CRELD1 Antibody

Code CSB-PA256217
Size US$166
Order now
Image
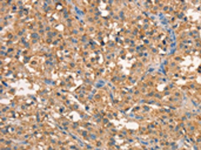
  • The image on the left is immunohistochemistry of paraffin-embedded Human thyroid cancer tissue using CSB-PA256217(CRELD1 Antibody) at dilution 1/40, on the right is treated with synthetic peptide. (Original magnification: ×200)
  • The image on the left is immunohistochemistry of paraffin-embedded Human brain tissue using CSB-PA256217(CRELD1 Antibody) at dilution 1/40, on the right is treated with synthetic peptide. (Original magnification: ×200)
Have Questions? Leave a Message or Start an on-line Chat

Product Details

Uniprot No.
Target Names
CRELD1
Alternative Names
CRELD1; CIRRIN; UNQ188/PRO214; Protein disulfide isomerase CRELD1; Cysteine-rich with EGF-like domain protein 1
Raised in
Rabbit
Species Reactivity
Human,Mouse,Rat
Immunogen
Synthetic peptide of Human CRELD1
Immunogen Species
Homo sapiens (Human)
Conjugate
Non-conjugated
Isotype
IgG
Purification Method
Antigen affinity purification
Concentration
It differs from different batches. Please contact us to confirm it.
Buffer
-20°C, pH7.4 PBS, 0.05% NaN3, 40% Glycerol
Form
Liquid
Tested Applications
ELISA,IHC
Recommended Dilution
Application Recommended Dilution
ELISA 1:2000-1:5000
IHC 1:50-1:200
Troubleshooting and FAQs
Storage
Upon receipt, store at -20°C or -80°C. Avoid repeated freeze.
Lead Time
Basically, we can dispatch the products out in 1-3 working days after receiving your orders. Delivery time maybe differs from different purchasing way or location, please kindly consult your local distributors for specific delivery time.
Usage
For Research Use Only. Not for use in diagnostic or therapeutic procedures.

Customer Reviews and Q&A

 Customer Reviews

There are currently no reviews for this product.

Submit a Review here

Target Background

Function
Protein disulfide isomerase. Promotes the localization of acetylcholine receptors (AChRs) to the plasma membrane.
Gene References into Functions
  1. The CRELD1 gene is likely to have a major role in causation of AVSD phenotype in selected DS patients. PMID: 29054759
  2. Germline mutations in the NKX2-5, GATA4, and CRELD1 genes do not appear to be associated with CHD in Mexican DS patients. PMID: 25524324
  3. Mutation of the CRELD1 gene increased the risk for atrioventricular septal defect. PMID: 24927998
  4. we identified two CRELD1 haplotypes associated with AVSD phenotype among DS and euploid individuals. PMID: 22987595
  5. study indicates that deleterious CRELD1 missense mutations are specifically associated with AVSD and are not correlated with other aspects of the heterotaxy phenotype PMID: 22740159
  6. SNP c.985 C>T of CRELD1 is involved in causing congenital heart disease in patients of Mysore, South India. PMID: 21413875
  7. CRELD1 is likely to be an AVSD-susceptibility gene and CRELD1 mutations may increase the risk of developing a heart defect rather than being a direct causative mutation PMID: 21080147
  8. CRELD1 could partly change the localization of RTN3 from the endoplasmic reticulum to the plasma membrane and modulate the apoptotic activity of RTN3 through binding with it. PMID: 19521671
  9. Missense mutations in this protein are associated with cardiac atrioventricular septal defects. PMID: 12632326
  10. Mutations in CRELD1,are infrequently found in patients with congenital cardiac septal defects PMID: 18076106

Show More

Hide All

Involvement in disease
Atrioventricular septal defect 2 (AVSD2)
Subcellular Location
Membrane; Multi-pass membrane protein.
Protein Families
CRELD family
Tissue Specificity
Highly expressed in fetal lung, liver, kidney, adult heart, brain and skeletal muscle. Weakly expressed in placenta, fetal brain, and adult lung, liver, kidney and pancreas.
Database Links

HGNC: 14630

OMIM: 606217

KEGG: hsa:78987

UniGene: Hs.9383

icon of phone
Call us
301-363-4651 (Available 9 a.m. to 5 p.m. CST from Monday to Friday)
icon of address
Address
7505 Fannin St., Ste 610, Room 7 (CUBIO Innovation Center), Houston, TX 77054, USA
icon of social media
Join us with

Subscribe newsletter

Leave a message

* To protect against spam, please pass the CAPTCHA test below.
CAPTCHA verification
© 2007-2026 CUSABIO TECHNOLOGY LLC All rights reserved. 鄂ICP备15011166号-1
Place an order now

I. Product details

*
*
*
*

II. Contact details

*
*

III. Ship To

*
*
*
*
*
*
*

IV. Bill To

*
*
*
*
*
*
*
*