FOXP1 Antibody

Code CSB-PA008841EA01HU
Size US$166
Order now
Image
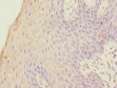
  • Immunohistochemistry of paraffin-embedded human tonsil tissue using CSB-PA008841EA01HU at dilution of 1:100

  • Chromatin Immunoprecipitation Hela (1.1*106) were cross-linked with formaldehyde, sonicated, and immunoprecipitated with 4µg anti-FOXP1 or a control normal rabbit IgG. The resulting ChIP DNA was quantified using real-time PCR with primers (CSB-PP008841HU) against the HSP90B promoter.

Promotion Free Antibody trial simple
Have Questions? Leave a Message or Start an on-line Chat

Product Details

Full Product Name
Rabbit anti-Homo sapiens (Human) FOXP1 Polyclonal antibody
Uniprot No.
Target Names
FOXP1
Alternative Names
12CC4 antibody; FLJ23741 antibody; Fork head related protein like B antibody; Forkhead box P1 antibody; Forkhead box protein P1 antibody; FOX P1 antibody; FOXP 1 antibody; foxp1 antibody; FOXP1_HUMAN antibody; Glutamine rich factor 1 antibody; hFKH1B antibody; HSPC215 antibody; MGC12942 antibody; MGC88572 antibody; MGC99551 antibody; QRF 1 antibody; QRF1 antibody
Raised in
Rabbit
Species Reactivity
Human
Immunogen
Recombinant Human Forkhead box protein P1 protein (1-114AA)
Immunogen Species
Homo sapiens (Human)
Conjugate
Non-conjugated

The FOXP1 Antibody (Product code: CSB-PA008841EA01HU) is Non-conjugated. For FOXP1 Antibody with conjugates, please check the following table.

Available Conjugates
Conjugate Product Code Product Name Application
HRP CSB-PA008841EB01HU FOXP1 Antibody, HRP conjugated ELISA
FITC CSB-PA008841EC01HU FOXP1 Antibody, FITC conjugated
Biotin CSB-PA008841ED01HU FOXP1 Antibody, Biotin conjugated ELISA
Clonality
Polyclonal
Isotype
IgG
Purification Method
>95%, Protein G purified
Concentration
It differs from different batches. Please contact us to confirm it.
Buffer
Preservative: 0.03% Proclin 300
Constituents: 50% Glycerol, 0.01M PBS, PH 7.4
Form
Liquid
Tested Applications
ELISA, IHC, ChIP
Recommended Dilution
Application Recommended Dilution
IHC 1:20-1:200
Troubleshooting and FAQs
Storage
Upon receipt, store at -20°C or -80°C. Avoid repeated freeze.
Lead Time
Basically, we can dispatch the products out in 1-3 working days after receiving your orders. Delivery time maybe differs from different purchasing way or location, please kindly consult your local distributors for specific delivery time.
Usage
For Research Use Only. Not for use in diagnostic or therapeutic procedures.

Customer Reviews and Q&A

 Customer Reviews

There are currently no reviews for this product.

