ITGA5 Recombinant Monoclonal Antibody

Code CSB-RA981592A0HU
Size US$210
Order now
Image
  • Flow cytometric analysis of Integrin alpha 5 expression in C2C12 cells using Integrin alpha 5 antibody. Green, isotype control; red, Integrin alpha 5.
  • Immunocytochemical staining of C2C12 cells with Integrin alpha 5 antibody. Nuclei were stained blue with DAPI; Integrin alpha 5 was stained magenta with Alexa Fluor® 647. Images were taken using Leica stellaris 5. Protein abundance based on laser Intensity and smart gain: Medium. Scale bar, 20 μm.
  • Immunohistochemistry was performed on paraffin-embedded mouse liver using integrin alpha 5 antibody. Antigen retrieval was done in sodium citrate buffer (pH 6.0). DAB was used for detection, with hematoxylin counterstaining. Images were acquired using a Nikon Ci-L Plus microscope (40× objective). Scale bar: 25 μm.
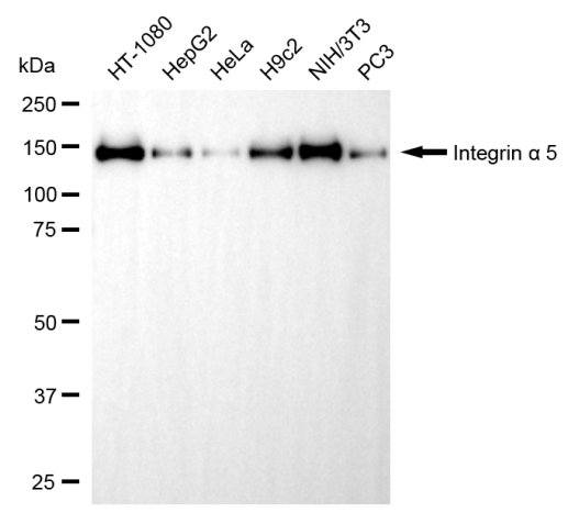
  • Western blotting analysis using integrin alpha 5 antibody. Total cell lysates (30 μg) from various cell lines were loaded and separated by SDS-PAGE. The blot was incubated with integrin alpha 5 antibody and HRP-conjugated goat anti-rabbit secondary antibody respectively.
Have Questions? Leave a Message or Start an on-line Chat

Product Details

Uniprot No.
Target Names
Alternative Names
CD49e; FNRA; Integrin, Alpha 5 (Fibronectin Receptor, Alpha Polypeptide); Fibronectin Receptor, Alpha Polypeptide; Fibronectin Receptor Subunit Alpha; CD49 Antigen-Like Family Member E; Integrin Alpha-5; Integrin Alpha-F; VLA-5; Very Late Activation Protein 5, Alpha Subunit; Fibronectin Receptor, Alpha Subunit; ITGA5/SLC9B1 Fusion; CD49e Antigen; VLA5A
Species Reactivity
Human, Mouse, Rat
Immunogen
Recombinant Human ITGA5 protein
Immunogen Species
Homo sapiens (Human)
Conjugate
Non-conjugated
Clonality
Monoclonal
Isotype
Rabbit IgG
Clone No.
15H10
Purification Method
Affinity-chromatography
Concentration
It differs from different batches. Please contact us to confirm it.
Buffer
Rabbit IgG in PBS (pH 7.4) containing 50% glycerol, and 0.02% sodium azide.
Form
Liquid
Tested Applications
ELISA, WB, FC, ICC, IHC
Recommended Dilution
Application Recommended Dilution
WB 1:1000-1:5000
FC 1:200-1:2000
ICC 1:100-1:1000
IHC 1:100-1:200
Troubleshooting and FAQs
Storage
Upon receipt, store at -20°C or -80°C. Avoid repeated freeze.
Lead Time
Basically, we can dispatch the products out in 1-3 working days after receiving your orders. Delivery time maybe differs from different purchasing way or location, please kindly consult your local distributors for specific delivery time.
Usage
For Research Use Only. Not for use in diagnostic or therapeutic procedures.

Customer Reviews and Q&A

 Customer Reviews

There are currently no reviews for this product.

