CYB5A Antibody

Code CSB-PA232766
Size US$166
Order now
Image
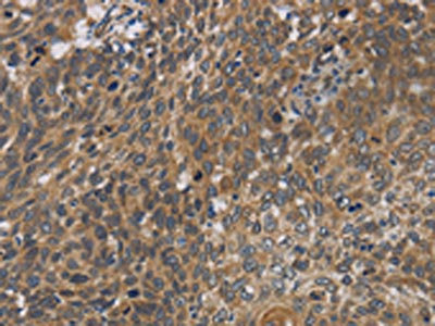
  • The image on the left is immunohistochemistry of paraffin-embedded Human thyroid cancer tissue using CSB-PA232766(CYB5A Antibody) at dilution 1/40, on the right is treated with fusion protein. (Original magnification: ×200)
  • The image on the left is immunohistochemistry of paraffin-embedded Human cervical cancer tissue using CSB-PA232766(CYB5A Antibody) at dilution 1/40, on the right is treated with fusion protein. (Original magnification: ×200)
  • Gel: 10%SDS-PAGE, Lysate: 40 μg, Lane 1-3: Human kidney cancer tissue, mouse liver tissue, human bladder carcinoma tissue, Primary antibody: CSB-PA232766(CYB5A Antibody) at dilution 1/300, Secondary antibody: Goat anti rabbit IgG at 1/8000 dilution, Exposure time: 1 minute
Have Questions? Leave a Message or Start an on-line Chat

Product Details

Uniprot No.
Target Names
CYB5A
Alternative Names
CYB5A; CYB5; Cytochrome b5; Microsomal cytochrome b5 type A; MCB5
Raised in
Rabbit
Species Reactivity
Human,Mouse,Rat
Immunogen
Fusion protein of Human CYB5A
Immunogen Species
Homo sapiens (Human)
Conjugate
Non-conjugated
Isotype
IgG
Purification Method
Antigen affinity purification
Concentration
It differs from different batches. Please contact us to confirm it.
Buffer
-20°C, pH7.4 PBS, 0.05% NaN3, 40% Glycerol
Form
Liquid
Tested Applications
ELISA,WB,IHC
Recommended Dilution
Application Recommended Dilution
ELISA 1:1000-1:2000
WB 1:200-1:1000
IHC 1:50-1:200
Troubleshooting and FAQs
Storage
Upon receipt, store at -20°C or -80°C. Avoid repeated freeze.
Lead Time
Basically, we can dispatch the products out in 1-3 working days after receiving your orders. Delivery time maybe differs from different purchasing way or location, please kindly consult your local distributors for specific delivery time.
Usage
For Research Use Only. Not for use in diagnostic or therapeutic procedures.

Customer Reviews and Q&A

 Customer Reviews

There are currently no reviews for this product.

