GAL Antibody

Code CSB-PA009191ESR1HU
Size US$166
Order now
Image
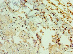
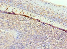
  • Immunohistochemistry of paraffin-embedded human tonsil tissue using CSB-PA009191ESR1HU at dilution of 1:100

  • Immunohistochemistry of paraffin-embedded human adrenal gland tissue using CSB-PA009191ESR1HU at dilution of 1:100

  • Immunohistochemistry of paraffin-embedded human epityphlon tissue using CSB-PA009191ESR1HU at dilution of 1:100

Have Questions? Leave a Message or Start an on-line Chat

Product Details

Full Product Name
Rabbit anti-Homo sapiens (Human) GAL Polyclonal antibody
Uniprot No.
Target Names
GAL
Alternative Names
GAL 1 antibody; GAL antibody; GAL GMAP antibody; GAL1 antibody; GALA_HUMAN antibody; Galanin message associated peptide antibody; Galanin message-associated peptide antibody; Galanin precursor antibody; Galanin prepropeptide antibody; Galanin related peptide antibody; Galanin/GMAP prepropeptide antibody; GALN antibody; GLNN antibody; GMAP antibody; MGC40167 antibody
Raised in
Rabbit
Species Reactivity
Human
Immunogen
Recombinant Human Galanin peptides protein (20-123AA)
Immunogen Species
Homo sapiens (Human)
Conjugate
Non-conjugated
Clonality
Polyclonal
Isotype
IgG
Purification Method
Antigen Affinity Purified
Concentration
It differs from different batches. Please contact us to confirm it.
Buffer
PBS with 0.02% sodium azide, 50% glycerol, pH7.3.
Form
Liquid
Tested Applications
ELISA, IHC
Recommended Dilution
Application Recommended Dilution
IHC 1:20-1:200
Troubleshooting and FAQs
Storage
Upon receipt, store at -20°C or -80°C. Avoid repeated freeze.
Lead Time
Basically, we can dispatch the products out in 1-3 working days after receiving your orders. Delivery time maybe differs from different purchasing way or location, please kindly consult your local distributors for specific delivery time.
Usage
For Research Use Only. Not for use in diagnostic or therapeutic procedures.

Customer Reviews and Q&A

 Customer Reviews

There are currently no reviews for this product.