Submit a Review here

Target Background

Function
Integrin alpha-5/beta-1 (ITGA5:ITGB1) is a receptor for fibronectin and fibrinogen. It recognizes the sequence R-G-D in its ligands. ITGA5:ITGB1 binds to PLA2G2A via a site (site 2) which is distinct from the classical ligand-binding site (site 1) and this induces integrin conformational changes and enhanced ligand binding to site 1. ITGA5:ITGB1 acts as a receptor for fibrillin-1 (FBN1) and mediates R-G-D-dependent cell adhesion to FBN1. ITGA5:ITGB1 is a receptor for IL1B and binding is essential for IL1B signaling. ITGA5:ITGB3 is a receptor for soluble CD40LG and is required for CD40/CD40LG signaling.; (Microbial infection) Integrin ITGA5:ITGB1 acts as a receptor for Human metapneumovirus.; (Microbial infection) Integrin ITGA2:ITGB1 acts as a receptor for Human parvovirus B19.; (Microbial infection) In case of HIV-1 infection, the interaction with extracellular viral Tat protein seems to enhance angiogenesis in Kaposi's sarcoma lesions.
Gene References into Functions
  1. The results showed that in cervical cancer cells Rac1 activation by hypoxia could stimulate invasion and migration, and this process was mediated by integrin a5b3-facilitated FAK and PI3K phosphorylation. PMID: 29358562
  2. A specific component of the gastric refluxate, deoxycholic acid, affects the epithelial barrier through modulation of integrin alpha V expression, providing a novel mechanism for bile acid-mediated erosion of esophageal squamous epithelium and promotion of Barrett's Esophagus. PMID: 28941013
  3. first PET/CT scans of head and neck squamous cell carcinoma (HNSCC) and NSCLC patients displayed SFITGv6 accumulation specifically in tumors, but not in inflammatory lesions.Thus, SFITGv6 represents a novel powerful tracer for imaging and possibly for endoradiotherapy of ITGa5b6-positive carcinoma PMID: 28468949
  4. Endothelial cell-derived matrix promotes the metabolic functional maturation of hepatocyte via integrin-Src signaling. PMID: 28470937
  5. integrin alpha5 might be involved in Aggregatibacter actinomycetemcomitans Y4 invasion into gingival epithelial cells, and the resulting signal transduction cascade reduces cell adhesion by decreasing the expression of integrins, while the TLR2/4 signaling cascade regulates IL-8 expression. PMID: 28593565
  6. Fibronectin fragments (FNFr) function as matrikines driving the chemotactic affinity of prostate cancer cells via the alpha5beta1 integrin. PMID: 27715399
  7. Gene function analyses in in-vitro cultured adipose tissue stem cells (ASCs) indicated differential functions of integrin-alpha-5 (ITGA5) and integrin-alpha-V (ITGAV). PMID: 27363302
  8. Hypoxia induces the expression of ITGA5 in breast cancer.ITGA5 plays role in the breast cancer metastasis. PMID: 28213554
  9. miR-330-5p could suppress proliferation and invasion of glioblastoma cells through targeting ITGA5. PMID: 28336765
  10. Inhibiting Fgf-R partly reversed alphavbeta3 integrin activity in Mll-Ell+ progenitor cells. PMID: 27340869
  11. Thus, Aspergillus fumigatus CalA is an invasin that interacts with integrin alpha5beta1 on host cells, induces endocytosis and enhances virulence. PMID: 27841851
  12. Data map the network of interactions between host-cell alpha5beta1 integrin and the cagT4SS proteins. PMID: 29055076
  13. Data indicate integrinalphavbeta3 is a tumor target on breast cancer bone metastases. PMID: 28855208
  14. we compared the characteristics of tumors with and without wild-type (wt) cANGPTL4 and tumors with cANGPTL4 bearing the T266M mutation (T266M cANGPTL4). We found that T266M cANGPTL4 bound to integrin alpha5beta1 with a reduced affinity compared to wt, leading to weaker activation of downstream signaling molecules. PMID: 28641978
  15. Osteoprotegerin facilitates pulmonary arterial hypertension pathogenesis by regulating pulmonary arterial smooth muscle cell proliferation via integrin alphavbeta3/FAK/AKT signaling pathway. PMID: 28077433