Submit a Review here

Target Background

Function
Cytochrome b5 is a membrane-bound hemoprotein functioning as an electron carrier for several membrane-bound oxygenases.
Gene References into Functions
  1. A homodimer model can resolve the conundrum as to how cytochrome P450 oxidoreductase and cytochrome b5 compete for the same binding site on cytochrome P450c17. (Review) PMID: 28000554
  2. Data suggest CYP17A1, with electron donor NADPH-P450 reductase, is inherently distributive enzyme but that some processivity is present; some 17alpha-hydroxy pregnenolone formed does not dissociate from CYP17A1 before conversion to dehydroepiandrosterone; CYB5A does not enhance reaction by decreasing k(off) of ligands of CYP17A1. (CYP17A1 = cytochrome P450, family 17, subfamily A, polypeptide 1; CYB5A = cytochrome b5) PMID: 28684414
  3. Data suggest that cytochrome b5 (CYB5) and cytochrome b5 reductase 3 (CYB5R3) can reduce human cytoglobin (CYGB) and zebrafish cytoglobins at rates up to 250-fold higher than those reported for the known physiological substrates, hemoglobin and myoglobin; the three proteins (CYB5+CYB5R3+CYGB) appear to constitute a metabolon involved in generation of nitric oxide. PMID: 28671819
  4. Thus, although Mn-b5 binds to CYP17A1, it is unable to enhance the lyase reaction, strongly suggesting that cyt b5 has a redox effector role in enhancement of the CYP17A1 mediated lyase reaction necessary for androgen synthesis. PMID: 27297105
  5. This study constructed a model of the membrane-bound full-length human P450 1A2-cyt b5 complex. The model was assembled from several parts using a multiscale modeling approach covering all-atom and coarse-grained molecular dynamics (MD). PMID: 26918755
  6. We conclude that cytochrome b5 can influence the electronic conductivity of cytochrome P450c17 via allosteric, protein-protein interactions. PMID: 26587646
  7. Variants in CYB5A and CYB5R3 should be considered in the evaluation of breast cancer risk in African American women. PMID: 25225034
  8. CYB5A is the first RA susceptibility gene involved in androgen synthesis. Our functional analysis of SNP rs1790834 indicates that it contributes to the sex bias observed in RA. PMID: 25890314
  9. both area and ratio of 3betaHSD and CYB5A double positive cells, which could represent the hybrid cells of zona fasciculate and zona reticularis, are correlated with adrenal development and could influence age-related serum androstenedione levels. PMID: 24832628
  10. Two acidic residues, Glu-48 and Glu-49, of cytochrome b5 are essential for stimulating the 17,20-lyase activity of CYP17A1. PMID: 25315771
  11. raises the possibility that inhibition of CYB5A-deregulated downstream pathways, such as those involving TRAF6, may favor autophagy-mediated cancer cell death in selected subgroups of patients PMID: 24448000
  12. CYB5A, which has a role in stearyl-CoA-desaturase activity, and RNF10, with an unknown role in weight regulating pathways, associated with adiposity and nominally increased the risk for T2D in American Indians. PMID: 24151200
  13. Cytochrome b5 seems to play the key role in the formation of lipid-radical cycles in membranes. PMID: 24319746
  14. Results define CYB5A as a novel prognostic factor for PDAC that exerts its tumor-suppressor function through autophagy induction and TRAF6 modulation. PMID: 24301457
  15. CYP17A1/b5 interaction is stronger when the hydroxylase substrate pregnenolone is present in the CYP17A1 active site than when the lyase substrate 17alpha-hydroxypregnenolone is in the active site. PMID: 23620596
  16. Identification of the first human CYB5A missense mutation as the cause of isolated 17,20 lyase deficiency in three individuals with 46,XY disorder of sex development. PMID: 22170710
  17. Human adrenal cells that express both 3beta-hydroxysteroid dehydrogenase type 2 (HSD3B2) and cytochrome b5 (CYB5A) contribute to adrenal androstenedione production PMID: 21185375
  18. Cygb has a nitric-oxide dioxygenase function and ascorbate and cytochrome b(5) have roles as reductants PMID: 20511233
  19. We demonstrated 17,20-lyase deficiency due to an aberrant CytB5. PMID: 20080843
  20. novel cSNPs associated with significantly altered protein expression and/or hydroxylamine reduction activities, but only minimally impact overall observed phenotypic variability PMID: 19997042
  21. mitochondrial and microsomal cytochromes b(5) exhibit divergent structural and biophysical characteristics PMID: 14733950
  22. Colocalization of CytB5 and P450c17 strongly supports the view that CytB5 plays an important role in the regulation of the androgen biosynthetic pathway in the fetal and adult human. PMID: 14985252
  23. Data suggest that cytochrome b5 and phosphorylation enhance 17,20 lyase activity independently of each other, probably by increasing the interaction between P450c17 and NADPH-cytochrome P450 oxidoreductase. PMID: 15687493
  24. cytochrome b5 gene transcription is regulated by Sp3, GATA-6, and steroidogenic factor 1 in human adrenal NCI-H295A cells PMID: 15831526
  25. CYP2E1-b(5) complex model was constructed, leading to improved insights into the protein interaction. PMID: 16679316
  26. cytochrome b(5) has a role in the generation of hydroxyl radicals PMID: 17320757
  27. Cytochrome b5 can alter multiple steps in the catalytic cycle via complex interactions with CYP2C9 and P450 reductase. PMID: 17446262
  28. These data indicate that a naturally occurring variant in cyt b5, T60A, leads to modestly altered affinity for hydroxylamine substrates and dramatically reduced cyt b5 expression. PMID: 17622936
  29. The recombinant fused enzymes CYP3A4-truncated (t)-P450 reductase-t-b5 (3RB) and CYP3A4-t-b5-t-P450 reductase (3BR) in yeast microsomes showed a higher specific activity in 6beta-hydroxylation of testosterone than did the reconstitution premixes. PMID: 17691855
  30. Cytochrome b(5) rather than O(2)(*-) plays a major role in the activation of IDO in human cells. PMID: 18299324

Show More

Hide All

Involvement in disease
Methemoglobinemia CYB5A-related (METHB-CYB5A)
Subcellular Location
[Isoform 1]: Endoplasmic reticulum membrane; Single-pass membrane protein; Cytoplasmic side. Microsome membrane; Single-pass membrane protein; Cytoplasmic side.; [Isoform 2]: Cytoplasm.
Protein Families
Cytochrome b5 family
Database Links

HGNC: 2570

OMIM: 250790

KEGG: hsa:1528

STRING: 9606.ENSP00000341625

UniGene: Hs.465413

icon of phone
Call us
301-363-4651 (Available 9 a.m. to 5 p.m. CST from Monday to Friday)
icon of address
Address
7505 Fannin St., Ste 610, Room 7 (CUBIO Innovation Center), Houston, TX 77054, USA
icon of social media
Join us with

Subscribe newsletter

Leave a message

* To protect against spam, please pass the CAPTCHA test below.
CAPTCHA verification
© 2007-2025 CUSABIO TECHNOLOGY LLC All rights reserved. 鄂ICP备15011166号-1
×
Place an order now

I. Product details

*
*
*
*

II. Contact details

*
*

III. Ship To

*
*
*
*
*
*
*

IV. Bill To

*
*
*
*
*
*
*
*