SFRP1 Recombinant Monoclonal Antibody

Code CSB-RA112927A0HU
Size US$210
Order now
Image
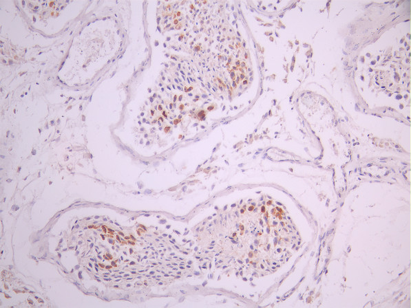
  • IHC image of CSB-RA112927A0HU diluted at 1:100 and staining in paraffin-embedded human testis tissue performed on a Leica BondTM system. After dewaxing and hydration, antigen retrieval was mediated by high pressure in a citrate buffer (pH 6.0). Section was blocked with 10% normal goat serum 30min at RT. Then primary antibody (1% BSA) was incubated at 4°C overnight. The primary is detected by a Goat anti-rabbit polymer IgG labeled by HRP and visualized using 0.05% DAB.
Have Questions? Leave a Message or Start an on-line Chat

Product Details

Uniprot No.
Target Names
Alternative Names
Frizzled related protein 1 antibody; FRP 1 antibody; FRP antibody; FRP-1 antibody; FRP1 antibody; FrzA antibody; SARP 2 antibody; SARP-2 antibody; SARP2 antibody; Secreted apoptosis related protein 2 antibody; Secreted apoptosis-related protein 2 antibody; Secreted frizzled related protein 1 antibody; Secreted frizzled related protein antibody; Secreted frizzled-related protein 1 antibody; SFRP 1 antibody; sFRP-1 antibody; SFRP1 antibody; SFRP1_HUMAN antibody
Species Reactivity
Human
Immunogen
A synthesized peptide from human SFRP1 protein
Immunogen Species
Homo sapiens (Human)
Conjugate
Non-conjugated
Clonality
Monoclonal
Isotype
Rabbit IgG
Clone No.
11G6
Purification Method
Affinity-chromatography
Concentration
It differs from different batches. Please contact us to confirm it.
Buffer
Rabbit IgG in 10mM phosphate buffered saline , pH 7.4, 150mM sodium chloride, 0.05% BSA, 0.02% sodium azide and 50% glycerol.
Form
Liquid
Tested Applications
ELISA, IHC
Recommended Dilution
Application Recommended Dilution
IHC 1:50-1:200
Troubleshooting and FAQs
Storage
Upon receipt, store at -20°C or -80°C. Avoid repeated freeze.
Lead Time
Basically, we can dispatch the products out in 1-3 working days after receiving your orders. Delivery time maybe differs from different purchasing way or location, please kindly consult your local distributors for specific delivery time.
Usage
For Research Use Only. Not for use in diagnostic or therapeutic procedures.

Customer Reviews and Q&A

 Customer Reviews

There are currently no reviews for this product.

