NEURL1B Antibody

Code CSB-PA015722LA01HU
Size US$166
Order now
Image
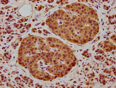
  • IHC image of CSB-PA015722LA01HU diluted at 1:400 and staining in paraffin-embedded human pancreatic cancer performed on a Leica BondTM system. After dewaxing and hydration, antigen retrieval was mediated by high pressure in a citrate buffer (pH 6.0). Section was blocked with 10% normal goat serum 30min at RT. Then primary antibody (1% BSA) was incubated at 4°C overnight. The primary is detected by a biotinylated secondary antibody and visualized using an HRP conjugated SP system.

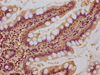
  • IHC image of CSB-PA015722LA01HU diluted at 1:400 and staining in paraffin-embedded human small intestine tissue performed on a Leica BondTM system. After dewaxing and hydration, antigen retrieval was mediated by high pressure in a citrate buffer (pH 6.0). Section was blocked with 10% normal goat serum 30min at RT. Then primary antibody (1% BSA) was incubated at 4°C overnight. The primary is detected by a biotinylated secondary antibody and visualized using an HRP conjugated SP system.

  • Immunofluorescence staining of U251 cells with CSB-PA015722LA01HU at 1:133, counter-stained with DAPI. The cells were fixed in 4% formaldehyde, permeabilized using 0.2% Triton X-100 and blocked in 10% normal Goat Serum. The cells were then incubated with the antibody overnight at 4°C. The secondary antibody was Alexa Fluor 488-congugated AffiniPure Goat Anti-Rabbit IgG(H+L).

Promotion Free Antibody trial simple
Have Questions? Leave a Message or Start an on-line Chat

Product Details

Full Product Name
Rabbit anti-Homo sapiens (Human) NEURL1B Polyclonal antibody
Uniprot No.
Target Names
NEURL1B
Alternative Names
E3 ubiquitin-protein ligase NEURL1B antibody; E3 ubiquitin-protein ligase NEURL3 antibody; hNeur2 antibody; NEU1B_HUMAN antibody; Neur2 antibody; neuralized-2 alternative protein antibody; neuralized-2 antibody; Neuralized-like protein 1B antibody; Neuralized-like protein 3 antibody; NEURL1B antibody; NEURL3 antibody
Raised in
Rabbit
Species Reactivity
Human
Immunogen
Recombinant Human E3 ubiquitin-protein ligase NEURL1B protein (1-275AA)
Immunogen Species
Homo sapiens (Human)
Conjugate
Non-conjugated

The NEURL1B Antibody (Product code: CSB-PA015722LA01HU) is Non-conjugated. For NEURL1B Antibody with conjugates, please check the following table.

Available Conjugates
Conjugate Product Code Product Name Application
HRP CSB-PA015722LB01HU NEURL1B Antibody, HRP conjugated ELISA
FITC CSB-PA015722LC01HU NEURL1B Antibody, FITC conjugated
Biotin CSB-PA015722LD01HU NEURL1B Antibody, Biotin conjugated ELISA
Clonality
Polyclonal
Isotype
IgG
Purification Method
>95%, Protein G purified
Concentration
It differs from different batches. Please contact us to confirm it.
Buffer
Preservative: 0.03% Proclin 300
Constituents: 50% Glycerol, 0.01M PBS, pH 7.4
Form
Liquid
Tested Applications
ELISA, IHC, IF
Recommended Dilution
Application Recommended Dilution
IHC 1:200-1:500
IF 1:50-1:200
Troubleshooting and FAQs
Storage
Upon receipt, store at -20°C or -80°C. Avoid repeated freeze.
Lead Time
Basically, we can dispatch the products out in 1-3 working days after receiving your orders. Delivery time maybe differs from different purchasing way or location, please kindly consult your local distributors for specific delivery time.
Usage
For Research Use Only. Not for use in diagnostic or therapeutic procedures.

Customer Reviews and Q&A

 Customer Reviews

There are currently no reviews for this product.

Submit a Review here

Target Background

Function
E3 ubiquitin-protein ligase involved in regulation of the Notch pathway through influencing the stability and activity of several Notch ligands.
Gene References into Functions
  1. Neur2, in contrast to Neur1, is highly expressed during embryonic development of the brain and several non-neural tissues and its mRNA levels subside postnatally. PMID: 19723503
Subcellular Location
Cytoplasm.
Tissue Specificity
Highest expression in brain, prostate and small intestine. In the brain the levels are higher in fetal than in adult stage. In the adult brain the highest levels are detected in the olfactory system, cerebellar cortex, optic nerve and the frontal lobe.
Database Links

HGNC: 35422

OMIM: 615893

KEGG: hsa:54492

STRING: 9606.ENSP00000358815

UniGene: Hs.91521

icon of phone
Call us
301-363-4651 (Available 9 a.m. to 5 p.m. CST from Monday to Friday)
icon of address
Address
7505 Fannin St., Ste 610, Room 7 (CUBIO Innovation Center), Houston, TX 77054, USA
icon of social media
Join us with

Subscribe newsletter

Leave a message

* To protect against spam, please pass the CAPTCHA test below.
CAPTCHA verification
© 2007-2025 CUSABIO TECHNOLOGY LLC All rights reserved. 鄂ICP备15011166号-1
×
Place an order now

I. Product details

*
*
*
*

II. Contact details

*
*

III. Ship To

*
*
*
*
*
*
*

IV. Bill To

*
*
*
*
*
*
*
*