UIMC1 Recombinant Monoclonal Antibody

Code CSB-RA981712A0HU
Size US$210
Order now
Image
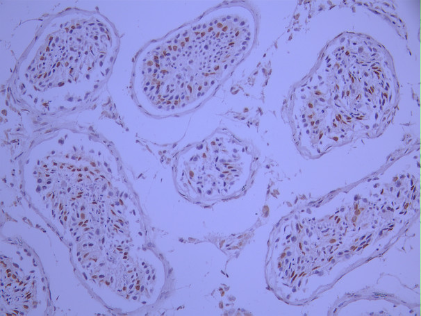
  • IHC image of CSB-RA981712A0HU diluted at 1:100 and staining in paraffin-embedded human testis tissue performed on a Leica BondTM system. After dewaxing and hydration, antigen retrieval was mediated by high pressure in a citrate buffer (pH 6.0). Section was blocked with 10% normal goat serum 30min at RT. Then primary antibody (1% BSA) was incubated at 4°C overnight. The primary is detected by a Goat anti-rabbit polymer IgG labeled by HRP and visualized using 0.05% DAB.
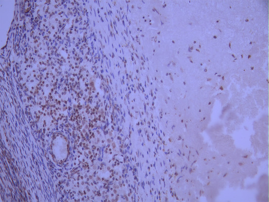
  • IHC image of CSB-RA981712A0HU diluted at 1:100 and staining in paraffin-embedded human ovarian cancer performed on a Leica BondTM system. After dewaxing and hydration, antigen retrieval was mediated by high pressure in a citrate buffer (pH 6.0). Section was blocked with 10% normal goat serum 30min at RT. Then primary antibody (1% BSA) was incubated at 4°C overnight. The primary is detected by a Goat anti-rabbit polymer IgG labeled by HRP and visualized using 0.05% DAB.
Have Questions? Leave a Message or Start an on-line Chat

Product Details

Uniprot No.
Target Names
UIMC1
Alternative Names
BRCA1-A complex subunit RAP80 antibody; Nuclear zinc finger protein RAP80 antibody; OTTHUMP00000161441 antibody; OTTHUMP00000223372 antibody; OTTHUMP00000223374 antibody; RAP80 antibody; Receptor associated protein 80 antibody; Receptor-associated protein 80 antibody; Retinoid X receptor interacting protein 110 antibody; Retinoid x receptor interacting protein antibody; Retinoid X receptor-interacting protein 110 antibody; RIP110 antibody; Rxrip110 antibody; Ubiquitin interaction motif containing 1 antibody; Ubiquitin interaction motif containing protein 1 antibody; Ubiquitin interaction motif-containing protein 1 antibody; UIMC1 antibody; UIMC1_HUMAN antibody; X2HRIP110 antibody
Species Reactivity
Human
Immunogen
A synthesized peptide from human UIMC1 protein
Immunogen Species
Homo sapiens (Human)
Conjugate
Non-conjugated
Clonality
Monoclonal
Isotype
Rabbit IgG
Clone No.
25B7
Purification Method
Affinity-chromatography
Concentration
It differs from different batches. Please contact us to confirm it.
Buffer
Rabbit IgG in 10mM phosphate buffered saline , pH 7.4, 150mM sodium chloride, 0.05% BSA, 0.02% sodium azide and 50% glycerol.
Form
Liquid
Tested Applications
ELISA, IHC
Recommended Dilution
Application Recommended Dilution
IHC 1:50-1:200
Troubleshooting and FAQs
Storage
Upon receipt, store at -20°C or -80°C. Avoid repeated freeze.
Lead Time
Basically, we can dispatch the products out in 1-3 working days after receiving your orders. Delivery time maybe differs from different purchasing way or location, please kindly consult your local distributors for specific delivery time.
Usage
For Research Use Only. Not for use in diagnostic or therapeutic procedures.

Customer Reviews and Q&A

 Customer Reviews

There are currently no reviews for this product.