Submit a Review here

Target Background

Function
Endocrine hormone of the central and peripheral nervous systems that binds and activates the G protein-coupled receptors GALR1, GALR2, and GALR3. This small neuropeptide may regulate diverse physiologic functions including contraction of smooth muscle of the gastrointestinal and genitourinary tract, growth hormone and insulin release and adrenal secretion.
Gene References into Functions
  1. SNP rs948854 in the GAL gene seems to be involved in the modulation of depressive state, especially in individuals with GG genotype. PMID: 28987550
  2. Higher serum galanin levels were determined in patients with impaired glucose tolerance. PMID: 28416367
  3. Serum galanin (GAL) levels are significantly higher in the obese group compared with lean subjects during an oral glucose tolerance test (OGTT). PMID: 27550417
  4. Galanin per se did not affect the dynamic mass redistribution of natural killer (NK) cells, but significantly enhanced the response of NK cells to IL-18 PMID: 27837916
  5. majority of intrinsic choroidal neurons were GAL-positive PMID: 27914762
  6. ultraviolet irradiation upregulated galanin mRNA and protein expression in keratinocytes in vitro and in human skin in vivo PMID: 27943416
  7. GAL and its receptor GALR3 are differentially methylated and expressed in brains of major depressive disorder subjects in a region- and sex-specific manner. PMID: 27940914
  8. Study found dramatic reduction in von Willebrand factor extrusion and multimer expression by the neuropeptide galanin in cultured endocardial endothelial cells from heart failure patients. Results suggest that a combination of beta-blockers and galanin therapy may be one therapeutic option for improving endocardial endothelial anticoagulant function. PMID: 28720509
  9. The analyses revealed that the presence of the galanin gene minor allele (G) increased susceptibility to multiple sclerosis in men (OR = 2.49, P = 0.008) but not in women. PMID: 27870457
  10. Study provides evidence that GAL and GALR1/2 genes were identified as aberrantly methylated in head and neck squamous cell carcinoma. PMID: 27685843
  11. Low levels of plasma galanin is associated with obese subjects with hypertension. PMID: 27538957
  12. results indicated that obese individuals have higher plasma GAL and GALP concentrations and both peptide concentrations were positively correlative to triglyceride concentrations in obese human PMID: 27474259
  13. GAL and its receptors, GALR1 and GALR2, play a role in head and neck squamous cell carcinoma tumorigenesis PMID: 26572146
  14. Elevated galanin may predict the risk of type 2 diabetes mellitus for development of Alzheimer's disease. PMID: 26253934
  15. This study demonstrated that Galanin upregulation within the basal forebrain cholinergic system in LBD PMID: 26621352
  16. Galanin released by cancer induces neuritogenesis, facilitating perineural invasion. PMID: 25917569
  17. Mutations in the human GAL gene cause temporal lobe epilepsy. PMID: 25691535
  18. This is the first report of the various galanin receptors in the human eye. PMID: 26122049
  19. Galanin can be regarded as an immunomodulatory peptide as it can sensitize polymorphonuclear neutrophils towards pro-inflammatory cytokines in humans and mice. PMID: 25545502
  20. found no association of the galanin enhancer genotype with any of the other pathophysiological parameters measured PMID: 25228436
  21. Data shows that high expression of GAL is associated with poor prognosis of stage II colorectal cancer patients (CRC) and GAL expression may be related to the aggressive behavior of CRC. PMID: 25504183
  22. The plasma galanin levels are higher in patients with gestational diabetes mellitus than in normal pregnancy. PMID: 24503374
  23. Data suggest that plasma levels of galanin and interleukin-6 are up-regulated in second trimester in women with gestational diabetes (glucose intolerant/insulin resistant) as compared to normal pregnant women (with normal glucose/insulin tolerance). PMID: 24397394
  24. Galanin plays a crucial role in inhibiting insulin secretion from pancreatic beta cells to prevent hyperinsulinemia, which is a characteristic of type 2 diabetes mellitus. [review] PMID: 24106965
  25. Variants in genes for galanin (GAL) and its receptors (GALR1, GALR2, GALR3), despite their disparate genomic loci, conferred increased risk of depression and anxiety in people who experienced childhood adversity or recent negative life events. PMID: 24706871
  26. The SNPs of rs694066 in the GAL gene showed a positive correlation with the major depressive disorder in the Chinese Han population. PMID: 23741354
  27. Galanin has a role in regulating eccrine sweat gland secretion PMID: 23278944
  28. These results suggest that the activation of progalanin by plasmin in the extracellular compartment was involved in MMP-9 and MMP-2 activation and in angiogenesis in tumor tissue. PMID: 23261456
