IMMT Recombinant Monoclonal Antibody

Code CSB-RA623101MA1HU
Size US$210
Order now
Image
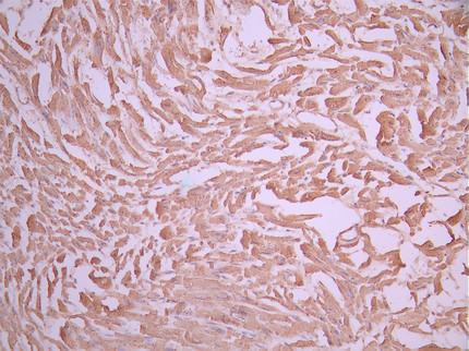
  • IHC image of CSB-RA623101MA1HU diluted at 1:50 and staining in paraffin-embedded human heart tissue performed on a Leica BondTM system. After dewaxing and hydration, antigen retrieval was mediated by high pressure in a citrate buffer (pH 6.0). Section was blocked with 10% normal goat serum 30min at RT. Then primary antibody (1% BSA) was incubated at 4°C overnight. The primary is detected by a Anti-Human lgG, Fcy Fragment Specific labeled by HRP and visualized using 0.05% DAB.
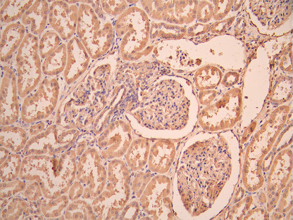
  • IHC image of CSB-RA623101MA1HU diluted at 1:50 and staining in paraffin-embedded human kidney tissue performed on a Leica BondTM system. After dewaxing and hydration, antigen retrieval was mediated by high pressure in a citrate buffer (pH 6.0). Section was blocked with 10% normal goat serum 30min at RT. Then primary antibody (1% BSA) was incubated at 4°C overnight. The primary is detected by a Anti-Human lgG, Fcy Fragment Specific labeled by HRP and visualized using 0.05% DAB.
  • Overlay Peak curve showing A431 cells stained with CSB-RA623101MA1HU (red line) at 1:100. The cells were fixed in 4% formaldehyde and permeated by 0.2% TritonX-100 for 10min. Then 10% normal goat serum to block non-specific protein-protein interactions followed by the antibody (1ug/1*106cells) for 45min at 4℃. The secondary antibody used was Fluorescein (FITC) AffiniPure Goat Anti-Human IgG, Fcγ fragment specific at 1:200 dilution for 35min at 4℃.Control antibody (green line) was human IgG1 (1ug/1*106cells) used under the same conditions. Acquisition of >10,000 events was performed.
Have Questions? Leave a Message or Start an on-line Chat

Product Details

Uniprot No.
Target Names
IMMT
Alternative Names
Cell proliferation inducing protein 52 antibody; Cell proliferation-inducing gene 4/52 protein antibody; Heart muscle protein antibody; HMP antibody; IMMT antibody; IMMT_HUMAN antibody; Inner membrane protein mitochondrial antibody; Inner mitochrondial membrane antibody; MICOS complex subunit MIC60 antibody; MINOS2 antibody; Mitochondrial inner membrane organizing system 2 antibody; Mitochondrial inner membrane protein antibody; Mitofilin antibody; Motor protein antibody; p87 antibody; p87/89 antibody; p89 antibody; pig4 antibody; PIG52 antibody; Proliferation-inducing gene 4 antibody
Species Reactivity
Human
Immunogen
Recombinant Human IMMT protein
Immunogen Species
Homo sapiens (Human)
Conjugate
Non-conjugated
Clonality
Monoclonal
Isotype
hIgG1
Clone No.
14E3
Purification Method
Affinity-chromatography
Concentration
It differs from different batches. Please contact us to confirm it.
Buffer
Preservative: 0.03% Proclin 300
Constituents: 50% Glycerol, 0.01M PBS, PH 7.4
Form
Liquid
Tested Applications
ELISA, IHC, FC
Recommended Dilution
Application Recommended Dilution
IHC 1:50-1:200
FC 1:50-1:200
Troubleshooting and FAQs
Storage
Upon receipt, store at -20°C or -80°C. Avoid repeated freeze.
Lead Time
Basically, we can dispatch the products out in 1-3 working days after receiving your orders. Delivery time maybe differs from different purchasing way or location, please kindly consult your local distributors for specific delivery time.
Usage
For Research Use Only. Not for use in diagnostic or therapeutic procedures.