  16. alpha5beta1 integrin can stimulate drug resistance in cancer cells via a mechanism based on inhibition of protein kinase Erk. PMID: 28988530
  17. We measured the effect of recombinant Gal-3 added exogenously on the lateral mobility of the alpha5b1 integrin on HeLa cells. Using single-particle tracking (SPT) we detected increased lateral mobility of the integrin in the presence of Gal-3, while its truncated C-terminal domain (Gal-3C) showed only minor reductions in lateral mobility. PMID: 29016609
  18. pStat-3 and integrin alphavbeta6 were indicators of tumor's progression and poor prognosis of patients with gallbladder cancer PMID: 28061445
  19. Eps8/Abi1/Sos1 tricomplex acts as a key molecular switch altering the balance between Rac1 and Rho activation; its presence or absence in pancreatic ductal adenocarcinoma cells modulates alphavbeta6-dependent functions, resulting in a pro-migratory (Rac1-dependent) or a pro-TGF-beta1 activation (Rho-dependent) functional phenotype. PMID: 28608476
  20. Our study is the first to report that treatment with a RARgamma specific agonist augments cellular adhesion to alpha5beta1 integrin substrates, increases cell surface levels of the beta1 integrin subunit, and dampens cellular proliferation in a time and concentration dependent manner in a human erythroleukemia cell line PMID: 28552962
  21. Findings indicate integrin inhibition as a promising strategy to block both aryl hydrocarbon receptor (AhR) and transforming growth factor beta (TGF-beta)-controlled features of malignancy in glioblastoma. PMID: 26500056
  22. Analysis of alphavbeta3 and alpha5beta1 integrin clusters indicates that fibrillar adhesions are more prominent in cells adhering to alpha5beta1 ligand, while clusters are mostly localized at the cell margins in cells adhering to alphavbeta3 ligand. PMID: 27003228
  23. Suggest an adhesion-dependent mechanism of RUNX2 for the osteotropism and bone colonization of breast cancer cells and implicate RUNX2 and integrin alpha5 as potential molecular markers for the prediction of bone metastasis. PMID: 27317874
  24. cells on fibronectin suppressed cAMP via enhanced phosphodiesterase (PDE) activity, through direct binding of integrin alpha5 to phosphodiesterase-4D5 PMID: 27595237
  25. N-Glycosylation on integrin alpha5 is required for alpha5beta1-mediated cell migration. PMID: 28167607
  26. Data show that high mobility group nucleosomal binding domain 2 (HMGN2) knockdown induced the increased expression of alpha5beta1 integrin on cell membranes, which resulted in a significant increase in Klebsiella pneumoniae internalization. PMID: 27460641
  27. ITGA5 expression is significantly upregulated in human masticatory mucosa during wound healing PMID: 28005267
  28. ectopic expression of miR-17 in ovarian cancer cells resulted in repressed ILK phosphorylation as well as decreased production of active matrix metalloproteinase-2 (MMP-2). Our results indicated that miR-17 hampered ovarian cancer peritoneal propagation by targeting integrin a5 and b1. PMID: 27499367
  29. These results suggest that downregulation of miR-330-5p expression may affect Colorectal cancerdevelopment via modulation of ITGA5 expression. PMID: 27633518
  30. In colorectal cancer cells, miR-130b directly targeted the 3' untranslated region (3'UTR) region of integrin alpha5 gene, which encodes a key molecule involved in cell motility. TGF-beta1 acted through miR-130b to promote integrin alpha5 expression, resulting in the enhanced migration of CRC cells. PMID: 26873488
  31. Suggest that in gliomas, integrin alpha5-mediated dissemination from the tumor mass overrides integrin alpha5-mediated tumor cell cohesion. PMID: 27063097
  32. upregulation of miR-31 targeting ITGA5 may suppress tumor cell invasion and metastasis by indirectly regulating PI3K/AKT signaling pathway in human SGC7901 GC cells PMID: 26729197