Submit a Review here

Target Background

Function
Transcriptional repressor. Can act with CTBP1 to synergistically repress transcription but CTPBP1 is not essential. Plays an important role in the specification and differentiation of lung epithelium. Acts cooperatively with FOXP4 to regulate lung secretory epithelial cell fate and regeneration by restricting the goblet cell lineage program; the function may involve regulation of AGR2. Essential transcriptional regulator of B-cell development. Involved in regulation of cardiac muscle cell proliferation. Involved in the columnar organization of spinal motor neurons. Promotes the formation of the lateral motor neuron column (LMC) and the preganglionic motor column (PGC) and is required for respective appropriate motor axon projections. The segment-appropriate generation of spinal chord motor columns requires cooperation with other Hox proteins. Can regulate PITX3 promoter activity; may promote midbrain identity in embryonic stem cell-derived dopamine neurons by regulating PITX3. Negatively regulates the differentiation of T follicular helper cells T(FH)s. Involved in maintenance of hair follicle stem cell quiescence; the function probably involves regulation of FGF18. Represses transcription of various pro-apoptotic genes and cooperates with NF-kappa B-signaling in promoting B-cell expansion by inhibition of caspase-dependent apoptosis. Binds to CSF1R promoter elements and is involved in regulation of monocyte differentiation and macrophage functions; repression of CSF1R in monocytes seems to involve NCOR2 as corepressor. Involved in endothelial cell proliferation, tube formation and migration indicative for a role in angiogenesis; the role in neovascularization seems to implicate suppression of SEMA5B. Can negatively regulate androgen receptor signaling. Acts as a transcriptional activator of the FBXL7 promoter; this activity is regulated by AURKA.; Involved in transcriptional regulation in embryonic stem cells (ESCs). Stimulates expression of transcription factors that are required for pluripotency and decreases expression of differentiation-associated genes. Has distinct DNA-binding specifities as compared to the canonical form and preferentially binds DNA with the sequence 5'-CGATACAA-3' (or closely related sequences). Promotes ESC self-renewal and pluripotency.
Gene References into Functions
  1. Co-occurrence of mutations in FOXP1 and PTCH1 in a girl with extreme megalencephaly, callosal dysgenesis and profound intellectual disability. PMID: 30181650
  2. miR-29b recedes the progression of multiple myeloma (MM) via downregulating FOXP1, which may provide a potential biological target for MM treatment. PMID: 30068241
  3. The tumour suppressors FOXP1 and NKX3.1, strongly implicated in PCa development, were identified as key transcription factors regulating TPbeta expression through Prm3 in both PCa cell lines. PMID: 28890397
  4. The findings, in addition to expanding the molecular spectrum of FOXP1 mutations, emphasize the emerging role of WGS in identifying small balanced chromosomal rearrangements responsible for neurodevelopmental disorders and not detected by conventional cytogenetics. PMID: 29969624
  5. MiR-92a may act as a tumor inducer in OSCC by suppressing FOXP1 expression. PMID: 29772443
  6. the varients of FOXP1 and FOXF1 genes are functionally associated with oesophageal adenocarcinoma in Chinese population. PMID: 29666340
  7. Results show that FOXP1 acts as the functional protein of SNHG12. Its expression is regulated by SNHG12 and miR-101-3p in glioma cells. PMID: 30098431
  8. Having a SNP in the FOXP1 gene in the absence of Reflux symptoms had an odds ratio of developing Barrett's esophagus of 1.5. PMID: 29713984
  9. FOXP1 expression is epigenetically regulated by PRMT5. PMID: 29262329
  10. we have identified a novel de novo missense variant in FOXP1 that is identical to the most well-studied etiological variant in FOXP2. Functional characterization revealed clear similarities between these equivalent mutations in terms of their impact on protein function. PMID: 28741757
