DLD Recombinant Monoclonal Antibody

Code CSB-RA208703A0HU
Size US$210
Order now
Image
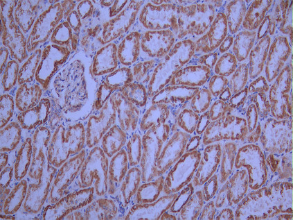
  • IHC image of CSB-RA208703A0HU diluted at 1:100 and staining in paraffin-embedded human kidney tissue performed on a Leica BondTM system. After dewaxing and hydration, antigen retrieval was mediated by high pressure in a citrate buffer (pH 6.0). Section was blocked with 10% normal goat serum 30min at RT. Then primary antibody (1% BSA) was incubated at 4°C overnight. The primary is detected by a Goat anti-rabbit polymer IgG labeled by HRP and visualized using 0.05% DAB.
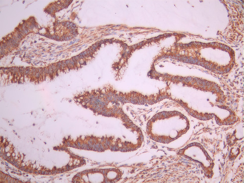
  • IHC image of CSB-RA208703A0HU diluted at 1:100 and staining in paraffin-embedded human gastric cancer performed on a Leica BondTM system. After dewaxing and hydration, antigen retrieval was mediated by high pressure in a citrate buffer (pH 6.0). Section was blocked with 10% normal goat serum 30min at RT. Then primary antibody (1% BSA) was incubated at 4°C overnight. The primary is detected by a Goat anti-rabbit polymer IgG labeled by HRP and visualized using 0.05% DAB.
Have Questions? Leave a Message or Start an on-line Chat

Product Details

Uniprot No.
Target Names
DLD
Alternative Names
Dehydrogenase complex; E3 component antibody; Diaphorase antibody; Dihydrolipoamide dehydrogenase antibody; Dihydrolipoyl dehydrogenase antibody; Dihydrolipoyl dehydrogenase mitochondrial antibody; dld antibody; DLDD antibody; DLDH antibody; DLDH_HUMAN antibody; E3 antibody; E3 branched chain aplha-keto acid antibody; E3 component of pyruvate dehydrogenase antibody; E3 component of pyruvate dehydrogenase complex 2 oxo glutarate complex branched chain keto acid dehydrogenase complex antibody; GCSL antibody; Glycine cleavage system L protein antibody; Glycine cleavage system protein L antibody; LAD antibody; lipoamide dehydrogenase antibody; Lipoamide reductase antibody; Lipoyl dehydrogenase antibody; mitochondrial antibody; OTTHUMP00000206744 antibody; OTTHUMP00000206746 antibody; OTTHUMP00000206748 antibody; OTTHUMP00000206749 antibody; PHE 3 antibody; PHE3 antibody; Pyruvate dehydrogenase component E3 antibody
Species Reactivity
Human
Immunogen
A synthesized peptide from human DLD protein
Immunogen Species
Homo sapiens (Human)
Conjugate
Non-conjugated
Clonality
Monoclonal
Isotype
Rabbit IgG
Clone No.
8G4
Purification Method
Affinity-chromatography
Concentration
It differs from different batches. Please contact us to confirm it.
Buffer
Rabbit IgG in 10mM phosphate buffered saline , pH 7.4, 150mM sodium chloride, 0.05% BSA, 0.02% sodium azide and 50% glycerol.
Form
Liquid
Tested Applications
ELISA, IHC
Recommended Dilution
Application Recommended Dilution
IHC 1:50-1:200
Troubleshooting and FAQs
Storage
Upon receipt, store at -20°C or -80°C. Avoid repeated freeze.
Lead Time
Basically, we can dispatch the products out in 1-3 working days after receiving your orders. Delivery time maybe differs from different purchasing way or location, please kindly consult your local distributors for specific delivery time.
Usage
For Research Use Only. Not for use in diagnostic or therapeutic procedures.

Customer Reviews and Q&A

 Customer Reviews

There are currently no reviews for this product.

