SPATA20 Antibody

Code CSB-PA951144
Size US$166
Order now
Image
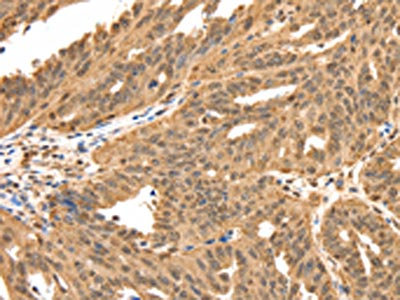
  • The image on the left is immunohistochemistry of paraffin-embedded Human colon cancer tissue using CSB-PA951144(SPATA20 Antibody) at dilution 1/70, on the right is treated with synthetic peptide. (Original magnification: ×200)
  • The image on the left is immunohistochemistry of paraffin-embedded Human ovarian cancer tissue using CSB-PA951144(SPATA20 Antibody) at dilution 1/70, on the right is treated with synthetic peptide. (Original magnification: ×200)
Have Questions? Leave a Message or Start an on-line Chat

Product Details

Uniprot No.
Target Names
SPATA20
Alternative Names
SPATA20 antibody; Spermatogenesis-associated protein 20 antibody; Sperm-specific protein 411 antibody; Ssp411 antibody
Raised in
Rabbit
Species Reactivity
Human
Immunogen
Synthetic peptide of Human SPATA20
Immunogen Species
Homo sapiens (Human)
Conjugate
Non-conjugated
Isotype
IgG
Purification Method
Antigen affinity purification
Concentration
It differs from different batches. Please contact us to confirm it.
Buffer
Liquid in PBS containing 50% glycerol, 0.5% BSA and 0.02% sodium azide.
Form
Liquid
Tested Applications
ELISA,IHC
Recommended Dilution
Application Recommended Dilution
ELISA 1:2000-1:10000
IHC 1:100-1:300
Troubleshooting and FAQs
Storage
Upon receipt, store at -20°C or -80°C. Avoid repeated freeze.
Lead Time
Basically, we can dispatch the products out in 1-3 working days after receiving your orders. Delivery time maybe differs from different purchasing way or location, please kindly consult your local distributors for specific delivery time.
Usage
For Research Use Only. Not for use in diagnostic or therapeutic procedures.

Customer Reviews and Q&A

 Customer Reviews

There are currently no reviews for this product.

Submit a Review here

Target Background

Function
May play a role in fertility regulation.
Gene References into Functions
  1. SSP411 has potential as a biomarker for the diagnosis of Cholangiocarcinoma PMID: 23118872
Subcellular Location
Secreted.
Database Links

HGNC: 26125

OMIM: 613939

KEGG: hsa:64847

STRING: 9606.ENSP00000006658

UniGene: Hs.103147

icon of phone
Call us
301-363-4651 (Available 9 a.m. to 5 p.m. CST from Monday to Friday)
icon of address
Address
7505 Fannin St., Ste 610, Room 7 (CUBIO Innovation Center), Houston, TX 77054, USA
icon of social media
Join us with

Subscribe newsletter

Leave a message

* To protect against spam, please pass the CAPTCHA test below.
CAPTCHA verification
© 2007-2025 CUSABIO TECHNOLOGY LLC All rights reserved. 鄂ICP备15011166号-1
×
Place an order now

I. Product details

*
*
*
*

II. Contact details

*
*

III. Ship To

*
*
*
*
*
*
*

IV. Bill To

*
*
*
*
*
*
*
*