FKBP8 Antibody

Code CSB-PA990771
Size US$166
Order now
Image
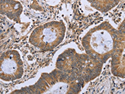
  • The image on the left is immunohistochemistry of paraffin-embedded Human colon cancer tissue using CSB-PA990771(FKBP8 Antibody) at dilution 1/50, on the right is treated with fusion protein. (Original magnification: ×200)
  • The image on the left is immunohistochemistry of paraffin-embedded Human cervical cancer tissue using CSB-PA990771(FKBP8 Antibody) at dilution 1/50, on the right is treated with fusion protein. (Original magnification: ×200)
  • Gel: 8%SDS-PAGE, Lysate: 40 μg, Lane: Mouse liver tissue, Primary antibody: CSB-PA990771(FKBP8 Antibody) at dilution 1/1150, Secondary antibody: Goat anti rabbit IgG at 1/8000 dilution, Exposure time: 1 minute
Have Questions? Leave a Message or Start an on-line Chat

Product Details

Uniprot No.
Target Names
FKBP8
Alternative Names
FKBP8; FKBP38; Peptidyl-prolyl cis-trans isomerase FKBP8; PPIase FKBP8; 38 kDa FK506-binding protein; 38 kDa FKBP; FKBP-38; hFKBP38; FK506-binding protein 8; FKBP-8; FKBPR38; Rotamase
Raised in
Rabbit
Species Reactivity
Human,Mouse,Rat
Immunogen
Fusion protein of Human FKBP8
Immunogen Species
Homo sapiens (Human)
Conjugate
Non-conjugated
Isotype
IgG
Purification Method
Antigen affinity purification
Concentration
It differs from different batches. Please contact us to confirm it.
Buffer
-20°C, pH7.4 PBS, 0.05% NaN3, 40% Glycerol
Form
Liquid
Tested Applications
ELISA,WB,IHC
Recommended Dilution
Application Recommended Dilution
ELISA 1:2000-1:10000
WB 1:1000-1:5000
IHC 1:100-1:300
Troubleshooting and FAQs
Storage
Upon receipt, store at -20°C or -80°C. Avoid repeated freeze.
Lead Time
Basically, we can dispatch the products out in 1-3 working days after receiving your orders. Delivery time maybe differs from different purchasing way or location, please kindly consult your local distributors for specific delivery time.
Usage
For Research Use Only. Not for use in diagnostic or therapeutic procedures.

Customer Reviews and Q&A

 Customer Reviews

There are currently no reviews for this product.

