EIF3A Recombinant Monoclonal Antibody

Code CSB-RA547483A0HU
Size US$210
Order now
Image
  • IHC image of CSB-RA547483A0HU diluted at 1:100 and staining in paraffin-embedded human liver tissue performed on a Leica BondTM system. After dewaxing and hydration, antigen retrieval was mediated by high pressure in a citrate buffer (pH 6.0). Section was blocked with 10% normal goat serum 30min at RT. Then primary antibody (1% BSA) was incubated at 4°C overnight. The primary is detected by a Goat anti-rabbit polymer IgG labeled by HRP and visualized using 0.05% DAB.
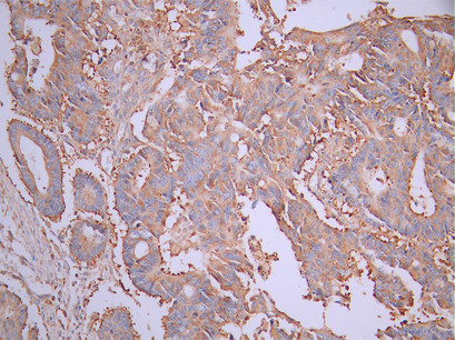
  • IHC image of CSB-RA547483A0HU diluted at 1:100 and staining in paraffin-embedded human colorectal cancer performed on a Leica BondTM system. After dewaxing and hydration, antigen retrieval was mediated by high pressure in a citrate buffer (pH 6.0). Section was blocked with 10% normal goat serum 30min at RT. Then primary antibody (1% BSA) was incubated at 4°C overnight. The primary is detected by a Goat anti-rabbit polymer IgG labeled by HRP and visualized using 0.05% DAB.
  • Overlay Peak curve showing HepG2 cells stained with CSB-RA547483A0HU (red line) at 1:100. The cells were fixed in 4% formaldehyde and permeated by 0.2% TritonX-100 for 10min. Then 10% normal goat serum to block non-specific protein-protein interactions followed by the antibody (1ug/1*106cells) for 45min at 4℃. The secondary antibody used was FITC-conjugated goat anti-rabbit IgG (H+L) at 1/200 dilution for 35min at 4℃.Control antibody (green line) was Rabbit IgG (1ug/1*106cells) used under the same conditions. Acquisition of >10, 000 events was performed.
Have Questions? Leave a Message or Start an on-line Chat

Product Details

Uniprot No.
Target Names
Alternative Names
centrosomin homolog antibody; cytoplasmic protein p167 antibody; eIF 3 theta antibody; eIF-3-theta antibody; EIF3 antibody; eIF3 p167 antibody; eIF3 p170 antibody; eIF3 p180 antibody; EIF3 p180 subunit antibody; eIF3 p185 antibody; eIF3 theta antibody; eIF3a antibody; EIF3A_HUMAN antibody; EIF3S10 antibody; eukaryotic translation initiation factor 3 subunit 10 (theta 150 170kD) antibody; eukaryotic translation initiation factor 3 subunit 10 (theta 170kD) antibody; eukaryotic translation initiation factor 3 subunit 10 170kDa antibody; Eukaryotic translation initiation factor 3 subunit 10 antibody; eukaryotic translation initiation factor 3 subunit 10 theta 150 170kDa antibody; Eukaryotic translation initiation factor 3 subunit A antibody; OTTHUMP00000020589 antibody; P167 antibody; p180 antibody; p185 antibody; TIF32 antibody
Species Reactivity
Human
Immunogen
A synthesized peptide from human EIF3A protein
Immunogen Species
Homo sapiens (Human)
Conjugate
Non-conjugated
Clonality
Monoclonal
Isotype
Rabbit IgG
Clone No.
9A8
Purification Method
Affinity-chromatography
Concentration
It differs from different batches. Please contact us to confirm it.
Buffer
Rabbit IgG in 10mM phosphate buffered saline , pH 7.4, 150mM sodium chloride, 0.05% BSA, 0.02% sodium azide and 50% glycerol.
Form
Liquid
Tested Applications
ELISA, IHC, FC
Recommended Dilution
Application Recommended Dilution
IHC 1:50-1:200
FC 1:50-1:200
Troubleshooting and FAQs
Storage
Upon receipt, store at -20°C or -80°C. Avoid repeated freeze.
Lead Time
Basically, we can dispatch the products out in 1-3 working days after receiving your orders. Delivery time maybe differs from different purchasing way or location, please kindly consult your local distributors for specific delivery time.
Usage
For Research Use Only. Not for use in diagnostic or therapeutic procedures.

Customer Reviews and Q&A

 Customer Reviews

There are currently no reviews for this product.

