SDCBP Monoclonal Antibody

Code CSB-MA020893A0m
Size US$210
Order now
Image
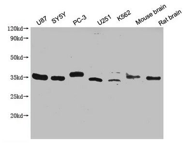
  • Western Blot
    Positive WB detected in: U87 whole cell lysate, SY5Y whole cell lysate, PC-3 whole cell lysate, U251 whole cell lysate, K562 whole cell lysate, Mouse brain tissue, Rat brain tissue
    All lanes: SDCBP antibody at 1:2000
    Secondary
    Goat polyclonal to mouse IgG at 1/50000 dilution
    Predicted band size: 32 kDa
    Observed band size: 35 KDa
    Exposure time:5min
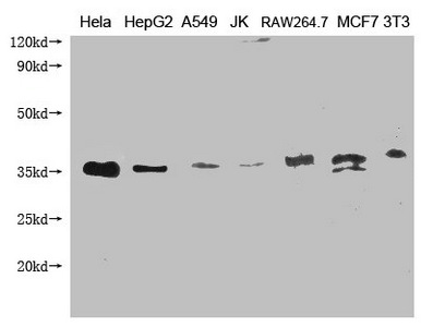
  • Western Blot
    Positive WB detected in: Hela whole cell lysate, HepG2 whole cell lysate, A549 whole cell lysate, JK whole cell lysate, RAW264.7 whole cell lysate, MCF7 whole cell lysate, 3T3 whole cell lysate
    All lanes: SDCBP antibody at 1:2000
    Secondary
    Goat polyclonal to mouse IgG at 1/50000 dilution
    Predicted band size: 32 kDa
    Observed band size: 35 KDa
    Exposure time:5min
Have Questions? Leave a Message or Start an on-line Chat

Product Details

Full Product Name
Mouse anti-Homo sapiens (Human) SDCBP Monoclonal antibody
Uniprot No.
Target Names
SDCBP
Alternative Names
MDA-9 antibody; MDA9 antibody; Melanoma differentiation-associated protein 9 antibody; Pro-TGF-alpha cytoplasmic domain-interacting protein 18 antibody; Scaffold protein Pbp1 antibody; SDCB1_HUMAN antibody; SDCBP antibody; ST1 antibody; SYCL antibody; Syndecan binding protein (syntenin) antibody; Syndecan binding protein 1 antibody; Syndecan-binding protein 1 antibody; Syntenin 1 antibody; Syntenin-1 antibody; TACIP18 antibody
Raised in
Mouse
Species Reactivity
Human, Mouse, Rat
Immunogen
Recombinant Human Syntenin-1 protein (2-298AA)
Immunogen Species
Homo sapiens (Human)
Conjugate
Non-conjugated
Clonality
Monoclonal
Isotype
IgG2b
Clone No.
2A3E2
Purification Method
>95%, Protein G purified
Concentration
It differs from different batches. Please contact us to confirm it.
Buffer
Preservative: 0.03% Proclin 300
Constituents: 50% Glycerol, 0.01M PBS, PH 7.4
Form
Liquid
Tested Applications
ELISA, WB
Recommended Dilution
Application Recommended Dilution
WB 1:1000-1:5000
Troubleshooting and FAQs
Storage
Upon receipt, store at -20°C or -80°C. Avoid repeated freeze.
Lead Time
Basically, we can dispatch the products out in 1-3 working days after receiving your orders. Delivery time maybe differs from different purchasing way or location, please kindly consult your local distributors for specific delivery time.
Description

The SDCBP monoclonal antibody is generated by immunizing mice with recombinant human SDCBP protein (2-298aa), isolating B cells from the mouse spleen, and fusing these B cells with myeloma cells to create hybridomas. The hybridoma cells are screened to select the SDCBP antibody-producing cell line, which is cultured in the mouse abdominal cavity. The purified SDCBP monoclonal antibody is obtained from the mouse ascites using protein G affinity chromatography, which ensures a purity of over 95%. It is an unconjugated IgG2b antibody that can recognize three species including human, mouse, and rat, and can be used in ELISA and WB applications.

SDCBP, also known as Syntenin-1, is a protein that is involved in various cellular processes, including cell adhesion, migration, and signaling. SDCBP is a scaffolding protein that interacts with various membrane and cytoplasmic proteins, such as syndecans, integrins, and signaling molecules, to form multi-protein complexes. These complexes are involved in the regulation of cell-cell and cell-matrix interactions, as well as in the modulation of intracellular signaling pathways, including those mediated by the Wnt and TGF-β signaling pathways. SDCBP has also been implicated in the regulation of endocytosis, exocytosis, and vesicular trafficking.

Usage
For Research Use Only. Not for use in diagnostic or therapeutic procedures.

Customer Reviews and Q&A

 Customer Reviews

There are currently no reviews for this product.

