VPS33B Antibody

Code CSB-PA219820
Size US$166
Order now
Image
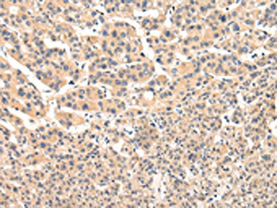
  • The image on the left is immunohistochemistry of paraffin-embedded Human liver cancer tissue using CSB-PA219820(VPS33B Antibody) at dilution 1/25, on the right is treated with fusion protein. (Original magnification: ×200)
  • The image on the left is immunohistochemistry of paraffin-embedded Human thyroid cancer tissue using CSB-PA219820(VPS33B Antibody) at dilution 1/25, on the right is treated with fusion protein. (Original magnification: ×200)
Have Questions? Leave a Message or Start an on-line Chat

Product Details

Uniprot No.
Target Names
VPS33B
Alternative Names
VPS33BVacuolar protein sorting-associated protein 33B antibody; hVPS33B antibody
Raised in
Rabbit
Species Reactivity
Human,Mouse,Rat
Immunogen
Fusion protein of Human VPS33B
Immunogen Species
Homo sapiens (Human)
Conjugate
Non-conjugated
Isotype
IgG
Purification Method
Antigen affinity purification
Concentration
It differs from different batches. Please contact us to confirm it.
Buffer
-20°C, pH7.4 PBS, 0.05% NaN3, 40% Glycerol
Form
Liquid
Tested Applications
ELISA,IHC
Recommended Dilution
Application Recommended Dilution
ELISA 1:2000-1:5000
IHC 1:25-1:100
Troubleshooting and FAQs
Storage
Upon receipt, store at -20°C or -80°C. Avoid repeated freeze.
Lead Time
Basically, we can dispatch the products out in 1-3 working days after receiving your orders. Delivery time maybe differs from different purchasing way or location, please kindly consult your local distributors for specific delivery time.
Usage
For Research Use Only. Not for use in diagnostic or therapeutic procedures.

Customer Reviews and Q&A

 Customer Reviews

There are currently no reviews for this product.

Submit a Review here

Target Background

Function
May play a role in vesicle-mediated protein trafficking to lysosomal compartments and in membrane docking/fusion reactions of late endosomes/lysosomes. Mediates phagolysosomal fusion in macrophages. Proposed to be involved in endosomal maturation implicating VIPAS39. In epithelial cells, the VPS33B:VIPAS39 complex may play a role in the apical recycling pathway and in the maintenance of the apical-basolateral polarity. Seems to be involved in the sorting of specific cargos from the trans-Golgi network to alpha-granule-destined multivesicular bodies (MVBs) promoting MVBs maturation in megakaryocytes.
Gene References into Functions
  1. ARKID syndrome is caused by VPS33B mutation. PMID: 28017832
  2. Vesicular trafficking complexes, containing VPS33B, are a novel class of modifiers of integrin function. PMID: 26399659
  3. Novel splice site mutations in the VPS33B gene were identified in arthrogryposis, renal dysfunction, and cholestasis syndrome in Koreans. PMID: 24917129
  4. Abnormal protein trafficking and impairment in multivesicular bodies maturation in Megakaryocytes underlie the alpha-granule deficiency in Vps33b(fl/fl)-ER(T2) mouse and ARC patients. PMID: 25947942
  5. Case Report: neonate with ARC syndrome and high GGT cholestasis caused by VPS33B heterozygous mutations. PMID: 24782640
  6. Case Report: novel mutations in VPS33B in Chinese patient with arthrogryposis, renal dysfunction and cholestasis syndrome. PMID: 24415890
  7. Our data suggest that the ARC syndrome may result through impaired VIPAS39/SPE-39 and Vps33b-dependent endosomal maturation or fusion. PMID: 23918659
  8. Evidence of genotype-phenotype correlation in ARC syndrome the VPS33B c.1225+5G>C mutation predicts a mild phenotype. PMID: 22753090
  9. VPS16B, similar to its binding partner VPS33B, is essential for megakaryocyte and platelet alpha-granule biogenesis. PMID: 23002115
  10. SPE-39 due to tyrosine phosphorylation and ubiquitination on the function of Vps33B in the EGF-stimulated cells PMID: 22677173
  11. encodes a homolog of the class C yeast vacuolar protein sorting gene, that contains a Sec1-like domain important in the regulation of vesicle-to-target SNARE complex formation and subsequent membrane fusion PMID: 15052268
  12. A and B classes reflect the evolution of organelle/tissue-specific functions PMID: 15790593
  13. VPS33B is involved in intracellular vesicle trafficking PMID: 16123220
  14. The present observations indicate that VPS33B deficiency results in abnormal secretion of lamellar granules, which underlies ichthyosis in ARC syndrome. PMID: 18347289
  15. Genetic deletion of ptpA attenuates Mycobacterium tuberculosis growth in human macrophages and identify VPS33B, a regulator of membrane fusion, as a PtpA substrate. PMID: 18474358
  16. We assessed the clinical characteristics and investigated the VPS33B mutations in Korean patients with ARC (arthrogryposis, renal dysfunction, and cholestasis) syndrome. PMID: 19274792

Show More

Hide All

Involvement in disease
Arthrogryposis, renal dysfunction and cholestasis syndrome 1 (ARCS1)
Subcellular Location
Late endosome membrane; Peripheral membrane protein; Cytoplasmic side. Lysosome membrane; Peripheral membrane protein; Cytoplasmic side. Early endosome. Cytoplasmic vesicle, clathrin-coated vesicle. Recycling endosome.
Protein Families
STXBP/unc-18/SEC1 family
Tissue Specificity
Ubiquitous; highly expressed in testis and low expression in the lung.
Database Links

HGNC: 12712

OMIM: 208085

KEGG: hsa:26276

STRING: 9606.ENSP00000327650

UniGene: Hs.745007

icon of phone
Call us
301-363-4651 (Available 9 a.m. to 5 p.m. CST from Monday to Friday)
icon of address
Address
7505 Fannin St., Ste 610, Room 7 (CUBIO Innovation Center), Houston, TX 77054, USA
icon of social media
Join us with

Subscribe newsletter

Leave a message

* To protect against spam, please pass the CAPTCHA test below.
CAPTCHA verification
© 2007-2025 CUSABIO TECHNOLOGY LLC All rights reserved. 鄂ICP备15011166号-1
×
Place an order now

I. Product details

*
*
*
*

II. Contact details

*
*

III. Ship To

*
*
*
*
*
*
*

IV. Bill To

*
*
*
*
*
*
*
*