COL20A1 Antibody

Code CSB-PA824118
Size US$166
Order now
Image
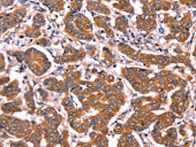
  • The image on the left is immunohistochemistry of paraffin-embedded Human breast cancer tissue using CSB-PA824118(COL20A1 Antibody) at dilution 1/40, on the right is treated with fusion protein. (Original magnification: ×200)
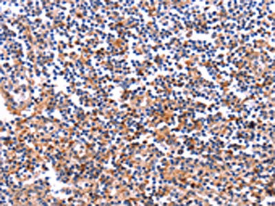
  • The image on the left is immunohistochemistry of paraffin-embedded Human tonsil tissue using CSB-PA824118(COL20A1 Antibody) at dilution 1/40, on the right is treated with fusion protein. (Original magnification: ×200)
Have Questions? Leave a Message or Start an on-line Chat

Product Details

Uniprot No.
Target Names
COL20A1
Alternative Names
COL20A1 antibody; KIAA1510Collagen alpha-1(XX) chain antibody
Raised in
Rabbit
Species Reactivity
Human
Immunogen
Fusion protein of Human COL20A1
Immunogen Species
Homo sapiens (Human)
Conjugate
Non-conjugated
Isotype
IgG
Purification Method
Antigen affinity purification
Concentration
It differs from different batches. Please contact us to confirm it.
Buffer
-20°C, pH7.4 PBS, 0.05% NaN3, 40% Glycerol
Form
Liquid
Tested Applications
ELISA,IHC
Recommended Dilution
Application Recommended Dilution
ELISA 1:2000-1:5000
IHC 1:50-1:200
Troubleshooting and FAQs
Storage
Upon receipt, store at -20°C or -80°C. Avoid repeated freeze.
Lead Time
Basically, we can dispatch the products out in 1-3 working days after receiving your orders. Delivery time maybe differs from different purchasing way or location, please kindly consult your local distributors for specific delivery time.
Usage
For Research Use Only. Not for use in diagnostic or therapeutic procedures.

Customer Reviews and Q&A

 Customer Reviews

There are currently no reviews for this product.

Submit a Review here

Target Background

Function
Probable collagen protein.
Gene References into Functions
  1. Our study proposes COL20A1 gene as another potential candidate gene for striate palmoplantar keratoderma (PPKS)which expand the spectrum of collagen proteins in the pathogenicity of Palmoplantar keratoderma. PMID: 29934816
Subcellular Location
Secreted, extracellular space.
Tissue Specificity
High expression in heart, lung, liver, skeletal muscle, kidney, pancreas, spleen, testis, ovary, subthalamic nucleus and fetal liver. Weak expression in other tissues tested.
Database Links

HGNC: 14670

KEGG: hsa:57642

STRING: 9606.ENSP00000351767

UniGene: Hs.271285

icon of phone
Call us
301-363-4651 (Available 9 a.m. to 5 p.m. CST from Monday to Friday)
icon of address
Address
7505 Fannin St., Ste 610, Room 7 (CUBIO Innovation Center), Houston, TX 77054, USA
icon of social media
Join us with

Subscribe newsletter

Leave a message

* To protect against spam, please pass the CAPTCHA test below.
CAPTCHA verification
© 2007-2025 CUSABIO TECHNOLOGY LLC All rights reserved. 鄂ICP备15011166号-1
×
Place an order now

I. Product details

*
*
*
*

II. Contact details

*
*

III. Ship To

*
*
*
*
*
*
*

IV. Bill To

*
*
*
*
*
*
*
*