  11. FOXP1-related intellectual disability syndrome (ID) is a recognisable entity with wide clinical spectrum and frequent systemic involvement; more ID and neuromotor delay, sensorineural hearing loss and feeding difficulties are more common in patients with interstitial 3p deletions versus patients with monogenic FOXP1 defects; Mutations result in impaired transcriptional repression and/or reduced protein stability PMID: 28735298
  12. Prognostic value of decreased FOXP1 protein expression in various tumors, is reported. PMID: 27457567
  13. Blimp1, Foxp1 and pStat3 are expressed in extranodal diffuse large B-cell lymphomas PMID: 27924626
  14. Two rare novel FOXP1 variants associated with a phenotype similar to Mental Retardation with Language Impairment and with or without Autistic Features (MIM 613670). PMID: 28884888
  15. High FOXP1 expression is associated with acute lymphoblastic leukemia. PMID: 27588474
  16. The majority of pathogenic missense and in-frame mutations lie in the DNA-binding domain. The mutations perturb amino acids necessary for binding to the DNA or interfere with the domain swapping that mediates FOXP1 dimerization. PMID: 29090079
  17. Increased frequency of FOXP2 expression significantly correlated with FOXP1-positivity, and FOXP1 co-immunoprecipitated FOXP2 from activated B-cell-diffuse large B-cell lymphoma (ABC-DLBCL) cells. PMID: 27224915
  18. EBV-miR-BART11 plays a crucial role in the promotion of inflammation-induced nasopharyngeal carcinoma (NPC) and gastric cancer (GC) carcinogenesis by directly targeting and inhibiting FOXP1 tumor-suppressive effects. PMID: 27167345
  19. Although the mutant huntingtin gene is expressed widely, neurons of the striatum and cortex are selectively affected in Huntington's disease (HD). Our results suggest that this selectivity is attributable to the reduced expression of Foxp1, a protein expressed selectively in striatal and cortical neurons that plays a neuroprotective role in these cells. PMID: 28550168
  20. the activity of multiple alternate FOXP1 promoters to produce multiple protein isoforms is likely to regulate B-cell maturation. PMID: 27056922
  21. these novel insights into the function of FOXP1 isoforms in controlling the transcriptional program, survival and differentiation of B cells advance our understanding of the role of FOXP1 in lymphomagenesis and further enhance the value of FOXP1 for diagnostics, prognostics, and treatment of DLBCL patients. PMID: 27909217
  22. Data indicate that forkhead box P1 protein (FOXP1) as a target of microRNA miR-92a in primary mediastinal large B-cell lymphoma (PMBL). PMID: 27806315
  23. Results suggest that domain swapping in FoxP1 is at least partially linked to monomer folding stability and follows an unusual three-state folding mechanism, which might proceed via transient structural changes rather than requiring complete protein unfolding as do most domain-swapping proteins PMID: 27276253
  24. these data identify FOXP1 as an essential transcriptional regulator for primary human CD4(+) T cells and suggest its potential important role in the development of PTCL. PMID: 27861791
  25. Kaplan-Meier survival analysis showed that pancreatic ductal adenocarcinoma patients with negative forkhead box P1 and forkhead box O3a expression survived significantly shorter than patients with positive forkhead box P1 and forkhead box O3a expression (p = 0.000). PMID: 28466777
  26. FOXP1 knockdown significantly suppressed growth of HCC cells and induced G1/S phase arrest. PMID: 27618020
  27. FOXP1 has protein-protein interaction with NFAT1 on DNA and enhances breast cancer cell migration by repressing NFAT1 transcriptional activity. PMID: 27859969
  28. FOXP1 functions as an oncogene in promoting cancer stem cell-like characteristics in ovarian cancer cells. PMID: 26654944
  29. The findings highlight that de novo FOXP1 variants are a cause of sporadic intellectual disability and emphasize the importance of this transcription factor in neurodevelopment. PMID: 26647308
  30. we provide supportive evidence that genetic variants at FOXP1, BARX1, and FOXF1 confer risk for the development of EAC. PMID: 26383589
  31. Cell-line derived FOXP1 target genes that were highly correlated with FOXP1 expression in primary DLBCL accurately segregated the corresponding clinical subtypes of a large cohort of primary DLBCL isolates PMID: 26787899