Submit a Review here

Target Background

Function
Multifunctional adapter protein involved in diverse array of functions including trafficking of transmembrane proteins, neuro and immunomodulation, exosome biogenesis, and tumorigenesis. Positively regulates TGFB1-mediated SMAD2/3 activation and TGFB1-induced epithelial-to-mesenchymal transition (EMT) and cell migration in various cell types. May increase TGFB1 signaling by enhancing cell-surface expression of TGFR1 by preventing the interaction between TGFR1 and CAV1 and subsequent CAV1-dependent internalization and degradation of TGFR1. In concert with SDC1/4 and PDCD6IP, regulates exosome biogenesis. Regulates migration, growth, proliferation, and cell cycle progression in a variety of cancer types. In adherens junctions may function to couple syndecans to cytoskeletal proteins or signaling components. Seems to couple transcription factor SOX4 to the IL-5 receptor (IL5RA). May also play a role in vesicular trafficking. Seems to be required for the targeting of TGFA to the cell surface in the early secretory pathway.
Gene References into Functions
  1. Studied role of melanoma differentiation associated protein-9 (MDA-9)/Syntenin in autophagy of anoikis-resistant glioma stem cells. PMID: 29760085
  2. Frizzled 7 and phosphatidylinositol 4,5-diphosphate binding by syntenin PDZ2 domain supports Frizzled 7 trafficking and signaling. PMID: 27386966
  3. Syntenin mediates SRC function in exosomal cell-to-cell communication. PMID: 29109268
  4. These findings demonstrate that syntenin promotes VEGF signaling and, through its PDZ-dependent interaction with ephrin-B2, enhances VEGF-mediated VEGFR2 endocytosis and subsequent downstream signaling and angiogenesis in endothelial cells PMID: 28418925
  5. Syntenin-1 promotes invasion and progression of squamous cell carcinomas of the head and neck. PMID: 27811365
  6. MDA-9 upregulated active levels of known modulators of epithelial mesenchymal transformation, the small GTPases RhoA and Cdc42, via TGFbeta1, promoting lung metastasis of breast cancer cells. PMID: 27863394
  7. a unique function of MDA-9 as a facilitator and determinant of glioma stemness and survival. PMID: 27472461
  8. SDCBP might be an important marker for identifying Triple negative breast cancer cases that are suitable for dasatinib therapy. PMID: 28141839
  9. ACTB, CDKN1B, GAPDH, GRB2, RHOA and SDCBP are potent reference genes in neuroendocrine tumors of the lung. PMID: 27802291
  10. In summary, the study identifies miR-216b as a regulator of SDCBP expression in breast cancer which can potentially be targeted for developing newer therapies for the effective treatment of this killer disease. PMID: 27720715
  11. Data show that patients with high MDA-9/Syntenin and high Slug expressions were associated with poor overall survival compared to those with low expression in lung adenocarcinomas. PMID: 26561205
  12. Data suggest that syntenin/SDCBP PDZ domains 1 and 2 recognize a broad range of peptide ligands with preferences for nectin-1, hydrophobic amino acid motifs, and cryptic internal ligands/peptide fragments. PMID: 26787460
  13. these findings demonstrate that syntenin may act as an important positive regulator of TGF-b signaling by regulating caveolin-1-mediated internalization of TbRI; thus, providing a novel function for syntenin that is linked to cancer progression. PMID: 25893292
  14. To predict mda-9's association with extracellular matrix organization. PMID: 26093898
  15. MDA-9, co-expressed with GRP78, as a melanoma protein associated with lymph node metastasis. Investigating how MDA-9 and GRP78 interact to contribute to melanoma metastasis and disease progression could reveal new potential avenues of targeted therapy PMID: 25480418
  16. Syntenin-ALIX exosome biogenesis and budding into multivesicular bodies are controlled by ARF6 and PLD2. PMID: 24637612
  17. High MDA-9 expresison is associated with glioma. PMID: 24305713
  18. ALCAM stably interacts with actin by binding to syntenin-1 and ezrin. PMID: 24662291
  19. Our findings indicate that MDA-9/Syntenin might provide an attractive target for developing detection, monitoring, and therapeutic strategies for managing Urothelial cell carcinoma . PMID: 23873690
  20. Results suggested that SDCBP played an important role in tumor growth of ER-negative breast cancers. PMID: 23533663
  21. Findings establish RKIP as an inhibitor of MDA-9-dependent melanoma metastasis. PMID: 23066033
  22. Our studies delineate an unanticipated cell nonautonomous function of MDA-9/syntenin in the context of angiogenesis, which may directly contribute to its metastasis-promoting properties PMID: 23233738
  23. results indicate Mda-9/syntenin overexpression could activate FAK-JNK and FAK-Akt signaling and then enhance the migration capacity of human brain glioma cells. PMID: 22938480
  24. Data show that syntenin-1 is recruited to the plasma membrane during HIV-1 attachment. PMID: 22535526
  25. the key role of syntenin-1 is the generation of functional asymmetry in T cells and provide a novel mechanistic link between receptor activation and actin polymerization and accumulation in response to extracellular stimulation. PMID: 22349701
  26. our data demonstrate that the Sox4 C-terminal domain regulates polyubiquitin-independent proteasomal degradation of Sox4 that can be modulated by interaction with syntenin PMID: 21986941
  27. MDA-9/syntenin functions as a positive regulator of melanoma progression and metastasis through interactions with c-Src and promotes the formation of an active FAK/c-Src signaling complex leading to NF-k B and matrix metalloproteinase activation. Review. PMID: 22201728
  28. mda-9/syntenin is involved in uveal melanoma progression PMID: 22267972
  29. ubiquitin-dependent pathway involving syntenin-1 that is regulated by Ulk1. PMID: 21949238
  30. mda-9/syntenin, a positive regulator of cancer metastasis, regulates the activation of Akt (also known as protein kinase B) by facilitating ILK adaptor function during adhesion to type I collagen (COL-I) in human breast cancer cells. PMID: 21828040
  31. showed that overexpression of wild-type MDA-9/syntenin enhances formation of filopodia, whereas MDA-9/syntenin lacking the PDZ domain inhibits the formation of filopodia PMID: 21359963
  32. ST1 were up-regulated with the malignancy of prostate cancer cell lines and have their potential as serum biomarkers for indicating the developmental stage of prostate cancer. PMID: 20233700
  33. Large/zonula occludens-1 domains of MDA-9 represent a promosing potential therapeutic target for preventing cancer progression and metastatic spread PMID: 20228839
  34. Data show that the functional properties of syntenin are a result of independent interactions with target peptides. PMID: 12679023
  35. melanoma metastasis is associated with increased expression of the syntenin gene which may participate in signal transduction and cell adhesion via the multifunctional protein-binding properties of its tandem PDZ domains PMID: 15254681
  36. eIF5A may be a regulator of p53, and syntenin might regulate p53 by balancing the regulation of eIF5A signaling to p53 for apoptosis PMID: 15371445
  37. This review discusses the identification, structure and function of mda-9/syntenin and delineates future studies to address its role in regulating key physiological and pathological processes. PMID: 15518882
  38. Study provides the first direct link between mda-9/syntenin expression and tumor cell dissemination in vivo and indicates that mda-9/syntenin expression activates specific signal transduction pathways. PMID: 16322237
  39. Together, these results suggest that downregulation of syntenin by RNA interference could provide a means of inhibiting tumor invasion and possibly metastasis in different cancers, and point to syntenin as a potential cancer biomarker and drug target. PMID: 17451681
  40. Syntenin binding to Delta1 plays a dual role in promoting intercellular adhesion and regulating Notch signalling. PMID: 17666427
  41. Suggest that syntenin is a physiological suppressor of TRAF6 and plays an inhibitory role in IL-1R- and TLR4- mediated NF-kappaB activation pathways. PMID: 18234474
  42. Syntenin stimulates c-jun phosphorylation and modulates Frizzled 7 signaling, in particular the PKCalpha/CDC42 noncanonical Wnt signaling cascade. PMID: 18256285
  43. data are compatible with a model wherein interaction of MDA-9/syntenin with c-Src promotes the formation of an active FAK/c-Src signaling complex, leading to enhanced tumor cell invasion and metastatic spread PMID: 18832467
  44. Syntenin interacts with the aminoacyl tRNA synthetase complex in a lysyl-tRNA synthetase-dependent manner. PMID: 18839981
  45. Syntenin-1 serves as one of IgA-inducing factors for B cells. PMID: 19592421
  46. Syntenin forms complexes with multiple IL-5Ralpha chains PMID: 19654410

