Ren1 Antibody

Rare Species
Code CSB-PA019561LA01RA
Size US$166
Order now
Image
  • Western Blot
    Positive WB detected in: Rat Heart tissue, Rat Liver tissue
    All lanes: Ren1 antibody at 1:1000
    Secondary
    Goat polyclonal to rabbit IgG at 1/50000 dilution
    Predicted band size: 45 kDa
    Observed band size: 45 kDa

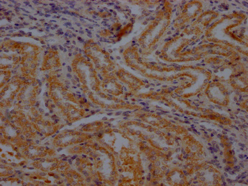
  • IHC image of CSB-PA019561LA01RA diluted at 1:100 and staining in paraffin-embedded rat kidney tissue performed on a Leica BondTM system. After dewaxing and hydration, antigen retrieval was mediated by high pressure in a citrate buffer (pH 6.0). Section was blocked with 10% normal goat serum 30min at RT. Then primary antibody (1% BSA) was incubated at 4°C overnight. The primary is detected by a Goat anti-rabbit polymer IgG labeled by HRP and visualized using 0.05% DAB.

Promotion Free Antibody trial simple
Have Questions? Leave a Message or Start an on-line Chat

Product Details

Full Product Name
Rabbit anti-Rattus norvegicus (Rat) Ren1 Polyclonal antibody
Uniprot No.
Target Names
Ren1
Alternative Names
Ren1 antibody; Ren antibody; Renin antibody; EC 3.4.23.15 antibody; Angiotensinogenase antibody
Raised in
Rabbit
Species Reactivity
Rat
Immunogen
Recombinant Rat Ren1 protein (65-264AA)
Immunogen Species
Rattus norvegicus (Rat)
Conjugate
Non-conjugated

The Ren1 Antibody (Product code: CSB-PA019561LA01RA) is Non-conjugated. For Ren1 Antibody with conjugates, please check the following table.

Available Conjugates
Conjugate Product Code Product Name Application
HRP CSB-PA019561LB01RA Ren1 Antibody, HRP conjugated ELISA
FITC CSB-PA019561LC01RA Ren1 Antibody, FITC conjugated
Biotin CSB-PA019561LD01RA Ren1 Antibody, Biotin conjugated ELISA
Clonality
Polyclonal
Isotype
IgG
Purification Method
>95%, Antigen Affinity purified & Affinity purified
Concentration
It differs from different batches. Please contact us to confirm it.
Buffer
Preservative: 0.03% Proclin 300
Constituents: 50% Glycerol, 0.01M PBS, PH 7.4
Form
Liquid
Tested Applications
ELISA, WB, IHC
Recommended Dilution
Application Recommended Dilution
WB 1:1000-1:5000
IHC 1:100-1:500
Troubleshooting and FAQs
Storage
Upon receipt, store at -20°C or -80°C. Avoid repeated freeze.
Lead Time
Basically, we can dispatch the products out in 1-3 working days after receiving your orders. Delivery time maybe differs from different purchasing way or location, please kindly consult your local distributors for specific delivery time.
Usage
For Research Use Only. Not for use in diagnostic or therapeutic procedures.

Customer Reviews and Q&A

 Customer Reviews

There are currently no reviews for this product.