  33. The aim of the present study was to characterize the roles of ITGalpha5 and ITGbeta1 in the proliferation and migration of vascular smooth muscle cells. PMID: 26648324
  34. ITGA5 plays an important role in maintaining and regulating the normal migration capacity of dental pulp stem cells. PMID: 26823759
  35. IGFBP-2 enhances endothelial progenitor cell adhesion to HUVECs via Integrin alpha5beta1. The RGD motif in the IGFBP-2 C-domain is required for interaction with integrin alpha5beta1. PMID: 26076738
  36. The present study has revealed an integrin- and membrane lipid raft-dependent mechanotransduction mechanism by which atheroprone flow causes endothelial dysfunction. PMID: 26733684
  37. Data show that the fold changes of very late antigen 5 VLA-5 (integrin alpha-5 beta-1) in CD14+ monocytes were higher than those observed for THP-1 cells. PMID: 26159767
  38. integrin alpha5 might play important roles in the progression of esophageal squamous cell carcinoma PMID: 26772401
  39. Data suggest that reduced ability of AnxA6-expressing cells to migrate is associated with decreased cell surface expression of integrins alphaVbeta3 and alpha5beta1. PMID: 26578516
  40. Data suggest that the binding, but not the internalization of photoreceptor outer segments (POS) confers protective effects on retinal pigment epithelium (RPE) cells through the alphavbeta5 integrin/focal adhesion kinase (FAK)/PGC-1alpha pathway. PMID: 26244551
  41. alpha5beta1 and alphavbeta3 each mediate actin cytoskeletal remodeling in response to stiffening or cyclic stretching of the extracellular matrix. PMID: 25663698
  42. Integrin alpha5beta1 was expressed on ligamentum flavum fibroblasts. PMID: 25735609
  43. Data suggest that Entamoeba histolytica-macrophage contact triggers recruitment of alpha5beta1 integrin (ITGA5/ITGB1) and NLRP3 into intercellular junction, where ITGA5/ITGB1 undergoes activation by cysteine protease on parasite surface. PMID: 25955828
  44. Data show that thyroid hormones induce mitogen-activated protein kinase (MAPK) via integrin alphavbeta3 in bone marrow-derived cells from multiple myeloma (MM). PMID: 25058375
  45. Integrin alphanubeta6-mediated MMP-9 secretion facilitates pericellular matrix degradation at high cell density, promoting invasive growth of colonic neoplasms. PMID: 26139991
  46. Data show the molecular model of the complex of activated protein C (APC) with alphaVbeta3 integrin obtained by protein-protein docking approach. PMID: 24251463
  47. Data indicate that alpha5 integrin (ITGA5) is a functional target of miroRNA miR-26a-induced anoikis in hepatocellular carcinoma (HCC) cells. PMID: 25537511
  48. Collagens considerably suppressed alpha5 gene expression in CECs, suggesting that during wound PMID: 26431475
  49. Suggest alpha5beta1/Arp2/Arp3/FHOD3 pathway reprograms the actin cytoskeleton to promote invasive migration and local invasion in vivo. PMID: 26370503
  50. In the presence of both 9-cis-retinoic acid and troglitazone, cell surface alpha5 subunit expression was restored to levels comparable to vehicle treatment alone. PMID: 24671180

Show More

Hide All

Subcellular Location
Membrane; Single-pass type I membrane protein. Cell junction, focal adhesion. Cell surface.
Protein Families
Integrin alpha chain family
Database Links

HGNC: 6141

OMIM: 135620

KEGG: hsa:3678

STRING: 9606.ENSP00000293379

UniGene: Hs.505654

icon of phone
Call us
301-363-4651 (Available 9 a.m. to 5 p.m. CST from Monday to Friday)
icon of address
Address
7505 Fannin St., Ste 610, Room 7 (CUBIO Innovation Center), Houston, TX 77054, USA
icon of social media
Join us with

Subscribe newsletter

Leave a message

* To protect against spam, please pass the CAPTCHA test below.
CAPTCHA verification
© 2007-2025 CUSABIO TECHNOLOGY LLC All rights reserved. 鄂ICP备15011166号-1
×
Place an order now

I. Product details

*
*
*
*

II. Contact details

*
*

III. Ship To

*
*
*
*
*
*
*

IV. Bill To

*
*
*
*
*
*
*
*