III. Ship To

*
*
*
*
*
*
*

IV. Bill To

*
*
*
*
*
*
*
*