TBX10 Antibody

Code CSB-PA138826
Size US$166
Order now
Image
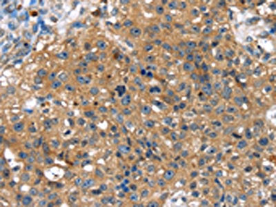
  • The image on the left is immunohistochemistry of paraffin-embedded Human breast cancer tissue using CSB-PA138826(TBX10 Antibody) at dilution 1/30, on the right is treated with fusion protein. (Original magnification: ×200)
Have Questions? Leave a Message or Start an on-line Chat

Product Details

Uniprot No.
Target Names
TBX10
Alternative Names
TBX10 antibody; TBX7 antibody; T-box transcription factor TBX10 antibody; T-box protein 10 antibody
Raised in
Rabbit
Species Reactivity
Human
Immunogen
Fusion protein of Human TBX10
Immunogen Species
Homo sapiens (Human)
Conjugate
Non-conjugated
Isotype
IgG
Purification Method
Antigen affinity purification
Concentration
It differs from different batches. Please contact us to confirm it.
Buffer
-20°C, pH7.4 PBS, 0.05% NaN3, 40% Glycerol
Form
Liquid
Tested Applications
ELISA,IHC
Recommended Dilution
Application Recommended Dilution
ELISA 1:2000-1:5000
IHC 1:25-1:100
Troubleshooting and FAQs
Storage
Upon receipt, store at -20°C or -80°C. Avoid repeated freeze.
Lead Time
Basically, we can dispatch the products out in 1-3 working days after receiving your orders. Delivery time maybe differs from different purchasing way or location, please kindly consult your local distributors for specific delivery time.
Usage
For Research Use Only. Not for use in diagnostic or therapeutic procedures.

Customer Reviews and Q&A

 Customer Reviews

There are currently no reviews for this product.

Submit a Review here

Target Background

Function
Probable transcriptional regulator involved in developmental processes.
Gene References into Functions
  1. Observational study of gene-disease association. (HuGE Navigator) PMID: 20572854
  2. Observational study of gene-disease association. (HuGE Navigator) PMID: 20634891
  3. Observational study of gene-disease association. (HuGE Navigator) PMID: 20672350
  4. Observational study of gene-disease association. (HuGE Navigator) PMID: 20544801
  5. Observational study of gene-disease association. (HuGE Navigator) PMID: 16247549
  6. Observational study of gene-disease association. (HuGE Navigator) PMID: 16327884

Show More

Hide All

Subcellular Location
Nucleus.
Database Links

HGNC: 11593

OMIM: 604648

KEGG: hsa:347853

STRING: 9606.ENSP00000335191

UniGene: Hs.454480

icon of phone
Call us
301-363-4651 (Available 9 a.m. to 5 p.m. CST from Monday to Friday)
icon of address
Address
7505 Fannin St., Ste 610, Room 7 (CUBIO Innovation Center), Houston, TX 77054, USA
icon of social media
Join us with

Subscribe newsletter

Leave a message

* To protect against spam, please pass the CAPTCHA test below.
CAPTCHA verification
© 2007-2025 CUSABIO TECHNOLOGY LLC All rights reserved. 鄂ICP备15011166号-1
×
Place an order now

I. Product details

*
*
*
*

II. Contact details

*
*

III. Ship To

*
*
*
*
*
*
*

IV. Bill To

*
*
*
*
*
*
*
*