Call: 301-363-4651
Email:
[email protected]
All
All
ELISA Kit
Protein
Antibody
Molecular Biology Product
Small Molecule
Peptide
Home
Products
Kits
ELISA Kits
Exosome Isolation Kits
ELISA Kits For Food Safety & Drug Residues
Plasmid DNA Purification Maxiprep Kit
HCP Detection ELISA Kit
Proteins
Active Proteins
*
Native Proteins
Recombinant Proteins
Transmembrane Proteins
Antibodies
Recombinant Antibodies
Monoclonal Antibodies
Polyclonal Antibodies
Secondary Antibodies
Tag/Control Antibodies
Small Molecular Antibodies
ChIP Antibodies
Antibody Pairs
Custom Antibodies
Modified Histone Antibodies
Biosimilar Antibodies
Biochemical Reagents
Cell Electrofusion Fluid
Stable Cell Line
Clone
Peptide
Cosmetic Peptide
Amino Acids and Derivatives
Small Molecule
Food Safety Small Molecular Antigens
Other Small Molecular Antigens
Solutions
mRNA Vaccine Research Solutions
ADC Development Solutions
CAR-T Therapy Development Solutions
Hot Categories
Mini Sample ELISA kit
Inflammatory Factor ELISA Detection Panel
Rare Species Antibodies
Anti-CAR Linker Antibody
Monkeypox Virus Research Related Products
Anti-payload Antibodies
Immunohistochemistry (IHC) Antibodies
Flow Cytometry Antibodies
IS Series Cytokine Detection ELISA Kit
Recombinant DT3C protein
Chemokine Receptors
G protein-Coupled Receptor
Recombinant Antibodies for Drug Discovery
Recombinant Proteins for ADCs
New Products Launch
CRO Service
Quote for CRO Service
Specialized CRO Services
Stable Cell Line Developmentm Service
Custom Peptide Synthesis
SPR Detection Service
Protein Expression Services
Transmembrane Protein Expression Service
*
E.coli Expression System
Yeast Expression System
In vitro E.coli Expression System
Insect Baculovirus Expression System
Mammalian Cell Expression System
Oligo Synthesis Service
Gene Synthesis Service
Therapeutic Antibody Discovery Service
*
Mouse hybridoma screening & sequencing
Single B Cell Antibody Discovery
*
VHH library screening
Custom Antibody Services
HTP Recombinant Antibody Production
Recombinant Ab Production
Monoclonal Ab Production
Polyclonal Ab Production
Modified Ab Production
Anti-idiotype Antibody Production
*
Mammalian Cell Display Service
Phage Display Service
Pathways
Apoptosis
Autophagy
Breast Cancer
Hippo signaling pathway
Jak-STAT signaling pathway
MAPK signaling pathway
mTOR signaling pathway
Notch signaling pathway
PI3K-Akt signaling pathway
TGF-beta signaling pathway
Wnt signaling pathway
View All pathways
Technical Resources
Research Area
Drug Targets
Transmembrane Proteins
Cancer
Cardiovascular
Cell Markers
Cytokines
Infectious Diseases
Neuroscience
Immunology
Cell Biology
Receptor
Organoids
Histones
Autoimmune Diseases
Protocols
Troubleshooting Tips
Technical Articles
Citations
Research Tools
Webinars
Download Center
Technology Platform
VLPs
Nanoparticle
Nanodisc
Detergent Micelle
Recombinant Protein Resources
Protein Tags
Recombinant Protein Expression
Applications of Recombinant Proteins
Troubleshooting
Antibody Resources
What Is an Antibody
Overview of Tag Antibodies
Troubleshooting
ELISA Kit Resources
ELISA Types
ELISA Protocol
Tips for Choosing ELISA Kits
Factors Affecting ELISA Results
ELISA Operation Video and Data Analysis
Troubleshooting
About Us
About CUSABIO
Quality Control
CUSABIO News
Research Hotspots
Promotions
Conferences & Tradeshows
Conference Sponsorship
Contact
Contact Us
Distributors
Ordering FAQs
All
All
ELISA Kit
Protein
Antibody
Molecular Biology Product
Small Molecule
Peptide
Filters
Product Type
Antibodies
(1)
Polyclonal Antibodies
(1)
Immunogen Species
Human
(1)
Target
PTPN4
(1)
Conjugate
Non-conjugated
(1)
Application
ELISA
(1)
IHC
(1)
Of about 1 results
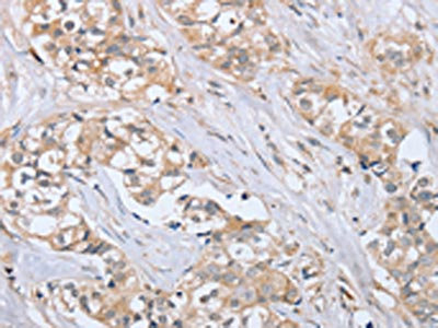
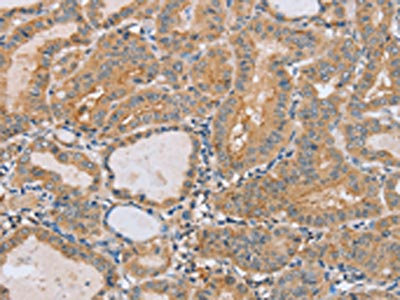
PTPN4 Antibody
Species Reactivity:
Human,Mouse
Raised in:
Rabbit
Application:
ELISA,IHC;ELISA:1:2000-1:5000,IHC:1:50-1:200
Size:
100μl/50μl
CSB-PA552622
Call us
301-363-4651 (Available 9 a.m. to 5 p.m. CST from Monday to Friday)
Email
[email protected]
Address
7505 Fannin St., Ste 610, Room 7 (CUBIO Innovation Center), Houston, TX 77054, USA
Join us with
Subscribe newsletter
Leave a message
Please select message type
Products inquiry (price, lead time, order, etc.)
Products inquiry (technical inquiry)
Suggestions on CUSABIO's website optimization
Other suggestions
* To protect against spam, please pass the CAPTCHA test below.
© 2007-2025 CUSABIO TECHNOLOGY LLC All rights reserved.
鄂ICP备15011166号-1
Privacy Policy
×