VEGFD Recombinant Monoclonal Antibody

Code CSB-RA233922A0HU
Size US$210
Order now
Image
  • Flow cytometric analysis of vascular endothelial growth factor D expression in HepG2 cells using vascular endothelial growth factor D antibody. Green, isotype control; red, vascular endothelial growth factor D.
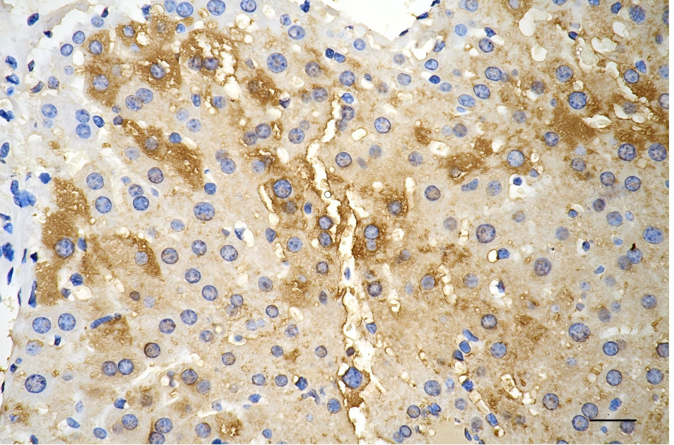
  • Immunohistochemistry was performed on paraffin-embedded mouse liver using vascular endothelial growth factor D antibody. Antigen retrieval was done in sodium citrate buffer (pH 6.0). DAB was used for detection, with hematoxylin counterstaining. Images were acquired using a Nikon Ci-L Plus microscope (40× objective). Scale bar: 25 μm.
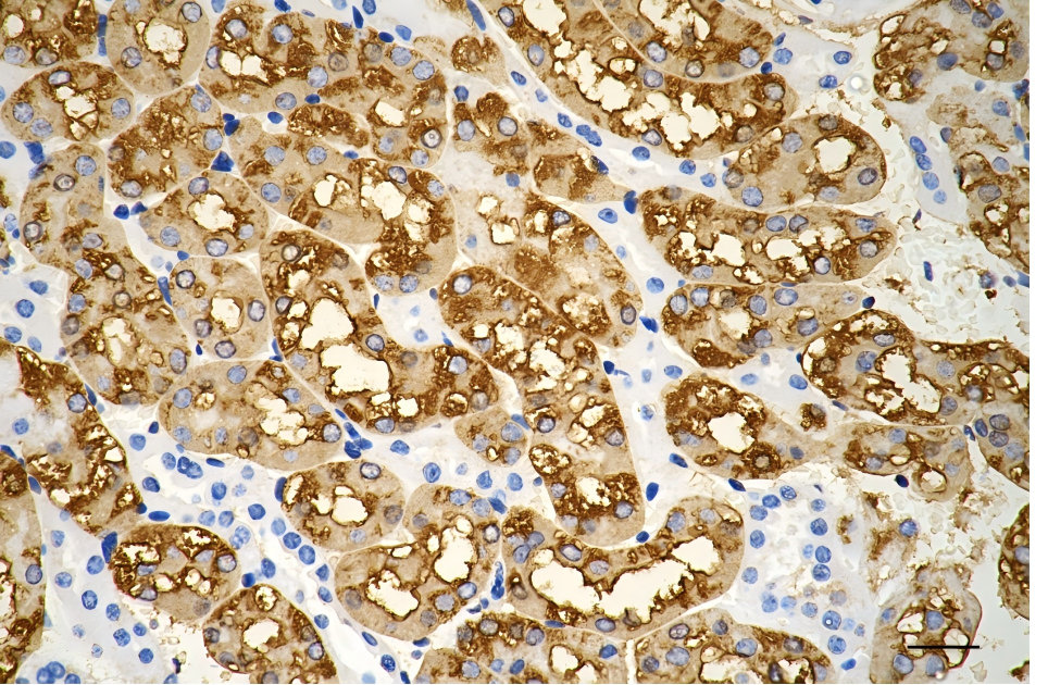
  • Immunohistochemistry was performed on paraffin-embedded mouse kidney using vascular endothelial growth factor D antibody. Antigen retrieval was done in sodium citrate buffer (pH 6.0). DAB was used for detection, with hematoxylin counterstaining. Images were acquired using a Nikon Ci-L Plus microscope (40× objective). Scale bar: 25 μm.
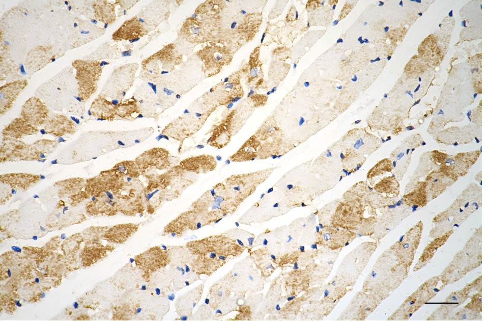
  • Immunohistochemistry was performed on paraffin-embedded mouse heart using vascular endothelial growth factor D antibody. Antigen retrieval was done in sodium citrate buffer (pH 6.0). DAB was used for detection, with hematoxylin counterstaining. Images were acquired using a Nikon Ci-L Plus microscope (40× objective). Scale bar: 25 μm.
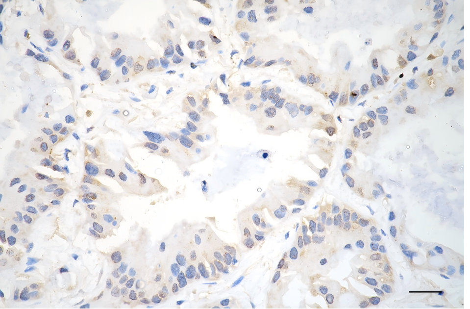
  • Immunohistochemistry was performed on paraffin-embedded human lung adenocarcinoma using vascular endothelial growth factor D antibody. Antigen retrieval was done in sodium citrate buffer (pH 6.0). DAB was used for detection, with hematoxylin counterstaining. Images were acquired using a Nikon Ci-L Plus microscope (40× objective). Scale bar: 25 μm.
  • Western blotting analysis using vascular endothelial growth factor D antibody. Total cell lysates (30 μg) from various cell lines were loaded and separated by SDS-PAGE. The blot was incubated with vascular endothelial growth factor D antibody and HRP-conjugated goat anti-rabbit secondary antibody respectively.
Have Questions? Leave a Message or Start an on-line Chat

