CRISP3 Antibody

Code CSB-PA951162
Size US$166
Order now
Image
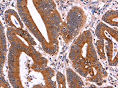
  • The image on the left is immunohistochemistry of paraffin-embedded Human colon cancer tissue using CSB-PA951162(CRISP3 Antibody) at dilution 1/40, on the right is treated with fusion protein. (Original magnification: ×200)
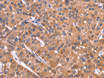
  • The image on the left is immunohistochemistry of paraffin-embedded Human liver cancer tissue using CSB-PA951162(CRISP3 Antibody) at dilution 1/40, on the right is treated with fusion protein. (Original magnification: ×200)
Have Questions? Leave a Message or Start an on-line Chat

Product Details

Uniprot No.
Target Names
CRISP3
Alternative Names
Aeg 2 antibody; Aeg2 antibody; CRIS3_HUMAN antibody; CRISP 3 antibody; CRISP-3 antibody; Crisp3 antibody; CRS 3 antibody; CRS3 antibody; Cysteine rich secretory protein 3 antibody; Cysteine-rich secretory protein 3 antibody; dJ442L6.3 antibody; MGC126588 antibody; OTTHUMP00000016590 antibody; OTTHUMP00000039911 antibody; SGP 28 antibody; SGP28 antibody; SGP28 protein antibody; Specific granule protein (28 kDa) antibody; Specific granule protein of 28 kDa antibody
Raised in
Rabbit
Species Reactivity
Human
Immunogen
Fusion protein of Human CRISP3
Immunogen Species
Homo sapiens (Human)
Conjugate
Non-conjugated
Isotype
IgG
Purification Method
Antigen affinity purification
Concentration
It differs from different batches. Please contact us to confirm it.
Buffer
-20°C, pH7.4 PBS, 0.05% NaN3, 40% Glycerol
Form
Liquid
Tested Applications
ELISA,IHC
Recommended Dilution
Application Recommended Dilution
ELISA 1:2000-1:5000
IHC 1:50-1:200
Troubleshooting and FAQs
Storage
Upon receipt, store at -20°C or -80°C. Avoid repeated freeze.
Lead Time
Basically, we can dispatch the products out in 1-3 working days after receiving your orders. Delivery time maybe differs from different purchasing way or location, please kindly consult your local distributors for specific delivery time.
Usage
For Research Use Only. Not for use in diagnostic or therapeutic procedures.

Customer Reviews and Q&A

 Customer Reviews

There are currently no reviews for this product.

Submit a Review here

Target Background

Gene References into Functions
  1. results suggest that overexpression of CRISP-3 in prostate tumor may maintain higher PSA expression and lower ANXA1 expression PMID: 26369530
  2. These data suggest roles for epithelial and neutrophil-derived CRISP3 in postmenstrual endometrial repair and regeneration PMID: 25715794
  3. up-regulation of the mRNA encoding cysteine-rich secretory protein 3 (CRISP3), a glycoprotein with unknown function that is secreted from multiple exocrine glands, was correlated with HCV resistance. PMID: 24978310
  4. Strong CRISP3 expression is associated with unfavorable tumor phenotype and early recurrence in prostate cancers PMID: 23196798
  5. terminal beta-strands of PSP94 contact the first alpha-helix and the hinge region of CRISP-3 PMID: 23375721
  6. MSMB and CRISP3 were widely distributed in ovaries and in ovarian tumors; the expression of MSMB fits well with a tumor-suppressor function in ovarian carcinogenesis. PMID: 22993349
  7. up-regulation of CRISP3 is associated with prostate carcinomas with the TMPRSS2-ERG fusion gene. PMID: 21814574
  8. We found no correlation between CRISP3 expression and biochemical recurrence. PMID: 21240253
  9. Expression levels of AR and CRISP3 were not affected by short-term ADT but were high in castration-resistant prostate cancer (CRPC) and metastases. PMID: 20680031
  10. Either PSP94 or CRISP-3 alone can induce growth inhibition in prostate cancer cells in a cell line specific manner. PMID: 20676114
  11. Additional transcription changes likely associated with Th2-like eosinophilic inflammation were prominent and included decreased CRISP2&3. PMID: 20625511
  12. Complex binding of CRISP proteins by A1BG and other proteins may interfere with the detection and function of these proteins. PMID: 20116414
  13. The presence of CRISP-3 in peroxidase-negative granules of neutrophils, in granules of eosinophils, and in exocrine secretions indicates a role in the innate host defense. PMID: 12223513
  14. in situ hybridization experiments indicated that CRISP-3 mRNA is epithelial-specific and is up-regulated in prostate adenocarcinoma compared with benign prostate tissue; a potential biomarker for prostate cancer PMID: 12433721
  15. high levels of CRISP-3 in acinar cells dedifferentiating into small proliferating ductal cells in chronic pancreatitis suggests a role of this molecule in the pathophysiology of chronic pancreatitis PMID: 12647793
  16. alpha-1-B glycoprotein-CRISP-3 complex displays a similar function in protecting the circulation from a potentially harmful effect of free CRISP-3 PMID: 15461460
  17. Human CRISP-3 is a quantitatively minor seminal plasma protein not associated with prostasomes. CRISP-3 was found in secretory epithelium throughout the male genital tract, with particularly high expression in cauda epididymis and ampulla vas deferens. PMID: 15867000
  18. Structural similarity with an MSP-binding protein from blood plasma suggests that CRISP-3 binds MSP through its aminoterminal SCP-domain. PMID: 15950934
  19. Strong immunostaining for CRISP-3 is common in high-grade prostatic-intraepithelial-neoplasia and preserved in prostatic csncer. PMID: 16388501
  20. Predictor of recurrence after radical prostatectomy for localized prostate cancer. PMID: 17634540
  21. CRISP-3 pathology occurred in acini remote from lymphocyte foci and may represent some systemic effect in Sjogren Syndrome. PMID: 17665393
  22. A tentative structure for the hMSP-CRISP-3 complex using the known crystal structure of triflin as a model of CRISP-3 was presented. PMID: 19026612
  23. Results suggest that absence of a local reduction in expression of CRISP-3 in decidualized endometrium of women with EP may be due to reduced exposure to hCG due to the ectopic location of the trophoblast. PMID: 19282327

Show More

Hide All

Subcellular Location
Secreted. Note=In neutrophils, localized in specific granules.
Protein Families
CRISP family
Tissue Specificity
Salivary gland, pancreas and prostate > epididymis, ovary, thymus and colon.
Database Links

HGNC: 16904

KEGG: hsa:10321

STRING: 9606.ENSP00000389026

UniGene: Hs.404466

icon of phone
Call us
301-363-4651 (Available 9 a.m. to 5 p.m. CST from Monday to Friday)
icon of address
Address
7505 Fannin St., Ste 610, Room 7 (CUBIO Innovation Center), Houston, TX 77054, USA
icon of social media
Join us with

Subscribe newsletter

Leave a message

* To protect against spam, please pass the CAPTCHA test below.
CAPTCHA verification
© 2007-2025 CUSABIO TECHNOLOGY LLC All rights reserved. 鄂ICP备15011166号-1
×
Place an order now

I. Product details

*
*
*
*

II. Contact details

*
*

III. Ship To

*
*
*
*
*
*
*

IV. Bill To

*
*
*
*
*
*
*
*