CMTM2 Antibody

Code CSB-PA098010
Size US$166
Order now
Image
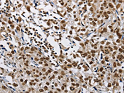
  • The image on the left is immunohistochemistry of paraffin-embedded Human colon cancer tissue using CSB-PA098010(CMTM2 Antibody) at dilution 1/60, on the right is treated with fusion protein. (Original magnification: ×200)
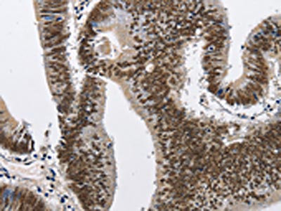
  • The image on the left is immunohistochemistry of paraffin-embedded Human esophagus cancer tissue using CSB-PA098010(CMTM2 Antibody) at dilution 1/60, on the right is treated with fusion protein. (Original magnification: ×200)
Have Questions? Leave a Message or Start an on-line Chat

Product Details

Uniprot No.
Target Names
CMTM2
Alternative Names
CMTM2; CKLFSF2; CKLF-like MARVEL transmembrane domain-containing protein 2; Chemokine-like factor superfamily member 2
Raised in
Rabbit
Species Reactivity
Human
Immunogen
Fusion protein of Human CMTM2
Immunogen Species
Homo sapiens (Human)
Conjugate
Non-conjugated
Isotype
IgG
Purification Method
Antigen affinity purification
Concentration
It differs from different batches. Please contact us to confirm it.
Buffer
-20°C, pH7.4 PBS, 0.05% NaN3, 40% Glycerol
Form
Liquid
Tested Applications
ELISA,IHC
Recommended Dilution
Application Recommended Dilution
ELISA 1:2000-1:10000
IHC 1:100-1:300
Troubleshooting and FAQs
Storage
Upon receipt, store at -20°C or -80°C. Avoid repeated freeze.
Lead Time
Basically, we can dispatch the products out in 1-3 working days after receiving your orders. Delivery time maybe differs from different purchasing way or location, please kindly consult your local distributors for specific delivery time.
Usage
For Research Use Only. Not for use in diagnostic or therapeutic procedures.

Customer Reviews and Q&A

 Customer Reviews

There are currently no reviews for this product.

Submit a Review here

Target Background

Gene References into Functions
  1. Aberrant DNA methylation of CMTM2 gene is associated with colorectal cancer. PMID: 22901147
  2. Intracellular CMTM2 can negatively regulate HIV-1 transcription, at least in part, by targeting the AP-1 and CREB pathways. PMID: 21034562
  3. CKLFSF2 was specifically expressed in meiotic and post-meiotic germ cells, which were localized to the endoplasmic reticulum (ER) near the Golgi apparatus. PMID: 17334588
Subcellular Location
Membrane; Multi-pass membrane protein.
Protein Families
Chemokine-like factor family
Tissue Specificity
Highly expressed in testis.
Database Links

HGNC: 19173

OMIM: 607885

KEGG: hsa:146225

STRING: 9606.ENSP00000268595

UniGene: Hs.195685

icon of phone
Call us
301-363-4651 (Available 9 a.m. to 5 p.m. CST from Monday to Friday)
icon of address
Address
7505 Fannin St., Ste 610, Room 7 (CUBIO Innovation Center), Houston, TX 77054, USA
icon of social media
Join us with

Subscribe newsletter

Leave a message

* To protect against spam, please pass the CAPTCHA test below.
CAPTCHA verification
© 2007-2026 CUSABIO TECHNOLOGY LLC All rights reserved. 鄂ICP备15011166号-1
Place an order now

I. Product details

*
*
*
*

II. Contact details

*
*

III. Ship To

*
*
*
*
*
*
*

IV. Bill To

*
*
*
*
*
*
*
*