Product Details

Uniprot No.
Target Names
Alternative Names
VEGFD; Vascular Endothelial Growth Factor D; VEGF-D; FIGF; C-Fos Induced Growth Factor (Vascular Endothelial Growth Factor D); C-Fos-Induced Growth Factor
Species Reactivity
Human, Mouse, Rat
Immunogen
Recombinant Human VEGFD protein
Immunogen Species
Homo sapiens (Human)
Conjugate
Non-conjugated
Clonality
Monoclonal
Isotype
Rabbit IgG
Clone No.
12E11
Purification Method
Affinity-chromatography
Concentration
It differs from different batches. Please contact us to confirm it.
Buffer
Rabbit IgG in PBS (pH 7.4) containing 50% glycerol, and 0.02% sodium azide.
Form
Liquid
Tested Applications
ELISA, WB, FC, IHC
Recommended Dilution
Application Recommended Dilution
WB 1:1000-1:5000
FC 1:200-1:2000
IHC 1:100-1:200
Troubleshooting and FAQs
Storage
Upon receipt, store at -20°C or -80°C. Avoid repeated freeze.
Lead Time
Basically, we can dispatch the products out in 1-3 working days after receiving your orders. Delivery time maybe differs from different purchasing way or location, please kindly consult your local distributors for specific delivery time.
Usage
For Research Use Only. Not for use in diagnostic or therapeutic procedures.

Customer Reviews and Q&A

 Customer Reviews

There are currently no reviews for this product.

