MSMO1 Antibody

Code CSB-PA972591
Size US$166
Order now
Image
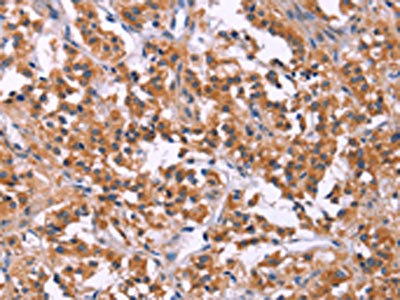
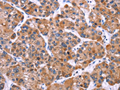
  • The image on the left is immunohistochemistry of paraffin-embedded Human liver cancer tissue using CSB-PA972591(MSMO1 Antibody) at dilution 1/40, on the right is treated with synthetic peptide. (Original magnification: ×200)
  • The image on the left is immunohistochemistry of paraffin-embedded Human thyroid cancer tissue using CSB-PA972591(MSMO1 Antibody) at dilution 1/40, on the right is treated with synthetic peptide. (Original magnification: ×200)
Have Questions? Leave a Message or Start an on-line Chat

Product Details

Uniprot No.
Target Names
MSMO1
Alternative Names
MSMO1; DESP4; ERG25; SC4MOL; Methylsterol monooxygenase 1; C-4 methylsterol oxidase; Sterol-C4-methyl oxidase
Raised in
Rabbit
Species Reactivity
Human
Immunogen
Synthetic peptide of Human MSMO1
Immunogen Species
Homo sapiens (Human)
Conjugate
Non-conjugated
Isotype
IgG
Purification Method
Antigen affinity purification
Concentration
It differs from different batches. Please contact us to confirm it.
Buffer
-20°C, pH7.4 PBS, 0.05% NaN3, 40% Glycerol
Form
Liquid
Tested Applications
ELISA,IHC
Recommended Dilution
Application Recommended Dilution
ELISA 1:2000-1:5000
IHC 1:50-1:200
Troubleshooting and FAQs
Storage
Upon receipt, store at -20°C or -80°C. Avoid repeated freeze.
Lead Time
Basically, we can dispatch the products out in 1-3 working days after receiving your orders. Delivery time maybe differs from different purchasing way or location, please kindly consult your local distributors for specific delivery time.
Usage
For Research Use Only. Not for use in diagnostic or therapeutic procedures.

Customer Reviews and Q&A

 Customer Reviews

There are currently no reviews for this product.

Submit a Review here

Target Background

Function
Catalyzes the three-step monooxygenation required for the demethylation of 4,4-dimethyl and 4alpha-methylsterols, which can be subsequently metabolized to cholesterol. Also involved in drug metabolism, as it can metabolize eldecalcitol (ED-71 or 1alpha,25-dihydroxy-2beta-(3-hydroxypropoxy)-cholecalciferol), a second-generation vitamin D analog, into 1alpha,2beta,25-trihydroxy vitamin D3; this reaction occurs via enzymatic hydroxylation and spontaneous O-dehydroxypropylation.
Gene References into Functions
  1. SC4MOL is situated within the psoriasis susceptibility locus PSORS9, and may be a genetic risk factor for common skin conditions. [review] PMID: 24144731
  2. variants in/near SC4MOL, were associated with FI and IR in this cohort of African Amer PMID: 22791750
  3. human SC4MOL encodes a methyl sterol oxidase that may have a role in psoriasiform dermatitis, microcephaly, and developmental delay PMID: 21285510
Involvement in disease
Microcephaly, congenital cataract, and psoriasiform dermatitis (MCCPD)
Subcellular Location
Endoplasmic reticulum membrane; Multi-pass membrane protein.
Protein Families
Sterol desaturase family
Database Links

HGNC: 10545

OMIM: 607545

KEGG: hsa:6307

STRING: 9606.ENSP00000261507

UniGene: Hs.105269

icon of phone
Call us
301-363-4651 (Available 9 a.m. to 5 p.m. CST from Monday to Friday)
icon of address
Address
7505 Fannin St., Ste 610, Room 7 (CUBIO Innovation Center), Houston, TX 77054, USA
icon of social media
Join us with

Subscribe newsletter

Leave a message

* To protect against spam, please pass the CAPTCHA test below.
CAPTCHA verification
© 2007-2025 CUSABIO TECHNOLOGY LLC All rights reserved. 鄂ICP备15011166号-1
×
Place an order now

I. Product details

*
*
*
*

II. Contact details

*
*

III. Ship To

*
*
*
*
*
*
*

IV. Bill To

*
*
*
*
*
*
*
*