  32. S1PR2 is repressed by FOXP1 in activated B-cell and germinal center B-cell DLBCL cell lines with aberrantly high FOXP1 levels; S1PR2 expression is further inversely correlated with FOXP1 expression in 3 DLBCL patient cohorts. PMID: 26729899
  33. FOXP1 represents a novel regulator of genes targeted by the class II MHC transactivator CIITA and CD74. PMID: 26500140
  34. FOXP1 - novel candidate genes validated in a large case-control sample of schizophrenia. PMID: 26460480
  35. Studied the expression of FOXP1 in colorectal cancer and its potential associations with outcome in colorectal cancer. PMID: 26489674
  36. Authors identified forkhead box protein P1 (FOXP1) as a direct target of miR-504 using microarray analysis and a luciferase assay. PMID: 26854715
  37. FOXP1 is present in normal cells of erythroid and myeloid linages and may have a possible role in development of all hematopoetic cells as well as possible involvement in neoplasm development of myeloid disorders. PMID: 26898077
  38. Over-expression of FOXP1 and SPINK1 may participate in the carcinogenesis of hepatitis B virus related cirrhosis. PMID: 26054682
  39. FOXP1 expression is closely related to the degree of malignancy of epithelial ovarian cancer and may be a reliable index of the chemoresistance and prognosis of ovarian cancer PMID: 25895457
  40. FOXP1 overexpression specifically inhibits formation of IgG- but not IgM-secreting Plasma Cells. PMID: 26289642
  41. integral role for FoxP1 in regulating signaling pathways vulnerable in autism and the specific regulation of striatal pathways important for vocal communication PMID: 26494785
  42. This study demonstrated that Brain-specific Foxp1 deletion impairs neuronal development and causes autistic-like behavior and mental disorders. PMID: 25266127
  43. Foxp1 mediates programming of limb-innervating motor neurons from mouse and human embryonic stem cells. PMID: 25868900
  44. FOXP1 has a role in potentiating Wnt/beta-catenin signaling in diffuse large B cell lymphoma PMID: 25650440
  45. Data indicate that the mRNA level for forkhead box P1 (FOXP1) and estrogen receptor beta (ERbeta) in ovarian carcinoma tissues decreased, while the expression level of estrogen receptor alpha (ERalpha) mRNA increased. PMID: 25500588
  46. results suggest a novel mechanism in which AR-induced FOXP1 functions as a direct modulator of the AR and FOXA1 centric global transcriptional network. PMID: 25329375
  47. Our results suggest that down-regulation of FOXP1 expression is a common event in high-risk neuroblastoma pathogenesis and may contribute to tumor progression and unfavorable patient outcome. PMID: 25406647
  48. Abnormal expression of FOXP1 in renal cell carcinoma may create progression of tumor from low grade to high grade by regulating the HIF-1-VEGF pathway. PMID: 25778315
  49. The significant expression of FOXP1 may be helpful to some extent in the pathologic diagnosis of cervical mucinous minimal deviation adenocarcinoma PMID: 24908370
  50. Through direct repression of proapoptotic genes, (aberrant) expression of FOXP1 complements (constitutive) NF-kappaB activity to promote B-cell survival and can thereby contribute to B-cell homeostasis and lymphomagenesis. PMID: 25267198

Show More

Hide All

Involvement in disease
Mental retardation with language impairment and autistic features (MRLIAF)
Subcellular Location
Nucleus.
Tissue Specificity
Isoform 8 is specifically expressed in embryonic stem cells.
Database Links

HGNC: 3823

OMIM: 605515

KEGG: hsa:27086

STRING: 9606.ENSP00000318902

UniGene: Hs.59368

icon of phone
Call us
301-363-4651 (Available 9 a.m. to 5 p.m. CST from Monday to Friday)
icon of address
Address
7505 Fannin St., Ste 610, Room 7 (CUBIO Innovation Center), Houston, TX 77054, USA
icon of social media
Join us with

Subscribe newsletter

Leave a message

* To protect against spam, please pass the CAPTCHA test below.
CAPTCHA verification
© 2007-2025 CUSABIO TECHNOLOGY LLC All rights reserved. 鄂ICP备15011166号-1
×
Place an order now

I. Product details

*
*
*
*

II. Contact details

*
*

III. Ship To

*
*
*
*
*
*
*

IV. Bill To

*
*
*
*
*
*
*
*