BRMS1 Antibody

Code CSB-PA858674
Size US$166
Order now
Image
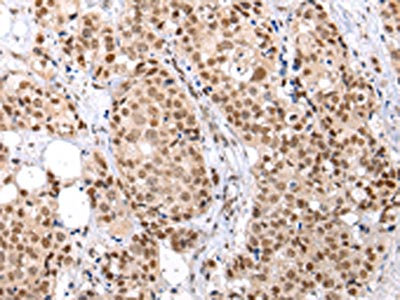
  • The image on the left is immunohistochemistry of paraffin-embedded Human breast cancer tissue using CSB-PA858674(BRMS1 Antibody) at dilution 1/25, on the right is treated with synthetic peptide. (Original magnification: ×200)
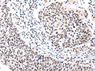
  • The image on the left is immunohistochemistry of paraffin-embedded Human lung cancer tissue using CSB-PA858674(BRMS1 Antibody) at dilution 1/25, on the right is treated with synthetic peptide. (Original magnification: ×200)
Have Questions? Leave a Message or Start an on-line Chat

Product Details

Uniprot No.
Target Names
BRMS1
Raised in
Rabbit
Species Reactivity
Human,Mouse,Rat
Immunogen
Synthetic peptide of Human BRMS1
Immunogen Species
Homo sapiens (Human)
Conjugate
Non-conjugated
Isotype
IgG
Purification Method
Antigen affinity purification
Concentration
It differs from different batches. Please contact us to confirm it.
Buffer
-20°C, pH7.4 PBS, 0.05% NaN3, 40% Glycerol
Form
Liquid
Tested Applications
ELISA,IHC
Recommended Dilution
Application Recommended Dilution
ELISA 1:2000-1:5000
IHC 1:25-1:100
Troubleshooting and FAQs
Storage
Upon receipt, store at -20°C or -80°C. Avoid repeated freeze.
Lead Time
Basically, we can dispatch the products out in 1-3 working days after receiving your orders. Delivery time maybe differs from different purchasing way or location, please kindly consult your local distributors for specific delivery time.
Usage
For Research Use Only. Not for use in diagnostic or therapeutic procedures.

Related Products

Customer Reviews and Q&A

 Customer Reviews

There are currently no reviews for this product.

Submit a Review here

Target Background

Function
Transcriptional repressor. Down-regulates transcription activation by NF-kappa-B by promoting the deacetylation of RELA at 'Lys-310'. Promotes HDAC1 binding to promoter regions. Down-regulates expression of anti-apoptotic genes that are controlled by NF-kappa-B. Promotes apoptosis in cells that have inadequate adherence to a substrate, a process called anoikis, and may thereby inhibit metastasis. May be a mediator of metastasis suppression in breast carcinoma.
Subcellular Location
Nucleus. Cytoplasm. Note=Predominantly nuclear.
Protein Families
BRMS1 family
Tissue Specificity
Expression levels are higher in term placentas than in early placentas. Low levels of expression observed in normal pregnancies and in molar pregnancies.
Database Links

HGNC: 17262

OMIM: 606259

KEGG: hsa:25855

STRING: 9606.ENSP00000396052

UniGene: Hs.100426

icon of phone
Call us
301-363-4651 (Available 9 a.m. to 5 p.m. CST from Monday to Friday)
icon of address
Address
7505 Fannin St., Ste 610, Room 7 (CUBIO Innovation Center), Houston, TX 77054, USA
icon of social media
Join us with

Subscribe newsletter

Leave a message

* To protect against spam, please pass the CAPTCHA test below.
CAPTCHA verification
© 2007-2026 CUSABIO TECHNOLOGY LLC All rights reserved. 鄂ICP备15011166号-1
Place an order now

I. Product details

*
*
*
*

II. Contact details

*
*

III. Ship To

*
*
*
*
*
*
*

IV. Bill To

*
*
*
*
*
*
*
*