Submit a Review here

Target Background

Function
RNA-binding component of the eukaryotic translation initiation factor 3 (eIF-3) complex, which is required for several steps in the initiation of protein synthesis. The eIF-3 complex associates with the 40S ribosome and facilitates the recruitment of eIF-1, eIF-1A, eIF-2:GTP:methionyl-tRNAi and eIF-5 to form the 43S pre-initiation complex (43S PIC). The eIF-3 complex stimulates mRNA recruitment to the 43S PIC and scanning of the mRNA for AUG recognition. The eIF-3 complex is also required for disassembly and recycling of post-termination ribosomal complexes and subsequently prevents premature joining of the 40S and 60S ribosomal subunits prior to initiation. The eIF-3 complex specifically targets and initiates translation of a subset of mRNAs involved in cell proliferation, including cell cycling, differentiation and apoptosis, and uses different modes of RNA stem-loop binding to exert either translational activation or repression.; (Microbial infection) Essential for the initiation of translation on type-1 viral ribosomal entry sites (IRESs), like for HCV, PV, EV71 or BEV translation.; (Microbial infection) In case of FCV infection, plays a role in the ribosomal termination-reinitiation event leading to the translation of VP2.
Gene References into Functions
  1. miRNA-488 participates in eIF3a mediated cisplatin resistance in non-small-cell lung cance cells. PMID: 28074905
  2. Knockdown of elF3a inhibits TGFB1-induced extracellular matrix protein expression in keloid fibroblasts. PMID: 29286129
  3. An association between eukaryotic translation initiation factor 3a (eIF3a) gene rs77382849 polymorphism and susceptibility to gastric cancer was observed in Chinese patients. PMID: 27333287
  4. Studies suggest that eukaryotic initiation factor eIF3, which coordinates the progress of most of the initiation steps, does not come off the initiation complex upon subunit joining, but instead it remains bound to 80S ribosomes. PMID: 28981723
  5. DHX29 and eIF3 cooperate in scanning on structured mRNAs. Our findings support previous genetic data on the role of eIF3 during scanning PMID: 27733651
  6. interaction involves the first FF motif of p190A and the winged helix/PCI domain of eIF3A, is enhanced by serum stimulation and reduced by phosphatase treatment PMID: 28007963
  7. The eIF3a Arg803Lys C>T polymorphism is connected with a higher susceptibility to cervical carcinoma and may affect chemoradiotherapy efficacy in and prognosis of cervical carcinoma. PMID: 28359406
  8. The human eIF3b and octameric eIF3a subunits serve as the nucleation core around which other subunits assemble in an ordered way into two interconnected modules: the yeast-like core and the octamer. PMID: 27924037
  9. eIF3a may function as a novel regulator to modulate hepatic stellate cell activation, potentially through inhibiting the TGF-beta1/Smad3 signaling pathway. PMID: 27262813
  10. Collybistin forms a complex with mTOR and eIF3 and by sequestering these proteins downregulates mTORC1 signaling and protein synthesis potentially contributing to intellectual disability and autism. PMID: 25898924
  11. eIF3 has a role in controlling cell size independently of S6K1-activity PMID: 26172298
  12. eIF3a SNPs are significantly correlated with platinum-based chemotherapy toxicities in Chinese non-small cell lung carcinoma patients. PMID: 25732572
  13. Data conclude that eIF3a expression may have a profound effect on the urinary bladder cancer phenotype and, in addition, may serve as a prognostic marker for low grade UBCs. PMID: 25070653
  14. Taken together, these results show that Neurospora crassa eIF3 provides a tractable system for probing the structure and function of human-like eIF3 in the context of living cells. PMID: 24250809
  15. Of the total, the deregulation of several genes (CDK1, CDK2, CDK4, MCM2, MCM3, MCM4, EIF3a and RPN2) were potentially associated with disease development and progression. PMID: 24386425
  16. At 37 degrees C, P185(HER2) internalized through coated pits and vesicles and concentrated in the endosomes and multivesicular bodies in the cells of both cell lines, as well as in lysosomes in cells BT-474 PMID: 25509353
  17. findings suggested altered eIF3a expression closely correlated with p27 status, and the association was of prognostic value for resected NSCLC PMID: 24789280
  18. eIF3a and eIF3c control abundance and assembly of the entire eIF3 and thus represent its crucial scaffolding elements critically required for formation of preinitiation complexes. PMID: 24912683
  19. The Paip1-eIF3 interaction is impaired by the mTORC1 inhibitors. PMID: 24396066
