SLC2A11 Antibody

Code CSB-PA062447
Size US$166
Order now
Image
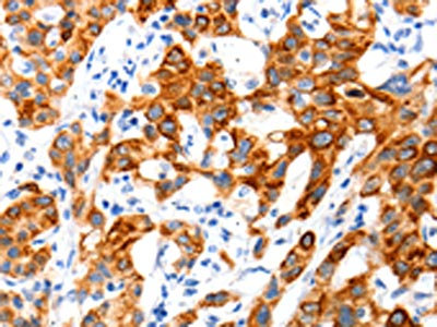
  • The image on the left is immunohistochemistry of paraffin-embedded Human lung cancer tissue using CSB-PA062447(SLC2A11 Antibody) at dilution 1/140, on the right is treated with synthetic peptide. (Original magnification: ×200)
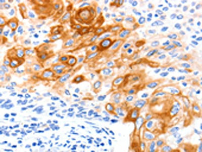
  • The image on the left is immunohistochemistry of paraffin-embedded Human cervical cancer tissue using CSB-PA062447(SLC2A11 Antibody) at dilution 1/140, on the right is treated with synthetic peptide. (Original magnification: ×200)
Have Questions? Leave a Message or Start an on-line Chat

Product Details

Uniprot No.
Target Names
SLC2A11
Alternative Names
SLC2A11 antibody; GLUT11Solute carrier family 2 antibody; facilitated glucose transporter member 11 antibody; Glucose transporter type 11 antibody; GLUT-11 antibody
Raised in
Rabbit
Species Reactivity
Human
Immunogen
Synthetic peptide of Human SLC2A11
Immunogen Species
Homo sapiens (Human)
Conjugate
Non-conjugated
Isotype
IgG
Purification Method
Antigen affinity purification
Concentration
It differs from different batches. Please contact us to confirm it.
Buffer
-20°C, pH7.4 PBS, 0.05% NaN3, 40% Glycerol
Form
Liquid
Tested Applications
ELISA,IHC
Recommended Dilution
Application Recommended Dilution
ELISA 1:2000-1:10000
IHC 1:100-1:300
Troubleshooting and FAQs
Storage
Upon receipt, store at -20°C or -80°C. Avoid repeated freeze.
Lead Time
Basically, we can dispatch the products out in 1-3 working days after receiving your orders. Delivery time maybe differs from different purchasing way or location, please kindly consult your local distributors for specific delivery time.
Usage
For Research Use Only. Not for use in diagnostic or therapeutic procedures.

Customer Reviews and Q&A

 Customer Reviews

There are currently no reviews for this product.

Submit a Review here

Target Background

Function
Facilitative glucose transporter.
Gene References into Functions
  1. Critical roles for novel GLUT family members highlight a therapeutic strategy entailing selective GLUT inhibition to specifically target aberrant glucose metabolism in cancer. PMID: 22452979
  2. a novel sugar transporter that is alternatively spliced in various tissues PMID: 12175779
  3. Different promoters and splicing generate three SLC2A11 isoforms which are expressed in a tissue specific manner but do not appear to differ in their functional characteristics. PMID: 16154905
  4. GLUT11 can also transport fructose, but it has the motif DSV at the same position, which appears to function in the same manner as NXI and when all three residues are replaced with NAV fructose transport lost. PMID: 17710649
Subcellular Location
Cell membrane; Multi-pass membrane protein.
Protein Families
Major facilitator superfamily, Sugar transporter (TC 2.A.1.1) family, Glucose transporter subfamily
Tissue Specificity
Expressed in heart and skeletal muscle.
Database Links

HGNC: 14239

OMIM: 610367

KEGG: hsa:66035

STRING: 9606.ENSP00000381399

UniGene: Hs.661910

icon of phone
Call us
301-363-4651 (Available 9 a.m. to 5 p.m. CST from Monday to Friday)
icon of address
Address
7505 Fannin St., Ste 610, Room 7 (CUBIO Innovation Center), Houston, TX 77054, USA
icon of social media
Join us with

Subscribe newsletter

Leave a message

* To protect against spam, please pass the CAPTCHA test below.
CAPTCHA verification
© 2007-2026 CUSABIO TECHNOLOGY LLC All rights reserved. 鄂ICP备15011166号-1
Place an order now

I. Product details

*
*
*
*

II. Contact details

*
*

III. Ship To

*
*
*
*
*
*
*

IV. Bill To

*
*
*
*
*
*
*
*