BAP1 Recombinant Monoclonal Antibody

Code CSB-RA247739A0HU
Size US$210
Order now
Image
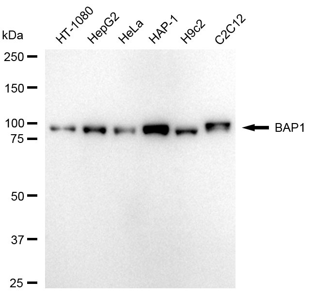
  • Western blotting analysis using BAP1 antibody. Total cell lysates (30 μg) from various cell lines were loaded and separated by SDS-PAGE. The blot was incubated with BAP1 antibody and HRP-conjugated goat anti-rabbit secondary antibody respectively.
Have Questions? Leave a Message or Start an on-line Chat

Product Details

Uniprot No.
Target Names
Alternative Names
BAP1; BRCA1 Associated Protein 1; KIAA0272; Hucep-6; UCHL2; BRCA1 Associated Protein-1 (Ubiquitin Carboxy-Terminal Hydrolase); Ubiquitin Carboxyl-Terminal Hydrolase BAP1; Cerebral Protein 6; Ubiquitin Carboxy-Terminal Hydrolase; BRCA1-Associated Protein 1; Cerebral Protein-13; EC 3.4.19.12; HUCEP-13; KURIS; TPDS1; UBM2; UVM2
Species Reactivity
Human, Mouse, Rat
Immunogen
Recombinant Human BAP1 protein
Immunogen Species
Homo sapiens (Human)
Conjugate
Non-conjugated
Clonality
Monoclonal
Isotype
Rabbit IgG
Clone No.
18E8
Purification Method
Affinity-chromatography
Concentration
It differs from different batches. Please contact us to confirm it.
Buffer
Rabbit IgG in PBS (pH 7.4) containing 50% glycerol, and 0.02% sodium azide.
Form
Liquid
Tested Applications
ELISA, WB
Recommended Dilution
Application Recommended Dilution
WB 1:1000-1:5000
Troubleshooting and FAQs
Storage
Upon receipt, store at -20°C or -80°C. Avoid repeated freeze.
Lead Time
Basically, we can dispatch the products out in 1-3 working days after receiving your orders. Delivery time maybe differs from different purchasing way or location, please kindly consult your local distributors for specific delivery time.
Usage
For Research Use Only. Not for use in diagnostic or therapeutic procedures.

Customer Reviews and Q&A

 Customer Reviews

There are currently no reviews for this product.

