ERN2 Antibody

Code CSB-PA585877
Size US$166
Order now
Image
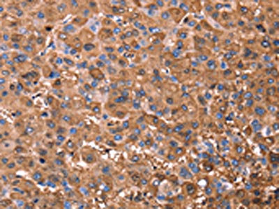
  • The image on the left is immunohistochemistry of paraffin-embedded Human liver cancer tissue using CSB-PA585877(ERN2 Antibody) at dilution 1/40, on the right is treated with synthetic peptide. (Original magnification: ×200)
  • The image on the left is immunohistochemistry of paraffin-embedded Human gastric cancer tissue using CSB-PA585877(ERN2 Antibody) at dilution 1/40, on the right is treated with synthetic peptide. (Original magnification: ×200)
Have Questions? Leave a Message or Start an on-line Chat

Product Details

Uniprot No.
Target Names
ERN2
Alternative Names
ERN2 antibody; IRE2Serine/threonine-protein kinase/endoribonuclease IRE2 antibody; Endoplasmic reticulum-to-nucleus signaling 2 antibody; Inositol-requiring protein 2 antibody; hIRE2p antibody; Ire1-beta antibody; IRE1b) [Includes: Serine/threonine-protein kinase antibody; EC 2.7.11.1); Endoribonuclease antibody; EC 3.1.26.-)] antibody
Raised in
Rabbit
Species Reactivity
Human
Immunogen
Synthetic peptide of Human ERN2
Immunogen Species
Homo sapiens (Human)
Conjugate
Non-conjugated
Isotype
IgG
Purification Method
Antigen affinity purification
Concentration
It differs from different batches. Please contact us to confirm it.
Buffer
-20°C, pH7.4 PBS, 0.05% NaN3, 40% Glycerol
Form
Liquid
Tested Applications
ELISA,IHC
Recommended Dilution
Application Recommended Dilution
ELISA 1:2000-1:5000
IHC 1:50-1:200
Troubleshooting and FAQs
Storage
Upon receipt, store at -20°C or -80°C. Avoid repeated freeze.
Lead Time
Basically, we can dispatch the products out in 1-3 working days after receiving your orders. Delivery time maybe differs from different purchasing way or location, please kindly consult your local distributors for specific delivery time.
Usage
For Research Use Only. Not for use in diagnostic or therapeutic procedures.

Customer Reviews and Q&A

 Customer Reviews

There are currently no reviews for this product.

Submit a Review here

Target Background

Function
Induces translational repression through 28S ribosomal RNA cleavage in response to ER stress. Pro-apoptotic. Appears to play no role in the unfolded-protein response, unlike closely related proteins.
Gene References into Functions
  1. ER stress-regulated IRE1 dependent decay is involved in regulation of hepatic diseases. (review) PMID: 27774654
  2. The luminal event mediated by IRE1beta involves direct interaction with unfolded proteins rather than association/dissociation with BiP. PMID: 23236464
  3. Data show that IRE1beta represses translation on the ER membrane but not in the cytosol, and that this selective repression depends on the RNase activity of IRE1beta. PMID: 21146530
  4. The structural, biochemical, and functional studies in vivo altogether demonstrate that IRE1 and PERK have conserved a common molecular interface necessary and sufficient for dimerization and unfolded protein response (UPR) signaling. PMID: 16973740
  5. RNase domain of IRE1 determines the functional specificities of each of these isoforms. PMID: 18242182

Show More

Hide All

Subcellular Location
Endoplasmic reticulum membrane; Single-pass type I membrane protein.
Protein Families
Protein kinase superfamily, Ser/Thr protein kinase family
Database Links

HGNC: 16942

OMIM: 604034

KEGG: hsa:10595

STRING: 9606.ENSP00000256797

UniGene: Hs.592041

icon of phone
Call us
301-363-4651 (Available 9 a.m. to 5 p.m. CST from Monday to Friday)
icon of address
Address
7505 Fannin St., Ste 610, Room 7 (CUBIO Innovation Center), Houston, TX 77054, USA
icon of social media
Join us with

Subscribe newsletter

Leave a message

* To protect against spam, please pass the CAPTCHA test below.
CAPTCHA verification
© 2007-2025 CUSABIO TECHNOLOGY LLC All rights reserved. 鄂ICP备15011166号-1
×
Place an order now

I. Product details

*
*
*
*

II. Contact details

*
*

III. Ship To

*
*
*
*
*
*
*

IV. Bill To

*
*
*
*
*
*
*
*