APBB1 Recombinant Monoclonal Antibody

Code CSB-RA981854A0HU
Size US$210
Order now
Image
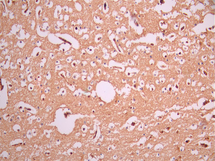
  • IHC image of CSB-RA981854A0HU diluted at 1:100 and staining in paraffin-embedded human brain tissue performed on a Leica BondTM system. After dewaxing and hydration, antigen retrieval was mediated by high pressure in a citrate buffer (pH 6.0). Section was blocked with 10% normal goat serum 30min at RT. Then primary antibody (1% BSA) was incubated at 4°C overnight. The primary is detected by a Goat anti-rabbit polymer IgG labeled by HRP and visualized using 0.05% DAB.
  • Overlay Peak curve showing SH-SY5Y cells stained with CSB-RA981854A0HU (red line) at 1:100. The cells were fixed in 4% formaldehyde and permeated by 0.2% TritonX-100 for 10min. Then 10% normal goat serum to block non-specific protein-protein interactions followed by the antibody (1ug/1*106cells) for 45min at 4℃. The secondary antibody used was FITC-conjugated goat anti-rabbit IgG (H+L) at 1/200 dilution for 35min at 4℃.Control antibody (green line) was Rabbit IgG (1ug/1*106cells) used under the same conditions. Acquisition of >10, 000 events was performed.
Have Questions? Leave a Message or Start an on-line Chat

Product Details

Uniprot No.
Target Names
APBB1
Alternative Names
Adaptor protein FE65a2 antibody; Amyloid beta (A4) precursor protein binding family B member 1 antibody; Amyloid beta A4 precursor protein binding family B antibody; Amyloid beta A4 precursor protein binding family B member 1 antibody; Amyloid beta A4 precursor protein-binding family B member 1 antibody; Amyloid beta precursor protein binding family B member 1 antibody; APBB 1 antibody; APBB1 antibody; APBB1_HUMAN antibody; FE 65 antibody; Fe65 protein antibody; Protein Fe65 antibody; RIR antibody; stat like protein antibody
Species Reactivity
Human
Immunogen
A synthesized peptide from human APBB1 protein
Immunogen Species
Homo sapiens (Human)
Conjugate
Non-conjugated
Clonality
Monoclonal
Isotype
Rabbit IgG
Clone No.
25D4
Purification Method
Affinity-chromatography
Concentration
It differs from different batches. Please contact us to confirm it.
Buffer
Rabbit IgG in 10mM phosphate buffered saline , pH 7.4, 150mM sodium chloride, 0.05% BSA, 0.02% sodium azide and 50% glycerol.
Form
Liquid
Tested Applications
ELISA, IHC, FC
Recommended Dilution
Application Recommended Dilution
IHC 1:50-1:200
FC 1:50-1:200
Troubleshooting and FAQs
Storage
Upon receipt, store at -20°C or -80°C. Avoid repeated freeze.
Lead Time
Basically, we can dispatch the products out in 1-3 working days after receiving your orders. Delivery time maybe differs from different purchasing way or location, please kindly consult your local distributors for specific delivery time.
Usage
For Research Use Only. Not for use in diagnostic or therapeutic procedures.

Customer Reviews and Q&A

 Customer Reviews

There are currently no reviews for this product.