Submit a Review here

Target Background

Function
Constitutively inactive PPiase, which becomes active when bound to calmodulin and calcium. Seems to act as a chaperone for BCL2, targets it to the mitochondria and modulates its phosphorylation state. The BCL2/FKBP8/calmodulin/calcium complex probably interferes with the binding of BCL2 to its targets. The active form of FKBP8 may therefore play a role in the regulation of apoptosis.
Gene References into Functions
  1. Cycling between the inactive GDP- and the active GTP-bound state modulates the backbone dynamics of a C-terminal truncated form, RhebDeltaCT, which is suggested to influence its interactions. We further investigated the interactions between RhebDeltaCT and the proposed Rheb-binding domain of the regulatory protein FKBP38. PMID: 29194576
  2. Regulation of CLC-1 chloride channel biosynthesis by FKBP8 and Hsp90beta as a molecular model for myotonia congenita has been described. PMID: 27580824
  3. Co-expression of FKBP8 with LC3A profoundly induces Parkin-independent mitophagy. Strikingly, even when acting as a mitophagy receptor, FKBP8 avoids degradation by escaping from mitochondria. In summary, this study identifies novel roles for FKBP8 and LC3A, which act together to induce mitophagy. PMID: 28381481
  4. FKBP8 binding to Hsp90 did not substantially influence its ATPase activity PMID: 28278223
  5. The information presented here provides important clues for understanding the catalytic activity of FKBP38, its regulation by the unique N-terminal extension, and the potential calcium- and calmodulin-mediated activation of FKBP38. PMID: 24145868
  6. Overexpression of permanently active S100P in Huh-7 cells inhibited the interaction of FKBP38 with Bcl-2, resulting in the suppression of Bcl-2 stability PMID: 24295050
  7. FK506 binding protein 8 peptidylprolyl isomerase activity manages a late stage of cystic fibrosis transmembrane conductance regulator (CFTR) folding and stability PMID: 22474283
  8. The derived structure model of the complex between Bcl-2 and the FKBP38 catalytic domain features both electrostatic and hydrophobic intermolecular contacts and provides a rationale for the regulation of the FKBP38/Bcl-2 interaction by Ca(2+). PMID: 22523079
  9. Data support a dual role for FKBP38 in regulating CFTR synthesis and post-translational folding. PMID: 22030396
  10. a dual mechanism for PA activation of mTORC1: PA displaces FKBP38 from mTOR and allosterically stimulates the catalytic activity of mTORC1. PMID: 21737445
  11. this charge-sensitive site in the FKBP domain participates in the regulation of FKBP38 function by enabling electrostatic interactions with ligand proteins and/or salt ions such as Ca(2+) PMID: 20140889
  12. novel insights into the structural arrangement of FKBP38/calmodulin complex PMID: 20707607
  13. FKBP38 is a key player in regulating the function of Bcl-2 by antagonizing caspase-dependent degradation through the direct interaction with the flexible loop domain of Bcl-2, which contains the caspase cleavage site PMID: 20139069
  14. Rheb GTPase controls apoptosis by regulating interaction of FKBP38 with Bcl-2 and Bcl-XL PMID: 20048149
  15. FKBP38 plays a role in TSC gene-dependent cell size regulation. PMID: 12894220
  16. Bcl-2 interacts with FKBP38 through the unstructured loop, and the interaction appears to regulate phosphorylation in the loop of Bcl-2 PMID: 15733859
  17. FKBP38 indirectly affects the subcellular distribution of calcineurin by interaction with typical calcineurin ligands, as exemplified by the anti-apoptotic protein Bcl-2. PMID: 15757646
  18. Molecular model of the FK506-binding domain of FKBP38. PMID: 16604427
  19. the complex consisting of NS5A, FKBP8, and Hsp90 plays an important role in HCV RNA replication PMID: 17024179
  20. Data suggest that the peptidyl prolyl cis/trans isomerase FKBP38 determines hypoxia-inducible transcription factor prolyl-4-hydroxylase PHD2 protein stability. PMID: 17353276
  21. FKBP38 is a co-chaperone of HERG and contributes via the Hsc70/Hsp90 chaperone system to the trafficking of wild type and mutant HERG potassium channels PMID: 17569659
  22. FKBP38 functions to anchor the 26S proteasome at the organellar membrane PMID: 17573772
  23. interaction between the catalytic FKBP38 domain and the N-terminal CaM domain activates FKBP38 and, as a consequence, also regulates Bcl-2. PMID: 17942410
  24. findings suggest that FKBP38 is an endogenous inhibitor of mTOR, whose inhibitory activity is antagonized by Rheb in response to growth factor stimulation and nutrient availability PMID: 17991864
  25. These results suggest that specific interaction of NS5A with FKBP8 in the cytoplasmic compartment plays a crucial role in the replication of HCV. PMID: 18216108
  26. FKBP38 is a bona fide effector of Rheb and the ability to interact with FKBP38 is important for Rheb as an activator of mTOR PMID: 18658153
  27. neither TCTP nor FKBP38 regulates mTORC1 signaling. PMID: 18676370
  28. FKBP38 plays only a very minor, if any, role in mTORC1 activation. PMID: 19222999
  29. Data indicate that PHD2 protein stability is regulated by a ubiquitin-independent proteasomal pathway involving FKBP38 as adaptor protein that mediates proteasomal interaction. PMID: 19546213

Show More

Hide All

Subcellular Location
Mitochondrion. Mitochondrion membrane; Single-pass membrane protein; Cytoplasmic side.; [Isoform 1]: Mitochondrion membrane; Single-pass membrane protein; Cytoplasmic side.; [Isoform 3]: Mitochondrion membrane; Single-pass membrane protein; Cytoplasmic side.
Tissue Specificity
Widely expressed. Highest levels seen in the brain. Highly abundant in the retina.
Database Links

HGNC: 3724

OMIM: 604840

KEGG: hsa:23770

STRING: 9606.ENSP00000222308

UniGene: Hs.173464

icon of phone
Call us
301-363-4651 (Available 9 a.m. to 5 p.m. CST from Monday to Friday)
icon of address
Address
7505 Fannin St., Ste 610, Room 7 (CUBIO Innovation Center), Houston, TX 77054, USA
icon of social media
Join us with

Subscribe newsletter

Leave a message

* To protect against spam, please pass the CAPTCHA test below.
CAPTCHA verification
© 2007-2025 CUSABIO TECHNOLOGY LLC All rights reserved. 鄂ICP备15011166号-1
×
Place an order now

I. Product details

*
*
*
*

II. Contact details

*
*

III. Ship To

*
*
*
*
*
*
*

IV. Bill To

*
*
*
*
*
*
*
*