HDAC3 Antibody

Code CSB-PA010239LA01HU
Size US$166
Order now
Image
  • Western blot
    All lanes: HDAC3 antibody at 2µg/ml + Hela whole cell lysate
    Secondary
    Goat polyclonal to rabbit IgG at 1/10000 dilution
    Predicted band size: 49, 50 kDa
    Observed band size: 49 kDa

  • Western Blot
    Positive WB detected in: Mouse heart tissue
    All lanes: HDAC3 antibody at 2.5µg/ml
    Secondary
    Goat polyclonal to rabbit IgG at 1/50000 dilution
    Predicted band size: 49, 50 kDa
    Observed band size: 49 kDa

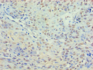
  • Immunohistochemistry of paraffin-embedded human breast cancer using CSB-PA010239LA01HU at dilution of 1:100

  • Chromatin Immunoprecipitation Hela(1.2*106)were cross-linked with formaldehyde, sonicated, and immunoprecipitated with 4μg anti-HDAC3 or a control normal rabbit IgG. The resulting ChIP DNA was quantified tissue using real-time PCR with primers(CSB-PP010239HU) against the P21 promoter.

  • Immunofluorescent analysis of Hela cells using CSB-PA010239LA01HU at dilution of 1:100 and Alexa Fluor 488-congugated AffiniPure Goat Anti-Rabbit IgG(H+L)

Promotion Free Antibody trial simple
Have Questions? Leave a Message or Start an on-line Chat

Product Details

Full Product Name
Rabbit anti-Homo sapiens (Human) HDAC3 Polyclonal antibody
Uniprot No.
Target Names
Alternative Names
HD3 antibody; HDAC 3 antibody; HDAC3 antibody; HDAC3_HUMAN antibody; Histone deacetylase 3 antibody; RPD3 2 antibody; RPD3 antibody; RPD3-2 antibody; SMAP45 antibody
Raised in
Rabbit
Species Reactivity
Human, Mouse
Immunogen
Recombinant Human Histone deacetylase 3 protein (1-428AA)
Immunogen Species
Homo sapiens (Human)
Conjugate
Non-conjugated

The HDAC3 Antibody (Product code: CSB-PA010239LA01HU) is Non-conjugated. For HDAC3 Antibody with conjugates, please check the following table.

Available Conjugates
Conjugate Product Code Product Name Application
HRP CSB-PA010239LB01HU HDAC3 Antibody, HRP conjugated ELISA
FITC CSB-PA010239LC01HU HDAC3 Antibody, FITC conjugated
Biotin CSB-PA010239LD01HU HDAC3 Antibody, Biotin conjugated ELISA
Clonality
Polyclonal
Isotype
IgG
Purification Method
>95%, Protein G purified
Concentration
It differs from different batches. Please contact us to confirm it.
Buffer
Preservative: 0.03% Proclin 300
Constituents: 50% Glycerol, 0.01M PBS, PH 7.4
Form
Liquid
Tested Applications
ELISA, WB, IHC, IF, ChIP
Recommended Dilution
Application Recommended Dilution
WB 1:1000-1:5000
IHC 1:20-1:200
IF 1:50-1:200
Troubleshooting and FAQs
Storage
Upon receipt, store at -20°C or -80°C. Avoid repeated freeze.
Lead Time
Basically, we can dispatch the products out in 1-3 working days after receiving your orders. Delivery time maybe differs from different purchasing way or location, please kindly consult your local distributors for specific delivery time.
Usage
For Research Use Only. Not for use in diagnostic or therapeutic procedures.

Customer Reviews and Q&A

 Customer Reviews

There are currently no reviews for this product.