Submit a Review here

Target Background

Function
Ubiquitin-binding protein. Specifically recognizes and binds 'Lys-63'-linked ubiquitin. Plays a central role in the BRCA1-A complex by specifically binding 'Lys-63'-linked ubiquitinated histones H2A and H2AX at DNA lesions sites, leading to target the BRCA1-BARD1 heterodimer to sites of DNA damage at double-strand breaks (DSBs). The BRCA1-A complex also possesses deubiquitinase activity that specifically removes 'Lys-63'-linked ubiquitin on histones H2A and H2AX. Also weakly binds monoubiquitin but with much less affinity than 'Lys-63'-linked ubiquitin. May interact with monoubiquitinated histones H2A and H2B; the relevance of such results is however unclear in vivo. Does not bind Lys-48'-linked ubiquitin. May indirectly act as a transcriptional repressor by inhibiting the interaction of NR6A1 with the corepressor NCOR1.
Gene References into Functions
  1. RAP80-BRCA1 complex foci formation is regulated by USP13.USP13 interacts with and deubiquitinates RAP80.RAP80 role in the DNA damage response. PMID: 28569838
  2. The RAP80 deficiency reduces the protein level of p32 and p32 dependent mitochondrial translating proteins such as Rieske and COX1. PMID: 28842250
  3. Low RAP80 mRNA expression correlates with sporadic high-grade serous ovarian carcinoma. PMID: 27443420
  4. RAP80 is a critical gatekeeper in impeding epithelial-mesenchymal transition-induced metastasis and malignant phenotypes of cancer as well as preserving DNA integrity. PMID: 26748910
  5. Data suggest that RAP80 SIM (SUMO interacting motif) binds SUMO-2; both specificity and affinity are enhanced through phosphorylation of canonical CK2 (casein kinase 2) site within the SIM. PMID: 26719330
  6. Impaired TIP60-mediated H4K16 acetylation accounts for the aberrant chromatin accumulation of 53BP1 and RAP80 in Fanconi anemia pathway-deficient cells. PMID: 26446986
  7. TRAIP/RNF206 is required for recruitment of RAP80 to sites of DNA damage.( PMID: 26781088
  8. A new role of FANCG in Homologous recombination repair of interstrand crosslinks through K63Ub-mediated interaction with the Rap80-BRCA1 complex. PMID: 25132264
  9. patients with low RAP80 expression received gemcitabine/cisplatin, those with intermediate/high RAP80 expression and low/intermediate BRCA1 expression received docetaxel/cisplatin PMID: 25164908
  10. Data indicate that a single point deletion (DeltaE81) in RAP80 abrogates multivalent interactions with polyubiquitin. PMID: 24627472
  11. connect ubiquitin- and SUMO-dependent DSB recognition, revealing that RNF4-synthesized hybrid SUMO-ubiquitin chains are recognized by RAP80 to promote BRCA1 recruitment and DNA repair. PMID: 23211528
  12. post-translational phosphorylation of RAP80 by the Cdk1-cyclin B(1) complex is important for RAP80 functional sensitivity to IR and G(2)/M checkpoint control. PMID: 23264621
  13. Loss of RAP80 abolishes the recruitment of the BRCA1-A complex to DNA lesions in response to DNA damage. PMID: 22792303
  14. APC/C(Cdc20) or APC/C(Cdh1) complexes regulate RAP80 stability during mitosis to the G(1) phase, and these events are critical for a novel function of RAP80 in mitotic progression. PMID: 22426463
  15. We show that RNF168, its paralog RNF169, RAD18, and the BRCA1-interacting RAP80 protein accumulate at DNA double strand break sites through the use of bipartite modules composed of ubiquitin binding domains. PMID: 22742833
  16. a model in which SUMO and Ub modification is coordinated to recruit Rap80 and BRCA1 to DNA damage sites. PMID: 22689573
  17. MDC1 is required for the recruitment of RAP80 to DNA double-strand breaks. PMID: 21857162
  18. The interaction between MDC1 and RAP80 requires the tandem BRCT domain of MDC1 and the ubiquitin-interacting motifs of RAP80 PMID: 21622030
  19. a model in which the BRCA1-RAP80 complex limits nuclease accessibility to DSBs, thus preventing excessive end resection and potentially deleterious homology-directed DSB repair mechanisms that can impair genome integrity. PMID: 21335604
  20. RAP80/BRCA1 complexes suppress excessive double-strand break end processing, HR-type double-strand break repair, and overt chromosomal instability PMID: 21406551