Submit a Review here

Target Background

Function
Transcription coregulator that can have both coactivator and corepressor functions. Adapter protein that forms a transcriptionally active complex with the gamma-secretase-derived amyloid precursor protein (APP) intracellular domain. Plays a central role in the response to DNA damage by translocating to the nucleus and inducing apoptosis. May act by specifically recognizing and binding histone H2AX phosphorylated on 'Tyr-142' (H2AXY142ph) at double-strand breaks (DSBs), recruiting other pro-apoptosis factors such as MAPK8/JNK1. Required for histone H4 acetylation at double-strand breaks (DSBs). Its ability to specifically bind modified histones and chromatin modifying enzymes such as KAT5/TIP60, probably explains its transcription activation activity. Functions in association with TSHZ3, SET and HDAC factors as a transcriptional repressor, that inhibits the expression of CASP4. Associates with chromatin in a region surrounding the CASP4 transcriptional start site(s). Involved in hippocampal neurite branching and neuromuscular junction formation, as a result plays a role in spatial memory functioning. Plays a role in the maintenance of lens transparency. May play a role in muscle cell strength.
Gene References into Functions
  1. Fe65 is an adaptor protein involved in both processing and signaling of the Alzheimer-associated amyloid-beta precursor protein, APP. Here, the subcellular localization was further investigated using TAP-tagged Fe65 constructs expressed in human neuroblastoma cells. Our results indicate that PTB2 rather than the WW domain is important for the nuclear localization of Fe65. PMID: 28323844
  2. Fe65 Ser289 phosphorylation did not affect the transcriptional activity of the Fe65-APP complex, in contrast to the previously described Ser228 site. PMID: 27176072
  3. Our findings imply that APBB1 plays an important role in the maintenance of EMT-associated CSC-like properties and gamma-radiation resistance via activation of IGF1Rbeta/AKT/GSK3beta pathway in lung cancer cells, highlighting APBB1 as a potential target for therapeutic cancer treatment. PMID: 27836546
  4. Targeted enhancement of the signaling through the Fe65-cortactin pathway, by either HDAC6 inhibition or Tip60 activation, may lead to the development of new therapeutic drugs that are effective for patients with metastatic breast cancers. PMID: 26166158
  5. FE65 influences APP degradation via the proteasome, and phosphorylation of FE65 Ser(610) by SGK1 regulates binding of FE65 to APP, APP turnover and processing. PMID: 26188042
  6. A novel phosphorylation site was identified within Fe65 which mediates gene transcription. PMID: 25397632
  7. The SV2A/FE65 interaction might play a role in synaptic signal transduction. PMID: 24284412
  8. Data indicate that Fe65 is a positive estrogen receptor alpha (ERalpha) transcriptional regulator. PMID: 24619425
  9. FE65 interactions with BLM and MCM proteins may contribute to the neuronal cell cycle re-entry observed in brains affected by Alzheimer's disease. PMID: 23572515
  10. A ternary complex consisting of AICD, FE65, and TIP60 down-regulates Stathmin1. PMID: 22902274
  11. Both amyloid-beta precursor protein and Fe65 are co-localized in model Hirano bodies associated with Alzheimer's disease. PMID: 20133016
  12. Fe65 carries out different functions depending on its location in the regulation of Notch1 signaling. PMID: 22199353
  13. A novel FE65 isoform and the regulation of the splicing events leading to its production may contribute to elucidating neuronal specific roles of FE65 and its contribution to Alzheimer's disease pathology. PMID: 21824145
  14. Phosphorylation of LRP1 regulates the interaction with Fe65. PMID: 21968187
  15. Fe65 binds preferentially to low-density lipoprotein receptor-related protein (LRP) carboxyl terminus when phosphorylated at tyrosine-4507 and in complex with amyloid precursor protein (APP). PMID: 21650223
  16. Fe65 and Dab1 compete for binding to APP. Dab1 significantly decreased the amount of APP bound to LRP and the level of secreted APP and APP-CTF in LRP expressing cells PMID: 20568118
  17. reduced levels of Sp1 resulted in downregulation of endogenous FE65 mRNA and protein PMID: 20091743
  18. The data of this demonstrated that the induction of AICD/Fe65 or transgelin significantly alters actin dynamics and mitochondrial function in neuronal cells PMID: 20405578
  19. The transcriptional activity of the APP intracellular domain-Fe65 complex is inhibited by activation of the NF-kappaB pathway. PMID: 12653567
  20. Adjusting for age and sex, we found a slight risk associated with the deletion in intron 13 of the APBB1 gene for subjects less than 65 years. PMID: 12727304