Submit a Review here

Target Background

Function
Growth factor active in angiogenesis, lymphangiogenesis and endothelial cell growth, stimulating their proliferation and migration and also has effects on the permeability of blood vessels. May function in the formation of the venous and lymphatic vascular systems during embryogenesis, and also in the maintenance of differentiated lymphatic endothelium in adults. Binds and activates VEGFR-2 (KDR/FLK1) and VEGFR-3 (FLT4) receptors.
Gene References into Functions
  1. SPARC expression was inversely associated with the degree of malignancy and it had a negative correlation with VEGF-C and VEGF-D expression. Results suggest SPARC might function as a tumor suppressor inhibiting angiogenesis and lymphangiogenesis in ovarian cancer by reducing the expression of VEGF-C and VEGF-D. PMID: 29075785
  2. Serum VEGF-D levels were significantly increased in definite lymphangioleiomyomatosis (LAM) patients compared with healthy controls. Serum VEGF-D levels were significantly increased in definite LAM patients who had chylothorax compared with those without chylothorax. PMID: 29906075
  3. no difference in the levels of VEGF-A, VEGF-C, and VEGF-D in pre-eclampsia compared to normotensive pregnant women stratified by HIV status PMID: 28524736
  4. CXCR4, CCR7, VEGF-C and VEGF-D expression might have synergistic effects on the lymph node metastasis in patients with cervical cancer. PMID: 28535405
  5. VEGF-D-induced changes in serine/threonine kinase mTOR shuttling between the cytosol and nucleus and its increased phosphorylation at Ser-2448, lead us to the conclusion that the observed shift in redox balance is regulated via mTOR kinase signalling. PMID: 27957793
  6. High VEGFD expression is associated with lymphangioleiomyomatosis. PMID: 28202529
  7. Data show that VEGF-C, VEGF-D, and VEGFR-3 were expressed in a substantial percentage of breast carcinomas. PMID: 28791841
  8. High VEGFD expression is associated with angiogenesis and lymphangiogenesis. PMID: 27852824
  9. VEGF-D and its receptors were co-localized on blood vessels in clinical samples of human lungs exposed to hyperoxia; hence, VEGF-D may act directly on blood vessels to promote fluid leak. PMID: 26924464
  10. VEGF-D-enhanced metastasis was evidently reversed by MP. MP significantly reduced the invasion of VEGFD-SK cells, tumor volume, lymphatic metastasis rates and lymphatic vessel density compared with control groups PMID: 27211072
  11. Sulf2 facilitated lymphangiogenesis in breast cancer cells by regulating VEGF-D and that the AKT1related signaling pathway was involved. PMID: 27748846
  12. Data indicate that vascular endothelial growth factor D (VEGF-D) was the best indicator of metastasis and vascular endothelial growth factors and receptor-3 (VEGFR-3) may help to determine the prognosis and management of colorectal cancer (CRC). PMID: 26476536
  13. Taken together, our data suggest that TNF-alpha can promote lymphangiogenesis and lymphatic metastasis of GBC through the ERK1/2/AP-1/VEGF-D pathway. PMID: 26992854
  14. VEGF-D may play an important role in the process of lymphatic metastasis of epithelial ovarian cancer PMID: 23915006
  15. CCL21/CCR7 induce VEGF-D up-regulation and promote lymphangiogenesis via ERK/Akt pathway in lung cancer. PMID: 26884842
  16. The most extensively accepted signaling pathways promoting lymphangiogenesis in tumors include the secreted lymphangiogenic proteins: VEGF-C and VEGF-D, and their cognate receptor on lymphatic endothelium VEGF receptor-3 (VEGFR-3). PMID: 26706909
  17. Study demonstrated that VEGF-D upregulates myofibroblast proliferation, migration, and collagen synthesis through activation of VEGF pathway. PMID: 26724950
  18. MTA1 is up-regulated in CRC; its expression is inversely associated with lymphatic metastases and the expression of VEGFC, VEGFD and VEGFR3 PMID: 26543080
  19. VEGF-C/D score correlated neither with periphery Lymphatic vessel density (LVD) nor with LVD in the tumor center PMID: 26296919
  20. study suggests that both VEGF-C and VEGF-D in tumor cells promote lymph node metastasis PMID: 25911567
  21. A positive association for VEGF-D and an inverse association for MMP-2 were observed in patients with positive lymph node status at the time of radical cystectomy in urothelial carcinoma of the bladder. PMID: 26241709
  22. These findings suggest that IL-8 may be a potent inducer of LECs, although this effect does not appear to involve the VEGF-C/VEGF-D and VEGFR-3 signaling pathway. PMID: 25891418
  23. fluid shear stress induces the synthesis of Insulin growth factor-2 and vascular endothelial growth factor (VEGF) B and D, which in turn transactivate MMP-12. PMID: 25435370
  24. Among VEGF homologs, MMPE from various kinds of tumor origin, VEGF-D showed 92.6% rate of positive expression. ICC stain of VEGF-D is a useful marker in the aid of MMPE diagnosis. PMID: 25221955
  25. The preoperative sVEGF-C/D levels might be reliable biomarkers for the presence of disease and LNM in patients with GBC. The sVEGF-C/D levels may be prognosis factors that can predict a poor outcome for GBC patients PMID: 25801241
  26. VEGF-D is involved in the development of lymphangiogenesis in peritoneal dialysis patients. PMID: 26121315