Submit a Review here

Target Background

Function
Deubiquitinating enzyme that plays a key role in chromatin by mediating deubiquitination of histone H2A and HCFC1. Catalytic component of the PR-DUB complex, a complex that specifically mediates deubiquitination of histone H2A monoubiquitinated at 'Lys-119' (H2AK119ub1). Does not deubiquitinate monoubiquitinated histone H2B. Acts as a regulator of cell growth by mediating deubiquitination of HCFC1 N-terminal and C-terminal chains, with some specificity toward 'Lys-48'-linked polyubiquitin chains compared to 'Lys-63'-linked polyubiquitin chains. Deubiquitination of HCFC1 does not lead to increase stability of HCFC1. Interferes with the BRCA1 and BARD1 heterodimer activity by inhibiting their ability to mediate ubiquitination and autoubiquitination. It however does not mediate deubiquitination of BRCA1 and BARD1. Able to mediate autodeubiquitination via intramolecular interactions to couteract monoubiquitination at the nuclear localization signal (NLS), thereby protecting it from cytoplasmic sequestration. Acts as a tumor suppressor.
Gene References into Functions
  1. Results confirm the high frequency of BAP1 alterations in ICC and low frequency in pancreatic cancers. It also suggests that BAP1 is commonly altered in a subtype of HCC with both hepatocytic and biliary differentiation. PMID: 29778232
  2. Mutant ASXL1 cooperates with BAP1 to promote myeloid leukemogenesis. PMID: 30013160
  3. Studied prevalence of BAP1 germline variants in patients with mesothelioma in regards to cumulative asbestos exposure. PMID: 30338612
  4. This study of patients with ccRCC, pooled analysis and multivariable modeling demonstrated that three recurrently mutated genes, BAP1, SETD2, and TP53, have statistically significant associations with poor clinical outcomes.important clinical confounders, mutations of TP53 and SETD2 were associated with decreased CSS and RFS, respectively. PMID: 28753773
  5. Low PAB1 expression is associated with early stages of clear cell renal cell carcinoma. PMID: 29426696
  6. Study based on 47 tissue samples from spitzoid tumors revealed 2 BAP1-inactived cases. The absence of anomalous expression of translocation-related proteins ALK and ROS1 in this series, composed predominantly of low-grade/low-risk tumors, indicates that translocated spitzoid lesions may not be as prevalent as initially suggested, at least in some populations. PMID: 29623743
  7. BAP1 loss differentiates malignant pleural mesothelioma from metastatic pleural tumours PMID: 28746778
  8. germline null mutations in BAP1 have a significantly higher frequency in cancer patients than the general population. Given the low frequency of reported families with BAP1-tumor predisposition syndrome (BAP1-TPDS), our results suggest that the syndrome is underreported especially in patients with cancer PMID: 29761599
  9. Multivariate analysis showed that the presence of monosomy 3, 8q gain, and loss of BAP1 protein were significantly associated to DPFS, while BAP1 gene mutation was not, mainly due to the presence of metastatic UM cases with negative BAP1 IHC and no BAP1 mutation detected by Sanger sequencing. PMID: 29689622
  10. Time to metastasis differs in patients with primary uveal melanoma with different grades of nuclear BAP1 immunoreactivity. Nuclear BAP1 stain is the only significant independent predictor of metastatic disease in this study. Our data support the role of BAP1 immunohistochemical staining of primary uveal melanoma to evaluate metastatic risk PMID: 28823399
  11. Studies have clarified novel important molecular aspects associated with the cancer predisposition of BAP1+/- carrying individuals and suggest new relevant questions, related to BAP1-dependent cancer susceptibility, and to more general gene/environment interactions. PMID: 28661472
  12. The authors demonstrate that BAP1 deubiquitinase activity and its association with ASXL1 to form the Polycomb repressive deubiquitinase complex (PR-DUB) impacts TRAIL sensitivity implicating transcriptional modulation as an underlying mechanism. PMID: 29345617
  13. Case Report: germline BAP1 mutation associated with melanoma of foot. PMID: 28597019
  14. Tissue-specific prognostic and clinicopathological significance of BAP1 expression (meta-analysis). PMID: 29266978
  15. these results highlight an important role of miR-31 functioning as an oncomir which could promote EMT in cervical cancer via downregulating BAP1 expression. Thus, downregulation of miR-31 could be a novel approach for the molecular treatment of cervical cancers and other malignancies. PMID: 29159179
  16. A cancer surveillance program for individuals who carry germline BAP1 mutations may help identify tumors such as uveal melanoma, cutaneous melanoma, and renal cell carcinoma at early and treatable stages PMID: 28482042
  17. Germline BAP1 mutations induce a Warburg effect PMID: 28665402
  18. Our comparative thermodynamic analysis reveals that BAP1-ubiquitin interaction is majorly driven by entropy factor which is unique amongst UCHs. Our study sheds light on BAP1 interaction with ubiquitin, which will be useful in understanding its enzymatic function. PMID: 28935764
  19. In this report we show that patients with uveal melanoma harbor mutation-specific chromosomal patterns in the tumor. These chromosomal patterns are characterized by different types of chromosomal anomalies, thus illustrating that distinct biological mechanisms underlie uveal melanoma pathogenesis. PMID: 27916271
  20. Mutations in BAP1 negatively affected overall survival in patients with metastatic clear cell renal cell carcinoma PMID: 28408295
  21. Observations suggest that BAP1Delta does regulate DNA damage response and influences drug sensitivity in mesothelioma cells. PMID: 28389374
  22. Our findings suggest that the genetic profile of coexistent GNAQ or GNA11 mutations with BAP1 or SF3B1 mutations can aid the histopathological diagnosis of blue nevus-like melanoma and distinguish blue nevus-like melanoma from conventional epidermal-derived melanomas. PMID: 28409567
  23. Intratumoral heterogeneity of BAP1 protein expression is more frequent in primary tumor than in metastatic sites. The loss of BAP1 protein expression in metastatic sites predicts poor prognosis in patients with ccRCC. PMID: 28284891