Submit a Review here

Target Background

Function
Soluble frizzled-related proteins (sFRPS) function as modulators of Wnt signaling through direct interaction with Wnts. They have a role in regulating cell growth and differentiation in specific cell types. SFRP1 decreases intracellular beta-catenin levels. Has antiproliferative effects on vascular cells, in vitro and in vivo, and can induce, in vivo, an angiogenic response. In vascular cell cycle, delays the G1 phase and entry into the S phase. In kidney development, inhibits tubule formation and bud growth in metanephroi. Inhibits WNT1/WNT4-mediated TCF-dependent transcription.
Gene References into Functions
  1. active involvement in placental development and important role in pathology of pregnancy PMID: 28738713
  2. SFRP1 gene was epigenetically silenced in glioblastomas when compared to low astrocytoma grades, which may suggest that the lack of its protein is involved in astrocytoma progression. PMID: 30394013
  3. It has been found that miR-27a-3p modulated the Wnt/beta-catenin signaling pathway to promote epithelial-mesenchymal transition in oral squamous carcinoma stem cells by down-regulating SFRP1. PMID: 28425477
  4. sFRP1 overexpression in gastric cancer cells leads to increased cell proliferation and angiogenesis. PMID: 28169332
  5. Study determined that SFRP1 is downregulated during tumor formation probably by DNA methylation, and associates consistently with tumor suppressive functions. PMID: 28218291
  6. co-transfection of sFRP1 siRNA with miR- 191 inhibitor sequence, it was found that the Wnt/beta-catenin signaling pathway was reactivated and the colony formation ability of RBE cells was restored. PMID: 30235453
  7. WNT5b rs3803164, and SFRP1 rs3242 were significantly associated with lumbar spine BMD. PMID: 30055306
  8. lost SFRP1 expression-induced Wnt/beta-catenin signaling due to the hypermethylation of the SFRP1 promoter could associate with keloid development PMID: 29455276
  9. miR-1301-3p promoted the expansion of prostate cancer stem cells by inhibiting GSK3beta and SFRP1, and activating the Wnt pathway. PMID: 29358129
  10. Methylation level of the SFRP1 promoter region is increased in patients with RCC compared to normal controls and might be involved in the occurrence and development of RCC. PMID: 29731501
  11. preliminary data show loss of SFRP1 protein expression caused by the SFRP1 promoter hypermethylation in a subset of high-grade serous ovarian carcinomas PMID: 29146058
  12. Loss of SFRP1 likely contributes to tumor progression by altering the expression of a critical transcription factor in both the epithelium and the immune system. PMID: 28687085
  13. Authors found that downregulation of HP1alpha can decrease H3K9me3 enrichment and DNA methylation rate of secreted frizzled-related protein 1 (SFRP1) promoter, resulting in restoring the expression of SFRP1. PMID: 27385214
  14. KL and SFRP1 methylation were more predominant in nasopharyngeal tumors. PMID: 28812223
  15. Results indicate that SFRP1 rs7832767 C > T, CTNNB1 rs2293303 C > T, and WISP1 rs16893344 C > T were all strongly correlated with myocardial infarction (MI) susceptibility. PMID: 27391264
  16. miR-1254 promotes lung cancer cell proliferation by targeting the expression of SFRP1. PMID: 28605875
  17. The expression of Dicer negatively correlated with that of SFRP1 and it appeared to promote CCA cell proliferation. PMID: 28230864
  18. H2O2-induced SFRP1 gene demethylation contributes to H2O2-induced apoptosis in human U251 glioma cells. PMID: 28398872
  19. Data suggest that microRNA miR-27a may activate the Wnt/beta-catenin signaling pathway by negatively regulating SFRP1 to promote the proliferation, migration and invasion of breast cancer (BC) cells. PMID: 28099945
  20. Data indicate that microRNA miR-744 activated Wnt/beta-catenin pathway by targeting multiple negative regulators of Wnt/beta-catenin signaling, including SFRP1, GSK3beta, TLE3 and NKD1, and that NKD1 is a major functional target of miR-744. PMID: 28107193
  21. Our results indicate that DKK1 and SFRP1 may be potentially useful biomarkers for evaluating the beneficial effects of long-term exercise on physical fitness and metabolism as well as the prognosis of patients with cancer. PMID: 28178355
  22. MiR-1-3p suppresses the proliferation, invasion and migration of bladder cancer cells by up-regulating SFRP1 expression. PMID: 28268231
  23. SFRP1 mRNA expression was reduced by both resistant starch and polydextrose. Resistant starch and polydextrose did not affect SFRP1 methylation or alter the expression of 10 microRNAs predicted to target SFRP1. PMID: 28077379
  24. Taken together, our results suggest that canonical Wnt signaling and its antagonist, sFRP1, regulate proliferation of human CSCs. Furthermore, excess sFRP1 in elderly patients causes CSC aging. PMID: 28435069
  25. Genetic variants in the 3' untranslated region of sFRP1 gene is associated with risk of gastric cancer. PMID: 27739564
  26. This study suggested mechanistic relationship between miR-940 and Wnt/beta-catenin in the development and progression of pancreatic carcinoma through regulation of GSK3beta and sFRP1. PMID: 27459115
  27. In prostate cancer decreased SFRP1 expression can be due to occupancy of H3K27me3 or to promoter DNA hypermethylation. PMID: 27570179
  28. SFRP1 expression was significantly lower in cutaneous squamous cell carcinoma tissues than that in tissues of control subjects. Histopathological differentiation in CSCC negatively correlated with SFRP1 expression. PMID: 27420949
  29. miR-1303 promotes neuroblastoma (NB) proliferation by targeting GSK3beta and SFRP1, and might be a target for NB therapy. PMID: 27434867
  30. The secreted frizzled-related protein and disheveled protein family members appear to be actively involved in the pathogenesis of primary testicular germ cell tumors. PMID: 27599467
  31. Results show that SNPs rs4736958 and rs7832767 of SFRP1 gene were significantly associated with tuberculosis susceptibility and might influence the expression levels of inflammatory markers of tuberculosis patients in a Chinese Han population. PMID: 26643984
  32. Down-regulation of SFRP1 is associated with recurrence in Endometrioid Adenocarcinoma. PMID: 26397159
  33. SFRP1 downregulation may result from epigenetic silencing and is associated with worse survival in nasopharyngeal carcinoma PMID: 26276746
  34. in gliomas there was correlation of SFRP1 methylation with tumor grade and patients' survival PMID: 26337424
  35. Hepatocellular carcinoma patients with high SFRP1 expression in tumor tissue had a significantly better overall survival rate. PMID: 26851021
  36. Reduced SFRP1 expression is associated with acute myeloid leukemia. PMID: 25347432
  37. Hypermethylation of the selected markers (MAL, PRIMA1, PTGDR and SFRP1) can result in reduced gene expression and may contribute to the formation of colorectal cancer. PMID: 26482433
  38. SFRP1 is a direct target of MiR-27a in the regulation of glioma invasion and cell migration. PMID: 26164457
  39. In human mammary epithelial cells with either SFRP1 knocked down (TERT-siSFRP1) and rescued SFRP1 expression (MCF7-SFRP1), estrogen signaling is augmented. PMID: 25809273
  40. The increased placental expression of sFRP1 seen in smokers impairs fetal growth by inhibiting WNT signaling and trophoblast proliferation. PMID: 26413870
  41. miR-27a induced gene silencing contributes to bone metabolism in hFOB cells in vitro, which is partly affected by the post-transcriptional regulation of sFRP1, during osteoblast proliferation, apoptosis and differentiation. PMID: 24625818
  42. While SFRP1 re-expression generally mediated distinct patterns of transcriptionally induced or repressed genes in BT20 and SKBR3 cells, BDNF was a SFRP1-induced gene in both cell lines. PMID: 25036590
  43. sFRP1 protein displays antineoplastic activity. PMID: 25432334
  44. Knockdown of SFRP1 expression in RT112 cells resulted only in marginal effects. PMID: 25732201
  45. the DNA methylation levels of OPCML and SFRP1 could be potential biomarkers for diagnosis of CCA with high specificity, sensitivity, and accuracy, in particular for biopsy specimens PMID: 25652468
  46. Sfrp1 contributes to coordination of visual axon growth in retinal ganglion cells. PMID: 25788689
  47. study indicates that increased expression of both SFRP1 and SFRP3 may contribute to the pathogenesis of IUGR placental dysfunction, whereas the loss of these proteins may be involved in the development of human trophoblastic tumors. PMID: 25046226
  48. Polymorphisms in several genes involved in the Wnt signaling pathway were associated with hepatic fibrosis or inflammation risk in HCV-infected males. PMID: 24386373
  49. Coexpression of SFRP1 and WIF1, rather than SFRP1 or WIF1 alone, could be used, together with low TNM stage, as a prognostic predictor of favorable outcomes in CRC. PMID: 24949429
  50. Our study provided the first evidence that SNPs in CTNNB1 and SFRP1 were associated with tuberculosis risk, and genetic variants in Wnt signaling pathway might participate in genetic susceptibility to tuberculosis in Chinese Han population. PMID: 24695522