Show More

Hide All

Subcellular Location
Cell junction, focal adhesion. Cell junction, adherens junction. Cell membrane; Peripheral membrane protein. Endoplasmic reticulum membrane; Peripheral membrane protein. Nucleus. Melanosome. Cytoplasm, cytosol. Cytoplasm, cytoskeleton. Secreted, extracellular exosome. Membrane raft.
Tissue Specificity
Expressed in lung cancers, including adenocarcinoma, squamous cell carcinoma and small-cell carcinoma (at protein level). Widely expressed. Expressed in fetal kidney, liver, lung and brain. In adult highest expression in heart and placenta.
Database Links

HGNC: 10662

OMIM: 602217

KEGG: hsa:6386

STRING: 9606.ENSP00000260130

UniGene: Hs.200804

icon of phone
Call us
301-363-4651 (Available 9 a.m. to 5 p.m. CST from Monday to Friday)
icon of address
Address
7505 Fannin St., Ste 610, Room 7 (CUBIO Innovation Center), Houston, TX 77054, USA
icon of social media
Join us with

Subscribe newsletter

Leave a message

* To protect against spam, please pass the CAPTCHA test below.
CAPTCHA verification
© 2007-2025 CUSABIO TECHNOLOGY LLC All rights reserved. 鄂ICP备15011166号-1
×
Place an order now

I. Product details

*
*
*
*

II. Contact details

*
*

III. Ship To

*
*
*
*
*
*
*

IV. Bill To

*
*
*
*
*
*
*
*