  24. this review discusses BAP1 as a drug target in mesothelioma PMID: 28342657
  25. Loss of nuclear BAP1 expression is an independent prognostic factor of poor overall survival and associated with distant metastasis in oral mucosal melanoma. PMID: 28404968
  26. Patients with uveal melanoma, especially if multifocal, and those with other systemic malignancy or family history of cancers should be tested for germ line BRCA-associated protein 1 mutation. PMID: 27749792
  27. In malignant peritoneal mesothelioma, the most frequent genetic alteration was biallelic inactivation of the BAP1 gene, which occurred in 9/13 cases, with an additional two cases demonstrating monoallelic loss of BAP1. All 11 of these cases demonstrated loss of BAP1 nuclear staining by immunohistochemistry PMID: 27813512
  28. BAP1 mutations and other canonical genomic aberrations usually arise in an early punctuated burst in uveal melanoma. PMID: 29317634
  29. BRCA1-associated protein 1 (BAP1) gene mutation status had no prognostic significance. The frequency and spectrum of BAP1 mutations in UM may be more dependent on ethnicity and demographic variables than hitherto considered. PMID: 28444874
  30. study reports germline mutations of the BAP1 gene in a sample of 1977 melanoma patients and 754 controls; sequencing revealed 30 BAP1 variants in total, of which 27 were rare; of the 27 rare variants, 22 were present in cases (18 missense, 1 splice acceptor, 1 frameshift and 2 near splice regions) and 5 in controls (all missense) PMID: 28062663
  31. A deleterious mutation of BAP1 was confirmed in 12/17 melanocytic BAP1-associated intradermal tumors cases. PMID: 28560743
  32. Although there have been reports of sarcomas and meningiomas in patients affected with BAP1 mutations, to our knowledge malignant peripheral nerve sheath tumors in this patient population have not been previously reported. We report a case of malignant peripheral nerve sheath tumor in a patient affected by a BAP1 mutation. PMID: 29061454
  33. Low BAP1 expression is associated with lung cancer progression. PMID: 26885612
  34. Study shows that the tumor suppressor gene breast cancer [BRCA]1-associated protein 1 (BAP1) is inactivated in 6 high-grade, rhabdoid meningiomas. In addition to patients with somatic BAP1 loss, 2 patients carried germline mutations, indicating that such meningiomas can arise as part of the BAP1 cancer predisposition syndrome. PMID: 28170043
  35. Nine of the 32 (28.1%) iCCA patients had gene mutations at chromosome 3p, totaling 11 mutations across five genes. Those included five (15.6%) BAP1 mutations, two each (6.3%) of CACNA2D3 and RASSF1 mutations, and one each (3.1%) of ATG7 and PLCD1 mutations. Six (18.8%) cases had concurrent loss of chromosome 3p and gene mutations. PMID: 29122566
  36. BAP1 mutation, Copy Number Loss, and/or Loss of Protein Expression is associated with Malignant Peritoneal Mesotheliomas. PMID: 28034829
  37. BAP1 regulates IP3R3-mediated Ca(2+) flux to mitochondria suppressing cell transformation PMID: 28614305
  38. Loss of BAP1 expression is associated with lung adenocarcinoma. PMID: 27553041
  39. Our data confirm the established role of BAP1 as a tumor suppressor protein and is the first report where BAP1 has been studied in pT1 clear cell renal cell carcinomas PMID: 28488170
  40. Important role of BAP1 in the survival of osteosarcoma cells. PMID: 28256910
  41. Loss of BAP1 expression is a rare event in non-small cell lung cancer. PMID: 27984124
  42. BAP1 immunohistochemistry has limited prognostic utility as a complement of CDKN2A (p16) fluorescence in situ hybridization in malignant pleural mesothelioma. PMID: 27771374
  43. BAP1 and PBRM1 loss is seen frequently in intrahepatic cholangiocarcinoma PMID: 27864835
  44. BAP1 loss and high EZH2 expression were highly specific to malignant mesothelioma in differentiating it from benign mesothelial proliferations PMID: 27859460
  45. We analyzed the prevalence of germline BAP1 mutations in a group of asbestos-exposed malignant mesothelioma patients and found non obviously pathogenic germline sequence variants of BAP1. PMID: 28551647
  46. NEAT-1 is a downstream effector of gemcitabine sensitivity in CCA. The expression of BAP1 is a determinant of sensitivity to therapeutic drugs that can be exploited to enhance responses through combination strategies. PMID: 28122578
  47. lncFOXO1 suppressed the growth of breast cancer by increasing FOXO1 transcription. Moreover, we found that lncFOXO1 associated with BRCA-1-associated protein 1 (BAP1) and regulates its binding and the level of mono-ubiquitinated H2A at K119 (ubH2AK119) at FOXO1 promoter PMID: 28339037
  48. Bap1 is a bona fide tumor suppressor gene and offer key insights into the contribution of carcinogen exposure to enhanced cancer susceptibility PMID: 26896281
  49. BAP1 protein as determined by immunohistochemistry was absent in all samples with a BAP1 mutation irrespective of the functional type of mutation PMID: 27015033
  50. In two out of six families with both mesothelioma and melanoma identified either a germline nonsense mutation (c.1153C > T, p.Arg385*) in BAP1 or a recurrent pathogenic germline mutation (c.301G > T, p.Gly101Trp) in CDKN2A. PMID: 27181379

Show More

Hide All

Involvement in disease
Mesothelioma, malignant (MESOM); Tumor predisposition syndrome (TPDS)
Subcellular Location
Cytoplasm. Nucleus.
Protein Families
Peptidase C12 family, BAP1 subfamily
Tissue Specificity
Highly expressed in testis, placenta and ovary. Expressed in breast.
Database Links

HGNC: 950

OMIM: 156240

KEGG: hsa:8314

STRING: 9606.ENSP00000417132

UniGene: Hs.106674

icon of phone
Call us
301-363-4651 (Available 9 a.m. to 5 p.m. CST from Monday to Friday)
icon of address
Address
7505 Fannin St., Ste 610, Room 7 (CUBIO Innovation Center), Houston, TX 77054, USA
icon of social media
Join us with

Subscribe newsletter

Leave a message

* To protect against spam, please pass the CAPTCHA test below.
CAPTCHA verification
© 2007-2025 CUSABIO TECHNOLOGY LLC All rights reserved. 鄂ICP备15011166号-1
×
Place an order now

I. Product details

*
*
*
*

II. Contact details

*
*

III. Ship To

*
*
*
*
*
*
*

IV. Bill To

*
*
*
*
*
*
*
*