TRIM10 Antibody

Code CSB-PA871394ESR2HU
Size US$166
Order now
Image
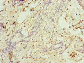
  • Immunohistochemistry of paraffin-embedded human breast cancer using CSB-PA871394ESR2HU at dilution of 1:100

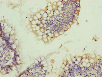
  • Immunohistochemistry of paraffin-embedded human small intestine tissue using CSB-PA871394ESR2HU at dilution of 1:100

Have Questions? Leave a Message or Start an on-line Chat

Product Details

Full Product Name
Rabbit anti-Homo sapiens (Human) TRIM10 Polyclonal antibody
Uniprot No.
Target Names
TRIM10
Alternative Names
TRIM10 antibody; RFB30 antibody; RNF9 antibody; Tripartite motif-containing protein 10 antibody; B30-RING finger protein antibody; RING finger protein 9 antibody
Raised in
Rabbit
Species Reactivity
Human
Immunogen
Recombinant Human Tripartite motif-containing protein 10 protein (222-481AA)
Immunogen Species
Homo sapiens (Human)
Conjugate
Non-conjugated
Clonality
Polyclonal
Isotype
IgG
Purification Method
Antigen Affinity Purified
Concentration
It differs from different batches. Please contact us to confirm it.
Buffer
PBS with 0.02% sodium azide, 50% glycerol, pH7.3.
Form
Liquid
Tested Applications
ELISA, IHC
Recommended Dilution
Application Recommended Dilution
IHC 1:20-1:200
Troubleshooting and FAQs
Storage
Upon receipt, store at -20°C or -80°C. Avoid repeated freeze.
Lead Time
Basically, we can dispatch the products out in 1-3 working days after receiving your orders. Delivery time maybe differs from different purchasing way or location, please kindly consult your local distributors for specific delivery time.
Usage
For Research Use Only. Not for use in diagnostic or therapeutic procedures.

Customer Reviews and Q&A

 Customer Reviews

There are currently no reviews for this product.

Submit a Review here

Target Background

Function
E3 ligase that plays an essential role in the differentiation and survival of terminal erythroid cells. May directly bind to PTEN and promote its ubiquitination, resulting in its proteasomal degradation and activation of hypertrophic signaling. In addition, plays a role in immune response regulation by repressing the phosphorylation of STAT1 and STAT2 in the interferon/JAK/STAT signaling pathway independent of its E3 ligase activity. Mechanistically, interacts with the intracellular domain of IFNAR1 and thereby inhibits the association between TYK2 and IFNAR1.
Subcellular Location
Cytoplasm.
Protein Families
TRIM/RBCC family
Database Links

HGNC: 10072

OMIM: 605701

KEGG: hsa:10107

STRING: 9606.ENSP00000397073

UniGene: Hs.709483

icon of phone
Call us
301-363-4651 (Available 9 a.m. to 5 p.m. CST from Monday to Friday)
icon of address
Address
7505 Fannin St., Ste 610, Room 7 (CUBIO Innovation Center), Houston, TX 77054, USA
icon of social media
Join us with

Subscribe newsletter

Leave a message

* To protect against spam, please pass the CAPTCHA test below.
CAPTCHA verification
© 2007-2025 CUSABIO TECHNOLOGY LLC All rights reserved. 鄂ICP备15011166号-1
×
Place an order now

I. Product details

*
*
*
*

II. Contact details

*
*

III. Ship To

*
*
*
*
*
*
*

IV. Bill To

*
*
*
*
*
*
*
*