PAG1 Recombinant Monoclonal Antibody

Code CSB-RA174440A0HU
Size US$210
Order now
Image
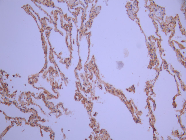
  • IHC image of CSB-RA174440A0HU diluted at 1:100 and staining in paraffin-embedded human lung tissue performed on a Leica BondTM system. After dewaxing and hydration, antigen retrieval was mediated by high pressure in a citrate buffer (pH 6.0). Section was blocked with 10% normal goat serum 30min at RT. Then primary antibody (1% BSA) was incubated at 4°C overnight. The primary is detected by a Goat anti-rabbit polymer IgG labeled by HRP and visualized using 0.05% DAB.
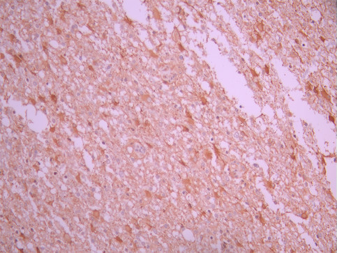
  • IHC image of CSB-RA174440A0HU diluted at 1:100 and staining in paraffin-embedded human glioma cancer performed on a Leica BondTM system. After dewaxing and hydration, antigen retrieval was mediated by high pressure in a citrate buffer (pH 6.0). Section was blocked with 10% normal goat serum 30min at RT. Then primary antibody (1% BSA) was incubated at 4°C overnight. The primary is detected by a Goat anti-rabbit polymer IgG labeled by HRP and visualized using 0.05% DAB.
Have Questions? Leave a Message or Start an on-line Chat

Product Details

Uniprot No.
Target Names
PAG1
Alternative Names
CBP antibody; Csk binding protein antibody; Csk-binding protein antibody; FLJ37858 antibody; MGC138364 antibody; PAG 1 antibody; PAG antibody; PAG1 antibody; PAG1_HUMAN antibody; Phosphoprotein associated with glycosphingolipid enriched microdomains 1 antibody; Phosphoprotein associated with glycosphingolipid enriched microdomains antibody; Phosphoprotein associated with glycosphingolipid microdomains 1 antibody; Phosphoprotein associated with glycosphingolipid-enriched microdomains 1 antibody; Protein Associated with Glycosphingolipid Enriched Microdomains antibody; Transmembrane adapter protein PAG antibody; Transmembrane phosphoprotein Cbp antibody
Species Reactivity
Human
Immunogen
A synthesized peptide from human PAG1 protein
Immunogen Species
Homo sapiens (Human)
Conjugate
Non-conjugated
Clonality
Monoclonal
Isotype
Rabbit IgG
Clone No.
16D11
Purification Method
Affinity-chromatography
Concentration
It differs from different batches. Please contact us to confirm it.
Buffer
Rabbit IgG in 10mM phosphate buffered saline , pH 7.4, 150mM sodium chloride, 0.05% BSA, 0.02% sodium azide and 50% glycerol.
Form
Liquid
Tested Applications
ELISA, IHC
Recommended Dilution
Application Recommended Dilution
IHC 1:50-1:200
Troubleshooting and FAQs
Storage
Upon receipt, store at -20°C or -80°C. Avoid repeated freeze.
Lead Time
Basically, we can dispatch the products out in 1-3 working days after receiving your orders. Delivery time maybe differs from different purchasing way or location, please kindly consult your local distributors for specific delivery time.
Usage
For Research Use Only. Not for use in diagnostic or therapeutic procedures.

Customer Reviews and Q&A

 Customer Reviews

There are currently no reviews for this product.