  21. a novel nuclear protein that interacts with the retinoid-related testis-associated receptor PMID: 12080054
  22. Abraxas and RAP80 were required for DNA damage resistance, G(2)-M checkpoint control, and DNA repair. PMID: 17525340
  23. data support a model wherein ubiquitin chains at DNA damage sites are used as a targeting mechanism by specific BRCA1 complexes; RAP80 may represent a new class of DNA repair proteins that uses tandem UIM domains as part of its recruitment to DSBs PMID: 17525341
  24. identification of receptor-associated protein 80 (RAP80) as a BRCA1-interacting protein in humans PMID: 17525342
  25. RAP80/UIMC1, the protein highly expressed in testis, was identified as a new cancer-associated antigen. PMID: 17562356
  26. the ubiquitin-interacting motif containing protein RAP80 interacts with BRCA1 and functions in DNA damage repair response PMID: 17621610
  27. RAP80 interacts with the SUMO-conjugating enzyme UBC9 and is a novel target for sumoylation PMID: 17698038
  28. the human Ubc13/Rnf8 ubiquitin ligases control foci formation of the Rap80/Abraxas/Brca1/Brcc36 complex in response to DNA damage PMID: 18077395
  29. Mutational analysis in 168 multiple-case breast/ovarian cancer families, negative for mutations in BRCA1 or BRCA2, suggests that RAP80 does not play an important role as a high penetrance breast cancer susceptibility gene. PMID: 18270812
  30. Truncating mutations of the RAP80 gene do not seem to be a cause of familial breast cancer. A novel RAP80 haplotype or rare missense mutations (p.Ala342Thr, p.Met353Thr and p.Tyr575Asp) may be associated with a modest increased risk of breast cancer. PMID: 18306035
  31. UV irradiation induces translocation of RAP80 to DNA damage foci that colocalize with gamma-H2AX PMID: 18519686
  32. Depletion of RAP80 or RNF8 impairs the translocation of BRCA1 to DNA damage sites and results in defective cell cycle checkpoint control and DSB repair PMID: 18550271
  33. it seems unlikely that moderate to highly penetrant alleles of either RAP80 or Abraxas, confer a significantly high relative risk of breast cancer. PMID: 18695986
  34. MERIT40 represents a novel factor that links BRCA1-Rap80 complex integrity, DSB recognition, and ubiquitin chain hydrolytic activities to the DNA damage response. PMID: 19261746
  35. critical constitutional mutations in RAP80 abrogate DNA damage responses (DDR) function and may be involved in genetic predisposition to cancer. PMID: 19305427
  36. findings show how the sequence between the Rap80 ubiquitin interacting motifs positions the domains for efficient avid polyubiquitin binding across a single K63 linkage, thus defining selectivity PMID: 19328070
  37. RAP80 was a significant factor for survival in patients treated according to BRCA1 levels PMID: 19415121
  38. Data show that it can function in an autoregulatory loop consisting of RAP80, HDM2, and the p53 master regulatory network, implpying an important role for this loop in genome stability and oncogenesis. PMID: 19433585
  39. Observational study and genome-wide association study of gene-disease association. (HuGE Navigator) PMID: 19448621
  40. Observational study and meta-analysis of gene-disease association. (HuGE Navigator) PMID: 19064572
  41. Observational study of gene-disease association. (HuGE Navigator) PMID: 18270812

Show More

Hide All

Subcellular Location
Nucleus. Note=Localizes at sites of DNA damage at double-strand breaks (DSBs).
Protein Families
RAP80 family
Tissue Specificity
Expressed in testis, ovary, thymus and heart. Expressed in germ cells of the testis.
Database Links

HGNC: 30298

OMIM: 609433

KEGG: hsa:51720

STRING: 9606.ENSP00000366434

UniGene: Hs.232721

icon of phone
Call us
301-363-4651 (Available 9 a.m. to 5 p.m. CST from Monday to Friday)
icon of address
Address
7505 Fannin St., Ste 610, Room 7 (CUBIO Innovation Center), Houston, TX 77054, USA
icon of social media
Join us with

Subscribe newsletter

Leave a message

* To protect against spam, please pass the CAPTCHA test below.
CAPTCHA verification
© 2007-2025 CUSABIO TECHNOLOGY LLC All rights reserved. 鄂ICP备15011166号-1
×
Place an order now

I. Product details

*
*
*
*

II. Contact details

*
*

III. Ship To

*
*
*
*
*
*
*

IV. Bill To

*
*
*
*
*
*
*
*