AP4B1 Antibody

Code CSB-PA897585LA01HU
Size US$166
Order now
Image
  • Western Blot
    Positive WB detected in: Hela whole cell lysate(30µg), MCF-7 whole cell lysate(30µg), MDA-MB-231 whole cell lysate(30µg), 293 whole cell lysate(30µg), HepG2 whole cell lysate(30µg), U251 whole cell lysate(30µg), LO2 whole cell lysate(30µg),786-O whole cell lysate(30µg),Mouse Liver tissue lysate(30µg)
    All lanes: AP4B1 antibody at 1:1000
    Secondary
    Goat polyclonal to rabbit IgG at 1/40000 dilution
    Predicted band size: 84,35 kDa
    Observed band size: 84kDa
    Exposure time: 120s
  • IHC image of CSB-PA897585LA01HU diluted at 1:100 and staining in paraffin-embedded human testis tissue performed on a Leica BondTM system. After dewaxing and hydration, antigen retrieval was mediated by high pressure in a citrate buffer (pH 6.0). Section was blocked with 10% normal goat serum 30min at RT. Then primary antibody (1% BSA) was incubated at 4°C overnight. The primary is detected by a Goat anti-rabbit polymer IgG labeled by HRP and visualized using 0.05% DAB. Secondary antibody only control: uses 1% BSA instead of primary antibody
  • IHC image of CSB-PA897585LA01HU diluted at 1:50 and staining in paraffin-embedded human adrenal gland tissue performed on a Leica BondTM system. After dewaxing and hydration, antigen retrieval was mediated by high pressure in a citrate buffer (pH 6.0). Section was blocked with 10% normal goat serum 30min at RT. Then primary antibody (1% BSA) was incubated at 4°C overnight. The primary is detected by a Goat anti-rabbit polymer IgG labeled by HRP and visualized using 0.05% DAB. Secondary antibody only control: uses 1% BSA instead of primary antibody
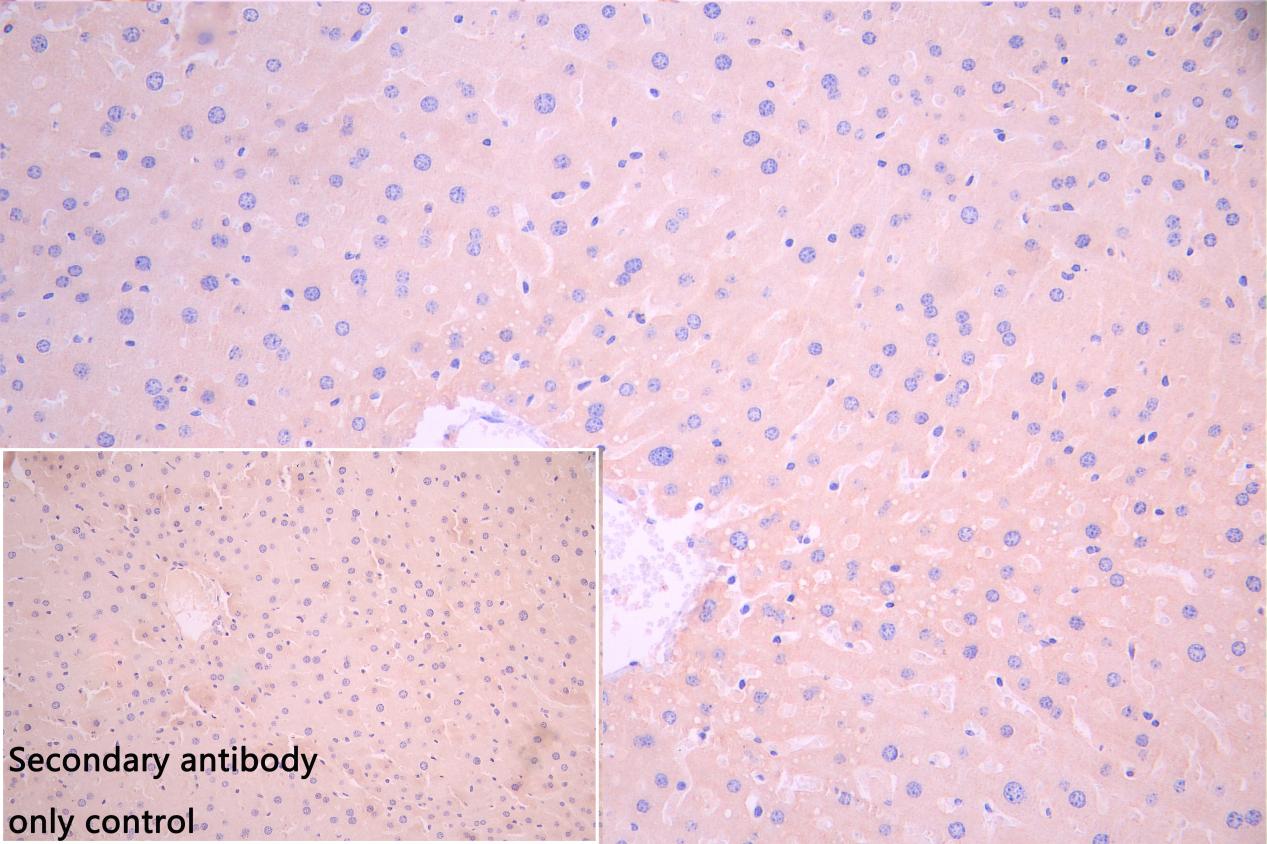
  • IHC image of CSB-PA897585LA01HU diluted at 1:100 and staining in paraffin-embedded mouse liver tissue performed on a Leica BondTM system. After dewaxing and hydration, antigen retrieval was mediated by high pressure in a citrate buffer (pH 6.0). Section was blocked with 10% normal goat serum 30min at RT. Then primary antibody (1% BSA) was incubated at 4°C overnight. The primary is detected by a Goat anti-rabbit polymer IgG labeled by HRP and visualized using 0.05% DAB. Secondary antibody only control: uses 1% BSA instead of primary antibody
Promotion Free Antibody trial simple
Have Questions? Leave a Message or Start an on-line Chat