  29. Moreover, we have identified a novel role for the GalR1/galanin receptor-ligand axis in chemoresistance, providing evidence to support its further evaluation as a potential therapeutic target and biomarker in colorectal cancer . PMID: 22859720
  30. localization of the transcripts for galanin and its receptors (GalR1-R3), tryptophan hydroxylase 2, tyrosine hydroxylase, nitric oxide synthase and the three vesicular glutamate transporters (VGLUT 1-3) in the locus coeruleus and the dorsal raphe nucleus PMID: 23341594
  31. The results indicate the continuous presence of GAL-ergic innervation in the immediate vicinity of the cancer invasion, which may be attributed to increased contraction of the affected part of intestine. PMID: 22226150
  32. Study revealed that plasmin was present in tumor tissue, and that it was responsible for processing progalanin to galanin(1-20) in the extracellular environment. PMID: 21707521
  33. This study suggested that the adenylate GAL related to major depressive disorder. PMID: 21042317
  34. Circulating galanin levels at birth are not affected by GDM and IUGR, providing no evidence for alternations in hypothalamic galanin expression and secretion in humans, as they were previously documented in experimental models. PMID: 22162474
  35. Analysis in neuroblastoma cells demonstrates that GAL5.1 acts as an enhancer of promoter activity after protein kinase C activation. PMID: 21716262
  36. Chronic constriction injury results in galanin upregulation in dorsal root ganglion and sciatic nerve, although less in transgenic mice with nuclear factor-kappaB inhibition. PMID: 21352816
  37. Cerebrospinal fluid levels of total but not free IgG autoantibodies against galanin are increased in patients with Alzheimer's disease, resulting in increased percentage of galanin autoantibodies present as immune complexes. PMID: 22078238
  38. acute alcohol withdrawal was associated with decreased galanin serum levels PMID: 21199668
  39. provides substantive evidence that GAL sustains the expression of genes subserving multiple neuroprotective mechanisms in hyperinnervated cholinergic NB neurons compared to nonhyperinnervated neu-ron PMID: 19749437
  40. The reported associations in independent samples of Alzheimer Disease and Major Depressive Disorder support an estrogen-dependent function of GAL in pathophysiology of anxiety and depression, affecting response to antidepressant treatment. PMID: 20237460
  41. galanin is expressed developmentally in the DRG PMID: 11712539
  42. an involvement of GAL in various physiological functions of the gastrointestinal tract PMID: 12471460
  43. data suggest a role for endogenous galanin in the adaptive responses to acute orthostatic stress preventing syncope in susceptible individuals PMID: 12647269
  44. Galanin is present in human DRGs together with CGRP and substance P, mostly in small neurons. Galanin may mediate processing of sensory information, especially pain, in human DRGs and dorsal horn. PMID: 12654333
  45. The involvement of galanin is reviewed in the modulation of such functions as neurotransmitter release, memory, pain, depression, anxiety, obesity, gut motility, neuroendocrine regulation, development and neuroregeneration. PMID: 12769595
  46. corticotroph, but not GH adenomas, express high levels of galanin, in addition to ACTH, and in some tumors both polypeptides are synthesised in the same cell population; galanin levels in plasma were not influenced by the tumor galanin content PMID: 14700749
  47. human galanin expresses amphipathic properties in the presence of phospholipids which in turn amplifies its vasoactive effects in the intact peripheral microcirculation. PMID: 14706552
  48. These galanin-LHRH and LHRH-galanin contacts may be functional synapses, and they may be the morphological substrate of the galanin-controlled gonadal functions in humans. PMID: 15283968
  49. Serum galanin concentration in post-menopausal women is related to severity of climacteric syndrome; presence of nervousness in post-menopausal women is related to lower serum galanin level. PMID: 15648541
  50. Blood levels correlate with type 2 diabetes and not with obesity or hormonal status in postmenopause. PMID: 15735230

Show More

Hide All

Involvement in disease
Epilepsy, familial temporal lobe, 8 (ETL8)
Subcellular Location
Secreted.
Protein Families
Galanin family
Database Links

HGNC: 4114

OMIM: 137035

KEGG: hsa:51083

STRING: 9606.ENSP00000265643

UniGene: Hs.278959

CUSABIO guaranteed quality
icon of phone
Call us
301-363-4651 (Available 9 a.m. to 5 p.m. CST from Monday to Friday)
icon of address
Address
7505 Fannin St., Ste 610, Room 7 (CUBIO Innovation Center), Houston, TX 77054, USA
icon of social media
Join us with

Subscribe newsletter

Leave a message

* To protect against spam, please pass the CAPTCHA test below.
CAPTCHA verification
© 2007-2025 CUSABIO TECHNOLOGY LLC All rights reserved. 鄂ICP备15011166号-1
×
Place an order now

I. Product details

*
*
*
*

II. Contact details

*
*

III. Ship To

*
*
*
*
*
*
*

IV. Bill To

*
*
*
*
*
*
*
*