  20. The correct folding of subunits of translation initiation factor eIF3 is mediated by interaction with chaperonin containing TCP-1 (CCT). PMID: 24320561
  21. results highlight the conserved architecture of eIF3 and how it scaffolds key factors that control translation initiation in higher eukaryotes, including humans PMID: 23623729
  22. eukaryotic initiation factor 3a spectrin domain is the docking site for formation of the a:b:i:g subcomplex PMID: 23921387
  23. Mutations in the RNA-binding motif of subunit eIF3a weaken eIF3 binding to the HCV IRES and the 40S ribosomal subunit, thereby suppressing eIF2-dependent recognition of the start codon. PMID: 23766293
  24. NDRG1 is regulated by eukaryotic initiation factor 3a (eIF3a) during cellular stress caused by iron depletion. PMID: 23437357
  25. eIF3a regulates RPA2 synthesis by regulating its internal ribosome entry site activity PMID: 23393223
  26. MLN51, alone or as part of the EJC, interacts directly with the pivotal eukaryotic translation initiation factor eIF3 PMID: 23530232
  27. Lung cancer patients carrying rs3740556 A allele tended to have a favorable prognosis after treatment with platinum-based chemotherapy. PMID: 23127338
  28. Iron promotes the translation initiation of hepatitis C virus by stimulating the expression of eIF3A and La proteins. PMID: 22634302
  29. POLR2J interacts with three different subunits of eIF3, eIF3a, eIF3i, and eIF3m. PMID: 22022972
  30. conclude that eIF3a has an important role in the CDDP response and in NER activity of NPCs by suppressing the synthesis of NER proteins PMID: 21625209
  31. eIF3a plays an important role in regulating the expression of DNA repair proteins. PMID: 21610145
  32. Docetaxel could slightly increase the expression of eIF3a mRNA, and eIF3a does not regulate the expression of alpha-tubulin in A549 cells. PMID: 20818067
  33. some studies have identified eIF3a to be involved in cancer development, while other results indicate that it could provide protection against evolution into higher malignancy.[review] PMID: 20647036
  34. analysis of the COP9 signalosome and its common architecture with the 26S proteasome lid and eIF3 PMID: 20399188
  35. The complex formation of eIF3 and its association with the ribosomes might contribute to increased translation rates during T lymphocyte activation. PMID: 15946946
  36. Consequently, eIF3c appears to be involved in NF2 pathogenesis and deserves to be investigated as a prognostic marker for NF2 and target for treatment of NF2 patient tumors PMID: 16497727
  37. REVIEW of roles of subunits of eIF3 in regulating translation of specific mRNAs encoding proteins important for cell growth control, and how altered expression may cause cancer and/or affect prognosis PMID: 16829125
  38. May play some roles in development and differentiation; decreased eIF3a expression may be a pre-requisite of intestinal epithelial cell differentiation. PMID: 17381544
  39. Extensive deletion analyses suggest that three evolutionarily conserved subunits (eIF3a, eIF3b, and eIF3c) and three non-conserved subunits (eIF3e, eIF3f, and eIF3h) comprise the functional core of mammalian eIF3. PMID: 17581632
  40. was no difference in the expression of EGFR, p185(erbB-2) or Bcl-2, or in nuclear accumulation of p53 in these IDC from pre- vs. post-menopausal women. PMID: 18568671
  41. interaction map allows comparison of free eIF3 with that bound to the hepatitis C virus internal ribosome entry site (HCV-IRES) RNA PMID: 18599441
  42. eIF3-Paip1 stabilizes the interaction between PABP and eIF4G, which brings about the circularization of the mRNA. PMID: 18725400
  43. eIF3a expression oscillated with cell cycle and peaked in S phase. Reducing eIF3a expression also reduced cell proliferation rate by elongating cell cycle but did not change the cell cycle distribution. PMID: 19327350

Show More

Hide All

Subcellular Location
Cytoplasm.
Protein Families
EIF-3 subunit A family
Database Links

HGNC: 3271

OMIM: 602039

KEGG: hsa:8661

STRING: 9606.ENSP00000358140

UniGene: Hs.523299

icon of phone
Call us
301-363-4651 (Available 9 a.m. to 5 p.m. CST from Monday to Friday)
icon of address
Address
7505 Fannin St., Ste 610, Room 7 (CUBIO Innovation Center), Houston, TX 77054, USA
icon of social media
Join us with

Subscribe newsletter

Leave a message

* To protect against spam, please pass the CAPTCHA test below.
CAPTCHA verification
© 2007-2025 CUSABIO TECHNOLOGY LLC All rights reserved. 鄂ICP备15011166号-1
×
Place an order now

I. Product details

*
*
*
*

II. Contact details

*
*

III. Ship To

*
*
*
*
*
*
*

IV. Bill To

*
*
*
*
*
*
*
*