| Code | CSB-PA622986LA01HU | 
| Size | US$166 | 
| Order now | |
| Image | 
 | 
| Promotion |  | 
| Have Questions? | Leave a Message or Start an on-line Chat | 
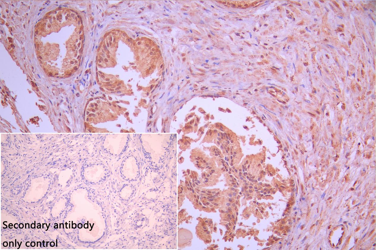
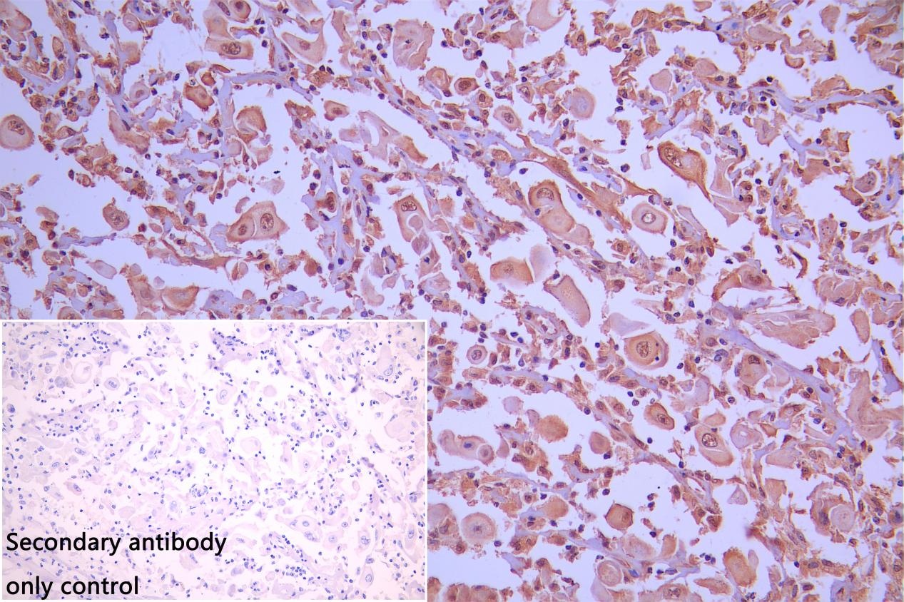
The DAZAP2 Antibody (Product code: CSB-PA622986LA01HU) is Non-conjugated. For DAZAP2 Antibody with conjugates, please check the following table.
| Application | Recommended Dilution | 
|---|---|
| WB | 1:500-1:5000 | 
| IHC | 1:200-1:500 | 
| IF | 1:50-1:200 | 
There are currently no reviews for this product.