HIST1H1E (Ab-63) Antibody

Code CSB-PA010380OA63nforHU
Size US$166
Order now
Image
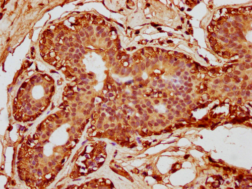
  • IHC image of CSB-PA010380OA63nforHU diluted at 1:10 and staining in paraffin-embedded human breast cancer performed on a Leica BondTM system. After dewaxing and hydration, antigen retrieval was mediated by high pressure in a citrate buffer (pH 6.0). Section was blocked with 10% normal goat serum 30min at RT. Then primary antibody (1% BSA) was incubated at 4°C overnight. The primary is detected by a biotinylated secondary antibody and visualized using an HRP conjugated SP system.
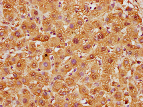
  • IHC image of CSB-PA010380OA63nforHU diluted at 1:10 and staining in paraffin-embedded human liver tissue performed on a Leica BondTM system. After dewaxing and hydration, antigen retrieval was mediated by high pressure in a citrate buffer (pH 6.0). Section was blocked with 10% normal goat serum 30min at RT. Then primary antibody (1% BSA) was incubated at 4°C overnight. The primary is detected by a biotinylated secondary antibody and visualized using an HRP conjugated SP system.
Have Questions? Leave a Message or Start an on-line Chat

Product Details

Full Product Name
Rabbit anti-Homo sapiens (Human) HIST1H1E Polyclonal antibody
Uniprot No.
Target Names
HIST1H1E
Alternative Names
Histone H1.4 (Histone H1b) (Histone H1s-4), HIST1H1E, H1F4
Raised in
Rabbit
Species Reactivity
Human
Immunogen
Synthesized peptide derived from Human Histone H1.4 protein (57-69aa)
Immunogen Species
Homo sapiens (Human)
Conjugate
Non-conjugated
Clonality
Polyclonal
Isotype
IgG
Purification Method
Antigen Affinity Purified
Concentration
It differs from different batches. Please contact us to confirm it.
Buffer
Preservative: 0.03% Proclin 300
Constituents: 50% Glycerol, 0.01M PBS, pH 7.4
Form
Liquid
Tested Applications
ELISA, IHC
Recommended Dilution
Application Recommended Dilution
IHC 1:10-1:100
Troubleshooting and FAQs
Storage
Upon receipt, store at -20°C or -80°C. Avoid repeated freeze.
Lead Time
Basically, we can dispatch the products out in 1-3 working days after receiving your orders. Delivery time maybe differs from different purchasing way or location, please kindly consult your local distributors for specific delivery time.
Usage
For Research Use Only. Not for use in diagnostic or therapeutic procedures.

Customer Reviews and Q&A

 Customer Reviews

There are currently no reviews for this product.

Submit a Review here

Target Background

Function
Histone H1 protein binds to linker DNA between nucleosomes forming the macromolecular structure known as the chromatin fiber. Histones H1 are necessary for the condensation of nucleosome chains into higher-order structured fibers. Acts also as a regulator of individual gene transcription through chromatin remodeling, nucleosome spacing and DNA methylation.
Gene References into Functions
  1. Results show that histones H1.2 and H1.4 were observed in MDA-MB-231 metastatic breast cancer cells. The phosphorylation at S173 of histone H1.2 and S172, S187, T18, T146, and T154 of H1.4 significantly increases during M phase suggesting that these events are cell cycle-dependent. PMID: 26209608
  2. This study identified and confirmed HIST1H1E protein changes within the postsynaptic density in schizophrenia. PMID: 25048004
  3. the N-terminal domain of H1 is an important determinant of affinity and specificity of H1-chromatin interactions. PMID: 22425985
  4. PKA-mediated H1.4S35 phosphorylation dissociates H1.4 from mitotic chromatin but also suggest that this phosphorylation is necessary for specific mitotic functions. PMID: 21852232
  5. Allele-specific underacetylation of histone H4 downstream from promoter is associated with X-inactivation in human cells. PMID: 12498347
  6. the lysine residue adjacent to the phosphorylation site found on the serine residue on the H1.4 peptide KARKSAGAAKR was also shown to be methylated, raising the question of whether the hypothesized "methyl/phos" switch could be extended to linker histones PMID: 15595731
  7. Dynamic Histone H1 Isotype 4 Methylation and Demethylation by Histone Lysine Methyltransferase G9a/KMT1C and the Jumonji Domain-containing JMJD2/KDM4 Proteins PMID: 19144645

Show More

Hide All

Involvement in disease
Rahman syndrome (RMNS)
Subcellular Location
Nucleus. Chromosome. Note=Mainly localizes in heterochromatin. Dysplays a punctuate staining pattern in the nucleus.
Protein Families
Histone H1/H5 family
Database Links

HGNC: 4718

OMIM: 142220

KEGG: hsa:3008

STRING: 9606.ENSP00000307705

UniGene: Hs.248133

icon of phone
Call us
301-363-4651 (Available 9 a.m. to 5 p.m. CST from Monday to Friday)
icon of address
Address
7505 Fannin St., Ste 610, Room 7 (CUBIO Innovation Center), Houston, TX 77054, USA
icon of social media
Join us with

Subscribe newsletter

Leave a message

* To protect against spam, please pass the CAPTCHA test below.
CAPTCHA verification
© 2007-2025 CUSABIO TECHNOLOGY LLC All rights reserved. 鄂ICP备15011166号-1
×
Place an order now

I. Product details

*
*
*
*

II. Contact details

*
*

III. Ship To

*
*
*
*
*
*
*

IV. Bill To

*
*
*
*
*
*
*
*