B9D2 Antibody

Code CSB-PA861077ESR1HU
Size US$166
Order now
Image
  • Immunohistochemistry of paraffin-embedded human lung cancer using CSB-PA861077ESR1HU at dilution of 1:100

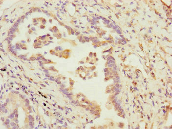
  • Immunohistochemistry of paraffin-embedded human colon cancer using CSB-PA861077ESR1HU at dilution of 1:100

Have Questions? Leave a Message or Start an on-line Chat

Product Details

Full Product Name
Rabbit anti-Homo sapiens (Human) B9D2 Polyclonal antibody
Uniprot No.
Target Names
B9D2
Alternative Names
B9D2 antibody; MKSR2B9 domain-containing protein 2 antibody; MKS1-related protein 2 antibody
Raised in
Rabbit
Species Reactivity
Human
Immunogen
Recombinant Human B9 domain-containing protein 2 protein (1-175AA)
Immunogen Species
Homo sapiens (Human)
Conjugate
Non-conjugated
Clonality
Polyclonal
Isotype
IgG
Purification Method
Antigen Affinity Purified
Concentration
It differs from different batches. Please contact us to confirm it.
Buffer
PBS with 0.02% sodium azide, 50% glycerol, pH7.3.
Form
Liquid
Tested Applications
ELISA, IHC
Recommended Dilution
Application Recommended Dilution
IHC 1:20-1:200
Troubleshooting and FAQs
Storage
Upon receipt, store at -20°C or -80°C. Avoid repeated freeze.
Lead Time
Basically, we can dispatch the products out in 1-3 working days after receiving your orders. Delivery time maybe differs from different purchasing way or location, please kindly consult your local distributors for specific delivery time.
Usage
For Research Use Only. Not for use in diagnostic or therapeutic procedures.

Customer Reviews and Q&A

 Customer Reviews

There are currently no reviews for this product.

Submit a Review here

Target Background

Function
Component of the tectonic-like complex, a complex localized at the transition zone of primary cilia and acting as a barrier that prevents diffusion of transmembrane proteins between the cilia and plasma membranes.
Gene References into Functions
  1. The ICIS-1 (Involved in CIlia Stability-1)gene is localized within the TGF-beta1 promoter and is upregulated during mucociliary differentiation. PMID: 17127412
  2. MKS-1 and MKS-1-related proteins 1 and 2 (MKSR-1/EPPB9, MKSR-2/B9D2), localize to transition zones/basal bodies of sensory cilia; subcellular localization is largely co-dependent, pointing to a functional relationship between the proteins PMID: 19208769
  3. ICIS-1 is a new protein associated with ciliated cells and potentially related to cilia stability. This gene is localized within the TGF-beta1 promoter and is ubiquitously expressed in human tissues. PMID: 17127412
Involvement in disease
Meckel syndrome 10 (MKS10)
Subcellular Location
Cytoplasm, cytoskeleton, cilium basal body. Cytoplasm, cytoskeleton, cilium axoneme. Nucleus.
Protein Families
B9D family
Database Links

HGNC: 28636

OMIM: 611951

KEGG: hsa:80776

STRING: 9606.ENSP00000243578

UniGene: Hs.567596

icon of phone
Call us
301-363-4651 (Available 9 a.m. to 5 p.m. CST from Monday to Friday)
icon of address
Address
7505 Fannin St., Ste 610, Room 7 (CUBIO Innovation Center), Houston, TX 77054, USA
icon of social media
Join us with

Subscribe newsletter

Leave a message

* To protect against spam, please pass the CAPTCHA test below.
CAPTCHA verification
© 2007-2026 CUSABIO TECHNOLOGY LLC All rights reserved. 鄂ICP备15011166号-1
Place an order now

I. Product details

*
*
*
*

II. Contact details

*
*

III. Ship To

*
*
*
*
*
*
*

IV. Bill To

*
*
*
*
*
*
*
*