NTRK1/NTRK3/NTRK2 Recombinant Monoclonal Antibody

Code CSB-RA236968A0HU
Size US$210
Order now
Image
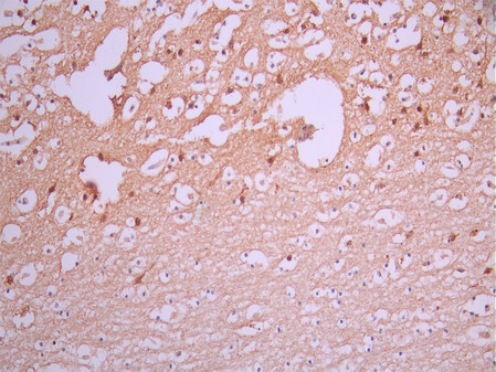
  • IHC image of CSB-RA236968A0HU diluted at 1:100 and staining in paraffin-embedded human brain tissue performed on a Leica BondTM system. After dewaxing and hydration, antigen retrieval was mediated by high pressure in a citrate buffer (pH 6.0). Section was blocked with 10% normal goat serum 30min at RT. Then primary antibody (1% BSA) was incubated at 4°C overnight. The primary is detected by a Goat anti-rabbit polymer IgG labeled by HRP and visualized using 0.05% DAB.
Have Questions? Leave a Message or Start an on-line Chat

Product Details

Uniprot No.
Target Names
NTRK1/NTRK3/NTRK2
Alternative Names
gp140trk antibody; High affinity nerve growth factor receptor antibody; High affinity nerve growth factor receptor precursor antibody; MTC antibody; Neurotrophic tyrosine kinase receptor type 1 antibody; NTRK1 antibody; NTRK1_HUMAN antibody; Oncogene TRK antibody; p14-TrkA antibody; p140 TrkA antibody; p140-TrkA antibody; Slow nerve growth antibody; Trk A antibody; TRK antibody; Trk-A antibody; TRK1 antibody; TRK1-transforming tyrosine kinase protein antibody; Tropomyosin-related kinase A antibody; Tyrosine kinase receptor A antibody; Tyrosine kinase receptor antibody; EC 2.7.10.1 antibody; ETS related protein neurotrophic receptor tyrosine kinase fusion antibody; ETS related protein neurotrophic receptor tyrosine kinase fusion protein antibody; ETV6 NTRK3 fusion antibody; GP145 TrkC antibody; gp145(trkC) antibody; GP145-TrkC antibody; GP145TrkC antibody; Neurotrophic tyrosine kinase receptor type 3 antibody; Neurotrophin 3 receptor antibody; NT 3 growth factor receptor antibody; NT 3 growth factor receptor precursor antibody; NT 3 receptor antibody; NT-3 growth factor receptor antibody; Ntrk3 antibody; NTRK3_HUMAN antibody; OTTHUMP00000192915 antibody; TRK C antibody; Trk-C antibody; TRKC antibody; TrkC tyrosine kinase antibody; Tyrosine kinase receptor C antibody; AI848316 antibody; BDNF tropomyosine receptor kinase B antibody; BDNF/NT 3 growth factors receptor antibody; BDNF/NT-3 growth factors receptor antibody; Brain derived neurotrophic factor receptor antibody; C030027L06Rik antibody; EC 2.7.10.1 antibody; GP145 TrkB antibody; GP145-TrkB antibody; GP145-TrkB/GP95-TrkB antibody; GP95 TrkB antibody; Neurotrophic receptor tyrosine kinase 2 antibody; Neurotrophic tyrosine kinase receptor type 2 antibody; Neurotrophin receptor tyrosine kinase type 2 antibody; NTRK 2 antibody; Ntrk2 antibody; NTRK2_HUMAN antibody; Obesity, hyperphagia, and developmental delay, included antibody; RATTRKB1 antibody; Tkrb antibody; Trk B antibody; Trk-B antibody; TRKB antibody; TrkB tyrosine kinase antibody; TRKB1 antibody; Tropomyosin related kinase B antibody; tyrosine kinase receptor B antibody; Tyrosine receptor kinase B antibody
Species Reactivity
Human
Immunogen
A synthesized peptide from human NTRK1/NTRK3/NTRK2 protein
Immunogen Species
Homo sapiens (Human)
Conjugate
Non-conjugated
Clonality
Monoclonal
Isotype
Rabbit IgG
Clone No.
10E6
Purification Method
Affinity-chromatography
Concentration
It differs from different batches. Please contact us to confirm it.
Buffer
Rabbit IgG in 10mM phosphate buffered saline , pH 7.4, 150mM sodium chloride, 0.05% BSA, 0.02% sodium azide and 50% glycerol.
Form
Liquid
Tested Applications
ELISA, IHC
Recommended Dilution
Application Recommended Dilution
IHC 1:50-1:200
Troubleshooting and FAQs
Storage
Upon receipt, store at -20°C or -80°C. Avoid repeated freeze.
Lead Time
Basically, we can dispatch the products out in 1-3 working days after receiving your orders. Delivery time maybe differs from different purchasing way or location, please kindly consult your local distributors for specific delivery time.
Usage
For Research Use Only. Not for use in diagnostic or therapeutic procedures.

Customer Reviews and Q&A

 Customer Reviews

There are currently no reviews for this product.

Submit a Review here

icon of phone
Call us
301-363-4651 (Available 9 a.m. to 5 p.m. CST from Monday to Friday)
icon of address
Address
7505 Fannin St., Ste 610, Room 7 (CUBIO Innovation Center), Houston, TX 77054, USA
icon of social media
Join us with

Subscribe newsletter

Leave a message

* To protect against spam, please pass the CAPTCHA test below.
CAPTCHA verification
© 2007-2026 CUSABIO TECHNOLOGY LLC All rights reserved. 鄂ICP备15011166号-1
Place an order now

I. Product details

*
*
*
*

II. Contact details

*
*

III. Ship To

*
*
*
*
*
*
*

IV. Bill To

*
*
*
*
*
*
*
*