GCNT2 Antibody

Code CSB-PA844048ESR1HU
Size US$166
Order now
Image
  • Western blot
    All lanes: GCNT2 antibody at 3.99µg/ml
    Lane 1: 293T whole cell lysate
    Lane 2: Mouse placenta tissue
    Secondary
    Goat polyclonal to rabbit IgG at 1/10000 dilution
    Predicted band size: 46, 47 kDa
    Observed band size: 46 kDa

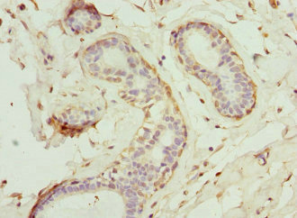
  • Immunohistochemistry of paraffin-embedded human breast cancer using CSB-PA844048ESR1HU at dilution of 1:100

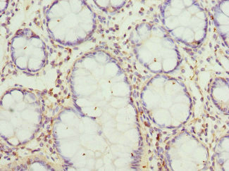
  • Immunohistochemistry of paraffin-embedded human colon cancer using CSB-PA844048ESR1HU at dilution of 1:100

Have Questions? Leave a Message or Start an on-line Chat

Product Details

Full Product Name
Rabbit anti-Homo sapiens (Human) GCNT2 Polyclonal antibody
Uniprot No.
Target Names
GCNT2
Alternative Names
GCNT2 antibody; GCNT5 antibody; II antibody; NACGT1 antibody; N-acetyllactosaminide beta-1,6-N-acetylglucosaminyl-transferase antibody; N-acetylglucosaminyltransferase antibody; EC 2.4.1.150 antibody; I-branching enzyme antibody; IGNT antibody
Raised in
Rabbit
Species Reactivity
Human, Mouse
Immunogen
Recombinant Human N-acetyllactosaminide beta-1,6-N-acetylglucosaminyl-transferase protein (203-402AA)
Immunogen Species
Homo sapiens (Human)
Conjugate
Non-conjugated
Clonality
Polyclonal
Isotype
IgG
Purification Method
Antigen Affinity Purified
Concentration
It differs from different batches. Please contact us to confirm it.
Buffer
PBS with 0.02% sodium azide, 50% glycerol, pH7.3.
Form
Liquid
Tested Applications
ELISA, WB, IHC
Recommended Dilution
Application Recommended Dilution
WB 1:1000-1:5000
IHC 1:20-1:200
Troubleshooting and FAQs
Storage
Upon receipt, store at -20°C or -80°C. Avoid repeated freeze.
Lead Time
Basically, we can dispatch the products out in 1-3 working days after receiving your orders. Delivery time maybe differs from different purchasing way or location, please kindly consult your local distributors for specific delivery time.
Usage
For Research Use Only. Not for use in diagnostic or therapeutic procedures.

Customer Reviews and Q&A

 Customer Reviews

There are currently no reviews for this product.

Submit a Review here

Target Background

Function
Branching enzyme that converts linear into branched poly-N-acetyllactosaminoglycans. Introduces the blood group I antigen during embryonic development. It is closely associated with the development and maturation of erythroid cells.; Determines the expression of the blood group I antigen in erythrocytes.
Gene References into Functions
  1. miR-199a/b-5p regulates GCNT2 and I antigen expression in colon cancer cells undergoing EMT PMID: 28542779
  2. This study reports a novel insertion/deletion mutation at the GCNT2 locus that is responsible for congenital cataracts in a large consanguineous family. PMID: 27936067
  3. GCNT2 expression is closely associated with invasive potential of prostate cancer. PMID: 26678556
  4. Hypomethylation of the GCNT2 variant 2 reflected lymph node metastasis of colorectal cancer in the tumor and normal tissues. PMID: 25750292
  5. An Alu repeat-mediated genomic GCNT2 deletion underlies congenital cataracts and adult i blood group PMID: 21761136
  6. Results show involvement of GCNT2 in EMT and TGF-beta signaling, and further glycosylation modification of E-cadherin by GCNT2, are the underlying integrative mechanisms for breast cancer metastasis. PMID: 21750175
  7. In the family with the "ii" blood group a novel GCNT2 mutation was found in the cataract patients. PMID: 21541272
  8. The I carbohydrate antigen interacts simultaneously with the entire hydrophobic patch in framework region 1 and with the outside surface of Ig heavy chain complementarity-determining region 3, leaving most of the site available for binding other antigens. PMID: 12244172
  9. A nonsense mutation in the GCNT2 gene isoforms is associated with autosomal recessive congenital cataract in four distantly related Arab families from Israel. PMID: 15161861
  10. role of C/EBPalpha in the induction of the IGnTC gene as well as in I antigen expression PMID: 17855628

Show More

Hide All

Involvement in disease
Cataract 13, with adult i phenotype (CTRCT13)
Subcellular Location
Golgi apparatus membrane; Single-pass type II membrane protein.
Protein Families
Glycosyltransferase 14 family
Tissue Specificity
[Isoform B]: Expressed in lens epithelium cells.; [Isoform C]: Expressed in reticulocytes.
Database Links

HGNC: 4204

OMIM: 110800

KEGG: hsa:2651

STRING: 9606.ENSP00000265012

UniGene: Hs.519884

icon of phone
Call us
301-363-4651 (Available 9 a.m. to 5 p.m. CST from Monday to Friday)
icon of address
Address
7505 Fannin St., Ste 610, Room 7 (CUBIO Innovation Center), Houston, TX 77054, USA
icon of social media
Join us with

Subscribe newsletter

Leave a message

* To protect against spam, please pass the CAPTCHA test below.
CAPTCHA verification
© 2007-2025 CUSABIO TECHNOLOGY LLC All rights reserved. 鄂ICP备15011166号-1
×
Place an order now

I. Product details

*
*
*
*

II. Contact details

*
*

III. Ship To

*
*
*
*
*
*
*

IV. Bill To

*
*
*
*
*
*
*
*