  27. Both VEGF-C and VEGF-D are highly expressed in esophageal squamous cell cancer tissue, which may be related to the lymph node metastasis of cancer cells. PMID: 25640364
  28. predictive value of VEGF-D expression for bevacizumab may depend on the chemotherapy backbone used PMID: 26125443
  29. Transforming growth factor-beta1 downregulates vascular endothelial growth factor-D expression in human lung fibroblasts via the Jun NH2-terminal kinase signaling pathway PMID: 24515257
  30. Increase of VEGFD protein expression is associated with oral squamous cell carcinoma. PMID: 24085575
  31. overexpression of lymphangiogenic factors VEGF-C and VEGF-D in colon adenocarcinoma was associated with increased vessel density in tumor-surrounding stroma. PMID: 24173916
  32. Predictive marker analysis indicated that plasma levels of VEGF-D, Ang2, and SDF1 significantly predicted for benefit or lack of benefit from bevacizumab in this population. PMID: 24097873
  33. VEGF-D promotes lymph node metastasis by increasing tumor lymphangiogenesis, stimulating draining lymphatic vessel formation and enhancing tumor invasiveness. PMID: 24502459
  34. High VEGF-D is associated with gastric cancer. PMID: 23238856
  35. Dysregulated expression of VEGF-D likely contributes to altered angiogenesis, lymphangiogenesis, neurogenesis and immune function in endometriosis. PMID: 23585340
  36. The expression of VEGFR-3 and its ligands, VEGF-C and VEGF-D, significantly increased after activating ET(B)R by ET-1 in primary and metastatic melanoma cell lines PMID: 22965194
  37. Serum VEGF-D may be useful for monitoring response to treatment with sirolimus and kidney angiomyolipoma size in patients with tuberous sclerosis complex. PMID: 23437092
  38. Serum vascular endothelial growth factor (VEGF)-D is significantly elevated in patients with lymphangioleiomyomatosis and is a better diagnostic marker than matrix metalloproteinase (MMP)-2, MMP-9 and ACE. PMID: 22513045
  39. The propeptides profoundly influence molecular interactions of VEGF-D with VEGF receptors, co-receptors, and heparin, and its effects on tumor biology. PMID: 23404505
  40. Peritumoral lymphangiogenesis induced by vascular endothelial growth factor D promotes lymph node metastasis in breast cancer. PMID: 22906075
  41. Correlation between intensity of AT-1R expression and expression of lymph- and angiogenesis markers in IDC was examined. Expression intensity of AT-1R was found to correlate with expressions of VEGF-A (r = 0.26; p = 0.008)and VEGF-D (r = 0.24; p = 0.015). PMID: 22581182
  42. Lymphatic microvessel density, VEGF-C and VEGF-D could predict poor prognosis in patients with breast cancer. PMID: 23054001
  43. VEGFD added to the culture medium increased the number of cells expressing tyrosine hydroxylase (a marker for DA neurons) and betaIII-tubulin (a marker for DA neurons) and betaIII-tubulin (a marker for immature neurons) in both the NTera2 and I6 cell lines. PMID: 22535492
  44. results demonstrated that ET-1 and hypoxia act, at list in part, through VEGF to induce lymphangiogenic events and that these two stimuli may cooperate to induce VEGF-A/-C/-D expression and lymphatic differentiation. PMID: 22552325
  45. Differential capacity for VEGF-D production and integrin alpha 9 beta 1 expression by human breast cancer cell line MDA-MB-468LN jointly contributed to their lymphatic metastatic phenotype. PMID: 22545097
  46. VEGF-D has a role in progestin-induced break-through bleeding in thin-walled blood and lymphatic endometrial vessels PMID: 22383980
  47. These data demonstrate that the VEGF-D serum levels are reduced in patients with metastases of differentiated thyroid cancer, regardless of the degree of metastatic spread. PMID: 21781145
  48. A significant relationship was found in salivary gland tumors with myoepithelial differentiation regarding simultaneous positive staining for VEGF-C/VEGF-D and flt-4 PMID: 22326635
  49. Vascular endothelial growth factor D was expressed in 4 of 7 primary and 7 of 7 metastatic lesions. In culture, vascular endothelial growth factor D significantly increased the migration of sarcoma cells through lymphatic endothelial monolayers. PMID: 22326461
  50. VEGF-D is involved and plays an important role in gallbladder cancer (GBC), progression, suggesting that VEGF-D may be a potential molecular target in the treatment of GBC. PMID: 22071224

Show More

Hide All

Subcellular Location
Secreted.
Protein Families
PDGF/VEGF growth factor family
Tissue Specificity
Highly expressed in lung, heart, small intestine and fetal lung, and at lower levels in skeletal muscle, colon, and pancreas.
Database Links

HGNC: 3708

OMIM: 300091

KEGG: hsa:2277

STRING: 9606.ENSP00000297904

UniGene: Hs.11392

icon of phone
Call us
301-363-4651 (Available 9 a.m. to 5 p.m. CST from Monday to Friday)
icon of address
Address
7505 Fannin St., Ste 610, Room 7 (CUBIO Innovation Center), Houston, TX 77054, USA
icon of social media
Join us with

Subscribe newsletter

Leave a message

* To protect against spam, please pass the CAPTCHA test below.
CAPTCHA verification
© 2007-2025 CUSABIO TECHNOLOGY LLC All rights reserved. 鄂ICP备15011166号-1
×
Place an order now

I. Product details

*
*
*
*

II. Contact details

*
*

III. Ship To

*
*
*
*
*
*
*

IV. Bill To

*
*
*
*
*
*
*
*