AES Antibody

Code CSB-PA551903
Size US$166
Order now
Image
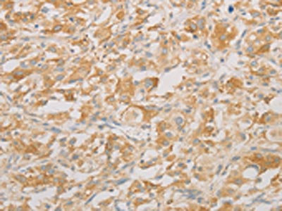
  • The image on the left is immunohistochemistry of paraffin-embedded Human thyroid cancer tissue using CSB-PA551903(AES Antibody) at dilution 1/20, on the right is treated with fusion protein. (Original magnification: ×200)
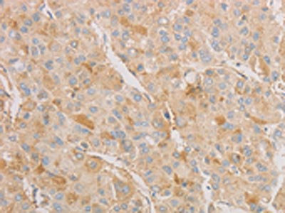
  • The image on the left is immunohistochemistry of paraffin-embedded Human liver cancer tissue using CSB-PA551903(AES Antibody) at dilution 1/20, on the right is treated with fusion protein. (Original magnification: ×200)
Have Questions? Leave a Message or Start an on-line Chat

Product Details

Uniprot No.
Target Names
AES
Alternative Names
Aes 1 antibody; Aes 2 antibody; aes antibody; AES_HUMAN antibody; Aes1 antibody; Aes2 antibody; Amino enhancer of split antibody; Amino terminal enhancer of split antibody; Amino-terminal enhancer of split antibody; Esp 1 antibody; Esp1 antibody; Gp130 associated protein GAM antibody; Gp130-associated protein GAM antibody; GRG 5 antibody; GRG antibody; GRG protein antibody; Grg-5 antibody; GRG5 antibody; Groucho-related protein 5 antibody; Protein ESP 1 antibody; Protein ESP1 antibody; Protein GRG antibody; TLE 5 antibody; TLE5 antibody
Raised in
Rabbit
Species Reactivity
Human
Immunogen
Fusion protein of Human AES
Immunogen Species
Homo sapiens (Human)
Conjugate
Non-conjugated
Isotype
IgG
Purification Method
Antigen affinity purification
Concentration
It differs from different batches. Please contact us to confirm it.
Buffer
-20°C, pH7.4 PBS, 0.05% NaN3, 40% Glycerol
Form
Liquid
Tested Applications
ELISA,IHC
Recommended Dilution
Application Recommended Dilution
ELISA 1:2000-1:5000
IHC 1:25-1:100
Troubleshooting and FAQs
Storage
Upon receipt, store at -20°C or -80°C. Avoid repeated freeze.
Lead Time
Basically, we can dispatch the products out in 1-3 working days after receiving your orders. Delivery time maybe differs from different purchasing way or location, please kindly consult your local distributors for specific delivery time.
Usage
For Research Use Only. Not for use in diagnostic or therapeutic procedures.

Customer Reviews and Q&A

 Customer Reviews

There are currently no reviews for this product.

Submit a Review here

Target Background

Function
Transcriptional corepressor. Acts as dominant repressor towards other family members. Inhibits NF-kappa-B-regulated gene expression. May be required for the initiation and maintenance of the differentiated state. Essential for the transcriptional repressor activity of SIX3 during retina and lens development.
Gene References into Functions
  1. Results suggest that amino enhancer of split protein (AES) plays an important role in controlling tumor growth and metastasis of prostate cancer (PCa) by regulating both androgen receptor (AR) and Notch signaling pathway. PMID: 28178391
  2. results indicate that Aes may belong to a novel family of metastasis suppressors with a CpG-island promoter enhancer, and it is regulated transcriptionally PMID: 27561171
  3. heat shock cognate 70 (HSC70) is an essential component of Aes foci in colorectal cancer cells. PMID: 26229111
  4. AES is a transcriptional repressor for HNF-1-alpha in pancreatic beta-cell. PMID: 26549228
  5. AES binds to PROP1 and represses its expression; PROP1 mutation is a likely cause of combined pituitary hormone deficiency. PMID: 23732115
  6. alteration of the malignant behavior of cancer cells by AES is related to RND3 regulation. PMID: 23546594
  7. In the presence of NUP98-HOXA9, AES caused an increase in long-term proliferation of primary human CD34+ cells with a marked increase in the numbers of primitive cells. PMID: 21937451
  8. Elevated levels of AES mRNA and protein were confirmed in AML1/ETO-expressing leukemia cells, as well as in other acute myeloid leukemia specimens. PMID: 21245488
  9. LRP6-ICD interacts with AES exclusively in the nucleus and represses AES mediated TCF/LEF-1 reporter transcription. PMID: 20676368
  10. Data report that the negative regulatory domain of AES inhibits AES dimerization and AES-mediated inhibition of AR-driven transcription through an interaction with the inhibitory domain. PMID: 20163360
  11. Results identify Bit1, a mitochondrial protein released into the cytoplasm during apoptosis that forms a complex with AES, a small Groucho/transducin-like enhancer of split (TLE) protein. PMID: 15006356
  12. amino enhancer of split has apoptotic activity in neurons and suggest that neuroprotection by histone deacetylase-related protein is mediated by the inhibition of this activity through direct interaction. PMID: 18438919

Show More

Hide All

Subcellular Location
Nucleus.
Protein Families
WD repeat Groucho/TLE family
Tissue Specificity
Found predominantly in muscle, heart and Placenta. In fetal tissues, abundantly expressed in the heart, lung, kidney, brain and liver.
Database Links

HGNC: 307

OMIM: 600188

KEGG: hsa:166

STRING: 9606.ENSP00000221561

UniGene: Hs.515053

CUSABIO guaranteed quality
icon of phone
Call us
301-363-4651 (Available 9 a.m. to 5 p.m. CST from Monday to Friday)
icon of address
Address
7505 Fannin St., Ste 610, Room 7 (CUBIO Innovation Center), Houston, TX 77054, USA
icon of social media
Join us with

Subscribe newsletter

Leave a message

* To protect against spam, please pass the CAPTCHA test below.
CAPTCHA verification
© 2007-2025 CUSABIO TECHNOLOGY LLC All rights reserved. 鄂ICP备15011166号-1
×
Place an order now

I. Product details

*
*
*
*

II. Contact details

*
*

III. Ship To

*
*
*
*
*
*
*

IV. Bill To

*
*
*
*
*
*
*
*