IL17C Antibody

Code CSB-PA301181
Size US$119
Order now
Image
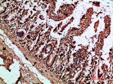
  • Immunohistochemical analysis of paraffin-embedded human-colon, antibody was diluted at 1:200
  • Immunohistochemical analysis of paraffin-embedded human-colon, antibody was diluted at 1:200
  • Immunohistochemical analysis of paraffin-embedded human-pancreas, antibody was diluted at 1:200
Have Questions? Leave a Message or Start an on-line Chat

Product Details

Uniprot No.
Target Names
Alternative Names
CX2 antibody; Cytokine CX2 antibody; IL 17C antibody; IL 21 antibody; IL-17C antibody; IL17C antibody; IL17C_HUMAN antibody; Interleukin 17C antibody; Interleukin-17C antibody; MGC126884 antibody; MGC138401 antibody
Raised in
Rabbit
Species Reactivity
Human
Immunogen
Synthetic peptide from Human protein at AA range: 81-130
Immunogen Species
Homo sapiens (Human)
Conjugate
Non-conjugated
Purification Method
The antibody was affinity-purified from rabbit serum by affinity-chromatography using specific immunogen.
Concentration
It differs from different batches. Please contact us to confirm it.
Buffer
Liquid in PBS containing 50% glycerol, 0.5% BSA and 0.02% sodium azide.
Form
Liquid
Tested Applications
IHC,ELISA
Recommended Dilution
Application Recommended Dilution
IHC 1:50-300
ELISA 1:10000-20000
Troubleshooting and FAQs
Storage
Upon receipt, store at -20°C or -80°C. Avoid repeated freeze.
Lead Time
Basically, we can dispatch the products out in 1-3 working days after receiving your orders. Delivery time maybe differs from different purchasing way or location, please kindly consult your local distributors for specific delivery time.
Usage
For Research Use Only. Not for use in diagnostic or therapeutic procedures.

Customer Reviews and Q&A

 Customer Reviews

There are currently no reviews for this product.

Submit a Review here

Target Background

Function
Cytokine that plays a crucial role in innate immunity of the epithelium, including to intestinal bacterial pathogens, in an autocrine manner. Stimulates the production of antibacterial peptides and proinflammatory molecules for host defense by signaling through the NF-kappa-B and MAPK pathways. Acts synergically with IL22 in inducing the expression of antibacterial peptides, including S100A8, S100A9, REG3A and REG3G. Synergy is also observed with TNF and IL1B in inducing DEFB2 from keratinocytes. Depending on the type of insult, may have both protective and pathogenic properties, either by maintaining epithelial homeostasis after an inflammatory challenge or by promoting inflammatory phenotype. Enhanced IL17C/IL17RE signaling may also lead to greater susceptibility to autoimmune diseases.
Gene References into Functions
  1. Inflammatory cell expression of IL-9 and IL-17C were increased in chronic rhinosinusitis, particularly with allergy and asthma. These interleukins may contribute to the pathogenesis of chronic rhinosinusitis with nasal polyps as well as atopy and may serve as therapeutic targets for disease management PMID: 26989880
  2. Helicobacter pylori infection was associated with a significant increase in IL-17C expression in gastric mucosa. The role of IL-17C in the pathogenesis of H. pylori-induced diseases remains to be determined. PMID: 28739826
  3. Data indicate that epithelial IL-17C promotes neutrophilic inflammation in the tumor microenvironment and suggest that IL-17C links a pathologic microbiota, as present in COPD patients, with enhanced tumor growth. PMID: 28346430
  4. CpG methylation is reduced in gingival biopsies of patients with periodontitis PMID: 26472015
  5. Those carrying rs3748067 CC genotype and C allele had a significantly increased risk for the development of gastric cancer PMID: 25012243
  6. IL-17C is an essential epithelial cell-derived cytokine. PMID: 23944933
  7. Our study provides evidence that Staphylococcus aureus activates NOD2 in keratinocytes, resulting in an increased expression of IL-17C, a mechanism that may be dysregulated in atopic dermatitis. PMID: 23892590
  8. Interleukin-17C is present in the tissue around aseptic loosened implants. PMID: 23474800
  9. IL-17C is involved in the innate immune response of respiratory epithelial cells and is suppressed by cigarette smoke. PMID: 23221046
  10. Data suggest that activation of TLR5 upregulates IL17C expression in cells from intestinal mucosa and colonic adenocarcinoma; IL17C expression is upregulated in intestinal mucosa cells from patients with ulcerative colitis compared with normal cells. PMID: 22994872
  11. Keratinocyte overexpression of IL-17C promotes psoriasiform skin inflammation. PMID: 23359500
  12. In our pilot study, we discovered significant changes in methylation patterns of genes IL-7, IL-13, IL-17C and TYK2 between henodialysis patients and healthy subjects PMID: 22506826
  13. IL-17C is an essential autocrine cytokine that regulates innate epithelial immune responses. PMID: 21993848
  14. activation of NF-kappaB (p65/p50) is crucial for the TNFalpha-induced stimulation of IL-17C expression in human keratinocytes PMID: 21628458
  15. expressed in multiple sclerosis brain lesions PMID: 11984595

Show More

Hide All

Subcellular Location
Secreted.
Protein Families
IL-17 family
Database Links

HGNC: 5983

OMIM: 604628

KEGG: hsa:27189

STRING: 9606.ENSP00000244241

UniGene: Hs.278911

icon of phone
Call us
301-363-4651 (Available 9 a.m. to 5 p.m. CST from Monday to Friday)
icon of address
Address
7505 Fannin St., Ste 610, Room 7 (CUBIO Innovation Center), Houston, TX 77054, USA
icon of social media
Join us with

Subscribe newsletter

Leave a message

* To protect against spam, please pass the CAPTCHA test below.
CAPTCHA verification
© 2007-2025 CUSABIO TECHNOLOGY LLC All rights reserved. 鄂ICP备15011166号-1
×
Place an order now

I. Product details

*
*
*
*

II. Contact details

*
*

III. Ship To

*
*
*
*
*
*
*

IV. Bill To

*
*
*
*
*
*
*
*