  21. gamma-Secretase cleavage and binding to FE65 regulate the nuclear translocation of the intracellular C-terminal domain (ICD) of the APP family of proteins. PMID: 12779321
  22. APP and Fe65 mediate transactivation with low density lipoprotein receptor-related protein PMID: 12888553
  23. Abnormal accumulations of the amyloid-beta precursor protein associated with the aging cellular muscle fibers and appear to be the key pathogenic event in iclusion-body myositis. PMID: 14569203
  24. Alcadein and amyloid beta-protein precursor regulates FE65-dependent gene transactivation PMID: 15037614
  25. Fe65 is activated by the APP intracellular domain during transcriptional transactivation PMID: 15044485
  26. p65FE65 may be an intracellular mediator in a signaling cascade regulating alpha-secretion of APP PMID: 15647266
  27. The present work provides evidence that FE65 plays a role in the regulation of amyloid precursor protein processing in an in vivo transgenic mouse model. PMID: 15816856
  28. multiple interactions of AICD with FE65 and 14-3-3gamma modulate FE65-dependent gene transactivation PMID: 16223726
  29. FE65 is the key agent of Gal4DB-mediated transcriptional transactivation, whereas Tip60 is an FE65-associated repressor. PMID: 16332686
  30. Notch1 intracellular domain plays the role of a negative regulator in AICD signaling via the disruption of the AICD-Fe65-Tip60 trimeric complex. PMID: 17368826
  31. Nek6 binds to Fe65 through its (267)PPLP(270) motif; the protein-protein interaction between Nek6 and Fe65 regulates their subcellular localization and cell apoptosis PMID: 17512906
  32. We demonstrated that treatment with EGCG reduced the A beta levels by enhancing endogenous APP nonamyloidogenic proteolytic processing. PMID: 17590240
  33. Results describe the crystal structures of the human FE65 WW domain (residues 253-289) in the apo form and bound to the peptides PPPPPPLPP and PPPPPPPPPL, which correspond to human Mena residues 313-321 and 347-356, respectively. PMID: 17686488
  34. Fe65 regulation of APP proteolysis may be integrally associated with its nuclear signaling function, as all antecedent proteolytic steps prior to release of Fe65 from the membrane are fostered by the APP-Fe65 interaction PMID: 17855370
  35. APP-regulated FE65 plays an important role in the early stress response of cells and that FE65 deregulated from APP induces apoptosis. PMID: 18468999
  36. Thyroid cancers are characterized by APP upregulation, increased membrane targeting of the APP ectodomain and significantly increased mRNA levels of the APP scaffold proteins JIP1, ShcA and Fe65. PMID: 18480379
  37. crystallographic analysis of the human Fe65-phosphotyrosine domain PMID: 18550529
  38. Single nucleotide polymorphisms in APBB1 gene is associated with nicotine dependence. PMID: 18777128
  39. the beta-sheet edge in some natively folded amyloid oligomers is designed positively to prevent beta aggregation PMID: 18800165
  40. Study determined the crystal structure of the carboxy-terminal APP intracellular domain in complex with the C-terminal phosphotyrosine-binding (PTB) domain of Fe65; The unique interface involves the NPxY PTB-binding motif and two alpha helices. PMID: 18833287
  41. Dexras1 functions as a suppressor of FE65-APP-mediated transcription, and FE65 tyrosine 547 phosphorylation enhances FE65-APP-mediated transcription, at least in part, by modulating the interaction between FE65 and Dexras1 PMID: 18922798
  42. The protein-protein interaction between the WW domain of Fe65 and the putative binding motif of Nedd4-2 down-regulates Fe65 protein stability and subcellular localization through its ubiquitylation, to contribute to cell apoptosis. PMID: 19381069

Show More

Hide All

Subcellular Location
Cell membrane. Cytoplasm. Nucleus. Cell projection, growth cone. Nucleus speckle.
Tissue Specificity
Highly expressed in brain; strongly reduced in post-mortem elderly subjects with Alzheimer disease.
Database Links

HGNC: 581

OMIM: 602709

KEGG: hsa:322

STRING: 9606.ENSP00000299402

UniGene: Hs.372840

icon of phone
Call us
301-363-4651 (Available 9 a.m. to 5 p.m. CST from Monday to Friday)
icon of address
Address
7505 Fannin St., Ste 610, Room 7 (CUBIO Innovation Center), Houston, TX 77054, USA
icon of social media
Join us with

Subscribe newsletter

Leave a message

* To protect against spam, please pass the CAPTCHA test below.
CAPTCHA verification
© 2007-2025 CUSABIO TECHNOLOGY LLC All rights reserved. 鄂ICP备15011166号-1
×
Place an order now

I. Product details

*
*
*
*

II. Contact details

*
*

III. Ship To

*
*
*
*
*
*
*

IV. Bill To

*
*
*
*
*
*
*
*