Full Product Name
                            Rabbit anti-Homo sapiens (Human) LMOD1 Polyclonal antibody
                         
                                                                                                
                                                                        
                                                                        
                            Alternative Names
                            
								1D antibody; 64 kDa autoantigen 1D antibody; 64 kDa autoantigen 1D3 antibody; 64 kDa autoantigen D1 antibody; 9530015K06Rik antibody; D1 antibody; Leiomodin antibody; Leiomodin-1 antibody; Lmod1 antibody; LMOD1_HUMAN antibody; muscle form antibody; SM LMOD antibody; SM-Lmod antibody; SMLMOD antibody; Smooth muscle leiomodin antibody; Thyroid associated ophthalmopathy autoantigen antibody; Thyroid-associated ophthalmopathy autoantigen antibody
							 
                         
                                                                        
                                                                        
                                                                        
                            Immunogen
                            Recombinant Human Leiomodin-1 protein (29-187AA)
                         
                                                                        
                            Immunogen Species
                            Homo sapiens (Human)
                         
                                                                        
                                                                        
                                                                        
                                                                                                
                            Purification Method
                            Antigen Affinity Purified
                         
                                                
                            Concentration
                            It differs from different batches. Please contact us to confirm it.
                         
                                                
                            Buffer
                            PBS with 0.02% sodium azide, 50% glycerol, pH7.3.
                         
                                                                        
                                                                        												                        
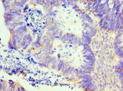
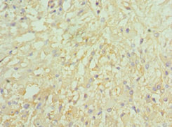
                            Tested Applications
                            ELISA, IHC
                         
						                                                                                                                        
                            Recommended Dilution
                            
                                
                                    
                                        | Application | Recommended Dilution | 
                                                                                                                                                                                    
                                        | IHC | 1:20-1:200 | 
                                                                    
                             
                         
                        												                                                                        
                                                
                                                
                            Storage
                            Upon receipt, store at -20°C or -80°C. Avoid repeated freeze.
                         
                                                                        
                            Lead Time
                            Basically, we can dispatch the products out in 1-3 working days after receiving your orders. Delivery time maybe differs from different purchasing way or location, please kindly consult your local distributors for specific delivery time.
                         
						                        
                            Usage
                            For Research Use Only. Not for use in diagnostic or therapeutic procedures.