EGR4 Antibody

Code CSB-PA018113
Size US$166
Order now
Image
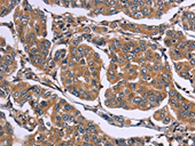
  • The image on the left is immunohistochemistry of paraffin-embedded Human breast cancer tissue using CSB-PA018113(EGR4 Antibody) at dilution 1/20, on the right is treated with synthetic peptide. (Original magnification: ×200)
  • The image on the left is immunohistochemistry of paraffin-embedded Human brain tissue using CSB-PA018113(EGR4 Antibody) at dilution 1/20, on the right is treated with synthetic peptide. (Original magnification: ×200)
  • Gel: 6%SDS-PAGE,Lysate: 40 μg,,Primary antibody: CSB-PA018113(EGR4 Antibody) at dilution 1/300 dilution,Secondary antibody: Goat anti rabbit IgG at 1/8000 dilution,Exposure time: 30 seconds
Have Questions? Leave a Message or Start an on-line Chat

Product Details

Uniprot No.
Target Names
EGR4
Alternative Names
EGR4Early growth response protein 4 antibody; EGR-4 antibody; AT133 antibody
Raised in
Rabbit
Species Reactivity
Human,Mouse
Immunogen
Synthetic peptide of Human EGR4
Immunogen Species
Homo sapiens (Human)
Conjugate
Non-conjugated
Isotype
IgG
Purification Method
Antigen affinity purification
Concentration
It differs from different batches. Please contact us to confirm it.
Buffer
-20°C, pH7.4 PBS, 0.05% NaN3, 40% Glycerol
Form
Liquid
Tested Applications
ELISA,WB,IHC
Recommended Dilution
Application Recommended Dilution
ELISA 1:2000-1:5000
WB 1:500-1:2000
IHC 1:25-1:100
Troubleshooting and FAQs
Storage
Upon receipt, store at -20°C or -80°C. Avoid repeated freeze.
Lead Time
Basically, we can dispatch the products out in 1-3 working days after receiving your orders. Delivery time maybe differs from different purchasing way or location, please kindly consult your local distributors for specific delivery time.
Usage
For Research Use Only. Not for use in diagnostic or therapeutic procedures.

Customer Reviews and Q&A

 Customer Reviews

There are currently no reviews for this product.

Submit a Review here

Target Background

Function
Transcriptional regulator. Recognizes and binds to the DNA sequence 5'-GCGGGGGCG-3' (GSG). Activates the transcription of target genes whose products are required for mitogenesis and differentiation.
Gene References into Functions
  1. this study is the first to screen the EGR4 gene in relation to male infertility. However, our findings did not clearly explain how nonsynonymous EGR4 variations affect spermatogenesis PMID: 28464846
  2. EGR4 directly transactivates specific variants (V3 and V4) of the PTHrP gene resulting in subsequent transactivation of the RANKL, IL-6 and IL-8 genes via paracrine action of the PTHrP protein. PMID: 25411851
  3. Data found multiple differences in gene expression between the high and low infertility risk groups, confirming the importance of an intact hypothalamo-pituitary testicular axis and EGR4 in fertility development PMID: 19828938
Subcellular Location
Nucleus.
Protein Families
EGR C2H2-type zinc-finger protein family
Database Links

HGNC: 3241

OMIM: 128992

KEGG: hsa:1961

STRING: 9606.ENSP00000445626

UniGene: Hs.3052

icon of phone
Call us
301-363-4651 (Available 9 a.m. to 5 p.m. CST from Monday to Friday)
icon of address
Address
7505 Fannin St., Ste 610, Room 7 (CUBIO Innovation Center), Houston, TX 77054, USA
icon of social media
Join us with

Subscribe newsletter

Leave a message

* To protect against spam, please pass the CAPTCHA test below.
CAPTCHA verification
© 2007-2026 CUSABIO TECHNOLOGY LLC All rights reserved. 鄂ICP备15011166号-1
Place an order now

I. Product details

*
*
*
*

II. Contact details

*
*

III. Ship To

*
*
*
*
*
*
*

IV. Bill To

*
*
*
*
*
*
*
*