CSMD3 Antibody

Code CSB-PA800102LA01HU
Size US$166
Order now
Image
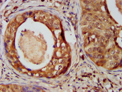
  • IHC image of CSB-PA800102LA01HU diluted at 1:400 and staining in paraffin-embedded human cervical cancer performed on a Leica BondTM system. After dewaxing and hydration, antigen retrieval was mediated by high pressure in a citrate buffer (pH 6.0). Section was blocked with 10% normal goat serum 30min at RT. Then primary antibody (1% BSA) was incubated at 4°C overnight. The primary is detected by a biotinylated secondary antibody and visualized using an HRP conjugated SP system.

  • Immunofluorescence staining of HepG2 cells with CSB-PA800102LA01HU at 1: 133, counter-stained with DAPI. The cells were fixed in 4% formaldehyde, permeabilized tissue using 0.2% Triton X-100 and blocked in 10% normal Goat Serum. The cells were then incubated with the antibody overnight at 4°C.The secondary antibody was Alexa Fluor 488-congugated AffiniPure Goat Anti-Rabbit IgG(H+L) .

Promotion Free Antibody trial simple
Have Questions? Leave a Message or Start an on-line Chat

Product Details

Full Product Name
Rabbit anti-Homo sapiens (Human) CSMD3 Polyclonal antibody
Uniprot No.
Target Names
Alternative Names
CSMD3 antibody; KIAA1894CUB and sushi domain-containing protein 3 antibody; CUB and sushi multiple domains protein 3 antibody
Raised in
Rabbit
Species Reactivity
Human
Immunogen
Recombinant Human CUB and sushi domain-containing protein 3 protein (233-380AA)
Immunogen Species
Homo sapiens (Human)
Conjugate
Non-conjugated

The CSMD3 Antibody (Product code: CSB-PA800102LA01HU) is Non-conjugated. For CSMD3 Antibody with conjugates, please check the following table.

Available Conjugates
Conjugate Product Code Product Name Application
HRP CSB-PA800102LB01HU CSMD3 Antibody, HRP conjugated ELISA
FITC CSB-PA800102LC01HU CSMD3 Antibody, FITC conjugated
Biotin CSB-PA800102LD01HU CSMD3 Antibody, Biotin conjugated ELISA
Clonality
Polyclonal
Isotype
IgG
Purification Method
>95%, Protein G purified
Concentration
It differs from different batches. Please contact us to confirm it.
Buffer
Preservative: 0.03% Proclin 300
Constituents: 50% Glycerol, 0.01M PBS, pH 7.4
Form
Liquid
Tested Applications
ELISA, IHC, IF
Recommended Dilution
Application Recommended Dilution
IHC 1:200-1:500
IF 1:50-1:200
Troubleshooting and FAQs
Storage
Upon receipt, store at -20°C or -80°C. Avoid repeated freeze.
Lead Time
Basically, we can dispatch the products out in 1-3 working days after receiving your orders. Delivery time maybe differs from different purchasing way or location, please kindly consult your local distributors for specific delivery time.
Usage
For Research Use Only. Not for use in diagnostic or therapeutic procedures.

Customer Reviews and Q&A

 Customer Reviews

There are currently no reviews for this product.

Submit a Review here

Target Background

Function
Involved in dendrite development.
Gene References into Functions
  1. Nonsynonymous variants of CSMD3 is associated with familial colorectal cancer. PMID: 21351276
  2. CSMD3 encodes a protein with CUB and sushi multiple domains and is a candidate gene for benign adult familial myoclonic epilepsy on human chromosome 8q23.3-q24.1 PMID: 12943675
  3. Breakpoints on chromosomes 8 in both patients do not interrupt any known gene but both map in a region containing the CSMD3 gene, which thereby can be considered as a candidate for autistic spectrum disorders PMID: 18270536
  4. Single-nucleotide polymorphisms in CSMD3 is associated with prostate cancer risk in hispanic men. PMID: 19528667
  5. CSMD3 is deleted in a subject with combined tricho-rhino-phalangeal syndrome II with mental retardation and growth hormone deficiency. PMID: 15523607
  6. CSMD3 protein domain structure and the sequence of the cytoplasmic tail are highly conserved between mammals and fish. PMID: 12906867

Show More

Hide All

Subcellular Location
Cell membrane; Multi-pass membrane protein.
Protein Families
CSMD family
Tissue Specificity
Weakly expressed in most tissues, except in brain. Expressed at intermediate level in brain, including cerebellum, substantia nigra, thalamus, spinal cord, hippocampus and fetal brain. Also expressed in testis.
Database Links

HGNC: 19291

OMIM: 608399

KEGG: hsa:114788

STRING: 9606.ENSP00000297405

UniGene: Hs.91381

icon of phone
Call us
301-363-4651 (Available 9 a.m. to 5 p.m. CST from Monday to Friday)
icon of address
Address
7505 Fannin St., Ste 610, Room 7 (CUBIO Innovation Center), Houston, TX 77054, USA
icon of social media
Join us with

Subscribe newsletter

Leave a message

* To protect against spam, please pass the CAPTCHA test below.
CAPTCHA verification
© 2007-2025 CUSABIO TECHNOLOGY LLC All rights reserved. 鄂ICP备15011166号-1
×
Place an order now

I. Product details

*
*
*
*

II. Contact details

*
*

III. Ship To

*
*
*
*
*
*
*

IV. Bill To

*
*
*
*
*
*
*
*