Show More

Hide All

Subcellular Location
Secreted. Note=Cell membrane or extracellular matrix-associated. Released by heparin-binding.
Protein Families
Secreted frizzled-related protein (sFRP) family
Tissue Specificity
Widely expressed. Absent from lung, liver and peripheral blood leukocytes. Highest levels in heart and fetal kidney. Also expressed in testis, ovary, fetal brain and lung, leiomyomal cells, myometrial cells and vascular smooth muscle cells. Expressed in f
Database Links

HGNC: 10776

OMIM: 604156

KEGG: hsa:6422

STRING: 9606.ENSP00000220772

UniGene: Hs.213424

icon of phone
Call us
301-363-4651 (Available 9 a.m. to 5 p.m. CST from Monday to Friday)
icon of address
Address
7505 Fannin St., Ste 610, Room 7 (CUBIO Innovation Center), Houston, TX 77054, USA
icon of social media
Join us with

Subscribe newsletter

Leave a message

* To protect against spam, please pass the CAPTCHA test below.
CAPTCHA verification
© 2007-2025 CUSABIO TECHNOLOGY LLC All rights reserved. 鄂ICP备15011166号-1
×
Place an order now

I. Product details

*
*
*
*

II. Contact details

*
*

III. Ship To

*
*
*
*
*
*
*

IV. Bill To

*
*
*
*
*
*
*
*