WDR92 Antibody

Code CSB-PA822265LA01HU
Size US$166
Order now
Image
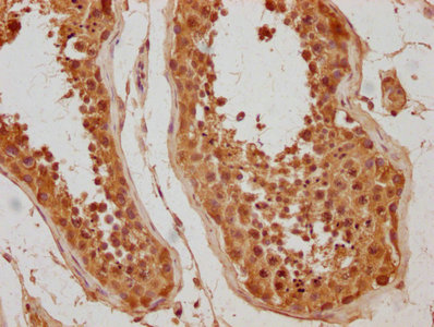
  • IHC image of CSB-PA822265LA01HU diluted at 1:500 and staining in paraffin-embedded human testis tissue performed on a Leica BondTM system. After dewaxing and hydration, antigen retrieval was mediated by high pressure in a citrate buffer (pH 6.0). Section was blocked with 10% normal goat serum 30min at RT. Then primary antibody (1% BSA) was incubated at 4°C overnight. The primary is detected by a biotinylated secondary antibody and visualized using an HRP conjugated SP system.
Promotion Free Antibody trial simple
Have Questions? Leave a Message or Start an on-line Chat

Product Details

Full Product Name
Rabbit anti-Homo sapiens (Human) WDR92 Polyclonal antibody
Uniprot No.
Target Names
WDR92
Alternative Names
FLJ31741 antibody; Monad antibody; OTTHUMP00000205522 antibody; WD repeat domain 92 antibody; WD repeat-containing protein 92 antibody; WD repeat-containing protein Monad antibody; Wdr92 antibody; WDR92_HUMAN antibody
Raised in
Rabbit
Species Reactivity
Human
Immunogen
Recombinant Human WD repeat-containing protein 92 protein (122-357AA)
Immunogen Species
Homo sapiens (Human)
Conjugate
Non-conjugated

The WDR92 Antibody (Product code: CSB-PA822265LA01HU) is Non-conjugated. For WDR92 Antibody with conjugates, please check the following table.

Available Conjugates
Conjugate Product Code Product Name Application
HRP CSB-PA822265LB01HU WDR92 Antibody, HRP conjugated ELISA
FITC CSB-PA822265LC01HU WDR92 Antibody, FITC conjugated
Biotin CSB-PA822265LD01HU WDR92 Antibody, Biotin conjugated ELISA
Clonality
Polyclonal
Isotype
IgG
Purification Method
>95%, Protein G purified
Concentration
It differs from different batches. Please contact us to confirm it.
Buffer
Preservative: 0.03% Proclin 300
Constituents: 50% Glycerol, 0.01M PBS, pH 7.4
Form
Liquid
Tested Applications
ELISA, IHC
Recommended Dilution
Application Recommended Dilution
IHC 1:500-1:1000
Troubleshooting and FAQs
Storage
Upon receipt, store at -20°C or -80°C. Avoid repeated freeze.
Lead Time
Basically, we can dispatch the products out in 1-3 working days after receiving your orders. Delivery time maybe differs from different purchasing way or location, please kindly consult your local distributors for specific delivery time.
Usage
For Research Use Only. Not for use in diagnostic or therapeutic procedures.

Customer Reviews and Q&A

 Customer Reviews

There are currently no reviews for this product.

Submit a Review here

Target Background

Function
Key assembly factor specifically required for the stability of axonemal dynein heavy chains in cytoplasm.
Gene References into Functions
  1. Exosome-bound WD repeat protein Monad inhibits breast cancer cell invasion by degrading amphiregulin mRNA. PMID: 23844004
  2. Monad may function as a novel modulator of apoptosis pathway. PMID: 16487927
  3. Monad could be involved in apoptosis induced by TNF-alpha PMID: 16487927
Subcellular Location
Dynein axonemal particle.
Tissue Specificity
Widely expressed with the highest expression in testis.
Database Links

HGNC: 25176

OMIM: 610729

KEGG: hsa:116143

STRING: 9606.ENSP00000295121

UniGene: Hs.631877

icon of phone
Call us
301-363-4651 (Available 9 a.m. to 5 p.m. CST from Monday to Friday)
icon of address
Address
7505 Fannin St., Ste 610, Room 7 (CUBIO Innovation Center), Houston, TX 77054, USA
icon of social media
Join us with

Subscribe newsletter

Leave a message

* To protect against spam, please pass the CAPTCHA test below.
CAPTCHA verification
© 2007-2025 CUSABIO TECHNOLOGY LLC All rights reserved. 鄂ICP备15011166号-1
×
Place an order now

I. Product details

*
*
*
*

II. Contact details

*
*

III. Ship To

*
*
*
*
*
*
*

IV. Bill To

*
*
*
*
*
*
*
*