Product Details

Full Product Name
Rabbit anti-Homo sapiens (Human) AP4B1 Polyclonal antibody
Uniprot No.
Target Names
AP4B1
Alternative Names
AP4B1AP-4 complex subunit beta-1 antibody; AP-4 adaptor complex subunit beta antibody; Adaptor-related protein complex 4 subunit beta-1 antibody; Beta subunit of AP-4 antibody; Beta4-adaptin antibody
Raised in
Rabbit
Species Reactivity
Human, Mouse
Immunogen
Synthesized peptide derived from human AP4B1
Immunogen Species
Homo sapiens (Human)
Clonality
Polyclonal
Isotype
IgG
Purification Method
Antigen affinity purification
Concentration
It differs from different batches. Please contact us to confirm it.
Buffer
Liquid in PBS containing 50% glycerol, 0.5% BSA and 0.02% sodium azide
Form
Liquid
Tested Applications
ELISA, WB, IHC
Recommended Dilution
Application Recommended Dilution
WB 1:500-1:2000
IHC 1:20-1:200
Troubleshooting and FAQs
Storage
Upon receipt, store at -20°C or -80°C. Avoid repeated freeze.
Lead Time
Basically, we can dispatch the products out in 1-3 working days after receiving your orders. Delivery time maybe differs from different purchasing way or location, please kindly consult your local distributors for specific delivery time.
Usage
For Research Use Only. Not for use in diagnostic or therapeutic procedures.

Customer Reviews and Q&A

 Customer Reviews

There are currently no reviews for this product.

Submit a Review here

Target Background

Function
Component of the adaptor protein complex 4 (AP-4). Adaptor protein complexes are vesicle coat components involved both in vesicle formation and cargo selection. They control the vesicular transport of proteins in different trafficking pathways. AP-4 forms a non clathrin-associated coat on vesicles departing the trans-Golgi network (TGN) and may be involved in the targeting of proteins from the trans-Golgi network (TGN) to the endosomal-lysosomal system. It is also involved in protein sorting to the basolateral membrane in epithelial cells and the proper asymmetric localization of somatodendritic proteins in neurons. AP-4 is involved in the recognition and binding of tyrosine-based sorting signals found in the cytoplasmic part of cargos, but may also recognize other types of sorting signal.
Gene References into Functions
  1. Novel homozygous 2-bp deletion in AP4B1 was found in siblings with intellectual disability and spastic tetraplegia. PMID: 24781758
  2. Data suggest that AP4B1 mutations cause spastic paraplegia type 47 and should be considered in early onset spastic paraplegia with intellectual disability. PMID: 22290197
Involvement in disease
Spastic paraplegia 47, autosomal recessive (SPG47)
Subcellular Location
Golgi apparatus, trans-Golgi network membrane; Peripheral membrane protein.
Protein Families
Adaptor complexes large subunit family
Tissue Specificity
Widely expressed.
Database Links

HGNC: 572

OMIM: 607245

KEGG: hsa:10717

STRING: 9606.ENSP00000256658

UniGene: Hs.515048

icon of phone
Call us
301-363-4651 (Available 9 a.m. to 5 p.m. CST from Monday to Friday)
icon of address
Address
7505 Fannin St., Ste 610, Room 7 (CUBIO Innovation Center), Houston, TX 77054, USA
icon of social media
Join us with

Subscribe newsletter

Leave a message

* To protect against spam, please pass the CAPTCHA test below.
CAPTCHA verification
© 2007-2026 CUSABIO TECHNOLOGY LLC All rights reserved. 鄂ICP备15011166号-1
Place an order now

I. Product details

*
*
*
*

II. Contact details

*
*

III. Ship To

*
*
*
*
*
*
*

IV. Bill To

*
*
*
*
*
*
*
*