Submit a Review here

Target Background

Function
Lipoamide dehydrogenase is a component of the glycine cleavage system as well as an E3 component of three alpha-ketoacid dehydrogenase complexes (pyruvate-, alpha-ketoglutarate-, and branched-chain amino acid-dehydrogenase complex). The 2-oxoglutarate dehydrogenase complex is mainly active in the mitochondrion. A fraction of the 2-oxoglutarate dehydrogenase complex also localizes in the nucleus and is required for lysine succinylation of histones: associates with KAT2A on chromatin and provides succinyl-CoA to histone succinyltransferase KAT2A. In monomeric form may have additional moonlighting function as serine protease. Involved in the hyperactivation of spermatazoa during capacitation and in the spermatazoal acrosome reaction.
Gene References into Functions
  1. Molecular characterization of dihydrolipoamide dehydrogenase binding sites to titanium dioxide has been reported. PMID: 28247484
  2. study found that individuals infected with HBV withwith basal core promoter (BCP) double mutations (A1762T, G1764A)have lower concentrations of serum DLD than those with the wild-type BCP PMID: 27303803
  3. Mitochondrial dihydrolipoamide dehydrogenase is upregulated in response to the brain intermittent hypoxic preconditioning. PMID: 26078703
  4. IgA autoantibody against DLD could be a novel diagnostic marker for endometrial cancer. PMID: 25202086
  5. Case Report: novel mutation in the DLD interface giving rise to DLD deficiency. PMID: 20652410
  6. Human, mouse, and pig Dld has moonlighting function as a protease in addition to its canonical function as a a dehydrogenase. PMID: 17404228
  7. This molecular dynamics study proposes the structural changes that may lead to the modulation in reactive oxygen species generation by pathogenic mutants of human dihydrolipoamide dehydrogenase. PMID: 24012808
  8. ATP consumption is demonstrated in respiration-impaired isolated and in situ neuronal somal mitochondria from transgenic mice that exhibit a 20-48% decrease in alpha-ketoglutarate dehydrogenase activity. PMID: 23475850
  9. the cryptic activities of DLD promote oxidative damage to neighboring molecules and thus contribute to the clinical severity of DLD mutations PMID: 21930696
  10. Structural and thermodynamic basis for weak interactions between dihydrolipoamide dehydrogenase and subunit-binding domain of the branched-chain alpha-ketoacid dehydrogenase complex. PMID: 21543315
  11. the E3 binding protein component of the pyruvate dehydrogenase complex appear to be a rare cause of pyruvate dehydrogenase deficiency PMID: 11935326
  12. Activity of human dihydrolipoamide dehydrogenase is reduced by mutation at threonine-44 of FAD-binding region to valine. PMID: 12297006
  13. A c.1444A>G substitution in E3 exon 13, predictive of a p.R482G (or R447G in the processed gene product) substitution in a highly conserved domain of the protein was found. PMID: 15712224
  14. Asparagine-473 residue is important for the catalytic function of dihydrolipoamide dehydrogenase. PMID: 15826505
  15. the disease-causing mutations of E3 occur at three locations in the human enzyme: the dimer interface, the active site, and the FAD and NAD(+)-binding sites PMID: 15946682
  16. specificity of pairing for human E3BP with E3 from its subcomplex structure to be most likely due to conformational rigidity of the binding fragment of the E3-binding domain of E3BP and its exquisite amino acid match with the E3 target interface PMID: 16263718
  17. dihydrolipoamide dehydrogenase PMID: 16442803
  18. The conservation of the Ile-51 residue with Ala using site-directed mutagenesis in human Dihydrolipoamide dehydrogenase(E3) was very important to the efficient catalytic function of the enzyme. PMID: 16584639
  19. These results suggest that N286 and D320 play a role in the catalytic function of the E3. PMID: 17171578
  20. Certain DLD mutations can simultaneously induce the loss of a primary metabolic activity and the gain of a moonlighting proteolytic activity thus contributing to the metabolic derangement associated with DLD deficiency. PMID: 17404228
  21. kinetic studies suggest that T148 is not important to E3 catalytic function and R281 plays a role in the catalytic function of E3 PMID: 17960497
  22. This protein has been found differentially expressed in the Wernicke's Area from patients with schizophrenia. PMID: 19405953

Show More

Hide All

Involvement in disease
Dihydrolipoamide dehydrogenase deficiency (DLDD)
Subcellular Location
Mitochondrion matrix. Nucleus. Cell projection, cilium, flagellum. Cytoplasmic vesicle, secretory vesicle, acrosome.
Protein Families
Class-I pyridine nucleotide-disulfide oxidoreductase family
Database Links

HGNC: 2898

OMIM: 238331

KEGG: hsa:1738

STRING: 9606.ENSP00000205402

UniGene: Hs.131711

icon of phone
Call us
301-363-4651 (Available 9 a.m. to 5 p.m. CST from Monday to Friday)
icon of address
Address
7505 Fannin St., Ste 610, Room 7 (CUBIO Innovation Center), Houston, TX 77054, USA
icon of social media
Join us with

Subscribe newsletter

Leave a message

* To protect against spam, please pass the CAPTCHA test below.
CAPTCHA verification
© 2007-2025 CUSABIO TECHNOLOGY LLC All rights reserved. 鄂ICP备15011166号-1
×
Place an order now

I. Product details

*
*
*
*

II. Contact details

*
*

III. Ship To

*
*
*
*
*
*
*

IV. Bill To

*
*
*
*
*
*
*
*