Submit a Review here

Target Background

Function
Negatively regulates TCR (T-cell antigen receptor)-mediated signaling in T-cells and FCER1 (high affinity immunoglobulin epsilon receptor)-mediated signaling in mast cells. Promotes CSK activation and recruitment to lipid rafts, which results in LCK inhibition. Inhibits immunological synapse formation by preventing dynamic arrangement of lipid raft proteins. May be involved in cell adhesion signaling.
Gene References into Functions
  1. Low PAG1 expression is associated neuroblastoma. PMID: 26993602
  2. Our study highlights the underlying mechanism of cross interaction between ASCs and breast cancer cells, and indicates that PAG1/Cbp in breast cancer cell may modulate tumor progression and acquired chemoresistance in the ASCs-associated breast cancer microenvironment through Src and AKT/mTOR pathways. PMID: 29079189
  3. Up-regulated expression of CBP in Jurkat cells could reduce cell homogeneity and promote cell apoptosis PMID: 26062415
  4. No association Pag1 mutation with patient with Schizophrenia. PMID: 25005592
  5. The risk-associated allele of rs2370615 predisposes to allergic disease by increasing PAG1 expression, which might promote B cell activation and have a pro-inflammatory effect. PMID: 26211970
  6. CBP may decrease the metastasis of esophageal carcinoma by inhibiting the activation of Src. PMID: 25684946
  7. The inhibitory function of novobiocin in disrupting the HIF1alpha/p300 complex might be important in tumor cell growth. PMID: 23671581
  8. siRNA directed against PAG1 in a radioresistant (Hep-2max) cell line dramatically enhanced the radiosensitivity and IR-induced cell death. PMID: 22994656
  9. expression of CBP gene is decreased in esophageal carcinoma, which might contribute to the tumorigenesis and progression. PMID: 22027792
  10. findings support a negative regulatory function for Cbp/PAG in proximal B cell receptor signaling in normal and EBV-transformed B cells PMID: 22659621
  11. An over-expression of PAG1 in PC-3M-1E8 cells effectively suppresses the activation of Ras and ERK, as well as the cyclin D1 expression, leading to an inhibition of the proliferation ability of tumor cells. PMID: 21092590
  12. Cbp down-regulation is primarily mediated by epigenetic histone modifications via oncogenic MAPK/PI3K pathways in a subset of cancer cells. PMID: 21388951
  13. Results indicate that Cbp is required for the Csk-mediated inactivation of c-Src and may control the promotion of malignancy in NSCLC tumors that are characterized by c-Src upregulation. PMID: 21156787
  14. PAG1 protein was downregulated in PC-3M-1E8 prostate cancer cell line. PMID: 20388373
  15. In the membrane environment of ALK+ lymphoma rafts, where the glycosphingolipid to signaling protein ratio is higher than in B-NHL rafts, the Lyn activity is suboptimal and does not allow the formation of an efficient Lyn-Cbp/PAG signalosome PMID: 20561033
  16. Study shows EGF-stimulation-induced Csk-binding protein (Cbp) tyrosine phosphorylation followed by Cbp-Csk association, in a SFK-dependent manner. PMID: 16636672
  17. High PAG-binding ability with CSK in vitro as well as the human PAG structure characterized by 11 alpha-helix structures including a 3 kDa transmembrane domain are reported. PMID: 16947079
  18. PAG negatively regulates Ras proteins, and by knocking down PAG there is enhanced Src kinase activity and Ras activation. PMID: 17389760
  19. engagement of the SH2 domain on PAG renders FynT insensitive to Csk negative regulation PMID: 18056706
  20. role in control of proliferation and survival in most B-non-Hodgkin lymphomas PMID: 18070987
  21. new insights into the function of Cbp in modulating RhoA activation, by which Cbp might contribute to renal cell carcinogenesis PMID: 19581936

Show More

Hide All

Subcellular Location
Cell membrane; Single-pass type III membrane protein. Note=Present in lipid rafts.
Tissue Specificity
Ubiquitously expressed. Present in germinal center B-cells, plasma cells, T-cells, monocytes and platelets (at protein level).
Database Links

HGNC: 30043

OMIM: 605767

KEGG: hsa:55824

STRING: 9606.ENSP00000220597

UniGene: Hs.266175

icon of phone
Call us
301-363-4651 (Available 9 a.m. to 5 p.m. CST from Monday to Friday)
icon of address
Address
7505 Fannin St., Ste 610, Room 7 (CUBIO Innovation Center), Houston, TX 77054, USA
icon of social media
Join us with

Subscribe newsletter

Leave a message

* To protect against spam, please pass the CAPTCHA test below.
CAPTCHA verification
© 2007-2025 CUSABIO TECHNOLOGY LLC All rights reserved. 鄂ICP备15011166号-1
×
Place an order now

I. Product details

*
*
*
*

II. Contact details

*
*

III. Ship To

*
*
*
*
*
*
*

IV. Bill To

*
*
*
*
*
*
*
*