Submit a Review here

Target Background

Function
Responsible for the deacetylation of lysine residues on the N-terminal part of the core histones (H2A, H2B, H3 and H4), and some other non-histone substrates. Histone deacetylation gives a tag for epigenetic repression and plays an important role in transcriptional regulation, cell cycle progression and developmental events. Histone deacetylases act via the formation of large multiprotein complexes. Participates in the BCL6 transcriptional repressor activity by deacetylating the H3 'Lys-27' (H3K27) on enhancer elements, antagonizing EP300 acetyltransferase activity and repressing proximal gene expression. Probably participates in the regulation of transcription through its binding to the zinc-finger transcription factor YY1; increases YY1 repression activity. Required to repress transcription of the POU1F1 transcription factor. Acts as a molecular chaperone for shuttling phosphorylated NR2C1 to PML bodies for sumoylation. Contributes, together with XBP1 isoform 1, to the activation of NFE2L2-mediated HMOX1 transcription factor gene expression in a PI(3)K/mTORC2/Akt-dependent signaling pathway leading to endothelial cell (EC) survival under disturbed flow/oxidative stress. Regulates both the transcriptional activation and repression phases of the circadian clock in a deacetylase activity-independent manner. During the activation phase, promotes the accumulation of ubiquitinated ARNTL/BMAL1 at the E-boxes and during the repression phase, blocks FBXL3-mediated CRY1/2 ubiquitination and promotes the interaction of CRY1 and ARNTL/BMAL1. The NCOR1-HDAC3 complex regulates the circadian expression of the core clock gene ARTNL/BMAL1 and the genes involved in lipid metabolism in the liver. Serves as a corepressor of RARA, causing its deacetylation and inhibition of RARE DNA element binding. In association with RARA, plays a role in the repression of microRNA-10a and thereby in the inflammatory response. Interacts with SETD5.
Gene References into Functions
  1. The HDAC3 mRNA was expressed more in glioma than in the normal glial cell line. Low HDAC3 mRNA expression levels predicted better overall survival. PMID: 30053564
  2. in rheumatoid arthritis peripheral blood mononuclear cells, the activity and expression of HDAC3 is decreased, which is accompanied with enhanced histone acetyltransferase activity PMID: 30402512
  3. High HDAC3 expression is closely correlated with ER-negative expression, PR-negative expression, HER2 overexpression, PT stage, and clinical stage of breast tumors. PMID: 29680858
  4. these findings indicate that AKAP12 may be a potential prognostic predictor and therapeutic target for the treatment of colorectal cancer in combination with HDAC3 PMID: 29484387
  5. CHD5 was identified as a direct target of miR-454. CHD5 was downregulated in GC tissues/cell lines and the expresssion of CHD5 inversely correlated with the level of miR-454 in GC tissues. Taken together, these observations indicate that HDAC3 is associated with GC cell growth via the miR-454-mediated targeting of CHD5. PMID: 29115379
  6. DANCR associated with EZH2 and HDAC3 to epigenetically silence lncRNA-LET and then regulated gastric cancer cells migration and invasion. PMID: 28951520
  7. Data show there is allosteric communication between the inositol-binding site and the active sites in histone deacetylases HDAC1 and HDAC3. PMID: 27109927
  8. Results show that proteasomal degradation of HDAC1 and HDAC3 by Vpr counteracts HIV-1 latency to reactivate the viral promoter. PMID: 27550312
  9. the NCOR/HDAC3 complex is a major suppressor of differentiation in rhabdomyosarcoma PMID: 27956629
  10. These findings indicate the importance of developing HDAC3-selective inhibitors, and their combined use with osimertinib, for treating EGFR-mutated lung cancers carrying the BIM deletion polymorphism PMID: 27986747
  11. HDAC3-mediated p53 acetylation and oligomerization is induced by apoptosis caused by delphinidin in prostate cancer cells PMID: 27462923