Submit a Review here

Target Background

Function
Renin is a highly specific endopeptidase, whose only known function is to generate angiotensin I from angiotensinogen in the plasma, initiating a cascade of reactions that produce an elevation of blood pressure and increased sodium retention by the kidney.
Gene References into Functions
  1. The influence of intracellular renin on the inward calcium current in isolated smooth muscle cells from SHR mesenteric arteries was investigated... intracellular renin in vascular resistance vessels from SHR due to internalization or expression, contributes to the regulation of vascular tone and control of peripheral resistance-an effect independently of Ang II. PMID: 27545826
  2. An alternative promoter in intron1 of the renin gene is regulated by glucose starvation via SRF. PMID: 28715805
  3. renin deficiency leads to significant dysregulation of ion transporters. PMID: 27443990
  4. Renal ischemia/reperfusion injury induces renin response in the kidney. Renin production is more explicit in males than in females which, via increased angiotensin II production, might explain differences in renal vessel regulation between the two genders. PMID: 27090360
  5. Isolated perfused hearts obtained from transgenic rats overexpressing cytosolic renin exhibited a 50 % reduction of infarct size after ischemia-reperfusion injury. PMID: 26256830
  6. plasma level elevated in experimental colitis PMID: 26660905
  7. elevated levels of circulating (pro)renin in model of pre-eclampsia PMID: 25767135
  8. prorenin has distinct pro-angiogenic and pro-inflammatory effects on retinal cells PMID: 25707593
  9. Report alterations in adrenal gland aldosterone/corticosterone biosynthesis in the renin knockout rat. PMID: 25394830
  10. at least 4 BP loci reside within the 30-cM chromosome 13 BP quantitative trait locus that includes Renin PMID: 23460292
  11. Up-regulation of renin might contribute to abnormal programming of renal growth in rats exposed to postnatal early overnutrition. PMID: 21752621
  12. An association of post-natal overfeeding and high-fat diet increases plasma renin activity and adipose (pro)renin receptor expression. PMID: 21483231
  13. This study examined angiogenic function and genomic structure of regions surrounding the renin gene. PMID: 21521778
  14. Although plasma renin activity was suppressed in the angiotensinogen II-infused rats, renin content in the renal medulla was increased. Renin levels in the urine increased. PMID: 21865264
  15. Renin released from mast cells activated by circulating MCP-1 initiates the microvascular phase of the systemic inflammation of alveolar hypoxia. PMID: 21963836
  16. The transfer of chromosome 13 from BN to SS rats (to produce the SS.13BN strain) has cardiovascular effects. PMID: 22020141
  17. Imidazolone deposition and renin production in peritubular capillary endothelial cells may play a role in the development of tubulointerstitial fibrosis in insulin-resistant hypertensive rats. PMID: 21484732
  18. Cu/Zn SOD expression was significantly higher in cerebral arteries from Ren1-Brown Norway congenic rats vs. those from Dahl salt-sensitive rats PMID: 21331057
  19. The development of the first rat knockout in the renin-angiotensin system emphasizes the role of renin in BP regulation and kidney function even in the low-renin SS rat. PMID: 21242461
  20. Dahl SS renin allele plays a crucial role in endothelial dysfunction present in the cerebral circulation of the Dahl SS rat, even in the absence of elevated dietary salt intake. PMID: 20852041
  21. The data demonstrate that a cytosolic renin exists in cardiomyocytes, which in contradiction to secretory renin protects from necrosis but increases apoptosis. PMID: 18671756
  22. Nitric oxide synthase mRNA levels do not correlate with gene expression of renin in selected brain areas PMID: 11702851
  23. Coronary dilatation reserve in experimental hypertension and chronic heart failure: effects of blockade of the renin-angiotensin system PMID: 11903302
  24. cellular location of thymic renin is mainly in macrophages and epithelial cells and is greater in hypertensive rats PMID: 12242043
  25. mRNA expression is related to renal dysfunction in tacrolimus-induced acute nephrotoxicity. PMID: 12469222
  26. Intracranial renin alters gustatory neural responses in the nucleus of the solitary tract of rats. PMID: 12511427
  27. cyclooxygenase 2 activity controls the renin-angiotensin system and contributes to elevated renin in the postnatal period PMID: 12560203
  28. renin-specific antibodies demonstrate that cardiac mast cells contain renin PMID: 15342908
  29. Results suggest that the nonproteolytic activation of prorenin may be a significant mechanism of diabetic nephropathy. PMID: 15489960
  30. show that the intracellular domain of Notch1, transcription factor Ets-1, and homeo box D10 (HOXD10).pre B-cell leukemia transcription factor 1(PBX1b).PREP1 activate the rat renin promoter cooperatively PMID: 15792957
  31. the augmentation of distal nephron renin in ANG II-infused hypertensive rats is AT1 receptor mediated PMID: 15870381
  32. Angiotensin II-mediated oxidative stress promotes myocardial tissue remodeling in the transgenic (mRen2) 27 Ren2 rat. PMID: 17440033
  33. Effect of the renin gene on skeletal muscle angiogenesis induced by electrical stimulation. PMID: 18198281
  34. Release of mast cell renin triggers locally produced angiotensin II-induced contraction of rat bronchial rings in vitro. PMID: 18202178
  35. in a rat model of diabetes, prorenin content and release from the collecting duct may be more important than the juxtaglomerular apparatus in contrast to the existing paradigm PMID: 18413493
  36. Upregulation of distal tubular renin helps to explain how sustained intrarenal angiotensin II formation occurs even during juxtaglomerular renin suppression PMID: 18426992
  37. augmented activation of the renin-angiotensin system may be related to enhanced sympathetic outflow observed in sedentary animals and may contribute to increased risk of cardiovascular disease in the sedentary population PMID: 18509102
  38. Renin inhibition attenuates insulin resistance, oxidative stress, and pancreatic remodeling in the transgenic Ren2 rat. PMID: 18653711
  39. Exon(1A-9) renin transcript (1) is translated into a functionally active intracellular protein; (2) is targeted to the cytoplasm rather than being sorted to the secretory pathways and (3) is functionally active, regulating aldosterone production. PMID: 18782187
  40. Adipose tissue may control its own local renin concentration independently of plasma renin as a potential mechanism for maintaining a functional local adipose renin-angiotensin system. PMID: 19050177
  41. mineralocorticoid receptor antagonism attenuates glomerular/podocyte remodeling and albuminuria, in part through reductions in redox-mediated impairment of insulin metabolic signaling in Ren2 rats PMID: 19261739
  42. Ang peptide formation consequent to the increased prorenin levels prevented reduction of Ang II levels after binephrectomy and was likely to have contributed to hypertension, cardiac hypertrophy, and suppression of kidney renin levels in transgenic rats PMID: 19841286

Show More

Hide All

Subcellular Location
Secreted. Membrane.
Protein Families
Peptidase A1 family
Database Links
icon of phone
Call us
301-363-4651 (Available 9 a.m. to 5 p.m. CST from Monday to Friday)
icon of address
Address
7505 Fannin St., Ste 610, Room 7 (CUBIO Innovation Center), Houston, TX 77054, USA
icon of social media
Join us with

Subscribe newsletter

Leave a message

* To protect against spam, please pass the CAPTCHA test below.
CAPTCHA verification
© 2007-2025 CUSABIO TECHNOLOGY LLC All rights reserved. 鄂ICP备15011166号-1
×
Place an order now

I. Product details

*
*
*
*

II. Contact details

*
*

III. Ship To

*
*
*
*
*
*
*

IV. Bill To

*
*
*
*
*
*
*
*