PGD Recombinant Monoclonal Antibody

Code CSB-RA937939A0HU
Size US$210
Order now
Image
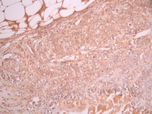
  • IHC image of CSB-RA937939A0HU diluted at 1:100 and staining in paraffin-embedded human breast cancer performed on a Leica BondTM system. After dewaxing and hydration, antigen retrieval was mediated by high pressure in a citrate buffer (pH 6.0). Section was blocked with 10% normal goat serum 30min at RT. Then primary antibody (1% BSA) was incubated at 4°C overnight. The primary is detected by a Goat anti-rabbit polymer IgG labeled by HRP and visualized using 0.05% DAB.
  • Overlay Peak curve showing HepG2 cells stained with CSB-RA937939A0HU (red line) at 1:100. The cells were fixed in 4% formaldehyde and permeated by 0.2% TritonX-100 for 10min. Then 10% normal goat serum to block non-specific protein-protein interactions followed by the antibody (1ug/1*106cells) for 45min at 4℃. The secondary antibody used was FITC-conjugated goat anti-rabbit IgG (H+L) at 1/200 dilution for 35min at 4℃.Control antibody (green line) was Rabbit IgG (1ug/1*106cells) used under the same conditions. Acquisition of >10, 000 events was performed.
Have Questions? Leave a Message or Start an on-line Chat

Product Details

Uniprot No.
Target Names
PGD
Alternative Names
0610042A05Rik antibody; 6 phosphogluconate dehydrogenase; decarboxylating antibody; 6-phosphogluconate dehydrogenase antibody; 6PGD antibody; 6PGD_HUMAN antibody; AU019875 antibody; C78335 antibody; decarboxylating antibody; OTTMUSP00000011754 antibody; Pgd antibody; Phosphogluconate dehydrogenase antibody; RP23-249G3.4 antibody
Species Reactivity
Human
Immunogen
A synthesized peptide from human PGD protein
Immunogen Species
Homo sapiens (Human)
Conjugate
Non-conjugated
Clonality
Monoclonal
Isotype
Rabbit IgG
Clone No.
9G9
Purification Method
Affinity-chromatography
Concentration
It differs from different batches. Please contact us to confirm it.
Buffer
Rabbit IgG in 10mM phosphate buffered saline , pH 7.4, 150mM sodium chloride, 0.05% BSA, 0.02% sodium azide and 50% glycerol.
Form
Liquid
Tested Applications
ELISA, IHC, FC
Recommended Dilution
Application Recommended Dilution
IHC 1:50-1:200
FC 1:50-1:200
Troubleshooting and FAQs
Storage
Upon receipt, store at -20°C or -80°C. Avoid repeated freeze.
Lead Time
Basically, we can dispatch the products out in 1-3 working days after receiving your orders. Delivery time maybe differs from different purchasing way or location, please kindly consult your local distributors for specific delivery time.
Usage
For Research Use Only. Not for use in diagnostic or therapeutic procedures.

Customer Reviews and Q&A

 Customer Reviews

There are currently no reviews for this product.

Submit a Review here

Target Background

Function
Catalyzes the oxidative decarboxylation of 6-phosphogluconate to ribulose 5-phosphate and CO(2), with concomitant reduction of NADP to NADPH.
Gene References into Functions
  1. identified that 6-phosphogluconate dehydrogenase (6PGD) is critically involved in the development of anaplastic thyroid cancer (ATC) resistance to doxorubicin. 6PGD inhibition disrupts metabolic reprogramming in doxorubicin-resistant ATC cells. PMID: 29534964
  2. Studies indicate link between the 6-phosphogluconate dehydrogenase, oxidative pentose phosphate pathway (PPP) and lipogenesis through Ru-5-P-dependent inhibition of serine/threonine protein kinase LKB1-AMPK signalling. PMID: 26479318
  3. copy number gain of the PGD gene was consistently identified in cervical cancers but not in the normal tissues PMID: 24125036
  4. Results show that 6PGD activity is upregulated with increased lysine acetylation in primary leukemia cells from human patients, providing mechanistic insights into 6PGD upregulation in cancer cells. PMID: 25042803
  5. Expression of 6PGD positively correlates with advancing stage of lung carcinoma. Knockdown of 6PGD by shRNA potently inhibits c-Met tyrosine phosphorylation. PMID: 23973484
  6. Glycolytic cancer cells lacking 6-phosphogluconate dehydrogenase metabolize glucose to induce senescence PMID: 22677172
  7. Data suggest that the affinity of Nox2 for NADPH is increased in the presence of 6PGDH on cell stimulation. PMID: 21444627
  8. Hsa-miR-132 and -212 were negatively correlated with PGD in the prefrontal cortex of individuals affected with schizophrenia and bipolar disorders. PMID: 20675101

Show More

Hide All

Subcellular Location
Cytoplasm.
Protein Families
6-phosphogluconate dehydrogenase family
Database Links

HGNC: 8891

OMIM: 172200

KEGG: hsa:5226

STRING: 9606.ENSP00000270776

UniGene: Hs.464071

icon of phone
Call us
301-363-4651 (Available 9 a.m. to 5 p.m. CST from Monday to Friday)
icon of address
Address
7505 Fannin St., Ste 610, Room 7 (CUBIO Innovation Center), Houston, TX 77054, USA
icon of social media
Join us with

Subscribe newsletter

Leave a message

* To protect against spam, please pass the CAPTCHA test below.
CAPTCHA verification
© 2007-2025 CUSABIO TECHNOLOGY LLC All rights reserved. 鄂ICP备15011166号-1
×
Place an order now

I. Product details

*
*
*
*

II. Contact details

*
*

III. Ship To

*
*
*
*
*
*
*

IV. Bill To

*
*
*
*
*
*
*
*