  12. Knockdown of either Xist or SPEN expression in breast cancer cells suppressed the expression of PHLPP1, a phosphatase in AKT dephosphorylation, and was correlated with increased HDAC3 recruitment to the PHLPP1 promoter. PMID: 27248326
  13. Data show that BRCA2 was required for HDAC2/3 association with acetylated BubR1 in nocodazole (Noc)-arrested cells. PMID: 28985013
  14. Data show that the nuclear HDAC3 and cytoplasmic CDH1 have independent prognostic value in pancreatic cancer and provide targets for prognostic therapeutics. PMID: 26918727
  15. HDAC3 uniquely primes Ucp1 and the thermogenic transcriptional program to maintain a critical capacity for thermogenesis in brown adipose tissue that can be rapidly engaged upon exposure to dangerously cold temperature PMID: 28614293
  16. The low expression of HDAC3 and overexpession of inflammatory cytokines (IL-18, IL-12 and TNF-alpha) in intrahepatic cholestasis of pregnancy may be involved in liver cell apoptosis and in the pathophysiology of the disease. PMID: 28697498
  17. SNP rs14251 was found to be significant (and rs2530223 to be nominally significantly associated with the increasing risk of SCZ susceptibility in Han Chinese individuals, suggesting this gene as a potential genetic modifier for SCZ development. PMID: 27573569
  18. Inhibition of HDAC3 with targeted therapy could benefit treatment of the diseases associated with sGCbeta1 down-regulation and/or deficiency such as cancer and several vascular-related diseases. PMID: 27279362
  19. that histone deacetylase 3 interaction with MeCP2 positively regulates a subset of neuronal genes through FOXO deacetylation, and disruption of HDAC3 contributes to cognitive and social impairment PMID: 27428650
  20. miRNA1236 regulates hypoxia-induced epithelial-mesenchymal transformation and metastasis by repressing HDAC3 and SENP1 expression. PMID: 27177472
  21. class I HDACs (HDAC1, 2, 3 and 8) play a major role in regulating extracellular matrix and Epithelial-mesenchymal transition, whereas class IIa HDACs (HDAC4 and 5) are less effective. PMID: 27420561
  22. Histone deacetylase 3 regulates the inflammatory gene expression programme of rheumatoid arthritis fibroblast-like synoviocytes. PMID: 27457515
  23. Study demonstrated an association of elevated HDAC3 activity and HDAC3 mRNA expression in patients with type 2 diabetes (T2DM) which was positively correlated with proinflammation and insulin resistance. PMID: 27904654
  24. HDAC3 upregulation is associated with hepatocellular carcinoma. PMID: 27342975
  25. High HDAC3 expression is associated with pancreatic cancer. PMID: 26745602
  26. These findings pinpoint that TGF-beta represses miR-30d through a Smad2/3-HDAC3-NCoR repression complex and provide novel insights into a potential target for the treatment of podocyte injury-associated glomerulopathies. PMID: 26432290
  27. Results show the direct regulation of CAGE expression by HDAC3 and that HDAC3-CAGE axis regulates the activation of EGFR. HDAC3 targets CAGE to regulate the tumorigenic potential and angiogenic potential of cancer cells. PMID: 26883907
  28. HDAC3 knockdown or HDAC3 inhibition was associated with simultaneous upregulation of the expression of miR130a and downregulation of the expression of TNF1alpha in peripheral blood mononuclear cells. PMID: 26531724
  29. Data suggest that complexes of HDAC3-H1.3 with NCOR1 and NCOR2/SMRT accumulate on chromatin in synchronized HeLa cells in late G2 phase and mitosis; deacetylation activity of HDAC3 is activated via phosphorylation of Ser-424 by CK2 only in mitosis. PMID: 26663086
  30. this is the first report on the regulation mechanism of SIRT7 gene, in which, HDAC3 collaborated with C/EBPalpha to occupy its responding element in the upstream region of SIRT7 gene and repressed its expression in human cells. PMID: 26704017
  31. Among the class II HDACs, HDAC4 interacted with both MR and HDAC3 after aldosterone stimulation. The nuclear translocation of HDAC4 was mediated by protein kinase A (PKA) and protein phosphatases (PP) PMID: 26305553