Customer Reviews and Q&A

 Customer Reviews

There are currently no reviews for this product.

Submit a Review here

Target Background

Function
Component of the MICOS complex, a large protein complex of the mitochondrial inner membrane that plays crucial roles in the maintenance of crista junctions, inner membrane architecture, and formation of contact sites to the outer membrane. Plays an important role in the maintenance of the MICOS complex stability and the mitochondrial cristae morphology.
Gene References into Functions
  1. Sub-mitochondrial localization of the genetic-tagged mitochondrial intermembrane space-bridging components Mic19, Mic60 and Sam50. PMID: 28808085
  2. PKA-mediated phosphorylation of MIC60 negatively regulates mitochondrial clearance that is initiated by PINK1 and Parkin. PMID: 27153535
  3. Mitofilin-knockdown cells showed decreased mitochondrial membrane potential (DeltaPsim) and intracellular ATP content, which were minimally affected in CHCHD6-knockout cells. PMID: 26530328
  4. Mic60 interacted with mtDNA and was involved in the architecture of mtDNA D-loop region. Taken together, our findings reveal a previously unrecognized important role of Mic60 in mtDNA transcription. PMID: 25612828
  5. Mitofilin, a mitochondria protein, is shown to be related to cardiac hypertrophy for the first time, which enhances our understanding of the role of mitochondria in cardiac hypertrophy. PMID: 24555791
  6. Transgenic overexpression of mitofilin preserves mitochondrial structure, leading to restoration of mitochondrial function and attenuation of cardiac contractile dysfunction in the diabetic heart. PMID: 25463274
  7. APOOL is a cardiolipin-binding component of the Mitofilin/MINOS protein complex. PMID: 23704930
  8. mitofilin distinctly functions in mitochondrial cristae remodeling and controls cytochrome c release during apoptosis. PMID: 23058921
  9. CHCM1/CHCHD6, novel mitochondrial protein linked to regulation of mitofilin and mitochondrial cristae morphology. PMID: 22228767
  10. The mitochondrial dysfunction induced by DISC1 deficiency was partially reversed by coexpression of Mitofilin, confirming a functional link between DISC1 and Mitofilin for the normal mitochondrial function. PMID: 20880836
  11. Data show that the nuclear matrix protein matrin 3, cytoskeletal motor protein HMP, and the circadian clock protein lark were significantly decreased in fetal Down syndrome brain. PMID: 12469345
  12. mitofilin is a critical organizer of the mitochondrial cristae morphology and thus indispensable for normal mitochondrial function PMID: 15647377
  13. role in protein import related to maintenance of mitochondrial structure is suggested; mitofilin helps regulate mitochondrial morphology and four of the associated proteins (metaxins 1 and 2, SAM50 and CHCHD3) have been implicated in protein import PMID: 17624330

Show More

Hide All

Subcellular Location
Mitochondrion inner membrane; Single-pass membrane protein. Mitochondrion.
Protein Families
MICOS complex subunit Mic60 family
Database Links

HGNC: 6047

OMIM: 600378

KEGG: hsa:10989

STRING: 9606.ENSP00000387262

UniGene: Hs.148559

icon of phone
Call us
301-363-4651 (Available 9 a.m. to 5 p.m. CST from Monday to Friday)
icon of address
Address
7505 Fannin St., Ste 610, Room 7 (CUBIO Innovation Center), Houston, TX 77054, USA
icon of social media
Join us with

Subscribe newsletter

Leave a message

* To protect against spam, please pass the CAPTCHA test below.
CAPTCHA verification
© 2007-2025 CUSABIO TECHNOLOGY LLC All rights reserved. 鄂ICP备15011166号-1
×
Place an order now

I. Product details

*
*
*
*

II. Contact details

*
*

III. Ship To

*
*
*
*
*
*
*

IV. Bill To

*
*
*
*
*
*
*
*