  32. miR-335 exerted apoptotic effects and inhibited ubiquitination of HDAC3 in anti-cancer drug-resistant cancer cell lines. miR-335 negatively regulated the invasion, migration, and growth rate of cancer cells. PMID: 25997740
  33. Data suggest, in chronic hepatitis C virus infection, HDAC9 (histone deacetylase 9) induction in liver regulates hepatic gluconeogenesis and systemic insulin resistance via deacetylation of FoxO1 (Forkhead box O 1) and HDAC3 (histone deacetylase 3). PMID: 26420860
  34. These data suggest that HDAC3 indirectly modulates tubulin acetylation PMID: 26450925
  35. The inhibition of the transcriptional activity of BCL9-2 by WWOX and HDAC3 constitutes a new molecular mechanism and provides new insight for a broad range of cancers. PMID: 25678599
  36. These observations suggested that HDAC3 plays an important role in the pathological courses of spinal cord injury by regulating miR-130a expression PMID: 25973054
  37. Time-course analysis revealed that HDAC6, HDAC3, and acetylated histone H3 protein levels are significantly inhibited. PMID: 25307283
  38. Aberrant overexpression of HDACs in basal cells of IPF lungs may contribute to the bronchiolisation process in this disease. Similarly, generation and apoptosis resistance of IPF fibroblasts are mediated by enhanced activity of HDAC enzymes. PMID: 26359372
  39. Sequencing of HDAC3 revealed six single-nucleotide polymorphisms. The G allele of rs2530223 was significantly associated with the number of acute medications/month used and with the number of days/month in which medications were used PMID: 26542778
  40. HDAC3 is an essential target to disrupt HIV-1 latency, and inhibition of HDAC2 may also contribute to the effort to purge and eradicate latent HIV-1 infection. PMID: 25136952
  41. HDAC3 contributes to vasculogenic mimicry in gliomas, possibly through the PI3K/ERK-MMPs-laminin5gamma2 signaling pathway. PMID: 25940092
  42. our results uncovered a mechanism by which PINK1-HDAC3 network mediates p53 inhibitory loop in response to oxidative stress-induced damage. PMID: 25305081
  43. SOX4 interacts with EZH2 and HDAC3 to suppress microRNA-31 in invasive esophageal cancer cells. PMID: 25644061
  44. PML-mediated suppression of IL-6-induced STAT3 activation by disrupting interactions between STAT3 and HDAC3. PMID: 25892518
  45. c-Myc contributes to the epigenetic regulation of HPP1 via the dominant recruitment of HDAC3. PMID: 24919179
  46. Data point to HDAC3 as a potential drug target for preserving beta cells against lipotoxicity in diabetes. PMID: 25610877
  47. Htt aggregates impair nuclear proteasome activity through the inhibition of HDAC3 PMID: 25380050
  48. These results demonstrate that mutant H3K27M can be specifically identified with high specificity and sensitivity using an H3K27M antibody and immunohistochemistry to detect high-grade astrocytomas. PMID: 25200321
  49. Findings reveal strong expression of HDAC3 in patients with pancreatic cancer and suggest that HDAC3 participates in the pathogenesis and progression of pancreatic cancer. PMID: 25070540
  50. dysbindin-1 formed a protein complex with HDAC3 in human neuroblastoma cells PMID: 25196196

Show More

Hide All

Subcellular Location
Nucleus. Cytoplasm. Cytoplasm, cytosol.
Protein Families
Histone deacetylase family, HD type 1 subfamily
Tissue Specificity
Widely expressed.
Database Links

HGNC: 4854

OMIM: 605166

KEGG: hsa:8841

STRING: 9606.ENSP00000302967

UniGene: Hs.519632

icon of phone
Call us
301-363-4651 (Available 9 a.m. to 5 p.m. CST from Monday to Friday)
icon of address
Address
7505 Fannin St., Ste 610, Room 7 (CUBIO Innovation Center), Houston, TX 77054, USA
icon of social media
Join us with

Subscribe newsletter

Leave a message

* To protect against spam, please pass the CAPTCHA test below.
CAPTCHA verification
© 2007-2025 CUSABIO TECHNOLOGY LLC All rights reserved. 鄂ICP备15011166号-1
×
Place an order now

I. Product details

*
*
*
*

II. Contact details

*
*

III. Ship To

*
*
*
*
*
*
*

IV. Bill To

*
*
*
*
*
*
*
*